Cookie Consent byPrivacyPolicies.commarre de devoir rattraper les bouses ! - Eugenol

marre de devoir rattraper les bouses !

Dsc 3167 ff43tz - Eugenol
Xenophon

20/03/2012 à 17h21

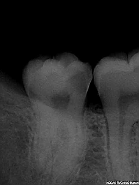
Comment peut on imaginer ne serait ce qu’un instant, qu'un tel traitement endodontique va pouvoir passer ? Et à plus forte raison, aller verrouiller le système canalaire avec un inlay core + CCM ?
ça me rend dingue ! Je viens de passer 45 ' à démonter le zinzin et c'est pas fini.
C'était tellement prévisible. Etre nul en endo, c'est une chose mais rendre la reprise encore plus dure, ça devient criminel....

3465 x 2011 09 26 12 30 55 4 kdi6bw - Eugenol

lcasoar

20/03/2012 à 17h35

Je me disais la même chose se matin pour une reprise de traitement. Le primo-intervenant s'en fou, il gagne autant que toi. Je me disais que c'etait moi le con qui bossait dans un secteur d'activité ou ton tarif n'est pas libre.

J' en ai ras le bol, j'ai 47 ans, il faut que je trouve autre chose avant de devenir dèfinitivement dingue.

Milles excuses mais une petite sceance de divan fait du bien.


Marque a3 orange fyvhyq - Eugenol
Marc Apap

20/03/2012 à 18h29

Il n'est ni illégal ni immoral de facturer la dépose d'inlay core, ou plus simplement d'augmenter le prix de l'inlay core et/ou de la couronne à venir.
Reprends toi, tu en as encore pour quelques années !


Pubg2 rjl8jc - Eugenol
vincent63

20/03/2012 à 19h51

Personnellement je cote systématiquement un acte HN pour la dépose dont le tarif est fonction du temps passé. Il m'est arrivé de passer une heure 30 à dépose une cr + TFM, je l'ai facturé. Reprise de traitement, biocalex, cicatrisation ... TFM et nouvelle couronne.

--
J'occluse donc je suis


ceel

20/03/2012 à 20h19

vincent63 écrivait:
-------------------
> Personnellement je cote systématiquement un acte HN pour la dépose dont le tarif
> est fonction du temps passé. Il m'est arrivé de passer une heure 30 à dépose une
> cr + TFM, je l'ai facturé. Reprise de traitement, biocalex, cicatrisation ...
> TFM et nouvelle couronne.
>
> --
> J'occluse donc je suis

veuillez m'excuser les gars, mais il m'arrive de faire des bouses. c'est pas contre vous, mais je suis comme ça. j'ai beau essayer de faire du mieux que je peux, j'ai mes limites, et elles ne sont pas trés élevées.


juplais

20/03/2012 à 20h42

Et la 14 c'est le même gars?


Tozzi

20/03/2012 à 21h25

En distal de 16 sous la couronne c'est quoi ??
Pronostic assez défavorable pour cette dent, même si tu arrives à démonter tout ce tas de métal sans trop fragiliser les racines, et que tu obtiens une guérison, rien de dit que la dent durera longtemps.


Dsc 3167 ff43tz - Eugenol
Xenophon

20/03/2012 à 21h32

Moi aussi, je fais des bouses et plus souvent que je le voudrais mais je ne vais pas couronner et bétonner un truc comme ça.
La 14 , c'est aussi la même personne.....

Quand à la 16 en distal; limite sous gingivale donc couronne mal adaptée. C'est tout.


Capture d  cran 2015 03 12 12.28 - Eugenol
chicot29

20/03/2012 à 23h26

Moi je vois pas ou est le problème avec le kit de transparence de la CNSD le patient va être rassuré sur la provenance et la composition de sa céramique. Si tout est en ordre à ce sujet le cas présenté n'est du qu'à la faute à pas de chance !)


Grueavatar nptrc9 - Eugenol
Le Choixpeau magique

20/03/2012 à 23h33

C'est clair que le SPR 57 a créé une profusion de merdes indémontables, au moins les AMG screw post sur de la pâte c'était facile à récupérer, maintenant c'est un IC avec deux clavettes, un lentulo dans une racine et un protaper dans l'autre, et vivent les implants !


Capture d  cran 2015 03 12 12.28 - Eugenol
chicot29

20/03/2012 à 23h40

Ma bouse de la journée : 25 mn top chrono. Mais bon comme c'est une 48 elle a recu un amalgamme au pouce dans la foulée c'est mieux qu'un dc 16 !

R37 kussjm - Eugenol
R12 o3rsxn - Eugenol

Smile beach jgh0a1 - Eugenol
Céramik

21/03/2012 à 01h31

Pffft, 25 minutes, c'est rapide !
J'aurais enlevé, une 8, on enlève chez nous, pas d'endo !


--
Céramik


Bebe 038 nf8eum - Eugenol
danteyeah

21/03/2012 à 03h57

Céramik écrivait:
-----------------
> Pffft, 25 minutes, c'est rapide !
> J'aurais enlevé, une 8, on enlève chez nous, pas d'endo !
>
>
> --
> Céramik

Et pour 33€, l'extraction de la 8 tu la ferai?

Excuse moi, c'est les négociations de notre convention qui m'énerves ;-)

Sinon chicot, dommage que tu sois à l'autre bout de la france car j'aimerais bien voir l'ergonomie de ton plateau technique et de l'équipe pour arriver à un tel résultat en aussi peu de temps, même si un "gutta quelque chose" va encore trouver à redire sur le temps nécessaire à la désinfection.


Logo qw3xdt - Eugenol
DDS

21/03/2012 à 08h39

Autre solution: tu ne la fais pas mais tu l'envoies chez un stomato qui prendra 120€ pour l'extraire... Enfin s'il veut bien...

--
Normal is not something to aspire to, it's something to get away from...


Capture d  cran 2015 03 12 12.28 - Eugenol
chicot29

21/03/2012 à 09h06

danteyeah écrivait:
-------------------
> Céramik écrivait:
> -----------------
> > Pffft, 25 minutes, c'est rapide !
> > J'aurais enlevé, une 8, on enlève chez nous, pas d'endo !
> >
> >
> > --
> > Céramik
>
> Et pour 33€, l'extraction de la 8 tu la ferai?
>
> Excuse moi, c'est les négociations de notre convention qui m'énerves ;-)
>
> Sinon chicot, dommage que tu sois à l'autre bout de la france car j'aimerais
> bien voir l'ergonomie de ton plateau technique et de l'équipe pour arriver à un
> tel résultat en aussi peu de temps, même si un "gutta quelque chose" va encore
> trouver à redire sur le temps nécessaire à la désinfection.

Attention, le chronomètre démarre anesthésie prise ! C'est pas pareil !
Equipe : tout seul (enfin, bon au fauteuil). Par contre tous les instruments sont à poste : 2 bagues rouges (fraise fissure sur taillée, zekrya endo),1 bleu (grosse fraise boule), un vert(foret largo), un entran (sx), un endo master (s1), un réciproc (r25).
But du jeu : faire progresser le sx le plus loin possible, puis mesurer la lt au s1 avec l'endo-master le réciproc fait le reste en 30 s.
Pour un résultat optimal passer le saf 2 mn par canal, mais ca c'est pas pour poser une bouse d'amalgame dessus ni des couronnes CMU.)
Note : la pose de la digue, accélère les choses finalement !))))))















Capture d  cran 2015 03 12 12.28 - Eugenol
chicot29

21/03/2012 à 09h32

Céramik écrivait:
-----------------
> Pffft, 25 minutes, c'est rapide !
> J'aurais enlevé, une 8, on enlève chez nous, pas d'endo !
>
>
> --
> Céramik

Oui, mais dans ce cas vu la taille de la mandibule (même un pe de taille 4 est juste) il y avait de la place !


Pubg2 rjl8jc - Eugenol
vincent63

21/03/2012 à 11h45

Pas de méprise moi aussi je fais des bouses ! Suite aux conf de Stéphane SIMON j’essaie juste de ne pas faire systématiquement un TFM pour que mes patients soit mieux rembourser et gonfler mon ca. Ceramik m'a convaincu !

--
J'occluse donc je suis


Capture d  cran 2015 03 12 12.28 - Eugenol
chicot29

21/03/2012 à 12h11

Etre convaincu de l’intérêt des onlays cerams ça pas de soucis. Jouer à don Quichotte toute la journée pour convaincre les patients de les faire et de ne pas être remboursé ça c'est gonflant !


Little shop of horrors brzqjx - Eugenol
chatondecarte

21/03/2012 à 12h54

C'est ça tes bouses à rattraper ??! C'est quelques heures de boulot tout au plus...

patient de cet aprem...

P1 srsvy0 - Eugenol

Fouilla h6plsy - Eugenol
fouilla

21/03/2012 à 14h58


ben on voit pas en quoi le problème ... ah si putain pourquoi laisser un stellite pour une pano pour ne pas pouvoir la coter :-))))))))))))))

--
.


Morgan ztbb1b - Eugenol
BONNET jc

21/03/2012 à 17h49

N'oublie pas: " c'est dans le besoin que l'on reconnait ses amis"