Cookie Consent byPrivacyPolicies.comCarie ou résorption ? - Eugenol

Carie ou résorption ?

Tozzi

24/03/2012 à 10h15

Bonjour,
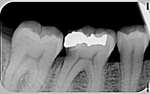
à votre avis, quelle est la lésion visible en distal de cette 46, qui semble descendre dangereusement dans la racine ?
La logique voudrait que ce soit une carie mais ...
Légère sensibilité au froid, rien de plus.
Quelle est votre approche ?
Quel est le pronostic selon vous ?
Merci de votre aide

46 cdpfv3 - Eugenol

joseph23

24/03/2012 à 10h50

J'ai eu un cas de résorption externe, mais l'image radio était plus caractéristique et au sondage, cela ne ressemblait pas à de la carie.
De plus, la cavité était remplie de gencive saignant abondemment.
Ta radio me fait plus penser à une carie qu'à une résorption externe.
Comment est-ce au sondage?


Sans titre tztxfv - Eugenol
Monet

24/03/2012 à 13h57

Carie! Due à l'absence de point contact... Dévitalisation, élongation coronaire puis couronne.


Smile beach jgh0a1 - Eugenol
Céramik

24/03/2012 à 16h53

Monet écrivait:
---------------
> Carie! Due à l'absence de point contact... Dévitalisation, élongation coronaire
> puis couronne.



+1 Carie

Mais la solution Implant !!!!!!!
;-))))))))))))))


--
Céramik


33.2 - Eugenol
scuba06

24/03/2012 à 20h30

Céramik écrivait:
-----------------
> +1 Carie
>
> Mais la solution Implant !!!!!!!


Peux tu développer, Stp


Smile beach jgh0a1 - Eugenol
Céramik

24/03/2012 à 20h35

scuba06 écrivait:
-----------------
> Céramik écrivait:
> -----------------
> > +1 Carie
> >
> > Mais la solution Implant !!!!!!!
>
>
> Peux tu développer, Stp

C'est samedi, 2e niveau et un big ;-)))))))))
bref c'est une farce !

Mais clairement c'est de la carie ce truc.


--
Céramik


flicflac

24/03/2012 à 21h54

exo et implant oui malheureusement, comment restaurer une carie sous le niveau osseux avec une furcation très près??


Smile beach jgh0a1 - Eugenol
Céramik

24/03/2012 à 22h11

flicflac écrivait:
------------------
> exo et implant oui malheureusement, comment restaurer une carie sous le niveau osseux avec une furcation très près??


Non, tu es trop aggressif !

Tu fais l'endo, puis la couronne, puis la paro, dans l'ordre ou pas, puis l'exo, et ensuite un bridge, en prennant soin de dévitaliser les 2 pilliers, la 45 et la 47, car c'est plus sécuritaire, les dents vitales sont dangereuses, ensuite, tu vas enlever ton pillier antérieur cassé et carié et le bridge, puis faire une jolie greffe pour placer 2 implants, là c'est bon ?

C'est soit un implant là, ou bien un acharnement pour garder qq temps cette belle molaire, au patient de choisir...en fait s'il choisit de conserver la dent, c'est bien car 3X plus de boulôt et de sous !


--
Céramik


Utilisateur banni

24/03/2012 à 23h30

En fonction de la vitesse de progression de cette carie : préttt et curetage dégrossissage maxi en manuel puis cvi. Quelques temps d'attente si ok, laisser ainsi surveiller rx. Puis qd dentine secondaire formée en épaisseur suffisante reprise et soin basé sur du cvi pour la part sous gingivale.
Bref belle merde à restaurer.


Sans titre wplzey - Eugenol
OrthophosphateDeZinc

06/04/2012 à 01h16

Fraise boule tungstène, Endo, élongation coronaire, couronne, basta ;)