Cookie Consent byPrivacyPolicies.comROG et implant sur risque d'ORN controlatéral - Eugenol

ROG et implant sur risque d'ORN controlatéral

Gbazylo1 fvg1vg - Eugenol
Aron

27/03/2012 à 19h51

Bonjour à tous

J'ai un patient (65 ans examen médical ok suite à son carcinome, plus de traces) qui a eu une radiothérapie il y a 6 mois concomitante à un curage ganglionnaire gauche. Il a eu une perte pileuse associée comprenant la nuque gauche et la barbe gauche, jusqu'à la symphyse.

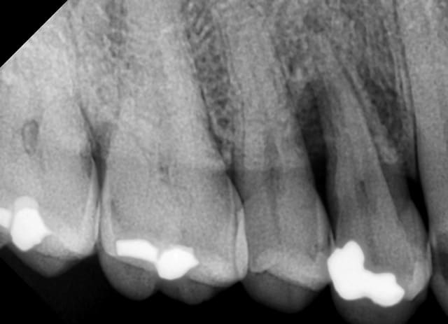
Aujourd'hui, il va perdre sa 14 avec une jolie perte osseuse. Le reste de la bouche est ok, pas de problème ni d'hygiène ni d'occlusion, 15 et 13 sont saines (sauf une carie en distal de 13).

En temps normal, je lui extrais sa dent, place un bio-oss collagen et une bio-gide sous un lambeau de recouvrement. Puis j'attends 6 mois et ré-interviens pour placer un implant.

En temps normal sur un patient avec risque d'ORN, je fais mon amerloque et je contre-indique l'acte: extraction sous AB, appareil ou bridge et basta.


Mais là, je sais pas pourquoi, je me demande si le fait que ce soit de l'autre côté peut jouer en sa faveur.

J'ai vu un post récemment là dessus, mais ça ne répond pas à mes questions.
Est-ce que quelqu'un connait les doses limites (j'attends que son radiothérapeute me rappelle pour me donner les doses reçues) ou la diffusion au côté controlatéral?

Que feriez vous à ma place?

Merci

Edit: le radiothérapeute vient de me rappeler, le patient a eu 50 Gy sur l'aire gg cervicale G, plus encore 20Gy, plus 10 Gy

Retro14 jauqgr - Eugenol

Image001 e0kg9q - Eugenol
clemsdent

28/03/2012 à 00h54

Je ne sais pas trop, mais comme c'est au maxillaire et de l'autre côté, il y a moins de risque que si c'était la 36 p.ex.
Ce que je sais, c'est que 80 Gy est très grosse irradiation quand-même. (il me semble que la "limite" des radiotherapies se situe aux alentours de 70Gy).

c'était quoi comme cancer?


Gbazylo1 fvg1vg - Eugenol
Aron

28/03/2012 à 11h35

Justement: ils savent pas, l’exérèse et la radio ont suffit a faire disparaître toute trace.

J'ai décidé qu'en l'absence de données montrant la possibilité d'un geste de l'autre côté, je ne prendrai pas de risque.


Avatar ow44t3 - Eugenol
Chicot

28/03/2012 à 15h52

Le radiothérapeute n'est pas capable de te dire si le secteur 14 a été ou non irradié ???

et pourquoi ne pas simplement extraire, laisser cicatriser et implanter à 2 mois ?

Tu as des pertes osseuses importantes ? ou juste angulaire avec maintient de la corticale vestibulaire et palatine ?


--
;O)


Gbazylo1 fvg1vg - Eugenol
Aron

28/03/2012 à 17h03

Non, il a pas été certain de son truc. C'est vrai que c'est chaud pour lui de dire "Non non, vous pouvez y aller, j'en suis sûr."

Après, pour ce qui est de la ROG, je la fais justement parce qu'on a perdu la corticale palatine, histoire d'être certain de ne pas perdre + d'os.

Mais étant donné
1. qu'on n'a jamais montré de différence significative entre cicatrisation naturelle et comblement d'alvéole
2. le risque d'ORN,
> je crois que je vais laisser tomber le comblement, on verra bien comment ça se passe




Avatar ow44t3 - Eugenol
Chicot

28/03/2012 à 19h37

Aron écrivait:
--------------
> Non, il a pas été certain de son truc. C'est vrai que c'est chaud pour lui de
> dire "Non non, vous pouvez y aller, j'en suis sûr."
>
> Après, pour ce qui est de la ROG, je la fais justement parce qu'on a perdu la
> corticale palatine, histoire d'être certain de ne pas perdre + d'os.
>
> Mais étant donné
> 1. qu'on n'a jamais montré de différence significative entre cicatrisation
> naturelle et comblement d'alvéole
> 2. le risque d'ORN,
> > je crois que je vais laisser tomber le comblement, on verra bien comment ça se
> passe


Ca me semble raisonnable.

Pourquoi tu continues à combler les alvéoles compte tenu de ton 1. ???? T'es maso ??? ou c'est pour prendre un supplément à l'exo..... et de gros risques infectieux.....

--
;O)


Gbazylo1 fvg1vg - Eugenol
Aron

28/03/2012 à 20h10

Parce que y'a pas longtemps que j'ai appris mon 1!

Mais, loin de sentir que je prends un risque, ça me rassure pour la pose de l'implant, d'avoir une crête à peu près plate.

Bah, je crois que je vais arrêter...


Images 1 riqzif - Eugenol
Odontine

09/04/2012 à 18h24

Y-a t'il une hyposialie post-radique ? Je me pose la question par rapport à la position cervicale des caries sur la 13 et la 14 alors que l'hygiène bucco dentaire est correcte.

Au bout de 6 mois post-radiothérapie on sait que le tissu osseux est hypoxique, hypovasculaire et hypocellulaire (triade de Marx). Ce n'est que mon avis, mais je pense que la carie de la 14 a constitué une porte d'entrée à l'infection de l'os alvéolaire sous-jacent. Donc de toute façon, je pense qu'il y a déjà un phénomène d'ORN.

C'est clair que la conduite à tenir d'urgence c'est l'avulsion de la 14, mais dans ce contexte il est préférable d'envoyer le patient dans un service spécialisé pour réaliser une anesthésie sans vasoconstricteurs et combler l'alvéole avec de la colle biologique (tissucol) + régularisation minutieuse des crêtes et sutures avec une couverture antibiotique de 21 jours. Si cette lyse est une manifestation d'ORN, peut-être qu'en milieu hospitalier ils préfèreront administrer de l'Oflocet en plus du Clamoxyl et de l'acide clavulanique. J'y connais pas grand chose mais je sais qu'il faut prendre plus de précautions.

Pour la conduite différée, on nous dit qu'il faut attendre 1 an post-radiothérapie avant d'envisager une solution prothétique amovible. En ce qui concerne la prothèse fixée implanto-portée, on a constaté que l'os était moins fragile au maxillaire et lorsqu'il n'est pas directement dans le champ d'irradiation, et les études ont montré que la radiothérapie n'affectait pas l'ostéointégration de l'implant dans ce genre de situation par rapport à un sujet sain, pourtant il est conseillé que le patient soit exposé à une oxygénation hyperbare avant chirurgie implantaire pour que ça marche. Mais malgré tout le fait que l'os soit irradié représente une contre-indication absolue à la chirurgie implantaire. Dommage.

A part ça, si les caries de ce patient sont apparues à cause d'une hyposialie post-radique alors que l'hygiène est correcte, il serait préférable pour le patient de suivre une fluorothérapie avec des gouttières thermoformées pour prévenir l'apparition de futures caries. Ou bien dentifrice plus fluoré, bain de bouche fluoré.


--
Carmen


Choukroun Joseph

10/04/2012 à 10h28

80 Gy, c'est une très forte dose. Je soigne actuellement un patient qui a reçu 90 Gy et il est en ORN avec double fracture mandibulaire spontanée etc.. dramatique!
A partir du moment où on intègre que la vascularisation est moins bonne après irradiation, il est urgent de ne pas mettre de biomatériau et surtout pas du bovin!
Le caillot sanguin est préférable.
L'idéal est de combler avec du PRF, histoire d'accélérer la cicatrisation de l'alvéole et de favoriser la vascularisation du site. De nombreuses universités étrangères ont adopté ce protocole préventif dans les ON aux biphosphonates. Pas encore d'études publiées.


209209668 fh2mys - Eugenol
fredo667

10/04/2012 à 14h41

Il y a certainement plus de risqu potentiel sur l'extraction que sur l'implantation en elle même si risque il y a. Si ta cicatrisation post extractionnelle se passe bien, crois tu que le traumatisme est plus important avec un implant?

si tu ne veux pas traumatiser lors de la reconstruction avec un décollement périosté, curette bien, mets un matériau de comblement au fond à lente résorption, un collagene ou prf en surface, un fil en 8 dessus et tu attends. Puis tu y retournes en faisant juste une incision sans décoller, vire une rondelle de gencive, tu mets ton implant sans décoller et ta vis de cicatrisation.

Ca serait de ma dent et de mon irradiation, je demanderai à faire comme ça.

Mais ce n'est qu'un avis


Gbazylo1 fvg1vg - Eugenol
Aron

20/04/2012 à 11h14

Merci à tous pour ces conseils, spécialement à Carmen.


kingofdogs

20/04/2012 à 14h12

50gy+ 20 + 10 c'est pas comme une dose de 80.

Ensuite six mois c'est trop court. Si tu dois extraire c'est Tissucol (dans les 400€ il me semble = hospitalisation pour rentabiliser). Et pour l'implanto il devra attendre, à l'hosto ils le faisaient quand on avait la zone d'irradiation (tatouages souvent sur la peau : petits points noirs) et au maxillaire en général on est bon, mais passé un bon délai. Maintenant ils sont à l'hôpital, je ne pense pas tenter ça un jour en cabinet à moins d'être considéré comme un ponte et de penser connaître parfaitement tout les tenants et les aboutissants. Et fait très attention à l'hyposialie!

L'extraction à mon sens est beaucoup plus risquée que l'implanto, ne la fait pas chez toi.


laurent 02

20/04/2012 à 17h07

J'ai eu 2 cas d' ON : Une ON avec des biphosphonates à cause d' une extraction que j'ai réalisé sans savoir (c'était il y a longtemps). La patiente a terminé à l'hosto; J'en garde une mauvaise expérience.

Le 2° c'était une ORN suite à des extractions pratiquées à l'hospital avec le protocole qui va bien. Je n'est fait que suivre le cas et le soulager comme j'ai pu. J'en garde un encore plus mauvais souvenir!