Cookie Consent byPrivacyPolicies.comdyschromie patient 11 ans - Eugenol

dyschromie patient 11 ans

Little shop of horrors brzqjx - Eugenol
chatondecarte

28/03/2012 à 21h26

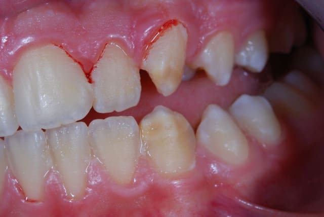
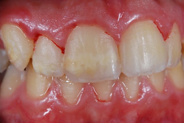
Bonjour, un petit patient de 11 ans présente ce genre de tâches. Il a une grosse demande esthétique. De quoi s'agit-il? (j'ai des lacunes en dyschromies...)

Apparemment ça touche plutôt la dentine, alors j'ai peur qu'une micro abrasion empire les choses.
Le blanchiment c'est niet à cet âge.

Je vais surement tenter une infiltration résineuse en désespoir de cause, mais je ne suis pas convaincu de l'efficacité.
Sinon c'est facettes compo sans préparation en attendant, et à 18 ans blanchiment + facettes céram.

ça vous parait correct?
L'hygiène a été amélioré par rapport aux photos.

Dsc 0543 rzeix5 - Eugenol
Dsc 0538 znjo9q - Eugenol
Dsc 0541 lsqrqm - Eugenol
Dsc 0542 k7um5x - Eugenol

Avatar hjdsnm - Eugenol
TiGabi

28/03/2012 à 21h44

Bonsoir,

Tu peux consulter le sujet suivant :
http://www.eugenol.com/sujets/396408-mih-encore-et-toujours


Little shop of horrors brzqjx - Eugenol
chatondecarte

28/03/2012 à 22h11

C'est un MIH?
Je croyais que ça ne touchait que les 1ere molaires et les incisives.


Avatar hjdsnm - Eugenol
TiGabi

29/03/2012 à 00h25

chatondecarte écrivait:
-----------------------
> C'est un MIH?
> Je croyais que ça ne touchait que les 1ere molaires et les incisives.

La définition se base sur l'atteinte des 1ères molaires permanentes (taches opaques délimitées blanches-jaunes). Dans 75% des cas, il y a également une atteinte des incisives. Et dans une faible proportion des cas, il y a une atteinte des canines (en général des pointes).
Dans le cas que tu présente, il me semble voir une tache en vestibulaire de 46.
Si c'est bien le cas, l'aspect délimité de ces opacités correspond bien à une MIH.


Utilisateur banni

29/03/2012 à 01h51

MIH pour moi aussi. Esthétique à onze?! Ce n'est pas plutôt à ses parents de choisir son bien être et à toi praticien de donner des conseils avisés? Il pourra bien patienter jusqu'à l'âge adulte, et son cas ne paraît pas dramatique.


Utilisateur banni

29/03/2012 à 01h53

Si tu veux améliorer l'esthétique tout de même : disques à polir comme les pop on par exemple, en augmentant la brillance tu diminues l'effet visuel sombre.


Utilisateur banni

29/03/2012 à 01h54

Même si je vois bien la teinte sur les photos et que j'imagine très bien sans plaque, je pense que déjà sans crasse l'esthétique est meilleure.