Cookie Consent byPrivacyPolicies.com23 implants, rehabilitation totale - Eugenol

23 implants, rehabilitation totale

Imagesca1x6rbd kwb9r6 - Eugenol
Dr Nedjat

29/03/2012 à 18h26

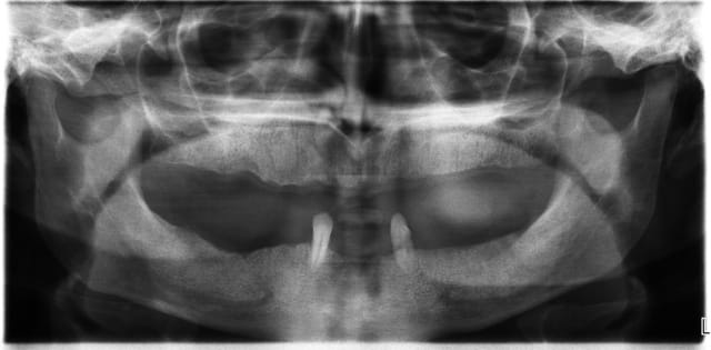
Un cas qui va sans doute prêter à discussions, juste pour montrer que la technique MIMI (non invasive) peut donner des résultats de qualité et esthétiques en moins de temps qu une chirurgie dite traditionnelle.
Les deux premières photos montrent le cas d´une jeune femme ( qui malheureusement s est fait retiré toutes les dents à l´étranger....).Ce cas a pu être terminé deux semaines après l´implantation.

3ème photo: radio d´un patient âgé de 73 ans qui souhaitait avoir des dents fixées.Comme on l´observe il n a plus de place après les foramines mentales.Nous avons donc utilisé juste l´os interforaminal. Nous avons suivi le concept du prof. Nentwig qui consiste à pouvoir ajouter 2 dents dans chaque quadrant dans la mandibule.

Les forets utilisés ont 3 faces et sont coniques (250 trs/min) permettent une condensation de l´os et un traitement minimalement invasif.

Je sais bien que 8 implants auraient suffit cependant 10 ont été posés.Nous voulions remplacer chaque racine avec un implant.

Le patient n a jamais eu de problèmes ( juste avec une hygiène buccale normale, brosse à dents).

Les deux dernières photos montrent le même cas deux ans plus tard.

Cordialement
Votre confrère Allemand qui adore votre forum!!!

Folie2 clffan - Eugenol
Folie5 t34bvs - Eugenol
Folie1 u37g13 - Eugenol
Folie3 zni7yk - Eugenol
20090826 133123 sbly3i - Eugenol
20090826 133452 r88of2 - Eugenol
20090826 133603 msb5n6 - Eugenol
20090826 133643 gjbftc - Eugenol
20090826 133701 ttzojh - Eugenol
20090826 134208 livmpk - Eugenol
20090901 105650 ej6hxt - Eugenol
P1 001 ifuebp - Eugenol
20090904 165920 mo7gab - Eugenol
Folie4 weu86p - Eugenol
20090907 140723 xgqpqa - Eugenol
20090907 145623 vlnqlz - Eugenol
Folie6 ukfaxe - Eugenol
Folie7 wklu4r - Eugenol
Folie8 j7lfcx - Eugenol

G-P

29/03/2012 à 19h05

Ça me fascine de te voir poser 10 implants en flapless à la mandibule sans guide ici, et réussir. On pourra discuter la méthode, mais pas la main du chirurgien. Bravo.


Photo pluton1b h9n4ea - Eugenol
pluton

29/03/2012 à 19h22

+1, même si je trouve qu'il y a un peu trop de titane...


implantista

29/03/2012 à 19h28

Pourquoi du scellé ?

Si problème survient, tu risques de t'amuser à déposer les dents.


Logo m4n3gc - Eugenol
drmarcus

29/03/2012 à 21h05

Pourquoi tu ne fais pas du Leone? Tu gagnerais en tranquillité, facilité comme en temps. Tu sembles pile dans la philosophie.
Je suis sur que tu pourrais faire encore plus. J'ai vérifié il y a un distributeur.
Je suis intrigué.

--
"La vis est à l'implant ce que la carie est à la dent!" (Pozzi)


Imagesca1x6rbd kwb9r6 - Eugenol
Dr Nedjat

29/03/2012 à 21h57

G-P écrivait:
-------------
> Ça me fascine de te voir poser 10 implants en flapless à la mandibule sans guide
> ici, et réussir. On pourra discuter la méthode, mais pas la main du chirurgien.
> Bravo.

:-) Merci beaucoup!
Mon guide était l´ancienne prothèse avec laquelle j´ai fait un OPG en plaçant un trombone metallique entre les dents 4 et 5 dans la prothèse, ainsi j ai pu utiliser la prothèse comme un guide pour éviter un problème avec la zone foraminale....


Imagesca1x6rbd kwb9r6 - Eugenol
Dr Nedjat

29/03/2012 à 21h59

pluton écrivait:
----------------
> +1, même si je trouve qu'il y a un peu trop de titane...

Merci pour ton message.

si un implant coûte 74€, ce n est pas nécessaire d´être "avare" ( ;-) )


Imagesca1x6rbd kwb9r6 - Eugenol
Dr Nedjat

29/03/2012 à 22h02

implantista écrivait:
---------------------
> Pourquoi du scellé ?
>
> Si problème survient, tu risques de t'amuser à déposer les dents.


Merci pour ta question.
La possibilité d´avoir des problèmes est augmentée si on ne fixe pas car on a toujours des connexions fixées (passiv fit) pour éviter d avoir des mouvement latéraux surtout entre les semaines 2 à 8 après l´implantation.


Imagesca1x6rbd kwb9r6 - Eugenol
Dr Nedjat

29/03/2012 à 22h04

drmarcus écrivait:
------------------
> Pourquoi tu ne fais pas du Leone? Tu gagnerais en tranquillité, facilité comme
> en temps. Tu sembles pile dans la philosophie.
> Je suis sur que tu pourrais faire encore plus. J'ai vérifié il y a un
> distributeur.
> Je suis intrigué.
>
> --
> "La vis est à l'implant ce que la carie est à la dent!" (Pozzi)


Merci pour ton commentaire, Leone est un bon système mais personnellement je préfère ce système, car pour corriger les divergences on peut utiliser des Prep caps


G-P

29/03/2012 à 22h40

A partir de quel pourcentage de titane dans le corps humain devient-on un androïde ?


Photo pluton1b h9n4ea - Eugenol
pluton

29/03/2012 à 22h59

Dr Nedjat écrivait:
-------------------
> pluton écrivait:
> ----------------
> > +1, même si je trouve qu'il y a un peu trop de titane...
>
> Merci pour ton message.
>
> si un implant coûte 74€, ce n est pas nécessaire d´être "avare" ( ;-) )

çà n'était pas pour le coût...mais pour le respect des distances entre chacun des implants...amha en bas 8 auraient suffit...


Imagesca1x6rbd kwb9r6 - Eugenol
Dr Nedjat

29/03/2012 à 23h05

G-P écrivait:
-------------
> A partir de quel pourcentage de titane dans le corps humain devient-on un
> androïde ?

:-) heyhey le petient n est a ce jour pas devenu un C3PO (star wars) moi encore c est rien, j ai rencontré un professeur de mexico qui a posé 40 implants de nobelbiocare qui était très fier d´implanter pour 20 000 euros!

J aime l humour francais!

Images 7  deuz6r - Eugenol

Photo pluton1b h9n4ea - Eugenol
pluton

29/03/2012 à 23h08

Dr Nedjat écrivait:
-------------------

> Merci pour ton commentaire, Leone est un bon système mais personnellement je
> préfère ce système, car pour corriger les divergences on peut utiliser des Prep
> caps

là par contre tu te trompes...avec le leone, tu peux corriger les divergences encore plus facilement...
et si c'est le "grip" de l'implant qui te gêne, y a le maxstability qui est superlatif
une petite vidéo perso que j'ai fait ici:

http://www.eugenol.com/sujets/396065-bluffe-le-leone-max-stab-en-eii-mci?page=1#post_609426

drmarcus!!! fait péter les photos des tes cas de "fou" avec des divergences extrêmes genre la canine avec le pilier custom, la molaire avec 2 implants qui "louchent", etc...;-))


Imagesca1x6rbd kwb9r6 - Eugenol
Dr Nedjat

29/03/2012 à 23h10

pluton écrivait:
----------------
> Dr Nedjat écrivait:
> -------------------
> > pluton écrivait:
> > ----------------
> > > +1, même si je trouve qu'il y a un peu trop de titane...
> >
> > Merci pour ton message.
> >
> > si un implant coûte 74€, ce n est pas nécessaire d´être "avare" ( ;-) )
>
> çà n'était pas pour le coût...mais pour le respect des distances entre chacun
> des implants...amha en bas 8 auraient suffit...


Tu as raison 8 auraient suffit normalement, mais l expérience nous a montré que les règles traditinelles ne sont pas valables pour les implants posés en minimal invasiv. En préservant le perioste on conserve une bonne nutrition peri implantaire et donc on peut faire des implants rapprochés sans danger ....
Il y a un livre d ailleurs très interessant et il existe en francais le titre doit être " implantologie flapless" , très documenté .Je l ai vu en vente à l ADF.


Imagesca1x6rbd kwb9r6 - Eugenol
Dr Nedjat

30/03/2012 à 00h51

pluton écrivait:
----------------
> Dr Nedjat écrivait:
> -------------------
>
> > Merci pour ton commentaire, Leone est un bon système mais personnellement je
> > préfère ce système, car pour corriger les divergences on peut utiliser des
> Prep
> > caps
>
> là par contre tu te trompes...avec le leone, tu peux corriger les divergences
> encore plus facilement...
> et si c'est le "grip" de l'implant qui te gêne, y a le maxstability qui est
> superlatif
> une petite vidéo perso que j'ai fait ici:
>
> http://www.eugenol.com/sujets/396065-bluffe-le-leone-max-stab-en-eii-mci?page=1#post_609426
>
> drmarcus!!! fait péter les photos des tes cas de "fou" avec des divergences
> extrêmes genre la canine avec le pilier custom, la molaire avec 2 implants qui
> "louchent", etc...;-))

merci pour ton commentaire.tu as l air de bien connaitre ce système !
-comme tu as vu j ai utilisé des monoblocs, et je ne pense pas que leone en fasse sauf des mini implants que je n utilise pas car titane grade5
-leone propose t il un implant pour le D1? (sur leur site web il était ecrit en rouge pas de D1, mais peut etre qu en realité ce n est pas le cas, je ne sais pas...)
-quelle est la connexion? quel est la taille du micro gap? (un lien?)
-pour la praticité le système que j utilise , seulement besoin de 5min pour poser l implant et cémenter le prepcap encore 5 min (tu peux le préparer comme une simple dent)

merci !




Photo pluton1b h9n4ea - Eugenol
pluton

30/03/2012 à 01h35

Dr Nedjat écrivait:
-------------------

> merci pour ton commentaire.tu as l air de bien connaitre ce système !

oui et non...oui parce que j'avais repéré depuis des années cette connexion...non parce que je ne l'utilise que depuis quelques mois...un peu comme ton système, il faut se faire "violence", bouleverser ses habitudes des systèmes à vis...


> -comme tu as vu j ai utilisé des monoblocs, et je ne pense pas que leone en
> fasse sauf des mini implants que je n utilise pas car titane grade5

le plus petit exacone ne fait que 3.3mm au col...en quoi çà te gêne que çà soit du TA6V? perso, je préfère moi...bien meilleures propriétés mécaniques et un alliage maîtrisé...faut pas oublier que le titane "pur" ne l'est qu'à 99% maxi, donc c'est déjà un alliage et toutes les méthodes de modifications des propriétés mécaniques (comme par ex la recuisson...) ne font qu'augmenter la "pollution" du fait de la très grande réactivité de se métal à son environnement...

> -leone propose t il un implant pour le D1? (sur leur site web il était ecrit en
> rouge pas de D1, mais peut etre qu en realité ce n est pas le cas, je ne sais
> pas...)

oui, on peut poser le leone dans du D1, y a des tarauds pour...


> -quelle est la connexion? quel est la taille du micro gap? (un lien?)

connexion conométrique (vrai cône morse) avantage d'un implant 2 pièces...mais une fois la partie prothétique impactée, se comporte comme un implant monobloc...
pilier pleins, 360° de liberté pour la partie prothétique (tout en restant antirotationnel s'il le faut...) taillables en bouche, angulations "usine" jusqu'à 25°, piliers personnalisables si on a besoin de plus, piliers provisoire en peek...et contrairement à ce que l'on peut craindre, c'est démontable...avec une simple pince d'orthodontie (pince de weinghart)
http://www.leone.it/english/implantology/implant-system.php?img=1

> -pour la praticité le système que j utilise , seulement besoin de 5min pour
> poser l implant et cémenter le prepcap encore 5 min (tu peux le préparer comme
> une simple dent)

as-tu regardé ma petite vidéo?
je n'ai pas ton expérience (quelques centaines d'implants alors que tu en es à plusieurs milliers...) mais mon intervention d'EII avec MCI a durée au total (de l'anesthésie locale à le fin de l'intervention) environ 45 minutes, en prenant mon temps...histoire de faire de belles images...
>
> merci !

de rien...
j'ai regardé pour ma part ta vidéo...c'est sûr que tu as une grande expérience et une grande maîtrise...
le seul truc qui me gêne, c'est que c'est ton système et que quelque part tu viens le présenter/vendre sur le forum...mais bon, c'est aussi le jeu et au moins tu ne t'en caches pas vraiment...

je repense à ta remarque sur le D1...c'est sûr qu'avec un protocole de forage comme il est conçu et avec ce type d'implant...c'est pas l'idéal...dans ces cas là le leone te comblerait...mais tu risquerais d'y prendre goût...;-)


Imagesca1x6rbd kwb9r6 - Eugenol
Dr Nedjat

30/03/2012 à 01h44

pluton écrivait:
----------------
> Dr Nedjat écrivait:
> -------------------
>
> > merci pour ton commentaire.tu as l air de bien connaitre ce système !
>
> oui et non...oui parce que j'avais repéré depuis des années cette
> connexion...non parce que je ne l'utilise que depuis quelques mois...un peu
> comme ton système, il faut se faire "violence", bouleverser ses habitudes des
> systèmes à vis...
>
>
> > -comme tu as vu j ai utilisé des monoblocs, et je ne pense pas que leone en
> > fasse sauf des mini implants que je n utilise pas car titane grade5
>
> le plus petit exacone ne fait que 3.3mm au col...en quoi çà te gêne que çà soit
> du TA6V? perso, je préfère moi...bien meilleures propriétés mécaniques et un
> alliage maîtrisé...faut pas oublier que le titane "pur" ne l'est qu'à 99% maxi,
> donc c'est déjà un alliage et toutes les méthodes de modifications des
> propriétés mécaniques (comme par ex la recuisson...) ne font qu'augmenter la
> "pollution" du fait de la très grande réactivité de se métal à son
> environnement...
>
> > -leone propose t il un implant pour le D1? (sur leur site web il était ecrit
> en
> > rouge pas de D1, mais peut etre qu en realité ce n est pas le cas, je ne sais
> > pas...)
>
> oui, on peut poser le leone dans du D1, y a des tarauds pour...
>
>
> > -quelle est la connexion? quel est la taille du micro gap? (un lien?)
>
> connexion conométrique (vrai cône morse) avantage d'un implant 2 pièces...mais
> une fois la partie prothétique impactée, se comporte comme un implant
> monobloc...
> pilier pleins, 360° de liberté pour la partie prothétique (tout en restant
> antirotationnel s'il le faut...) taillables en bouche, angulations "usine"
> jusqu'à 25°, piliers personnalisables si on a besoin de plus, piliers provisoire
> en peek...et contrairement à ce que l'on peut craindre, c'est démontable...avec
> une simple pince d'orthodontie (pince de weinghart)
> http://www.leone.it/english/implantology/implant-system.php?img=1
>
> > -pour la praticité le système que j utilise , seulement besoin de 5min pour
> > poser l implant et cémenter le prepcap encore 5 min (tu peux le préparer comme
> > une simple dent)
>
> as-tu regardé ma petite vidéo?
> je n'ai pas ton expérience (quelques centaines d'implants alors que tu en es à
> plusieurs milliers...) mais mon intervention d'EII avec MCI a durée au total (de
> l'anesthésie locale à le fin de l'intervention) environ 45 minutes, en prenant
> mon temps...histoire de faire de belles images...
> >
> > merci !
>
> de rien...
> j'ai regardé pour ma part ta vidéo...c'est sûr que tu as une grande expérience
> et une grande maîtrise...
> le seul truc qui me gêne, c'est que c'est ton système et que quelque part tu
> viens le présenter/vendre sur le forum...mais bon, c'est aussi le jeu et au
> moins tu ne t'en caches pas vraiment...
>
> je repense à ta remarque sur le D1...c'est sûr qu'avec un protocole de forage
> comme il est conçu et avec ce type d'implant...c'est pas l'idéal...dans ces cas
> là le leone te comblerait...mais tu risquerais d'y prendre goût...;-)

tu as une bonne maitrise également 100 implants, 1000 ou 10000 peu importe....ce qui compte au fond c est que le patient soit satisfait et je suis sur que le tien à été très heureux du traitement que tu lui as fait. Champions ou leone les deux marchent , de manière différente. Si à la base j ai crée ce système c etait aussi pour le patient et proposer un traitement de qualité moins contraignant et surtout moins cher car tous malheureusement n ont pas les moyens de se faire soigner. C est sur que je crois en ce système mais je n aime pas faire la guerre aux autres, ce qui est important c est que chaque praticien puisse trouver un système qu il lui convienne et abordable pour ses patients! :-)
je crois aussi que ce système peut apporter quelque chose aux patients surtout la technique et puis j aime bien la france c est pourquoi quand j ai vu ce forum je suis venu!: -) j espère que vous aimez aussi les allemands!!!! ;-)


Photo pluton1b h9n4ea - Eugenol
pluton

30/03/2012 à 02h17

je n'ai rien contre en tout cas...;-)

ton système est intéressant, surtout en terme de prix si j'ai bien compris
mais j'ai déjà dans mon arsenal implantaire un système qui y ressemble beaucoup

http://www.dentogem.com/boutique/gamme-slimline-body-c-88_90.html

et encore plus économique, comme tu peux le voir en te baladant sur leur site...;-)
se sont des implants dentium (coréens)

tes protocoles opératoires sont intéressants, mais tes implants ont pour moi un air de "déjà vu" même si tu as aussi quelques spécificités (pour moi, aucun implant sur le marché n'est vraiment parfait...sauf celui qui me trotte dans la tête...mais bon, peut être qu'un jour...)

mais bon, montres encore des cas cliniques, çà manque en se moment sur eugénol et on apprend beaucoup au contact de ceux qui ont ton expérience...;-)


Imagesca1x6rbd kwb9r6 - Eugenol
Dr Nedjat

30/03/2012 à 12h09

pluton écrivait:
----------------
> je n'ai rien contre en tout cas...;-)
>
> ton système est intéressant, surtout en terme de prix si j'ai bien compris
> mais j'ai déjà dans mon arsenal implantaire un système qui y ressemble beaucoup
>
> http://www.dentogem.com/boutique/gamme-slimline-body-c-88_90.html
>
> et encore plus économique, comme tu peux le voir en te baladant sur leur
> site...;-)
> se sont des implants dentium (coréens)
>
> tes protocoles opératoires sont intéressants, mais tes implants ont pour moi un
> air de "déjà vu" même si tu as aussi quelques spécificités (pour moi, aucun
> implant sur le marché n'est vraiment parfait...sauf celui qui me trotte dans la
> tête...mais bon, peut être qu'un jour...)
>
> mais bon, montres encore des cas cliniques, çà manque en se moment sur eugénol
> et on apprend beaucoup au contact de ceux qui ont ton expérience...;-)

Je mettrai des autres cas ( j ai déjà ajouté quelques photos sur le sujet implantation immédiate 26 pour montrer une technique pour les incisives et la création d une nouvelle alvéole). Si tu as une idée lances toi!!! c est comme cela que ca a commencé pour moi au début j ai crée des implants et des forêts pour moi même et puis au fil du temps.... je suis allé voir ton link je connaissais pas ! mais ca va les coreens ne battent pas mes prix! (je crois 125 un implant chez eux contre 74 € chez nous pour un monobloc et 59€ pour un deux pièces plus 19€pour un abutment) . Mais je trouve que leur shop online est très bien construit c´était intéressant !Merci
Autre sujet , je ne sais pas si ca peut intéresser et surtout je ne sais pas si ca existe en france de faire des "webinar" pour parler des cas et de la technique, c est sympa comme truc un peu comme un forum la video en plus!


Imagesca1x6rbd kwb9r6 - Eugenol
Dr Nedjat

30/03/2012 à 12h10

pluton écrivait:
----------------
> je n'ai rien contre en tout cas...;-)
>
> ton système est intéressant, surtout en terme de prix si j'ai bien compris
> mais j'ai déjà dans mon arsenal implantaire un système qui y ressemble beaucoup
>
> http://www.dentogem.com/boutique/gamme-slimline-body-c-88_90.html
>
> et encore plus économique, comme tu peux le voir en te baladant sur leur
> site...;-)
> se sont des implants dentium (coréens)
>
> tes protocoles opératoires sont intéressants, mais tes implants ont pour moi un
> air de "déjà vu" même si tu as aussi quelques spécificités (pour moi, aucun
> implant sur le marché n'est vraiment parfait...sauf celui qui me trotte dans la
> tête...mais bon, peut être qu'un jour...)
>
> mais bon, montres encore des cas cliniques, çà manque en se moment sur eugénol
> et on apprend beaucoup au contact de ceux qui ont ton expérience...;-)

Je mettrai des autres cas ( j ai déjà ajouté quelques photos sur le sujet implantation immédiate 26 pour montrer une technique pour les incisives et la création d une nouvelle alvéole). Si tu as une idée lances toi!!! c est comme cela que ca a commencé pour moi au début j ai crée des implants et des forêts pour moi même et puis au fil du temps.... je suis allé voir ton link je connaissais pas ! mais ca va les coreens ne battent pas mes prix! (je crois 125 un implant chez eux contre 74 € chez nous pour un monobloc et 59€ pour un deux pièces plus 19€pour un abutment) . Mais je trouve que leur shop online est très bien construit c´était intéressant !Merci
Autre sujet , je ne sais pas si ca peut intéresser et surtout je ne sais pas si ca existe en france de faire des "webinar" pour parler des cas et de la technique, c est sympa comme truc un peu comme un forum la video en plus!


Logo m4n3gc - Eugenol
drmarcus

30/03/2012 à 12h23

Bravo Pluton! Faire peter mes cas comme tu dis ça n'a pas grand interet comme cela.
Tu ne dis que des choses exactes.
Maintenant je comprends mieux, notre ami pose ses propres implants. La seule chose qui me dérange et surtout m'ennuirait à long terme est la taille en bouche, j'aime trop la facilité et la précision du paralléliseur du prothésiste.

Merci pour ces beaux cas. Et pour la quantité d'implant je fais parfois de même; de toute façon quand c'est une réhabilitation totale se suis au forfait. Le perdant dans ces conditions (en notant le nbre d'implant mis généralement dans cette situation) ce ne peut etre que moi.

--
"La vis est à l'implant ce que la carie est à la dent!" (Pozzi)


Imagesca1x6rbd kwb9r6 - Eugenol
Dr Nedjat

30/03/2012 à 12h55

drmarcus écrivait:
------------------
> Bravo Pluton! Faire peter mes cas comme tu dis ça n'a pas grand interet comme
> cela.
> Tu ne dis que des choses exactes.
> Maintenant je comprends mieux, notre ami pose ses propres implants. La seule
> chose qui me dérange et surtout m'ennuirait à long terme est la taille en
> bouche, j'aime trop la facilité et la précision du paralléliseur du prothésiste.
>
> Merci pour ces beaux cas. Et pour la quantité d'implant je fais parfois de même;
> de toute façon quand c'est une réhabilitation totale se suis au forfait. Le
> perdant dans ces conditions (en notant le nbre d'implant mis généralement dans
> cette situation) ce ne peut etre que moi.
>
> --
> "La vis est à l'implant ce que la carie est à la dent!" (Pozzi)

bonjour marcus! tu peux mettre tes cas , tu sais je trouve ca intéressant et puis on est pas là pour savoir quel système est meilleur que l autre comme je l ai dit j aime pas faire la "guerre" aux autres, leone marche, d autres marchent de manière différente, il y en a qui préfèrent nobel, d autres tekka....
je trouve que ce n est pas négatif de parler du système que l on a creer soi même, les echanges sont interessants et ca serait bien aussi que les createurs de tekka, nobel.. viennent parler ! on es là pour echanger, montrer nos cas , partager nos astuces (enfin je crois) et faire un peu d humour aussi! :-) je ne voulais pas "vendre" mon système qui marche déjà bien mais juste montrer une technique que je pense différente et qui pourrait selon moi apporter quelque chose au patient, comme le ferait n importe quel autre dentiste! si cela vous dérange il ne faut pas hésiter à me le dire :-) et puis point important aussi j ai déja améliorer un peu mon francais!!!!grâce à vous!on a toujours quelque chose à apprendre des autres! :-)

Danke!


Utilisateur banni

30/03/2012 à 13h19

Bonjour à tous,
Je suis sorti de la fac il n'y a pas si longtemps (6ans environ) et je ne me souviens pas franchement que l'on m'y ait fait l'apologie des mini implants, il n'y en avait que pour Br... et No... J'avoue que j'ai eu du mal à croire que mes enseignants n'avaient pas de parti pris.
Vos techniques m'intéressent d'autant plus qu'elles représentent une réelle alternative à ces systèmes classiques et à des tarifs nettement plus abordables.
J'essaierai de me documenter sur ces sujets, même si mécaniquement rien ne remplace une dent et que tout système à angle vif est susceptible d'engendrer des fractures, m'enfin comme on rien inventé de mieux pour stabiliser pour l'heure, il faut faire avec.
Si certains de vous posent dans l'est ou on des contact je suis preneur.


Img 0128 2 2 sriwku - Eugenol
drlorente

30/03/2012 à 14h45

Pour compléter le cas du dr Nedjat, dont j'utilise depuis plus de trois ans techniques et implants voilà un traitement d'édentement complet (en cours) avec des monoblocs aux axes corrigés par des prep caps en titane ou zircone qui sont cémentés. La prothèse complète du patient a été transformée en provisoire de qualité car au programme mois prochain il y a le bas..Toutes les photos et radios ont été faites jour de la pose. sauf la pano avant les ext bien sur :)
Ce weekend e je posterai une description détaillée de la technique sans lambeau MIMI avec des cas bien plus pointus que celui ci..a suivre

7556 1 lznojs - Eugenol
7556 38 q2ctvm - Eugenol
7556 41 wy5zxv - Eugenol
7556 45 eunzel - Eugenol
7556 49 fnd4eg - Eugenol
7556 20 mwymnb - Eugenol
7556 23 rtyaau - Eugenol
7556 25 q545zl - Eugenol
7556 26 eymceh - Eugenol
7556 29 k9ohdk - Eugenol
7556 32 oxdicb - Eugenol
7556 33 oqu41z - Eugenol
7556 36 mcgg6i - Eugenol
7556 39 xaqv08 - Eugenol
7556 40 lhxegx - Eugenol
7556 42 kbzugt - Eugenol
7556 48 rxuk1d - Eugenol

Imagesca1x6rbd kwb9r6 - Eugenol
Dr Nedjat

30/03/2012 à 19h47

drlorente écrivait:
-------------------
> Pour compléter le cas du dr Nedjat, dont j'utilise depuis plus de trois ans
> techniques et implants voilà un traitement d'édentement complet (en cours) avec
> des monoblocs aux axes corrigés par des prep caps en titane ou zircone qui sont
> cémentés. La prothèse complète du patient a été transformée en provisoire de
> qualité car au programme mois prochain il y a le bas..Toutes les photos et
> radios ont été faites jour de la pose. sauf la pano avant les ext bien sur :)
> Ce weekend e je posterai une description détaillée de la technique sans lambeau
> MIMI avec des cas bien plus pointus que celui ci..a suivre


Merci ! tu en parlera de façon certainement plus claire que moi et surtout dans un meilleur francais!!! :-)


12...