Cookie Consent byPrivacyPolicies.comChirurgie implantaire MIMI (Minimale Invasion Method - Eugenol

Chirurgie implantaire MIMI (Minimale Invasion Method Implantation) ..présentation

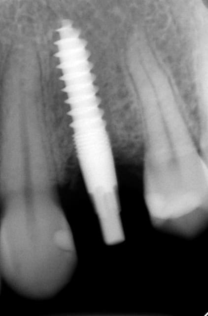
Img 0128 2 2 sriwku - Eugenol
drlorente

31/03/2012 à 14h09

La chirurgie implantaire en technique classique est largement détaillée..les techniques sans lambeau le sont aussi.. mais la plupart du temps associées à des guides qui imposent scanner modélisation 3D et une augmentation des contraintes chirurgicales..temporelles..et financières pour l'équipe soignante et bien pour le patient..
Le dr Nedjat (Un confrere Allemand dont certains viennent de faire connaissance sur le forum ..surveillez ses posts!!) a développé depuis 15 ans une technique trans gingivale unique associée à un système performant.
La technique MIMI.
Je parlerai que de la technique je suis pas un commercial j'interviens à sa demande pour la partie clinique c'est un ami .
Sachez juste que rien qu'en Allemagne il y a 2500 praticiens qui l'utilisent pour pres de 50000 implants en 2011..et un ratio cout/efficacité imbattable..
Donc l'idée est de réaliser un forage à minima en trans gingival avec un foret pyramidal. Pistez mes posts j'ai déjà mis des photos et radios en commentaire des deux sujet ouverts par le dr Nedjat.
Le concept est de faire une chirurgie dite "en trou de serrure".
Vous pouvez faire une radio foret en place, il faut verifier l'intégrité des parois osseuses à la sonde.
Pour rendre hommage au dr Gérard Zuck d'Aix en provence que beaucoup connaisse on a avec ce foret jaune en place le concept OPA Orientation Parallélisme Antagoniste.
Clairement on sait comment va être placé l'implant, l'emmergeance prothétique, la relation aux adjacentes et antagoniste.
Ensuite il faut utiliser des expanseurs osseux (tarauds dilatateurs en 2,4 et 3mm) manipulés à la clef dynamométrique.
l'idée est de placer un implant de 3,5mm en monobloc ou en deux pieces. La divergence du monobloc est corrigé avec les prep caps zircone ou titane clavetés/cementés sur la tête carrée de l'implant ( décrit dans un autre post)
Les implants en 4,5mm et 5,5mm ne sont utilisés que si n'on obtient pas de stabilité primaire de 40N avec un 3,5mm. Le 3,5 dans ce cas a servi d'osteotome elargisseur.
En principe la stabilité primaire est plutôt de 60N voir plus..le concept du monobloc qui a initié cette technique imposant une mise en charge immédiate.
Bon ca va être chaud aussi coté question..a suivre : question = réponse par un cas clinique du dr Nedjat ou de moi meme -mais vu la météo et que j'ai une nouvelle moto à roder je vais un peu lacher l'ordi ce week end..:)-

Drill ge avkfc8 - Eugenol
Drill rt orhz0t - Eugenol
Tiefenmesssonde vkewif - Eugenol
Uk drill ge cpxvmy - Eugenol
Uk kkk jsvaiv - Eugenol
Mimi 04 h72acq - Eugenol
Mimi 05 lr49q8 - Eugenol
Einsetzen hand uvrzwl - Eugenol
Ratsche auf ebh ky22pn - Eugenol
Ratsche knick qwneat - Eugenol
Untitled - Eugenol
Neue prep caps zro2 nowbwx - Eugenol
Untitled - Eugenol
Untitled - Eugenol
M0490 jipszb - Eugenol
M0493 hr6q6v - Eugenol
Untitled - Eugenol

Imagesca1x6rbd kwb9r6 - Eugenol
Dr Nedjat

31/03/2012 à 19h08

comme promis , la courbe , basée sur l ´étude de 5000 implants (implantés selon MIMI) qui ont été étudiés chaque semaine post op avec un periotest ( gulden)

Si il y a plus de 3 implants pour un bridge, on a le choix de terminer la supraconstruction soit durant les deux premières semaines soit commencer après la 8 ème semaine.



Img 3657 cwjvqm - Eugenol
alapex

01/04/2012 à 10h25

Oui , en implantologie il y a toujours le même problème récurrent , soit on présente les choses en s'arrangeant pour embrouiller le plus grand nombre avec des cas que personne ne fera jamais , par conséquent personne ne franchit jamais le cap (c'était le cas il y a 20 ans); soit on présente ça comme un "truc" à la portée de tout le monde avec une trousse des plus pratique , plus pratique que ce qui se faisait déjà et innovatrice à souhait , avec des implants qui s'intègrent de chez "intégré" en un temps record , une connectique idéale et des cas cliniques j'en parle même pas .
Bref je trouve perso qu'à la limite si le 1er cas est exécrable , le 2ème est dangereux .

PS/ Les œufs dimanche prochain , c'est le matin ou l'après midi ?


Logo m4n3gc - Eugenol
drmarcus

01/04/2012 à 12h11

Euh le foret ressemble plus à un alésoir, certes avec une pointe d'attaque.
Un foret comporte une ou plusieurs hélices généralement.Il n'existe aucun angle d'attaque sur le tien en plus. Dans un os D1 tu le foireras systématiquement.
Plus mécaniquement parlant c'est au niveau de l'ajustage que diffère un foret d'un alesoir. Avec le foret la tolerance est grossière c'est pour cela que dans vos trousses le foret terminal est largement sous dimensionné. Généralement le taraud que l'on passe après (os D1 D2 parfois) ne fait pas un pas de filettage au sens propre (sauf implant court) mais "mache" l'os afin qu'il soit plus malléable au vissage de l'implant.


--
"La vis est à l'implant ce que la carie est à la dent!" (Pozzi)


Logo m4n3gc - Eugenol
drmarcus

01/04/2012 à 12h19

Prétendre l'utilisation d'un périotest en preuve n'est pas forcément une bonne idée.

Le périotest ne devrait être indiqué que pour les plateformes à hexagone interne ou externe.

Pour les systèmes sans vis (Anthogyr mini implant, Bicon, et Leone) il n'est d'aucune utilité. Du moins il ne renseignera pas utilement sur l'ostéointégration. Les implants, même ceux insuffisamment osteointégrer, apparaîtront parfaitement osteointégrés du fait de leur comportement monobloc.

Pour les systèmes vis + cône tout dépendra de la liaison. Si comme les commerciaux le prétendent c'est homogène retour au début de mon explication sinon oui. Dans cette dernière situation c’est reconnaître les défauts de liaisons mécaniques.

A vous de comprendre et d'en tirer les conclusions.


--
"La vis est à l'implant ce que la carie est à la dent!" (Pozzi)


Img 0128 2 2 sriwku - Eugenol
drlorente

01/04/2012 à 14h14

drmarcus écrivait:
------------------
> Prétendre l'utilisation d'un périotest en preuve n'est pas forcément une bonne
> idée.
>
> Le périotest ne devrait être indiqué que pour les plateformes à hexagone interne
> ou externe.
>
> Pour les systèmes sans vis (Anthogyr mini implant, Bicon, et Leone) il n'est
> d'aucune utilité. Du moins il ne renseignera pas utilement sur
> l'ostéointégration. Les implants, même ceux insuffisamment osteointégrer,
> apparaîtront parfaitement osteointégrés du fait de leur comportement monobloc.
>
> Pour les systèmes vis + cône tout dépendra de la liaison. Si comme les
> commerciaux le prétendent c'est homogène retour au début de mon explication
> sinon oui. Dans cette dernière situation c’est reconnaître les défauts de
> liaisons mécaniques.
>
> A vous de comprendre et d'en tirer les conclusions.
>
>
> --
> "La vis est à l'implant ce que la carie est à la dent!" (Pozzi)

Il n'y a pas de système implantaire ideal, on est bien d'accord et loin de moi l'idée de vouloir faire passer le message qu'avec cette approche chirurgicale on peut rendre l'implantologie accessible a tous facilement...C'est jamais facile et les pièges dans notre métier on connait tous ca..pour exemple l'endo optimisé avec la rotation et les limes titane..qui n'a pas cassé dans le tier apical..alors facile?? Je me méfie des forum..et en principe quand je parle de mon expérience je commence par mes echecs histoire de refroidir les ardeurs..Ok j'ai balancé quelques photos et radios je pense pas trop mauvaises (j'en ai des dizaines d'autres) ..sur les deux sujets ouverts par le dr Nedjat pour l'accompagner (par amitié) et à sa demande..Il adore les forum, l'échange, la discussion..ne vous mettez pas en rogne contre lui, ne voyez pas un vilain commercial. C'est vrai qu'il est directeur de sa boite d'implant mais chez lui il n'y a aucun commercial. Surprenant non? Quand je dis aucun c'est aucun ! Pas de gentille minette qui vas faire le tour des 2800 clients en Allemagne. Que des confrères qui font leur choix et de sacré bon je vous assure associé à de sacré bons laboratoires.
J'ai modestement plus de 10 ans d'implanto dans les mains, j'ai fait beaucoup de Straumann, du Branemark System, et mon nom est encore noté dans la premiere étude faite par Eurotechnika..On est des cliniciens a nous d'avoir notre vigilance car les patients ils sont entre nos mains. J'étais dans la salle à Marseille en 2002 quand le Professeur Branemark a présenté l'état de surface Ti Unite. La question a été posée vis a vis des études du recul vu que le Pr Branemark avait habitué la communauté scientifique à garder au secret en étude pendant des années ses évolutions avant de les commercialiser. Il n'y a aucune critique mais c'est une évidence..le commercial l'emportait alors chez NB..Depuis on nous promet régulièrement des miracles a coup de technologie et d'investissements colossaux. Bien sur a force la 3D, les guides etc ca va marcher..mais à quel prix.
Passé ce préambule vous avez raison sur certains points, entre autre il est reconnu que le périotest n'offre pas des valeurs reproductibles..c'est l'argument du concurrent l'Ostel avec lequel il faut visser le capteur..peut être le Dr Nedjat devrai inventer une piece à visser sur les monoblocs ou les deux pieces et refaire ses études ..certe..
Pour en revenir à ce concept chirurgical associé à des implants spécifiques, il y a des indications et elles sont nombreuses dans nos cabinet.
C'est au praticien de se positionner, pas pour se faire plaisir, mais pour soigner son patient avec le moins de contraintes chirurgicales, temporelles et financières et avec le meilleur ratio pérennité/efficacité.
En Allemagne ils ont l'expérience et ils sont de plus en plus nombreux tous les jours a utiliser ces implants en monobloc ou deux pieces en technique MIMI.
La conséquence, entre autre, est que les tarifs des traitements sont en principe ceux qu'on trouve sur le net dans les centres de tourisme dentaire au porte de l'europe.
Vous allez me dire "ou est l'expertise scientifique " c'est une question qu'on a souvent abordé le dr Nedjat et moi.. être un "excellent" clinicien ne suffit pas..
On n'a pas l'agrément FDA par hazard..Le renouvellement se fait avec de telles contraintes que je crois que cette année le dr Nedjat doit faire face à un bilan scientifique drastique... Il y a tout un travail de collecte d'articles et référence en cours pour offrir des heures de lecture aux mordus de la bibliographie.
Pour les autres les cliniciens ceux qui touchent à l'os pour de vrai, je dis oui il y a de bonnes indications pour cette chirurgie MIMI comme il y a des contre indications des pièges etc. Je voudrai pas que des novices fassent des conneries en forant n'importe ou n'importe comment..Ce Forum est destiné aux diplômés que nous sommes alors pas de confusions. Pas de bêtises avec les implants quelque soit la marque et la methode.
Leçon ce ces quelques échanges entre confreres Français et au vu des réponses faites au dr Nedjat sur ses posts : Le sujet ne se prete peut être pas à un forum..Pas en France.


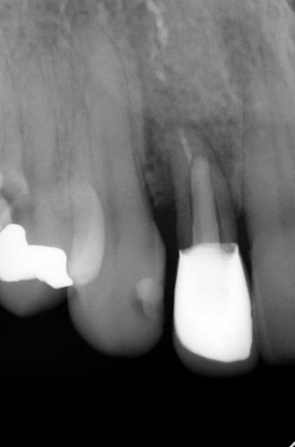
3f3boxni50k58rq7e9ce9ddqrxgk - Eugenol
dentiste57

01/04/2012 à 15h10

drlorente écrivait:
loin de moi
> l'idée de vouloir faire passer le message qu'avec cette approche chirurgicale on
> peut rendre l'implantologie accessible a tous facilement...

et bien loin de moi l'idée de croire que tu n'es pas un commerciale...


Img 0128 2 2 sriwku - Eugenol
drlorente

01/04/2012 à 15h53

dentiste57 écrivait:
--------------------
> drlorente écrivait:
> loin de moi
> > l'idée de vouloir faire passer le message qu'avec cette approche chirurgicale
> on
> > peut rendre l'implantologie accessible a tous facilement...
>
> et bien loin de moi l'idée de croire que tu n'es pas un commerciale...

Je connaissais pas le forum..Ok en 48h j'ai appris et c'est pas pour moi...quand tu parles de matériaux de comblement pour les sinus tu le fait en tant qu'utilisateur non ? Tu le fais pas pour que des confreres achètent tel ou tel marque ? Eh bien moi c'est la meme chose. Passage rapide dans l'univers du forum et demain retour à ma vrai activité en lien avec la profession : mon cabinet ..certainement la meme que toi. Bon dimanche.


Marque a3 orange fyvhyq - Eugenol
Marc Apap

01/04/2012 à 16h08

Sur ce forum, même les plus zinzins ont droit de cité pour défendre leurs points de vue les plus foireux. Ils sont accueillis à bras ouverts pour des discussions sans fin.
Mais dès qu'il s'agit de parler d'argent, ou tout simplement d'évoquer ce qui de près ou de loin ressemble à du commerce, cela donne de gros gros boutons à la plupart des participants.
Donc, si on veut promouvoir une nouvelle méthode, il y a des façons de s'y prendre. Y aller sur la pointe des pieds, ne pas faire trop de rentre dedans. Vous avez été assez diplomates les gars, c'est un bon point. Pas comme ce Pelé qui se fait copieusement insulter et répond de la même manière avec agressivité.
Dommage que ça n'aille pas plus loin. Parce que pour le moment, je dois avouer que dans un camp comme dans l'autre, je ne vois rien de convaincant pour décider s'il s'agit d'une supercherie ou d'une réelle avancée.
Mais c'est vrai Marcus, que je n'y connais rien en mécanique implantaire, encore beaucoup moins qu'en Cerec. En revanche, la biologie buccale, ça me parle.


Fresh watermelon 640x562 udulqz - Eugenol
gulguch

01/04/2012 à 16h38

drlorente écrivait:
>
> Je connaissais pas le forum..Ok en 48h j'ai appris et c'est pas pour moi...quand
> tu parles de matériaux de comblement pour les sinus tu le fait en tant
> qu'utilisateur non ? Tu le fais pas pour que des confreres achètent tel ou tel
> marque ? Eh bien moi c'est la meme chose. Passage rapide dans l'univers du forum
> et demain retour à ma vrai activité en lien avec la profession : mon cabinet
> ..certainement la meme que toi. Bon dimanche.

Ne le prenez pas mal, drlorente: n'importe qui montrant quelquechose de différent de la méthode "majoritaire" se fait incendier sur le forum: c'est un comportement humain.
Vous avez été "relativement" peu maltraité :-).
Moi je trouve votre démarche interessante et je vous engage à continuer à communiquer.
A+


3f3boxni50k58rq7e9ce9ddqrxgk - Eugenol
dentiste57

01/04/2012 à 18h29

je n'insulte personne.

je subodore une démarche commerciale, c'est tout. mais, je peux me tromper...


Marque a3 orange fyvhyq - Eugenol
Marc Apap

01/04/2012 à 18h54

Chacun ici y va de son petit commerce. C'est une question de degré et de cible. Sur les forum américains, les agents de telle ou telle compagnie ont leur place comme n'importe quel autre participant. Ici, c'est tabou.
Personnellement, je m'en fiche. Ceux qui avancent avec de très très gros sabots, ce n'est pas difficile de les repérer.
En ce qui concerne le sujet qui nous préoccupe, je trouve dommage que des personnes compétentes sur le plan scientifique ne s'expriment pas. Est-ce un signe ?


Modérateur

01/04/2012 à 20h57

.......


jean 57

02/04/2012 à 01h29

je trouve le concept reelement interessant
cela me donnerait presqu'envie de commencer l'implantologie
des que j'entend plus simple et efficace je prete une grande attention car il y a du progres dans l'air
merci pour ces posts qui permettent une reelle ouverture d'esprit
je continuerai à vous lire tres attentivement


3f3boxni50k58rq7e9ce9ddqrxgk - Eugenol
dentiste57

02/04/2012 à 02h15

Marc Apap écrivait:
-------------------

> En ce qui concerne le sujet qui nous préoccupe, je trouve dommage que des
> personnes compétentes sur le plan scientifique ne s'expriment pas. Est-ce un
> signe ?
c'est parce qu'il y a trop de trucs loufocs en ce moment, du coup, ça lasse: pelé , ...


Img 0128 2 2 sriwku - Eugenol
drlorente

02/04/2012 à 23h31

jean 57 écrivait:
-----------------
> je trouve le concept reelement interessant
> cela me donnerait presqu'envie de commencer l'implantologie
> des que j'entend plus simple et efficace je prete une grande attention car il y
> a du progres dans l'air
> merci pour ces posts qui permettent une reelle ouverture d'esprit
> je continuerai à vous lire tres attentivement

Attention a ce qui peut paraitre trop simple..j'ai ouvert ce sujet suite à la mise en ligne de quelques uns de mes traitements dans l'idée d'apporter une illustration "made in France" aux sujets du dr Nedjat..dans l'enthousiasme je ne me suis pas rendu compte que ca peut induire en erreur :
Je déconseille de commencer l'implantologie avec la technique MIMI.
C'est mon opinion que j'ai eu déjà l'occasion de formuler à certains confreres trop optimistes.
Je pense que c'est d'une bonne expérience de l'implantologie conventionnelle, que ce soit en enfouis strict ou en non enfouis (mais de toute façon avec lambeau) qu'ensuite on peut s'aventurer sur ce type de technique mais il y a toujours une courbe d'apprentissage et c'est toujours quand on est trop confiant que l'on commence à faire des erreurs...On oublis vite alorsles conditions d'utilisations préconisés par le fabricant..

Rien ne vaut une petite revue des echecs directement inhérents à la technique..

- Perforation vestibulaire ..toujours vérifier l'intégrité du forage à la sonde.. si il y a perforation ne pas placer l'implant ..Il faut noter que l'effet dilatateur de l'implant peut entrainer l'effraction vestibulaire mais là en principe le maintien du périoste est un allié.

-couple de serrage ..trop faible..prévoir un diamètre supérieur on peut se faire avoir avec un os D4 et serrer dans du "mou" dans ce cas l'implant 3,5 sert d'ostéotome et on place un 4,5mm..j'ai jamais eu besoin du 5,5 qui existe..

-couple de serrage trop fort..danger ..risque de blocage de l'implant ou de torsion. A la mandibule bien sur, ca peut être délicat, quand l'implant commence à bloquer exp 40n et qu'il manque 4 à 6mm d'insertion attention retour en arrière ..revisser..si ca bloque dépose re-forage avec un foret croissant dans le protocole repasser l'expanseur de 3mm replacer l'implant..mais je me suis déjà fait avoir au maxillaire..Dans un cas présenté dans un sujet du dr Nedjat, je remplace un partiel avec 7 implants, 3 antérieurs, et deux de chaque coté. L'implant en 46 n'est pas enfoncé suffisamment il manque un gros millimètre ..l'implant était bloqué.

- déviation..Parfois la corticale est tellement résistante que malgré un forage initial parfait l'implant au vissage est dévié. On n'a pas ce problème avec l'utilisation de foret cylindrique coupant dans le cas de la chirurgie MIMI l'effet ostéotome peut entrainer ce type de surprise
..pas gravissime mais à connaitre.

Voilà qui devrai couper toute polémique d'influence pseudo commerciale agressive..et comme certains on t eu la sympathie de m'encourager je vais meme vous mettre des photos d'echec...
1/ implant premo pas assez angulé/concavité vestibulaire (prep cap droit) .. en plus négligence personnelle pas de controle à la sonde...en plus patiente hyper stress..elle a eu mal + tuméfaction..elle a refusé que je tente la pose d'une membrane ..dépose de l'implant..regle des 3 R : rassurer remplacer rembourser. :(

2/ ext implantation immédiate en 12 ..facile ..non ! ..os tellement dur ou mauvais protocole de ma part, j'ai tordu la tete carrée. J'ai pu placer un prep cap et terminer le traitement.

3/ Pas de 4,5mm en réserve..stabilité primaire ridicule..implants enfouis au max ..pas la radio ou photos du cas terminé mais la gentille petite mamie a depuis ses dents et ca fonctionne ..

Voilà terminé..quelques échecs issus de mon expérience de ces trois dernières années mais ca aide à ne pas oublier que c'est jamais facile et que meme avec du bon matériel on peut faire des bêtises : la "mise en echec" est humaine. "A bon entendeur salut"..

7325 4 huwsxn - Eugenol
7325 7 siwidk - Eugenol
7325 16 unpmpp - Eugenol
7325 12 nxofpa - Eugenol
7325 13 ega39c - Eugenol
7325 15 mxpfwp - Eugenol
7325 9 eeyljb - Eugenol
Dsc01245 ghhlkg - Eugenol
7119 4 rjzjnh - Eugenol
7119 14 qgjtym - Eugenol
7119 19 jptcgy - Eugenol
7119 7 z5fevf - Eugenol
7119 20 eevvqf - Eugenol
7119 35 vfty1g - Eugenol
2935 35 zkxm3o - Eugenol
2935 31 pg3sfk - Eugenol
2935 28 xgitxt - Eugenol
Sans titre mocch3 - Eugenol

Imagesca1x6rbd kwb9r6 - Eugenol
Dr Nedjat

02/04/2012 à 23h48

oui! c est bien de montrer les échecs aussi c est comme ca que l on apprends!
merci drlorente


jean 57

06/04/2012 à 15h22

quand j'exprime mon avis sur un concept plus simple , je garde toujours à l'esprit que ce n'est pas facile
ni trop simple , je sais que nous avons quelque soit les actes à réaliser des personnes en face de nous avec leurs particularités et à notre dispositions des méthodes dont les protocoles doivent être suivis avec rigueur afin de minimiser les échecs.
merci pour avoir partager votre experience


Imagesca1x6rbd kwb9r6 - Eugenol
Dr Nedjat

06/04/2012 à 20h02

jean 57 écrivait:
-----------------
> quand j'exprime mon avis sur un concept plus simple , je garde toujours à
> l'esprit que ce n'est pas facile
> ni trop simple , je sais que nous avons quelque soit les actes à réaliser des
> personnes en face de nous avec leurs particularités et à notre dispositions des
> méthodes dont les protocoles doivent être suivis avec rigueur afin de minimiser
> les échecs.
> merci pour avoir partager votre experience

Tu as tout à fait raison jean 57, ce n´est pas une méthode magique, mais différente et je suis très heureux si cela a fait plaisir de recevoir des cas cliniques de cela. :-)


Rorschachwhite tx6rqr - Eugenol
Candide Candida

06/04/2012 à 20h17

drlorente écrivait:
-------------------

> Je déconseille de commencer l'implantologie avec la technique MIMI.


Ouf !!

Comme je suis heureux de le lire, malgré l'apparente facilité de de ce système, on voit tout de suite qu'il est a placer dans des mains déja habitué à des poses plus classiques, EII flapless et autres implantations multiples ne sont pas des actes faciles loin de là.

Les résultats radiographiques sur les implants longs, les kissing implants, la taille en bouche des piliers, la gestion occlusale ou de la temporisation montre bcp plus la maîtrise et l'expérience de l'opérateur et masquent la complexité de la planification/reflexion.

Les systèmes "classiques" sont bcp plus tolerants pour les erreurs des débutants et AMHA permettent un démarrage bcp plus structuré que le systeme présenté ici.

CC.