Cookie Consent byPrivacyPolicies.comFEO de recul maxillaire - Eugenol

FEO de recul maxillaire

cycy

03/04/2012 à 17h34

Bonjour,

J'ai une patiente de 14 ans qui présente une full classe II due à un maxillaire en proposition car sur une base du crâne trop longue en antérieur. Le maxillaire a une longueur normale.

Est-ce-qu'une FEO de Stephenson pour freiner la croissance du maxillaire serait encore efficace à cet âge?

Sinon je pense que ce sera un cas chirurgical

Merci par avance, Cycy


Picture1111 zburnd - Eugenol
saidkholoki

04/04/2012 à 13h59

Des photos exo et endo buccales avec une radion de profil seront le bienvenues

--
A suivre...
Said


cycy

04/04/2012 à 15h43

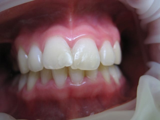
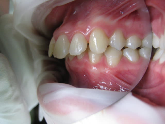
Voici les photos, radios et moulages du cas

001 ed2wf4 - Eugenol
003  2  bwaj3q - Eugenol
Img 3632 wirjte - Eugenol
Img 3635 yot01y - Eugenol
Img 3636 axwm6h - Eugenol
Img 3633 sqb4b2 - Eugenol
Img 3634 q1oy4s - Eugenol
002  2  u91i7z - Eugenol

Icon poker h4nm2d - Eugenol
jeff

07/04/2012 à 15h01

pour le stephenson, mon avis qui n'engage que moi, tu peux oublier.

Le maxillaire n'est pas si avancé que cela, par rapport a mac namara ( mais c'est normale, si c'est la base du crane qui est augmenté ) : donc : chirurgie pour raccourcir la base du crane ?

La mandibule semble un peu en retrait, au niveau profil : peut-etre encore possible de mettre un propulseur type PUL, mais à 14 ans pour une fille, c'est limite.

Sinon, extraction 14 24, c'est quand même moins lourd qu'un Lefort.

( ne pas oublié dans ce cas le consentement éclairé qui précise que, parfois, t'es comme un con parce que les canines ne veulent pas reculer )

Analyse ksqd2z - Eugenol

cycy

07/04/2012 à 17h43

Super. Merci pour ta réponse


Picasso

08/04/2012 à 01h20

Merci d'envoyer les photos de face et de profil ..


cycy

09/04/2012 à 15h53

Ce sont les pdf "document 1" et "document 2" sous les photos


EloD

16/04/2012 à 12h18

jeff écrivait:
--------------
>
> Le maxillaire n'est pas si avancé que cela, par rapport a mac namara ( mais
> c'est normale, si c'est la base du crane qui est augmenté ) : donc : chirurgie
> pour raccourcir la base du crane ?

C'est quoi une chirurgie pour raccourcir la base du crâne ?
Merci


EloD

18/04/2012 à 18h05

?