Cookie Consent byPrivacyPolicies.comProximité dent-Implant - Eugenol

Proximité dent-Implant

noumayos

03/04/2012 à 18h24

Bonjour à tous,
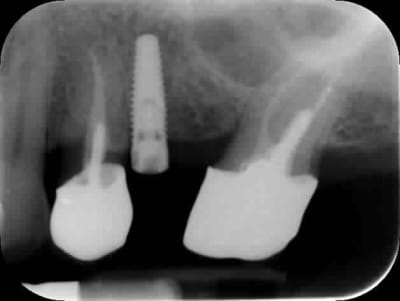
Pour la première fois, j'ai placé un implant très proche d'une dent adjacente. Et j'avoue que je ne m'en suis apperçu qu'une fois la radio prise.
J'aimerais savoir ce qui m'attend. Y a t il un risque pour l'ostéo-intégration? Plus grave, pour 24? Quels sont les difficultés qui m'attendent au moment de la prothèse?
Merci pour vos avis. Bonne journée.

Cas1 muhbfp - Eugenol

Imagesca1x6rbd kwb9r6 - Eugenol
Dr Nedjat

03/04/2012 à 20h17

noumayos écrivait:
------------------
> Bonjour à tous,
> Pour la première fois, j'ai placé un implant très proche d'une dent adjacente.
> Et j'avoue que je ne m'en suis apperçu qu'une fois la radio prise.
> J'aimerais savoir ce qui m'attend. Y a t il un risque pour l'ostéo-intégration?
> Plus grave, pour 24? Quels sont les difficultés qui m'attendent au moment de la
> prothèse?
> Merci pour vos avis. Bonne journée.

bonjour tu as fais avec grands lambeaux? normalement je ne pense pas qu il y aura des grands problèmes tu as aussi une photo clinique de la situation?
pour la prothétique ca sera un peu plus compliqué....
mais je suis sur que tu vas reussir :-)
cordialement


Morgan ztbb1b - Eugenol
BONNET jc

03/04/2012 à 20h26

A mon avis, vu la radio, la 24 a l' air bonne pour l'extraction, non pas à cause de ton implant mais de l'ajustage de la couronne.


Photo 158 mluhia - Eugenol
robin

03/04/2012 à 20h30

C'est mes yeux ou la 24 présente une énorme carie sous la couronne? Si c'est le cas tu pourras rectifier le tir lorsque tu poseras l'implant pour cette dent


noumayos

03/04/2012 à 20h49

Avant tout, merci d'avoir pris le temps de regarder mon post.
Contre toute attente, l'image que vous voyez sous la couronne est un artéfact et il n'y a pas de carie au niveau de 24.
Mais au delà de ce cas, quelles sont les conséquences auxquelles s'attendre lorsque l'on fait une boulette comme celle que je viens de faire?
Je pense que, si l'implant s'intègre bien, je vais devoir faire de la prothèse transvissée. Qu'en pensez vous?
J'étais tellement focalisé sur le sinus que je ne voulais pas toucher que je suis parti trop proche de 24.
C'est le genre de chose qui me calme de l'implantologie!


Little shop of horrors brzqjx - Eugenol
chatondecarte

03/04/2012 à 22h27

A mon avis c'est comme toutes les petites bourdes qu'on peut faire en début d'activité implantaire (franchement à qui ça n'est jamais arrivé d'avoir une position ou un axe trop mésialé...).
Si le parodonte est épais et l'hygiène correcte, tu devrais avoir assez peu de soucis.
Si parodonte fin et pas d'hygiène, t'auras des pertes osseuses.


Zz cnsu38 - Eugenol
toto48

03/04/2012 à 22h34

Si tu t'en es aperçu uniquement avec la radio, c'est peut-être juste une angulation mésio-distale de ton cliché.
Déjà, dis toi que la radio ne peut que sous estimer cette distance.
Donc pas de panique, et même si c'est proche, l'axe est bon, donc bon point pour ta prothèse.


Images nv3xcf - Eugenol
au fond du canal

04/04/2012 à 00h11

Pour commencer , il n'y a que celui qui ne fait rien à qui il n'arrive jamais rien. Laisse suffisament ton implant s'ostéointégrer avant de tenter la prothèse...

Sinon est-ce qu'il ne s'agissait pas d'un cas de bridge avant de penser implant et sinus?...


G-P

04/04/2012 à 00h41

+1 pourquoi ne pas avoir fait de bridge ici ?


Little shop of horrors brzqjx - Eugenol
chatondecarte

04/04/2012 à 00h51

J'ai bien peur qu'en 2012 les seules indications de bridges soit liés soit à l'état santé générale du patient, soit aux moyens financiers du patient.

Mais évidement dans ce cas un bridge est parfaitement envisageable. Si on veut pas s'embêter c'est l'idéal. Mais j'irais pas jusqu'à appeler ça une indication


Zz cnsu38 - Eugenol
toto48

04/04/2012 à 01h20

chatondecarte écrivait:
-----------------------
> J'ai bien peur qu'en 2012 les seules indications de bridges soit liés soit à
> l'état santé générale du patient, soit aux moyens financiers du patient.
>
> Mais évidement dans ce cas un bridge est parfaitement envisageable. Si on veut
> pas s'embêter c'est l'idéal. Mais j'irais pas jusqu'à appeler ça une indication

Moi je dirais une alternative acceptable


jp67

04/04/2012 à 02h39

bonsoir,

Je sais que le sujet est la distance inter implants, seulement dans mon insomnie j'ai trouvé un truc intéressant (enfin pour ma culture perso) sur la distance inter-implants.

http://www.ncbi.nlm.nih.gov/pubmed/21513475

RESULTS: Results show that the interproximal bone loss measured from the edge of the implant platform to the bone crest was not different for interimplant distances of 2 or 3 mm.

CONCLUSIONS: This study shows that interimplant bone levels can be maintained at similar levels for 2- and 3-mm distances

bon, je finis ma tisane et au dodo ( pubmed c'est aussi un bon remède pour dormir....)



Images nv3xcf - Eugenol
au fond du canal

04/04/2012 à 11h49

Le problème c'est qu'il s'agit d'une étude à deux mois. Je pense que le patient souhaite conserver son implant plus longtemps...


Avatar ow44t3 - Eugenol
Chicot

05/04/2012 à 15h42


Tu es dans l'axe de l'edentement et le cas était pourri depuis le départ: 26 très versé, édentement étroit de point de contact à point de contact: grosse rétention alimentaire à prévoir en 25 26

Il aurai fallu partir sur:

Soit bridge

Soit exo de 26, sinus lift, pose de 2 ou 3 implants et réhabilitation 25 26 27

Maintenant tu dis 'je vais devoir faire du transvissé'. Pourquoi plus qu'un pilier ? Une transvissé est possible quand l'implant est placé idéalement car c'est plus difficile de rattraper un axe qu'avec un pilier.

Et puis si tu as pu placer ton porte implant, le transfert devrait passer aussi, donc ça devrai aller,mais durée de vie de bazard ?

--
;O)


flicflac

06/04/2012 à 16h27

J'aimerais voir une radiographie avec un angle plus antéro-postérieurs?
merci jp67 pour l'article de Tarnow et all.
Dans cette étude court terme, il évalu:
- la distance inter-implants
- avec des implants swithching platform
- distance 2 et 3mm sans différence significative

C'est un principe d'espace biologique qui part de la connection pilier implant, besoin de 1.5mm, si switching est de 0.5mm, à 2mm inter-implant on est OK.
Avec une dent naturelle et switchiong de o.5mm, 1.omm serait la distance minimal... et je ne me risquerais pas à moins de 1.5mm.
Si trop près au pire perte osseuse de 1.5mm apical au joint pilier-implant.
Transvissé demande une situation idéale des dents adjacentes et de l'angulation de l'implant.