Cookie Consent byPrivacyPolicies.com15 mn endo molaire - Eugenol

15 mn endo molaire

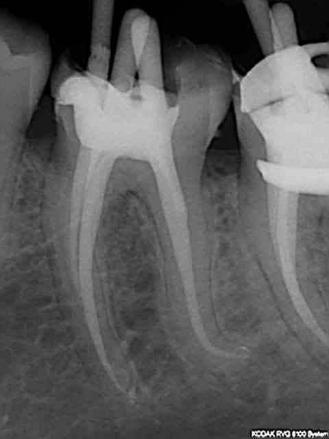
Capture d  cran 2015 03 12 12.28 - Eugenol
chicot29

10/04/2012 à 19h32

Rapide le confrère.)


Marque a3 orange fyvhyq - Eugenol
Marc Apap

10/04/2012 à 21h51

J'avais déjà signalé son texte à l'époque où je m'occupais de dentoscope. Maintenant, il a une vidéo, c'est mieux.
En fait on ne voit pas grand chose. Avec les loupes qu'il porte, son port de tête est évidemment un peu trop penché et je pense qu'il vaut mieux qu'il ne bouge pas beaucoup pour éviter le tournis.
Sinon, son assistante est remarquable. Ah, si elles étaient toutes comme ça !...


Utilisateur banni

10/04/2012 à 22h45

Et l'irrigation sur territoire infectieux? et l'abt? chapeau l'asssistante,perso je préfère bosser à l'usine, bonjour les tms.


Smile beach jgh0a1 - Eugenol
Céramik

11/04/2012 à 00h15


C'est le king de l'organisation, il a 7-8 conte angle sans fil, mais utilise une torche butane !

Il a aussi des video sur les couronne en 15 minutes.

Pour ses loupes, bof, j'ai vu bien pire comme posture.

--
Céramik


paradoxe

11/04/2012 à 01h25

Pas de blouse, pas de radio pour vérifier la longueur.
Le temps de prise anesthésie ?
Ouverture camérale ?
Recherche des canaux ?
Parce que là, on voit juste la phase finale.
Sinon pour 15mn, je suppose que cela lui permet d'encaisser que 50 euros pour une endo molaire ?


Smile beach jgh0a1 - Eugenol
Céramik

11/04/2012 à 04h15

paradoxe écrivait:
------------------
> Pas de blouse, pas de radio pour vérifier la longueur.
> Le temps de prise anesthésie ?
> Ouverture camérale ?
> Recherche des canaux ?
> Parce que là, on voit juste la phase finale.
> Sinon pour 15mn, je suppose que cela lui permet d'encaisser que 50 euros pour
> une endo molaire ?

50 euro la minutes...


--
Céramik


king_zoulou

11/04/2012 à 11h49

50 euros la minute, j'ai pas eu le temps de le dire ;)

L'assistante m'a impressioné, cette organisation optimisée de fou, c'est beau.

On en trouve où des comme ça ?


toutounette

11/04/2012 à 14h19

c inné ou acquis?????


Capture d  cran 2015 03 12 12.28 - Eugenol
chicot29

24/04/2012 à 20h32

Celle là c'est 20 mn endo molaire, mais en solo. Ceci dit je n'en ferais pas 3 comme ça en 1h !))))

R16 jeea2l - Eugenol

Gutt-A

25/04/2012 à 02h37

Wow, son assistante, une machine!!! Excellent.


Capture d  cran 2015 03 12 12.28 - Eugenol
chicot29

26/04/2012 à 14h37

90 mn 2 molar endo + extrac 38. Un peu lent du à la difficulté à anesthésier (30 mn). les crochets apicaux traités comme si ils n'existaient pas avec le r25.

R32 zjytsv - Eugenol
R28 qxzjgq - Eugenol

Bebe 038 nf8eum - Eugenol
danteyeah

26/04/2012 à 15h47

chicot29 écrivait:
------------------
> 90 mn 2 molar endo + extrac 38. Un peu lent du à la difficulté à anesthésier (30
> mn). les crochets apicaux traités comme si ils n'existaient pas avec le r25.

Chicot, c'est un R25 par canal, ou il tient les 3 canaux, avec le protocole que tu as décrit?
Je viens de passer au réciproc en Wave one: un 25 tient 2 "canaux" (bloc plastique test) et casse au troisième (3 limes testées avec plus ou moins de pression, et trois fois le même résultat, avec pathfile 10 à 20 au préalable, mais pas ton protocole).
Merci.


Marque a3 orange fyvhyq - Eugenol
Marc Apap

26/04/2012 à 15h54

Bravo Chicot, tu m'impressionne beaucoup !
Dentayeah, si je peux m'immiscer : oublie les canaux en plastique pour l'essaie du Reciproc. Ils ne reproduisent absolument pas du tout la sensation et les résultats qu'on a en bouche sur de vraies dents.


Capture d  cran 2015 03 12 12.28 - Eugenol
chicot29

26/04/2012 à 16h07

les 6 canaux avec le même r25. Attention toutefois je m'y suis repris à plusieurs reprises pour envoyer le s1 à l'apex (alternance r25 s1) et une bonne ouverture des entrées au largo ainsi qu'une très large cavité d'accès. Je n'ai à ce jour jamais cassé de r25, mais jamais essayé avec les plots en plastique .)
cela n'était pas des petites racines lt 24-25 mm. Big up à la digue qui m'a apporté un très gros confort de travail et m'a fait gagner du temps. Il n'y a que les imbéciles qui ne changent pas d'avis.


Bebe 038 nf8eum - Eugenol
danteyeah

26/04/2012 à 16h20

Merci Chicot pour ta réponse, l'intérêt du bloc plastique était simplement d'exister (pas de dents extraites sous la main pour faire mumuse), mais j'avoue que lorsqu'on sent la lime travailler dans un vrai canal c'est flippant. Merci pour ton protocole, effectivement le mixe SX-S1/ W.O.25(pour moi), et bien plus efficace et plus simple que PathFile 10-20/W.O.2.

Marc A., je n'ai pas encore testé le R25, je sais à la lecture des posts sur Nonol que la sensation est différente, mais y a t-il un différence d'efficacité?


Marque a3 orange fyvhyq - Eugenol
Marc Apap

26/04/2012 à 16h32

D'efficacité entre le WO et le Reciproc ? C'est la nuit et le jour ! Je trouve que les spire du WO sont trop rapprochées et se nettoient mal.
Ai reçu tout à l'heure les One Shape directement de chez Micro Mega. Je vais bientôt les tester !


Capture d  cran 2015 03 12 12.28 - Eugenol
chicot29

26/04/2012 à 16h39

le s1 va à l'apex si bonne prépa des 2 tiers coronaires (sx, largo) après là ou le s1 va le r25 va, en douceur, sans sensation de vissage bien sur mais on sent que ça travaille !
Maintenant pour peaufiner l'action du sx avant le passage du s1 un petit coup de r25 pour progresser d'avantage n'est pas interdit (pas de fausse route avec pour l'instant)c'est ce que j'ai fait sur ces 2 molaires ou la radio préop laissait présager un peu de sport. )))


mat2t

26/04/2012 à 17h59

Chicot, deux fois que tu évoques ton protocole sans parler des limes k ,tu ne les utilise pas ?


Capture d  cran 2015 03 12 12.28 - Eugenol
chicot29

26/04/2012 à 18h05

je n'en utilise que très rarement. les fausses routes étant inexistantes.


Capture d  cran 2015 03 12 12.28 - Eugenol
chicot29

26/04/2012 à 18h08

en rte c'est une tuerie le r25.

R20 jtusoc - Eugenol
R1 zcwids - Eugenol

Nounours 2010 002 frkvqz - Eugenol
tarin

26/04/2012 à 20h16

Que pensez-vous du X smart plus, qui remplace le reciproc, le Wave One et qui utilise tous les systèmes de rotation que vous possédez déjà?


Capture d  cran 2015 03 12 12.28 - Eugenol
chicot29

26/04/2012 à 20h54

connais pas. Mais une de plus 30 mn, résultat reproductible à un train de sénateur, po pom, po pom.) Radio cone en place facultative mais bon des fois je coupe le bout du cone..

R29 mvzwz2 - Eugenol
R31 hgswu2 - Eugenol

Fouilla h6plsy - Eugenol
fouilla

26/04/2012 à 22h00

tarin écrivait:
---------------
> Que pensez-vous du X smart plus, qui remplace le reciproc, le Wave One et qui
> utilise tous les systèmes de rotation que vous possédez déjà?

reçu hier essayé tout à l'heure pur bonheur en tout cas...ergonomie la seule chose en lisant la notice il faut calibrer le contre angle et pour ça il faut brancher impérativement au secteur (étant un peu blonde j'avais pas compris mais pas marqué sur la notice non plus)
--
.

Depucelage 2 iatrqk - Eugenol
Depucelage wkxodm - Eugenol

Capture d  cran 2015 03 12 12.28 - Eugenol
chicot29

27/04/2012 à 19h47

sinon ce matin essai nouvelle séquence: R25,largo N°3, r25, S1 sur endomaster pour la lt, r25. Encore plus rapide. Mais bon seulement 2 canaux boulevards.

R13 vdwvyr - Eugenol
R14 vatcee - Eugenol
R1 cd2onw - Eugenol

uɹöɾq

27/04/2012 à 21h30

chicot29 écrivait:
------------------
>Big up à la digue qui m'a
> apporté un très gros confort de travail et m'a fait gagner du temps. Il n'y a
> que les imbéciles qui ne changent pas d'avis.

http://www.eugenol.com/sujets/392714-endo-de-l-apres-midi-pas-de-soucis?page=4#post_600056

Hé hé! ;-)