Tous les forums
15 mn endo molaire
11/05/2012 à 14h02
Bonne idée. Un moment donné j'aurais pu prendre comme pseudo cerec29 (en plus avec des entorses avec la ngap car le tout céramique aurait du être coté hn à l'époque) mais ca n'était pas économiquement viable !))))
Viens exercer en France tu comprendras !
11/05/2012 à 14h51
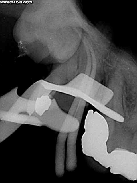
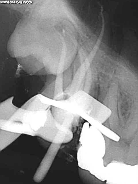
plus d'une heure pour essayer de sauver ces 37 et 38...
mais etait ce vraiment suffisant? cicatrisation possible?
14/05/2012 à 18h44
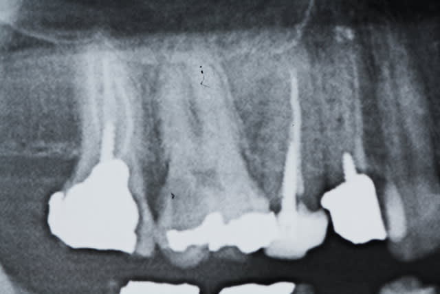
60 mn environ pour ces 2 là, le canal mv2 augmente le temps d'exéctution de 15 à 30 mn surtout si l'entrée est proche du mv1. Il n'y a pas photo entre la préparation canalaire du r25 VS f2 protaper.
16/05/2012 à 00h47
Bonjour, juste une petite question: quel est cet instrument "R25" qui a l'air magique?
Et comment l'utilise-t'on?
Ca me fait réver l'endo molaire en 30 minutes...
16/05/2012 à 12h39
Dentair'Adam écrivait:
----------------------
> Bonjour, juste une petite question: quel est cet instrument "R25" qui a l'air
> magique?
> Et comment l'utilise-t'on?
> Ca me fait réver l'endo molaire en 30 minutes...
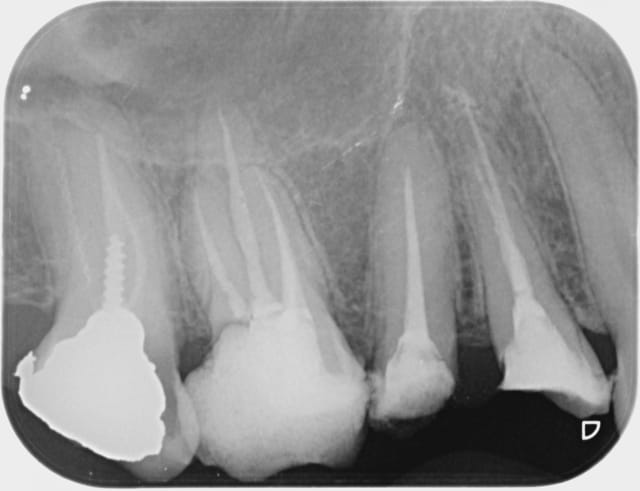
Comme les protapers, ca remplace le s2,f1 f2 et ça casse pas. Recherche des canaux avec le sx sur entran , ouverture largo n°3, re sx pour progresser apicalement, s1 sur endomaster pour lt, r25 sur wd silver et terminé (si le s1 ne va pas direct à l'apex un coup de r25 peut s'avérer nécessaire pour les canaux longs et courbes comme sur la 16 ci-dessus ou la lt était à 25 mm)
Evidemment contrôle de couple sur entran et endomaster et pas forcer comme un bourrin.)
17/05/2012 à 01h07
Merci pour vos réponses!
Je vais y regarder de plus prêt.
Y-a t'il un couple et une vitesse de rotation préconisée?
Et donc si j'ai bien suivi, c'est de la rotation continue, pas un mouvement de rotation alternative?
22/05/2012 à 05h42
endo29 écrivait:
----------------
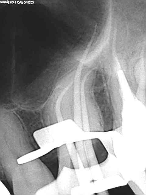
> 40 mn canal palatin xxl !
Chapeau.'
--
Céramik
22/05/2012 à 10h57
Merci. 3 récapitulations s1-r25 pour arriver au bout. je n'ai jamais vu un instrument aussi efficace que le r25, on croirait une ampliation au 50, en insistant un peu il n'y a plus de racine ! )))
23/05/2012 à 02h09
endo29 écrivait:
----------------
> 40 mn canal palatin xxl !
et Rechapeau endo29
Ton matériau d'obturation est confiné dans l'endodonte, je ne vois pas de dépassement de gutta, tes cones sont bien ajustés, je ne vois pas de déchirement apical.
23/05/2012 à 13h37
samsam28 écrivait:
------------------
> qu'on le vire de nonol il mine vraiment l'ambiance sans aucun apport
> pédagogique. j'aimerais bien voir tes endos , quelques radio à poster qu'on
> prenne exemple, monsieur l'éminent endodontiste surtout pas français.
+1 l'interet c'est de faire partager ses astuces. Je ne prétend pas etre le roi de l'endo mais en ce qui me concerne j'ai trouvé une séquence qui me permet d'avoir des résultats reproductibles en un minimum de temps. Une autre 40 mn.
24/05/2012 à 00h02
endo29 écrivait:
----------------
> samsam28 écrivait:
> ------------------
> > qu'on le vire de nonol il mine vraiment l'ambiance sans aucun apport
> > pédagogique. j'aimerais bien voir tes endos , quelques radio à poster qu'on
> > prenne exemple, monsieur l'éminent endodontiste surtout pas français.
>
> +1 l'interet c'est de faire partager ses astuces. Je ne prétend pas etre le roi
> de l'endo mais en ce qui me concerne j'ai trouvé une séquence qui me permet
> d'avoir des résultats reproductibles en un minimum de temps. Une autre 40 mn.
ma réponse s'adressait à mic-taper ou tapette pas à vous, et merci pour votre partage, ça c'est du constructif. merci endo 29
24/05/2012 à 00h05
manolito écrivait:
------------------
> avec quelle technique d'obturation obtiens tu de si belles images radio?
La plus simple lentulo scellement monocone, tuck back à l'apex quand même.
24/05/2012 à 00h57
Modérateur écrivait:
--------------------
> Je pense que j'irais plutôt voir Pertot ou Simon. Je les connais un peu ( un
> tout petit peu ) . C'est incroyable qu'ils m'aient proposé de passer a leur
> cabinet et même à Birmingham, qu'ils m'aient toujours motivé et jamais
> insulté....
Je suis déçu, j'ai été correspondant de Simon et maintenant de Pertot et j'ai pas eu d'invitations... Bouh !!
Y a du favoritisme...
--
Normal is not something to aspire to, it's something to get away from...
24/05/2012 à 00h58
Bon , un cas clinique . Demain je mets la radio de l'endo de la 7 , mais voilà le lentulo sorti comme preuve de ma bonne fois . La 6 5 4 c'est moi . J'ai la moyenne ou je fais un procès à endo express ?
02/06/2012 à 18h32
DDS écrivait:
-------------
> Je suis déçu, j'ai été correspondant de Simon et maintenant de Pertot et j'ai
> pas eu d'invitations... Bouh !!
> Y a du favoritisme...
>
> --
> Normal is not something to aspire to, it's something to get away from...
Fallait demander. Maintenant c'est un peu tard !