Cookie Consent byPrivacyPolicies.comDents à risque avant chir ortho - Eugenol

Dents à risque avant chir ortho

Gbazylo1 fvg1vg - Eugenol
Aron

16/04/2012 à 12h07

Patient se présente 2 mois avant la pose d'une prothèse totale de genou. Aucun problème ressenti au niveau de ses dents, le suivi a été régulier chez son dentiste.

Seulement patatras, après une pano et quelques rétros, je lui annonce que quelques dents sont à extraire. Le mec (déprimé en ce moment, visiblement), me dit que SVP docteur est-ce que j'en suis sûr parce qu'avec tout ce qui lui arrive ces derniers 6 mois etc...

Moi, rarement sûr de moi à 100%, je prends le rdv pour les extractions, mais je lui promets de tout vérifier entre temps.

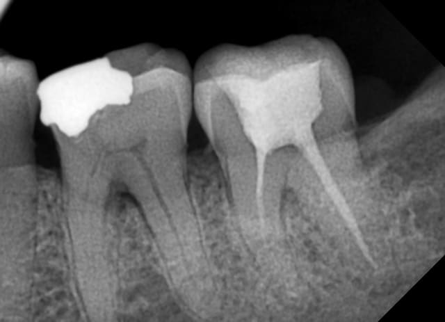
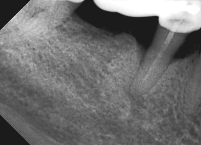
Que pensez vous de ces dents (le sondage est à la hauteur de ce qu'on voit sur les radios: poches entre 3 et 8 mm sur ces dents)? L'atteinte des furcations est-elle suffisante pour justifier des extracs, ou vous tenteriez de la chir paro pour rétablir tout ça, quitte à déplacer l'intervention orthopédique?

Vous extrairiez tout, comme moi (peut être un peu hâtivement), ou vous lui en laisseriez certaines?

Merci

16 dslumf - Eugenol
45 cadck2 - Eugenol
26 wwwrfr - Eugenol
36 kzyx1s - Eugenol

G-P

16/04/2012 à 13h40

Dis lui que si on est obligé de lui couper la jambe parce que tu lui as laissé ses dents, faudra pas qu'il pleure.


futuraoner

16/04/2012 à 18h17

Question de newbee....pourquoi faudrait il lui enlever ces dents précisement?


Gbazylo1 fvg1vg - Eugenol
Aron

16/04/2012 à 20h23

Qu'on me corrige si je me trompe:

Parce que des atteintes de furcation de stade 1 à 3 comme ici représentent, me semble-t-il, un état altéré des dents et des gencives, susceptibles de se transformer en état inflammatoire aigu (infecté) d'un jour à l'autre.

Et quand tu as une prothèse articulaire, ses surfaces peuvent être colonisées par les bactéries buccales qui entreraient dans le système lors d'un tel état. On peut observer alors un descellement de ces prothèses ou une infection à leur niveau, ce qui nécessite une réintervention.


philipper

16/04/2012 à 21h45

en théorie , tu n'as pas tort ...
mais en pratique si tu veux être plus catholique que le pape alors il faut refaire ou extraire toutes les dents dévitalisées et envoyer ton patient chez le paro avec suivi tous les 3 mois ...


120 81 mdkvjo - Eugenol
Monaco

16/04/2012 à 22h47

http://www.academiedentaire.fr/attachments/0000/0078/49_Rapport_a_ANCD.pdf


l adan

17/04/2012 à 13h57

Y a t'il des signes d'activité bacterienne : saignements,inflammation,suppuration ... etc
Quelle est le degré d'atteinte des furcation :quelle grade ?
Perso je n'extrais pas surtout pour une prothèse du genou . Traitement paro , maintenance et suivi très serré


Gbazylo1 fvg1vg - Eugenol
Aron

17/04/2012 à 17h35

Je crois que je vais me baser sur le pdf sorti par Monaco (merci !) et sur une concertation avec le chir ortho:
Après tout, ce sont ses traitements qui auront un problème, pas les miens...

Merci à tous


Canin

19/04/2012 à 11h15

tu peux aussi te baser sur les dernières recommandations de l'affsaps qui précisent que l'antibioprophylaxie n'est plus de mise ce qui ne veux pas dire non plus qu'il faut laisser toutes patates en place.

il y aussi les reco américaines


--
Canin


pincha

25/04/2012 à 19h01

bonjour ,
je voudrais savoir si , puisque les dernières recommandations de l'afssaps élimine l'antibioprophylaxie pour les patient porteurs de prothèses articulaires ,cela modifie également notre attitude face à un patient porteur d'un prothèse depuis moins de 2 ans .
Doit on donc toujours extraire toute dent suspecte ? nécrosée ? reprise de traitement canalaire? Traitement paro ?


Mili

15/09/2012 à 17h07

Patiente avant intervention -prothese genoux qui aura lieu mercredi m'appelle pour me dir avoir mal au chaud ,froid et meme avoir eu mal la nuit il y a 2 jours .
Le stomato a fait 2 extractions il y a un mois et depuis elle ne met pas ses appareils et surcharge aussi la premolaire en question .
Pas de douleure a la percution . Sensible au froid . J'enleve petite resine oclusale et une autre plus importante du collet . Pas de comunication avec la chambre pulpaire .
Patiente particulierement stressee a cause d'autres pb -orl etc .
J'ai mis fond de cavite ca hydroxyde et cavit . La nuit elle n'a pas eu mal ,mais en mangeant -oui .
J'ai la patiente fin d'apres midi pour mettre une resine et voir jusqu'a lundi .
A votre avis ca pose des risques pour l'intervenion mercredi ? Il faut annuler ou pas ?
Si je devitalise ca peut creer un risque aussi .
Si la dent reste sensible au froid la devitalisation ne sera t'elle plus raisonable apres l'intervention si besoin ( vu que la sensibilitee peut etre passagere °?
P;S; La patiente est si stressee qu'elle a fait un malaise che l'ORL avant de venir chez moi .


Canin

15/09/2012 à 17h10

Mili écrivait:
--------------
> Patiente avant intervention -prothese genoux qui aura lieu mercredi m'appelle
> pour me dir avoir mal au chaud ,froid et meme avoir eu mal la nuit il y a 2
> jours .
> Le stomato a fait 2 extractions il y a un mois et depuis elle ne met pas
> ses appareils et surcharge aussi la premolaire en question .
> Pas de douleure a la percution . Sensible au froid . J'enleve petite
> resine oclusale et une assutre plus importante du collet . Pas de comunication
> avec la chambre pulpaire .
> Patiente particulierement stressee a cause d'autres pb -orl etc .
> J'ai mis fond de cavite ca hydroxyde et cavit . La nuit elle n'a pas eu mal
> ,mais en mangeant -oui .
> J'ai la patiente fin d'apres midi pour mettre une resine et voir jusqu'a
> lundi .
> A votre avis ca pose des risques pour l'intervenion mercredi ? Il faut
> annuler ou pas ?
> Si je devitalise ca peut creer un risque aussi .
> Si la dent reste sensible au froid la devitalisation ne sera t'elle plus
> raisonable apres l'intervention si besoin ( vu que la sensibilitee peut etre
> passagere °?
> P;S; La patiente est si stressee qu'elle a fait un malaise che l'ORL avant de
> venir chez moi .

No stress, à revoir après la chir
--
Canin


Mili

15/09/2012 à 21h21

Merci ,Canin ! C'est ce que je pense faire :-)


Gbazylo1 fvg1vg - Eugenol
Aron

16/09/2012 à 11h55

Pas d'évidence de pulpite: ce n'est pas le moment à mon avis de la faire stresser en suspectant quoi que ce soit... comme Canin, donc.


Mili

16/09/2012 à 21h15

Merci ,Aron . J`ai mis un fond de cavite+resine et pour l`instant ca a l`air d`aller la dent est sensible a l`eau froide ,mais si ca reste comme ca c`est ok .
J`espere qu`elle ne va pas commencer a faire mal la veille de l`operation .
J`ai essaye de distraire un peu la patiente et en partant elle n`avait pas mal. Maintenant j`essaye de me detendre aussi . Je me rends compte que dimanche je regarde le forum et les 5 jours au mois d`aout que je n`ai pas travaille aussi .


Icon poker h4nm2d - Eugenol
jeff

19/09/2012 à 15h35

Une fois, j'ai noté sur le compte rendu : présence d'une parodontite chronique.

Le chirurgien m'a ensuite incendié car le patient a fait un abcès , et qu'il a fallu le ré-opéré. ( Visiblement le chirurgien ne savait pas ce que c'était, une parodontite ! )


Mili

20/09/2012 à 18h09

On ne peut pas extraire toutes les dents quand meme et faire un complet avant une intervention orthopedique . Le risque "0" n`existe pas .
Pourquoi il a du reoperer ? Il a trouve un lien entre l`absces et l`echec de son operation ?