Cookie Consent byPrivacyPolicies.compéri-implantite: que faire dans ce cas - Eugenol

péri-implantite: que faire dans ce cas

Zz cnsu38 - Eugenol
toto48

18/04/2012 à 14h57

salut
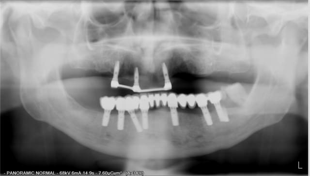
je viens de recevoir un patient de mon associé(parti à la retraite depuis)implanté en 2007.
en haut,4 implant ont été posé en postextractionnel en vue d'une barre + stellite pano1.
L' implant en 21 à été perdu de façon précoce (avant mise en charge), mais la prothèse a tout de même été réalisée
en bas extraction du bloc antérieur + MCI (37 a été conservée)puis prothèse scellée au fujiplus sur pilier usiné.
Lors du controle à 1 an, on voit déjà une lésion autour de l'implant en 13.
En 2009 extraction de la 37 suite pb paro +++
pas de radio lors des controle suivants, mais mise en place de parocline a plusieurs reprises autour des implants mandibulaires.
aujourd'hui on a des lésions importantes autour de 13 mais pas de perte de volume de tissu gingival, ou tres peu mais je ne pense pas pouvoir réenfouir (SPLINE)
en bas je ne pense pas pouvoir demonter la prothèse
sur l'origine de ces problèmes, je pense perso à une lésion du à un reste de tissu de granulation lors de la pose de 13 aggravée par le concept prothétique
En bas, je suppose plus une infection paro transmise par la proximité de la 37 qui est restée 2 ans en bouche après la pose des implants.
j'attends vos coms sur les causes possibles, les solutions et comment gérer sans enfoncer mon ancien associé.

2007 04 vdmuxa - Eugenol
2012 04 mijzsq - Eugenol
2008 05 yoc5et - Eugenol
2007 01 m6nfaj - Eugenol
2007 02 is9yow - Eugenol

Logo m4n3gc - Eugenol
drmarcus

18/04/2012 à 15h15

Ton analyse me semble relativement bonne. Par contre, je le dis souvent, je pense que c'est aussi et surtout (malheureusement) un problème occlusal.
Sur les panos la courbe ne semble pas bonne. Elle devrait appraitre rectiligne ou inverse de celle que l'on observe et ce quelque soit le positionnement de la personne.

J'aurai peur qu'en l'absence de ce réglage toutes les chirs. ne soient vouées à l'échec.

--
"La vis est à l'implant ce que la carie est à la dent!" (Pozzi)


Photo pluton1b h9n4ea - Eugenol
pluton

18/04/2012 à 15h29

photos en bouche? scan?
difficile de te donner un avis sans plus d'éléments...

par contre, les implants en 36/37 sont amha perdus...
donc découpe du bridge juste derrière 33, dépose des implants, ROG, et dans 6 mois tu reposes 3/4 implants dans ce secteur...

pour le haut, même combat, tu vires celui en 13, tu aménages le site et ensuite tu poses 4/6 implants de plus pour faire un transvissé...

ton confrère n'y est peut être pour rien, si le patient prend soin de ses implants aussi bien que de ses dents...
bon par contre c'est vrai...en haut j'aurais pas fait une barre pour stabiliser un complet...


01 ukhwbq - Eugenol
ʎqqoq

18/04/2012 à 16h31

C'est vraiment dommage d'avoir conservé aussi longtemps la 37, ça n'a quand même pas dû aider.
Tout ça pour conserver un peu de proprioception ^^
A mon avis, si tu ne démontes pas la prothèse, c'est à terme l'implant 33 que tu vas perdre.
C'est pas simple a gérer ce truc, et le confrère, il peut pas reprendre du service? :-)


01 ukhwbq - Eugenol
ʎqqoq

18/04/2012 à 16h35

@Pluton: tu ferais la ROG le jour de la dépose, ou à 3 semaines histoire de pouvoir mieux refermer?


Bazaruto 2007 ircsez - Eugenol
jumpingjackflash

18/04/2012 à 17h38

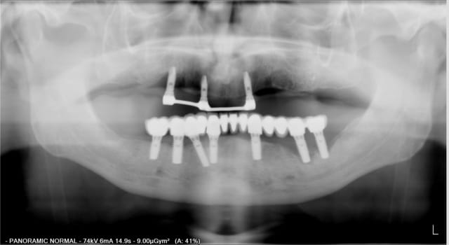
j'ai un gros doute sur 36 37
le patient n'aurait pas bouger lors de la pano
je prendrais une rétro avant décision de couper


Zz cnsu38 - Eugenol
toto48

18/04/2012 à 18h02

Désolé mais les pano ne se sont pas mise dans l'ordre chronologique
En fait la plus récente est celle de gauche, et effectivement sur la plus a droite le patient a bougé
Pour le haut je pense demander un scan pour voir comment mettre un implant supplémentaire secteur 2 et aussi juger de la possibilité de combler autour de13 pour si possible conserver cet implant.
En bas j'hésite entre essayer de percer des puits d'accès pour dévisser le bridge avec les piliers afin de tenter de sauver 36/37 mais j'y crois pas trop ou couper en 35 et ROG mais sans support "piquets de tente " pour la membrane je vois pas trop ce que je vais régénérer.
Et surtout le patient ne se plaît de rien, donc pour lui faire comprendre que je dois tout casser et refaire alors que mon associé lui a dit il y a 6 mois que tout était OK, je vais passer pour un voyou!


Photo pluton1b h9n4ea - Eugenol
pluton

18/04/2012 à 19h27

ʎqqoq écrivait:
---------------
> @Pluton: tu ferais la ROG le jour de la dépose, ou à 3 semaines histoire de
> pouvoir mieux refermer?

ouaip...;-) en utilisant une membrane non résorbable renforcée titane (chez ID Sybron ils doivent en avoir encore...) ou alors qui peut être éventuellement exposée (comme celle de chez Keystone)...soutenue par des vis d'ostéosynthèse (piquets de tente) et maintenue par vis ou par des clous... avec un bon ptit TCP...


Ylfwcw979cz1jnx9gfqeaxndiuzk - Eugenol
Algi

18/04/2012 à 21h54

Deposer en bas comme proposé par pluton.

Pour moi, un petit coup de laser yap serait necessaire afin d'aider à gérer, avant et après avec aide d'eau oxygénée goménolée.

Avant toutes choses: quelle hygiène? quel terrain? quid se son alimentation, tabagisme, prise de medocs , prise de boissons....si rien n'est fait aux mêmes causes on aura les mêmes effets.
Donc absolue necessité d'obtenir sa collaboration en ce qui concerne entretien de ses gencives et sans doute pas idiot d'aller voir comment il "vit" et imposer, si necessaire, des changements d'alimentation et de comportement.

D'autre part, sur une telle realisation rien n'empeche de choisir une oclusion correcte..... et moi aussi je pense que sur ce cas on peut mieux faire.

Sinon, vis à vis de ton confrere, en place depuis 2007, donc 5 ans, c'est pas génial mais ça peut arriver.... Donc propose de reprendre tout ça sans te mettre dedans.

--
"On a toujours le choix! Mais entre quoi et quoi?
Vas-y boulégue et l'avenir te le dira!"


Zz cnsu38 - Eugenol
toto48

18/04/2012 à 22h38

Algi écrivait:
--------------
> Deposer en bas comme proposé par pluton.


Je me dirige vers cette solution aussi


> Pour moi, un petit coup de laser yap serait necessaire afin d'aider à gérer,
> avant et après avec aide d'eau oxygénée goménolée.



Je me vois pas investir pour ce cas dans un lokki (même si c'est quelque chose qui me trotte dans la tête depuis quelque temps déjà).



> Avant toutes choses: quelle hygiène? quel terrain? quid se son alimentation,
> tabagisme, prise de medocs , prise de boissons....si rien n'est fait aux mêmes
> causes on aura les mêmes effets.



Si tu regardes mon premier post j'évoque celles que je suppose
Il a perdu ses dents suite à un pb paro, mais pour les implants, on a des pb localisés avec des causes locales qui me semble cohérentes, donc j'ai éliminé "l'hôte" (ce n'est que mon sentiment)



> Donc absolue necessité d'obtenir sa collaboration en ce qui concerne entretien
> de ses gencives et sans doute pas idiot d'aller voir comment il "vit" et
> imposer, si necessaire, des changements d'alimentation et de comportement.



Je fais comme dans Dr HOUSE et je le cambriole pendant qu'il fait le scan chez le radiologue!
Non plus sérieusement, patient de 67 ans, ancien fumeur, Hta traitée et équilibrée, pas d'autre pathologies générales, hygiène peut mieux faire mais c'est pas un porc non plus.
Sur l'alimentation, je ne sais pas ce que tu entends par là, mais je serais ravi d'être instruit.



> D'autre part, sur une telle realisation rien n'empeche de choisir une oclusion
> correcte..... et moi aussi je pense que sur ce cas on peut mieux faire.

Tout à fait d'accord!



> Sinon, vis à vis de ton confrere, en place depuis 2007, donc 5 ans, c'est pas
> génial mais ça peut arriver.... Donc propose de reprendre tout ça sans te mettre
> dedans.
>
> --
> "On a toujours le choix! Mais entre quoi et quoi?
> Vas-y boulégue et l'avenir te le dira!"

Pour le biomateriau, je n'ai jamais utilisé le TCP dans des greffes verticales à la mandibule, je mélange PRF, allo greffe et xenogreffe avec des vis pour garder volume (protocole Choukroun)
Quel est votre expérience par rapport à ça?


Avatar ow44t3 - Eugenol
Chicot

18/04/2012 à 23h07

toto48 écrivait:
----------------

> Pour le biomateriau, je n'ai jamais utilisé le TCP dans des greffes verticales à
> la mandibule, je mélange PRF, allo greffe et xenogreffe avec des vis pour garder
> volume (protocole Choukroun)


Ah, il fait des greffes ? Il lui arrive de tenir un bistouri ?


--
;O)


RépondreCiter
Zz cnsu38 - Eugenol
toto48

18/04/2012 à 23h17

Lui non, mais moi quelques unes et j'ai l'impression que ça fonctionne pas trop mal
je n'ai pas suffisamment d'expérience de toutes les techniques pour te dire que c'est la meilleure mais ça me convient pas mal.
Maintenant comme je disais précédemment, je ne demande pas mieux que d'écouter ceux qui ont cette expérience. Je dis bien expérience et pas "on m'a dit que".....


Ylfwcw979cz1jnx9gfqeaxndiuzk - Eugenol
Algi

19/04/2012 à 11h18

L'alimentation et les phénomènes inflammatoires..... en gros les bestioles pathogènes se complaisent en milieu acide. D'autre part si acidité il y a on assistera une "fonte" osseuse locale...
Il faut donc voir si notre patient n'abuse pas d'aliments acidifiants comme sodas, viande, sucres.... A cela on peut rajouter le tabac, l'alcool, le stress....

En bouche cela peut amener à utiliser du bicarbonate pour brosser, associé à H202 et certaines huiles essentielles ça donne de remarquables résultats.

Pour info: il existe un examen sérologique, examen assorti d'une proposition de traitement de terrain en homeo qui permet de se faire une idée du profil du patient (je sais j’aborde un sujet qui fâche mais ce serait dommage de se priver d'une possibilité à bas coût de rendre service).

Lien avec le labo qui pratique ce test: http://www.medecine-integree.com/laboratoire/74-pns

--
"On a toujours le choix! Mais entre quoi et quoi?
Vas-y boulégue et l'avenir te le dira!"


Zz cnsu38 - Eugenol
toto48

19/04/2012 à 15h05

N'ayant quasi aucune connaissance en homéopathie, je n'ai jamais creusé cette voie thérapeutique!
Ça ne m'empêche pas de te rejoindre sur la notion de terrain.
Perso j'explore ça avec un interrogatoire médical assez poussé, notamment sur les antécédents médicaux et chirurgicaux. Ça donne en général de très bonne indications sur le potentiel de réponse du patient.
Mon sentiment, c'est que tous ces facteurs environnementaux ne sont que des modulateurs de la réponse du patient.
Combien de patient avec une hygiène de vie déplorable ne développent rien?
Par contre le jour ou l'état général change (diabète,....) ça peut exploser d'un coup.
Ça ne m'empêche pas non plus de prêcher la bonne parole en terme de prévention.
Le test dont tu parles ne vient-il pas seulement confirmer quelque chose que tu savais dejà?
Si ce n'est pas le cas, comme ça à l'air de nécessiter certaines bases, as tu des formations à me conseiller dans ce domaine.


Zz cnsu38 - Eugenol
toto48

19/04/2012 à 15h05

N'ayant quasi aucune connaissance en homéopathie, je n'ai jamais creusé cette voie thérapeutique!
Ça ne m'empêche pas de te rejoindre sur la notion de terrain.
Perso j'explore ça avec un interrogatoire médical assez poussé, notamment sur les antécédents médicaux et chirurgicaux. Ça donne en général de très bonne indications sur le potentiel de réponse du patient.
Mon sentiment, c'est que tous ces facteurs environnementaux ne sont que des modulateurs de la réponse du patient.
Combien de patient avec une hygiène de vie déplorable ne développent rien?
Par contre le jour ou l'état général change (diabète,....) ça peut exploser d'un coup.
Ça ne m'empêche pas non plus de prêcher la bonne parole en terme de prévention.
Le test dont tu parles ne vient-il pas seulement confirmer quelque chose que tu savais dejà?
Si ce n'est pas le cas, comme ça à l'air de nécessiter certaines bases, as tu des formations à me conseiller dans ce domaine.


Ylfwcw979cz1jnx9gfqeaxndiuzk - Eugenol
Algi

19/04/2012 à 17h02

L'avantage de passer par le labo dont je vous donne les coordonnées c'est qu'en sus du résultat de l'analyse il y a, joint, une ou plusieurs propositions de traitement homeo de terrain, donc point n'est besoin d'être disciple distingué de hanneman pour pouvoir s'en servir.

Etonnant que je me sois pas déjà fait lyncher pour avoir osé proposer de l'homeo ;0)) (surtout chez les implantos)

--
"On a toujours le choix! Mais entre quoi et quoi?
Vas-y boulégue et l'avenir te le dira!"


Photo pluton1b h9n4ea - Eugenol
pluton

19/04/2012 à 17h23

Algi écrivait:
--------------

> Etonnant que je me sois pas déjà fait lyncher pour avoir osé proposer de l'homeo
> ;0)) (surtout chez les implantos)

pourquoi?
une bonne petite cure d'arnica en pré/post implantation c'est pas néfaste...;-))


marcandre

03/05/2012 à 17h25

Etonnant,
Les trois périmplantites sont du même coté, coté gauche vers lequel la ligne médiane entre les deux apophyses géni semble décalée .
Est ce qu' il ne faudrait pas reprendre l( occlusion du complet haut avant toute chose( un peu plus haute et corrigée d' un ou deux mm vers la droite?
Bon après çà l' homéopathie ou les huiles essentielles j' ai rien contre...
Best regards marcandre