Cookie Consent byPrivacyPolicies.comEndo avec volumineuse lésion apicale - Eugenol

Endo avec volumineuse lésion apicale

juninho56

19/04/2012 à 12h32

Bonjour

Je m'interroge sur la conduite à tenir pour le cas d'une patiente que j'ai au cabinet. Je m'excuse par avance, je n'ai pas la radio. Elle présente une volumineuse lésion apicale sur la 22 qui est conservable avec traitement endo.

Que faites vous en pratique dans ce genre de cas?
Vous faites l'endo en une seule fois pour ne pas laisser la dent ouverte? Obturation des que le canal est sec? interséances avec hydroxyde de calcium?

J'ai demandé l'avis de mon associée. Pour elle, au vu de la taille de la lésion, elle ferait d'abord une obturation à l'hydroxyde de calcium et elle réevaluerait plus tard si elle obture définitivement ou si elle remet de l'hydroxyde.
Au départ, j'envisageais d'obturer des que le canal est sec

merci, bonne journée


mat2t

19/04/2012 à 13h18

Si le canal est sec ,tu peux obturer puis mettre Ic le plus rapidement possible ,après tu surveilles.


Avatar reduit tuudiu - Eugenol
saitosama

19/04/2012 à 13h48

Tu va avoir autant de réponses que de praticiens ;)

Moi je passerai par une obturation en deux temps, hydroxyde puis la semaine suivante définitive.

De souvenir, le CaOH2 est intérressant de par son action antiseptique complémentaire de NaOCl. Certains conférenciers à l'ADF 2010 passaient même systématiquement par du CaOH2 sauf en cas d'endo sur pulpe saine (en clair la grosse perfo irrécupérable avec endo dans la foulée ou la fracture avec effraction pulpaire fraiche, soit presque jamais).

Dans le cas d'un canal bien infecté, ça me semble pas mal indiqué.


juninho56

19/04/2012 à 16h17


Mes interrogations sont surtout dues à la taille de la lésion. En général, pour une dent infectée, j'obture dès que le canal est sec et j'essaye de laisser une dent ouverte le moins longtemps possible


Avatar reduit tuudiu - Eugenol
saitosama

19/04/2012 à 16h45

juninho56 écrivait:
-------------------
>
> Mes interrogations sont surtout dues à la taille de la lésion. En général, pour
> une dent infectée, j'obture dès que le canal est sec et j'essaye de laisser une
> dent ouverte le moins longtemps possible

Obturer provisoirement au CaOH2 ce n'est pas laisser la dent ouverte ;)


33.2 - Eugenol
scuba06

19/04/2012 à 17h50

juninho56 écrivait:
-------------------
> Bonjour
>
> Je m'interroge sur la conduite à tenir pour le cas d'une patiente que j'ai au
> cabinet. Je m'excuse par avance, je n'ai pas la radio. Elle présente une
> volumineuse lésion apicale sur la 22 qui est conservable avec traitement endo.
>
> Que faites vous en pratique dans ce genre de cas?
> Vous faites l'endo en une seule fois pour ne pas laisser la dent ouverte?
> Obturation des que le canal est sec? interséances avec hydroxyde de calcium?
>
> J'ai demandé l'avis de mon associée. Pour elle, au vu de la taille de la lésion,
> elle ferait d'abord une obturation à l'hydroxyde de calcium et elle réevaluerait
> plus tard si elle obture définitivement ou si elle remet de l'hydroxyde.
> Au départ, j'envisageais d'obturer des que le canal est sec
>
> merci, bonne journée

Tout dépend de la situation dans laquelle tu te retrouve lors de l'ouverture :

- lors de l'ouverture, libération de pus : tu draine un maximum (avec irrigation hypochlorite +++); le canal n'étant pas sec, tu place (au plus proche de la lésion)un hydroxyde de Ca. Tu revois la patiente et tu recommences jusqu'à ce que le canal soit sec, là tu peux obturer.

_ lors de l'ouverture, pas de pus, tu peux sécher le canal; tu peux alors soit obturer définitivement, soit mettre un hydroxyde de Ca (au plus proche de la lésion) au cas où...

Dans tous les cas une grosse irrigation (en quantité et renouvelée souvent) à l'hypochlorite de sodium.






Rape p0as4f - Eugenol
rapelapente

19/04/2012 à 19h25

Dommage qd même qu'il n'y ait pas de radio mais bon...

Si la lésion est vraiment grosse, je ne réfléchis pas (mais arrive-t-il que je réfléchisse encore après 30 ans de boulot...;-) ).

Pus ou pas:
Dans une séance unique de 15 mn!:
-AB en couverture
-Anesthésie
-Curetage/résection apicale
-préparation canalaire (désinfection/séchage)
-obturation canalaire
-cavit
et hop !
Et on réfléchit après.

73,07 € avec la radio.
Prix de revient:
-15 mn de coût horaire 45 €
-1 aiguille
-2 carpules
-1 pochette suture
Total disons 50 €
Marge brute: 23 €
là tu déduit: Urssaf + retraite 30%, il reste 16 €
Alors viennent les impôts : 41 % soit 6,56€
bénéfice net : 9,44 €
Pour ce prix tu ne vas pas y revenir plusieurs fois non ?

Çà passe ou çà casse.
Si ça casse, implant + céram et là tu gagnes ta vie.

C'est ce que ces crétins de la sécu/cnsd veulent non ?


Rape p0as4f - Eugenol
rapelapente

19/04/2012 à 19h50

Tiens! ça va mieux là !


rere

20/04/2012 à 11h52

un peu dans le meme style.
il a fallu 3 seances avec ohca pour avoir un canal bien sec.
La stomato à cote de chez moi voulait un scan pour savoir la dent responsable alors que je n ai realise qu'un simple test de vitalite. Elle voulait aussi en meme temps qu'extraire les 8 faire une chir a retro apres mon ttt endo.
J ai lui ai telephoné pour lui dire que je prefererai temporiser pendant 6 mois ... J'espere ne pas me tromper !

R1 coaj4u - Eugenol
R9 m4gjwh - Eugenol

doagui

20/04/2012 à 13h03

Tu as vérifié la vitalité des 2 dents adjacentes ? Pas de nécrose a retro ?


Utilisateur banni

20/04/2012 à 13h25

Comme on t'as dit autant d'avis que de têtes.
De mon côté (je passe mon temps à fr des rtr alors que je suis omni): à priori grosse lésion risque finir en resec mais on tente en orthograde d'abord.
Si lors du travail tu comptes volontairement passer au delà pour perforer la lésion et la drainer je te conseil de laisser ouvert une semaine sous abt, puis Ca(OH)2+cavit à renouveler tous les mois au début puis tous les deux mois. Toujours s'assurer par rx contrôle que amelio osseuse sinon changer abt. Et si toujours rien terminer endo et resec. Tout cela dure de 6 mois à un an en général chez moi. Car je trouve plus simple de desobturer de l'hydroxyde de calcium que de la gutta, après tu fais comme tu veux.
En faisant ainsi je suis sur d'avoir fait le maxi pour conserver la dent.
Et si le doute persiste et que tu ne veux pas faire la resec tu informes le patient du risque de bombe à retardement.
J'ai eu des cas où un curetage peri apical esuffisait sans la resec, notamment sur des 22, d'autres où la resec est indispensable.
Le pire c'est les retroalvéolaire qui te disent tout va bien et que le patient a une symptomatologie qui réapparait, là c'est la merde, car tu justifie comment d'opérer? Dans ce cas soit douleur faible et peu souvent je surveille, soit s'intensifie et chir.
Bonne bourre, j'en bouffe à la pelle des comme ça.


Utilisateur banni

20/04/2012 à 13h29

Autre chose, les chances de réussites seront influencées par : l'âge du patient, son état général, l'ancienneté de la lésion, et la fréquence à laquelle il a pu prendre des antibiotiques.


juninho56

20/04/2012 à 15h34

Merci pour vos réponses

Je vais essayer de poster la radio samedi pour ne pas parler dans le vide.

J'ai revu la patiente cette semaine. Le coté gauche de son visage avait triplé de volume. Elle n'a pas pris les antibiotiques par peur des effets indésirables préférant se soigner par homéopathie.


nicodtr

20/04/2012 à 15h58

juninho56 écrivait:
-------------------
> Merci pour vos réponses
>
> Je vais essayer de poster la radio samedi pour ne pas parler dans le vide.
>
> J'ai revu la patiente cette semaine. Le coté gauche de son visage avait triplé
> de volume. Elle n'a pas pris les antibiotiques par peur des effets indésirables
> préférant se soigner par homéopathie.


Après âge du patient, lésion et autres critères clinique ... La bêtise des patients ....
Quand je lis que ton patient sort de tes prescriptions justifiées à quoi bon s acharner à faire des trt pendant 6 mois avec renouvellement d hydroxyde de ca
Je ferai simple et logique


Avatar reduit tuudiu - Eugenol
saitosama

20/04/2012 à 16h33

nicodtr écrivait:
-----------------

> Quand je lis que ton patient sort de tes prescriptions justifiées à quoi bon s
> acharner à faire des trt pendant 6 mois avec renouvellement d hydroxyde de ca
> Je ferai simple et logique

Moi aussi. Davier et devis Titane et hop !

Se faire suer avec une thérapie d'assainissement à l'hydroxyde pour une patiente qui foutra tout en l'air sur les conseils du premier marabou ou du premier article idiot...


celse

20/04/2012 à 17h22

pourquoi renouveler aussi longtemps du CaOH (à moins que les canaux ne soient jamais secs??) ?
Ne pas oublier que celui ci n'est actif que peu de temps, après il joue juste un rôle de "remplissage" des canaux...
et le cavit n'est étanche au mieux que 3 semaines quant à lui...
donc dès que le canal est correctement préparé et sec le mieux est d'obturer à la gutta .
Les études n'ont montré aucun pourcentage de réussite supérieur quelque soient les techniques en une ou plusieurs séances... autant faire aussi simple que possible tant pour le patient que pour nous...


malimor33

20/04/2012 à 17h46

celse écrivait:
---------------
> pourquoi renouveler aussi longtemps du CaOH (à moins que les canaux ne soient
> jamais secs??) ?
> Ne pas oublier que celui ci n'est actif que peu de temps, après il joue juste un
> rôle de "remplissage" des canaux...
> et le cavit n'est étanche au mieux que 3 semaines quant à lui...
> donc dès que le canal est correctement préparé et sec le mieux est d'obturer à
> la gutta .
> Les études n'ont montré aucun pourcentage de réussite supérieur quelque soient
> les techniques en une ou plusieurs séances... autant faire aussi simple que
> possible tant pour le patient que pour nous...


+100


F e01w igu3rl - Eugenol
roumette

20/04/2012 à 18h22

+1


juninho56

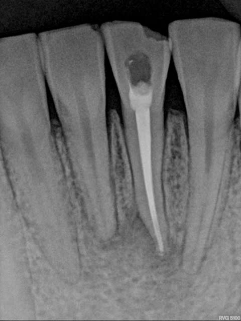
20/04/2012 à 23h40

voila la radio

Radio da5wtg - Eugenol

Utilisateur banni

21/04/2012 à 00h46

Je pense que ça peut sérieusement diminuer, un curetage en sus.
Quand à ceux qui demande pourquoi 6 mois et bien s'ils ont des yeux de lynx pour prédire l'avenir loin tant mieux moi pas. Je lis les radios du moment, et préfère voir une guérison osseuse totale ou presque avant d'obturer. Quitte à passer par du cvi pour étanchéifier.


Utilisateur banni

21/04/2012 à 00h46

Quant à croire sérieusement qu'un seul de nos matériaux empêche le passage bactérien il faut arrêter de rêver.


Avatar hjdsnm - Eugenol
TiGabi

24/04/2012 à 23h14

La position entre incisive latérale et canine au maxillaire, la forme de "poire inversée" et la légère divergence des racines peuvent faire envisager un "kyste globulo-maxillaire", terme qui ne désigne plus un diagnostic mais seulement une localisation selon l'article ci-dessous :
http://www.sso.ch/doc/doc_download.cfm?uuid=9559FF39D9D9424C4C431470CC567372&&IRACER_AUTOLINK&&

L'article décrit le différentiel pour ce type de lésion. La nécrose n'est peut être venue que secondairement "a retro".


kingofdogs

25/04/2012 à 03h43

Là je currette. Gain de temps pour tout le monde. Et une endo j'obture quand c'est sec, ni plus tard ni plus tôt.


rere

14/11/2012 à 18h28

rere écrivait:
--------------
> un peu dans le meme style.
> il a fallu 3 seances avec ohca pour avoir un canal bien sec.
> La stomato à cote de chez moi voulait un scan pour savoir la dent responsable
> alors que je n ai realise qu'un simple test de vitalite. Elle voulait aussi en
> meme temps qu'extraire les 8 faire une chir a retro apres mon ttt endo.
> J ai lui ai telephoné pour lui dire que je prefererai temporiser pendant 6 mois
> ... J'espere ne pas me tromper !

Perchet ynlre8 - Eugenol
Perchet cicatrisation svexif - Eugenol