Cookie Consent byPrivacyPolicies.comdécollement composite non controlé - Eugenol

décollement composite non controlé

baroud69

30/04/2012 à 13h20

Bonjour à tous

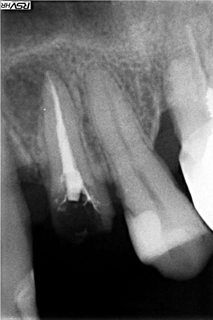
J'ai de temps à autre un souci quant à mes reconstitutions composites que j'ai découvert en prenant des radios de contrôle.

Par exemple vendredi dernier. Je traite donc carie 23 + carie 25 + RTE 24 avec élongation coronaire + couronne provisoire dans la séance (cf. photos jointes.

Je fais donc mes compos en premier, avant que ca saigne de partout :p et en prenant ma radio de contrôle quant au RTE de la 24 je vois du gris entre mes compos et les dents.

Ma technique opératoire :

- isolation digue
- nettoyage de la carie avec une fraise boule carbure de tungstène
- petit fraisage supplémentaire avec une fraise diamantée pour être sûr
- mordançage 30 seconde de l'émail avec de l'acide orthophosphorique puis 15 secondes dentine
- mise en place de l'adhésif Adper Scotchbond 1 XT de chez 3M ESPE
- soufflette, photo polymérisation 30 secondes
- mis en place d'un peu de flow puis un peu de compo (même marque Filtek Suprême XTE de chez 3M ESPE) sur 1 à 2 millimètres
- photo polymérisation 30 secondes
- et ainsi de suite
- polissage etc....

J'ai le même décollement avec ou sans adjonction de flow. J'ai testé sur des blocs en résine la compatibilité de l'adhésif et du coposite (merci Frédéric RAUX dans le cadre de la formation Clinic All) et ça colle.

Je suis un peu à court de solution là.

Des idées ?

3 owludz - Eugenol
1 srigsi - Eugenol
2 ijeslh - Eugenol
4 ctpnfy - Eugenol

Marque a3 orange fyvhyq - Eugenol
Marc Apap

30/04/2012 à 13h44

Ce n'est probablement pas un décollement, mais une excès d'adhésif non radio opaque entre ta dent et le composite. As tu pris des radios juste après la pose du composite pour comparer ?


malimor33

30/04/2012 à 13h45

Est-ce que ton flow est radio- opaque?


baroud69

30/04/2012 à 14h21

Heu aucune idée pour les deux...

Je vais tester :p


doagui

30/04/2012 à 14h43

Probablement une simple épaisseur d'adhesif, rien de plus. Passe bien la soufflette avant de photopolymériser, pour l'étaler comme il faut et chasser les excès.


003 penrd2 - Eugenol
Cingulum

30/04/2012 à 14h53

j'aurais tendance à dire la même chose c'est ton adhésif que tu ne vois pas... pas un décollement ...

--
Dr Cingulum
-----Ancien interné----
----Attaché à l'apex----
http://www.clinic-all.fr/ formation par passion


Dsc 3167 ff43tz - Eugenol
Xenophon

30/04/2012 à 15h33

j'ai eu le même problème et ça m'énervait. D'autant plus que ça m'est arrivé de refaire les composites et de retrouver le même problème.
J'ai changé d'adhésif pour un adhésif radio opaque et pour l'instant , ça va.
Il arrive aussi que l'adhésif reste bloqué contre la matrice et qu'il soit trop épais. Change de matrice avant de polymériser.


baroud69

30/04/2012 à 16h26

J'ai collé deux morceaux de compos avec l'adhésif et on voit le liseré.

A priori c'est l'adhésif que je vois.

1 c2atjs - Eugenol

Marque a3 orange fyvhyq - Eugenol
Marc Apap

30/04/2012 à 22h00

Et voilà, tu as ta réponse !


Grueavatar nptrc9 - Eugenol
Le Choixpeau magique

01/05/2012 à 01h58

La plupart des adhésifs sont radioclairs, à l'exception d'optibond FL, chargé à 48%, et d'adper prompt, qui est une sombre merde.
Pour éviter d'avoir ce liseret, il faut effectivement souffler de façon agressive sur l'adhésif avant de le polymériser. Problème, la plupart des adhésifs voient leur adhésion diminuer quand on les affine trop.
Une parade consiste à polymériser ensemble une très fine (inférieure à 0.5mm) couche de flow et l'adhésif afin que les charges radio-opaques du composite se mélangent avec l'adhésif. Mais ça implique d'avoir un flow translucide et un adhésif très réactif à la lumière.


Grueavatar nptrc9 - Eugenol
Le Choixpeau magique

01/05/2012 à 02h06

J Adhes Dent. 2009 Apr;11(2):109-15.
The influence of adhesive thickness on the microtensile bond strength of three adhesive systems.
D'Arcangelo C, Vanini L, Prosperi GD, Di Bussolo G, De Angelis F, D'Amario M, Caputi S.
Source
Department of Operative Dentistry, Dental School, University of Chieti, Italy. [email protected]
Abstract
PURPOSE:
To evaluate the effects of multiple adhesive layers of three etch-and-rinse adhesives on both adhesive thickness and microtensile bond strength (microTBS).
MATERIALS AND METHODS:
Midcoronal occlusal dentin of 36 extracted human molars was used. Teeth were randomly assigned to 3 groups (EB, XP, PQ) according to the adhesive system to be used: PQ1 (Ultradent) (PQ), EnaBond (Micerium) (EB), or XP Bond (Dentsply/DeTrey) (XP). Specimens from each group were further divided into three subgroups according to the number of adhesive coatings (1, 2, or 3). In all subgroups, each adhesive layer was light cured before application of each additional layer. After bonding procedures, composite crowns were incrementally built up. Specimens were sectioned perpendicular to the adhesive interface to produce multiple beams, approximately 1 mm2 in area. Beams were tested under tension at a crosshead speed of 0.5 mm/min until failure. Adhesive thicknesses and failure modes were evaluated with SEM. The microTBS data and mean adhesive thickness were analyzed by two-way ANOVA and multiple-comparison Tukey's test (alpha = 0.05).
RESULTS:
The mean bond strength (in MPa (SD)) of group EB gradually increased from 1 to 3 consecutive coatings (27.02 (9.38) to 44.32 (4.93), respectively) (p < 0.05). The highest mean bond strengths for the PQ (46.66 (12.95)) and XP groups (40.55 (5.69)) were obtained applying two adhesive coatings. The mean thickness of the adhesive layer (in microm (SD)) significantly increased with the number of coatings (p < 0.05), ranging from 29.45 (1.42) to 77.64 (1.10) for PQ, from 5.12 (0.68) to 37.75 (0.92) for EB, and from 12.64 (0.68) to 37.92 (0.71) for the XP group. Failure modes for EB specimens were mainly classified as adhesive failure between adhesive and dentin. The XP3 and PQ3 subgroups showed a greater number of total cohesive failure in adhesive.
CONCLUSION:
Multiple adhesive coats significantly affected bond strength to dentin. An excess of adhesive layer thickness can negatively influence the strength and the quality of adhesion.
PMID:
19492712
[PubMed - indexed for MEDLINE]


maz

01/05/2012 à 10h16

ce qu'on ne sait pas sur cette étude, c'est pourquoi les multiples couches d'adhésif sont plus efficaces pour certains

ça peut être parce que du coup, elles ont été plus polymérisées

parce que c'est plus épais mais qu'une couche plus épaisse suffirait

parce que indépendamment de l'épaisseur, le fait de faire plusieurs couches est un plus pour l'adhésion ...

bref, OFL FTW! c'est plus simple ;)
(ok, ok, surpass aussi c'est plus simple !)


Amibien

01/05/2012 à 14h05

Ta digue n'est pas étanche et si tu travavaillais avec tes loupes tu t'en rendrais vite compte.

je te donne un truc, une fois la digue posée tu spatules un peu de Kétac, ciment de scellement, tu le fais un rien plus fluide que pour un scellement, tu le disposes finement contre la digue et contre la dent à distance de ta ligne de finition cervicale. Là, tu auras un champ parfaitement sec et qui ne risque pas de s'humidifier lors des apports de composite. personnellement je scelle systématiquement la digue au ciment de scellement.

Une question, pourquoi l'acide sur la dentine ?


Smile beach jgh0a1 - Eugenol
Céramik

01/05/2012 à 18h25

Bcp plus simple la digue liquipe photo, 15-20 secondes et hop.

Pour le bonding, tu dois enlever les excès dans le fond de la cavité proximale, prend un micro applicateur sec si tu as peur de trop sècher au jet


--
Céramik


Amibien

01/05/2012 à 20h04

la digue liquide n'a pas le grip du kétac et d'autre part le kétac scelle le crampon qui ne peut pas se mouvoir accidentellement lors du travail. Et puis la digue liquide risque de coller au composite et tu as toutes les peines du monde à l'extirper dans les espaces interdentaires reculés alors que le kétac saute à l'ultrasons très facilement. Cela étant dit il est forme possible que la zone radio claire montrée par l'auteur du post soit effectivement de l'adhésif trop épais... Une autopsie ?


baroud69

02/05/2012 à 13h15

Je travaille avec des loupes Zess :p

Franchement pour une dent du haut, l'étanchéité acquise est laaaarrggggement suffisante.

En ce qui concerne le mordançage de la dentine, j'ai appris comme cela et pour l'instant n'est pas remis ce fait en question.. pour l'instant.


doagui

02/05/2012 à 13h27

Je trouve que certains coupent les cheveux en 4 (et sont bien inquisiteurs d'ailleurs) avec leurs histoires de digue...


Amibien

02/05/2012 à 13h42

doagui écrivait:
----------------
> Je trouve que certains coupent les cheveux en 4 (et sont bien inquisiteurs
> d'ailleurs) avec leurs histoires de digue...



Question d'habitude, pour garantir un inlay direct dix ans sur une 8 du haut il vaut mieux s'assurer de l'étanchéité de ta digue (:-))


Grueavatar nptrc9 - Eugenol
Le Choixpeau magique

02/05/2012 à 14h39

doagui écrivait:
----------------
> Je trouve que certains coupent les cheveux en 4 (et sont bien inquisiteurs
> d'ailleurs) avec leurs histoires de digue...

Oui c'est vrai, un bon amalgame au pouce ça marche à tous les coups, pourquoi s'embêter ?


doagui

02/05/2012 à 15h16

Le Choixpeau magique écrivait:
------------------------------
> doagui écrivait:
> ----------------
> > Je trouve que certains coupent les cheveux en 4 (et sont bien inquisiteurs
> > d'ailleurs) avec leurs histoires de digue...
>
> Oui c'est vrai, un bon amalgame au pouce ça marche à tous les coups, pourquoi
> s'embêter ?

Qui a parlé d'amalgame au pouce ? Il y a peut-être un fossé entre ça et pinailler sur une prétendue lacune d'étanchéité et l'absolue nécessité de travailler avec des loupes, non ?

(Je précise que je pose la digue pour mes restaurations et évidemment pour mes endos, et que je suis très loin de sculpter au pouce... simplement faut pas non plus tomber dans l'excès je trouve)


Amibien

02/05/2012 à 17h00

Je veux voir des photos ! ...

Allons-y pour couper les cheveux en quatre, voire en huit...


Olieve

03/05/2012 à 15h44

baroud69 écrivait:
------------------
> Bonjour à tous
>
> J'ai de temps à autre un souci quant à mes reconstitutions composites que j'ai
> découvert en prenant des radios de contrôle.
>
> Par exemple vendredi dernier. Je traite donc carie 23 + carie 25 + RTE 24 avec
> élongation coronaire + couronne provisoire dans la séance (cf. photos jointes.
>
> Je fais donc mes compos en premier, avant que ca saigne de partout :p et en
> prenant ma radio de contrôle quant au RTE de la 24 je vois du gris entre mes
> compos et les dents.
>
> Ma technique opératoire :
>
> - isolation digue
> - nettoyage de la carie avec une fraise boule carbure de tungstène
> - petit fraisage supplémentaire avec une fraise diamantée pour être sûr
> - mordançage 30 seconde de l'émail avec de l'acide orthophosphorique puis 15
> secondes dentine
> - mise en place de l'adhésif Adper Scotchbond 1 XT de chez 3M ESPE
> - soufflette, photo polymérisation 30 secondes
> - mis en place d'un peu de flow puis un peu de compo (même marque Filtek Suprême
> XTE de chez 3M ESPE) sur 1 à 2 millimètres
> - photo polymérisation 30 secondes
> - et ainsi de suite
> - polissage etc....
>
> J'ai le même décollement avec ou sans adjonction de flow. J'ai testé sur des
> blocs en résine la compatibilité de l'adhésif et du coposite (merci Frédéric
> RAUX dans le cadre de la formation Clinic All) et ça colle.
>
> Je suis un peu à court de solution là.
>
> Des idées ?

Fais-moi plaisir : vire moi cette 24 avant de soigner tes joints !
Tu n'en feras jamais rien de bon et le parodonte de la 23 te diras merci !


Smile beach jgh0a1 - Eugenol
Céramik

03/05/2012 à 21h37

Olieve écrivait:
----------------
>>
> Fais-moi plaisir : vire moi cette 24 avant de soigner tes joints !
> Tu n'en feras jamais rien de bon et le parodonte de la 23 te diras merci !


+10
J'osais pas le dire...mais une 24 comme cela, c'est un implant !

--
Céramik


baroud69

03/05/2012 à 22h55

Qui a dit le contraire ?

Mais là c'est une partie du plan de traitement global dont la priorité est la paro... Je stabilise quelques mois sa dent qui me (ou le patient) laissera tranquille, l'implant viendra après la paro^^


sow

17/05/2012 à 03h27

Moi j'ai un autre souci.

J'ai refait plusieurs fois un composite antérieur sur une 21 (face V jusqu'au bord libre) qui ne tenait pas.

Je ne comprends pas. J'ai pourtant réalisé :

- un grand biseau avec irrégularité de surface,
- suivi le protocole de mise en place de la résine composite à la lettre
- assuré l'occlusion de ma patiente (RIM et propulsion).


Ca n'est pas mon premier composite antérieur mais celui ci ne veut pas tenir.


12