Cookie Consent byPrivacyPolicies.comconsulte pour esthétique - Eugenol

consulte pour esthétique

amazai

07/05/2012 à 14h47

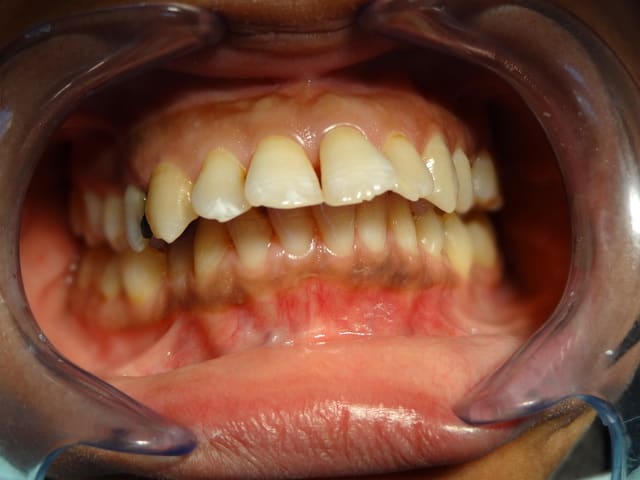
Bonjour,c'est une patiente de 36 ans qui consulte pour un souci esthétique " dents antero sup trop en avant" , elle refuse toute proposition de chirurgie, qu'est ce que vous proposez comme plan de traitement ?
Merci

2 awmyhq - Eugenol
A s1uax2 - Eugenol

Img 3657 cwjvqm - Eugenol
alapex

07/05/2012 à 15h23

Lourdes ?

Je sors ...))))


amazai

07/05/2012 à 15h34

la suite des photos

Dsc00138 hhbkoo - Eugenol

amazai

07/05/2012 à 15h35

.....


olivier

07/05/2012 à 18h08

a l'impossible nul n est tenu, elle a une face de tanche si elle ne veut pas de chir c'est son problème


Pure msn be1nue - Eugenol
drilleur

07/05/2012 à 19h38

Une burka?
blague à part je pense qu'il n'y a rien à faire sans passer par de la chir.


Bagheera tudzjy - Eugenol
bagheerra

07/05/2012 à 20h59

Qu'elle commence par soigner ses caries..., après c'est de la cuisine d'ortho.


Images jm2g2g - Eugenol
dr_0le

07/05/2012 à 21h56

bagheerra écrivait:
-------------------
> Qu'elle commence par soigner ses caries..., après c'est de la cuisine d'ortho.

+1

tout va bien sur la 15? pas une petite ENORME carie?



Smile beach jgh0a1 - Eugenol
Céramik

08/05/2012 à 07h16

dr_0le écrivait:
----------------
> bagheerra écrivait:
> -------------------
> > Qu'elle commence par soigner ses caries..., après c'est de la cuisine d'ortho.
>
> +1
>
> tout va bien sur la 15? pas une petite ENORME carie?
>
>

Pffft, la 23 ?

+1 pour les caries multiples / ortho....


--
Céramik


amazai

08/05/2012 à 15h34

suite des photos...

Dsc00139 mm1h3e - Eugenol
Dsc00140 p03fyh - Eugenol

amazai

08/05/2012 à 19h40

....

Dsc00142 tykyni - Eugenol
Dsc00144 jtvcw0 - Eugenol

amazai

08/05/2012 à 23h06

....

Dsc00151 t55g0o - Eugenol
Dsc00152 ze1vdh - Eugenol
Dsc00153 qpbmlz - Eugenol
Dsc00154 idd55k - Eugenol
Dsc00155 ozjcpx - Eugenol

1 eugenol dmj5np - Eugenol
Dancha

09/05/2012 à 12h44

amazai écrivait:
----------------
> Bonjour,c'est une patiente de 36 ans qui consulte pour un souci esthétique "
> dents antero sup trop en avant" , elle refuse toute proposition de chirurgie,

Elle a raison, c'est de l'orthodontie qu'il faut faire, pas de la chirurgie.
Il faut faire de la place en postérieur pour reculer les antérieures.
Fais un bilan précis des dents soignables et conservables, puis adresse-là à un orthodontiste et mettez-vous d'accord pour décider quelles dents virer.

Daniel


chicchique

09/05/2012 à 13h38

Dancha écrivait:
----------------
>
> Elle a raison, c'est de l'orthodontie qu'il faut faire, pas de la chirurgie.


Tout à fait mais prudence
En expliquant qu’il s’agit d’un traitement lourd ,long et coûteux .

Mon référent ortho se plaint d’adultes qui consultent en ‘pulsionnel’ après un ‘accident de la vie’ chômage ,divorce ,dépression.
il faut que le patient soit bien stable psychiquement.et très motivé.

-


amazai

09/05/2012 à 14h02

.....

Dsc00156 iktj2d - Eugenol
Dsc00157 mcfsns - Eugenol

amazai

09/05/2012 à 14h15

dr_0le - bagheerra, ceramique : la patiente a été prise en charge pour la mise en etat de la cavité bucale, parlons maintenent orthodontie


Bebe 038 nf8eum - Eugenol
danteyeah

09/05/2012 à 15h19

Pour ceux qui y voit un cas de chir-ortho., pourriez vous développer?
Car honêtement je ne vois pas qu'elle genre de chirurgie réaliser.
Comme Dancha je pense que ce cas nécessite un traitement ortho., qu'il sera certainement nécessaire de relever le calage postérieur (composite dans un premier temps, puis céramique, si tout va bien en occluso).
En restant comme cela la patiente cours vers une perte paro inéluctable, mais en traitant on risque d'induire une occlusion iatrogène. C'est donc un travail de coordination inévitable entre l'ortho et l'omnipraticien ayant un bon baggage en occluso.


3f3boxni50k58rq7e9ce9ddqrxgk - Eugenol
dentiste57

09/05/2012 à 22h13

amazai écrivait:
----------------
> Bonjour,c'est une patiente de 36 ans qui consulte pour un souci esthétique "
> dents antero sup trop en avant" , elle refuse toute proposition de chirurgie,
> qu'est ce que vous proposez comme plan de traitement ?
> Merci

consulte pour esthétique...hummm! un foulard Hermes ?


amazai

11/05/2012 à 15h05

dentiste57 écrivait:
--------------------
> amazai écrivait:
> ----------------
> > Bonjour,c'est une patiente de 36 ans qui consulte pour un souci esthétique "
> > dents antero sup trop en avant" , elle refuse toute proposition de chirurgie,
> > qu'est ce que vous proposez comme plan de traitement ?
> > Merci
>
> consulte pour esthétique...hummm! un foulard Hermes ?

tu l'as deja precrit pour tes cas ?


aadild

12/05/2012 à 18h37

Les minivis seront tres utiles durant la retraction du bloc incisif , pour pas avoir de pertes d'ancrage!


Coyote hfbg68 - Eugenol
coyote32

27/06/2012 à 17h48


vu le nombre de carie le suivi doit pas être terrible.
en plus son souci majeur c'est la langue , donc tu vas ,soit extraire et diminuer l'espace disponible et tu te retrouveras dans la m.....!
bon courage , envoie la à un confrère que tu "aimes bien "
--
un bip bip à tous


Ylfwcw979cz1jnx9gfqeaxndiuzk - Eugenol
Algi

17/07/2012 à 14h40

Qu'on lui coupe la langue! Je sais, des fois j'ai tendance à vouloir être comme la reine dans Alice....

Bref il y a sans doute un souci de déglutition et de placement de la langue, faudrait commencer par ça avec des calages en postérieur afin de lever sa supra mais en faisant attention à ne pas favoriser une béance anterieure....

Je sais que je vais me faire allumer mais ici je proposerais un bon vieux soulet et besombes qui modifiera les habitudes de déglutition et de respiration et aura aussi peut être pour effet de commencer à remodeler l'oclusion qui, au demeurant, n'est pas perturbée que "devant".
Soit ça marche "tout seul" soit, une fois la langue et la respiration éduquées, on pourra envisager de l'ortho multibague.

ps: on a que des photos pour juger mais j'ai pas un bon ressenti face à ce cas... si la demande n'est qu’esthétique, il va falloir l'aiguiller sur le fait que ses dents et sa bouche fonctionnent mal et bien lui faire comprendre que ce type de traitement est long, onereux et de pronostic réservé.


--
"On a toujours le choix! Mais entre quoi et quoi?
Vas-y boulégue et l'avenir te le dira!"


1309531 ours brun n5iukf - Eugenol
seespan

17/07/2012 à 20h23

Il manque le document essentiel: l'etude du sourire.
Sans photo comment juger de la position des incisives par rapport aux lévre, les incives du haut sont proclinée il faut savoir si leur position sera esthetique apres retroclination (prevenir la patientes qu'elles risque d'avoir des triangles noirs entre les dents a cause des espaces interdentaire qui risque d'etre plus visible, dans ce cas un stripping est necessaire.)
Pas de problem paro a envisager dans le futur pour mois, le niveaux d'os est excellent pour une patient de 36 ans.

Sinon le cas me semble assez simple soigner les carries et traitement classique avec deux options

1 extraction de deux premolairs en haut ( choisir les plus compromise en particulier 24 ) gerer sont angrage de maniére classique. Finir en class 1 canine et Classe II molaire.
Mandibule corriger la courbe de spee par intrusion des incisores ( sur eruption du to excessive overjet qui a permit le devellopement du Deepbite ). Utiliser un utility arch qui va permettre de corriger l'axe des molaire en particulier secteur 3 ) . Normalement les minivis sont inutiles.

2 distaliser completement la dentition maxillaire avec deux minivis au palais utiliser d'abors pour distaliser les six ( transpalatal bar relier au minivis par un elastic a une hauteur proche du centre de resistance pour obtenir une translation ( sur les photos le palais semble assez profond). une foir la distalization des molaire terminer les relier aux vis palatal pour obtenir un anchrage aboslu des six et faire une retraction du secteur anterieur.

Le plan numeros 2 me semble excessif vu l'etat des premolaire du haut. Dans tout les cas verifier qu'il n'y est pas de trouble atm ou d'interference occlusal.En particulier faire attention au guidage anterior. L'eminence articulaire semble tres plate en particulier a gauche ce qui est normal vue l'angle inter incisif. Je serais inquie de voir la patient developer des troubles articulaire si un guidage anterior trop abrupt par rapport a l'angulation de l'eminence articulaire est créer au niveau incisal