Cookie Consent byPrivacyPolicies.comCas d'un bridge anterieur 12 à 22 - Eugenol

Cas d'un bridge anterieur 12 à 22

dentine34

19/05/2012 à 19h03

Bonjour tout le monde!
Allez je me lance dans mon tout premier topic, après une longue période de simple consultation du forum...
Ce matin, je réalise les tailles et le provisoire pour un bridge de 12 à 22. La patiente, 45 ans, origine ethnique afrique noire, femme d'ambassadeur, soucieuse de son esthetique. Elle a la 21 absente et possédait un petit bridge en extension 22/21, réalisé au Bénin, très inésthétique. Sa demande était donc esthétique et ne souhaitait plus avoir son diastème entre 11 et 21. Je lui parle de l'implanto et du bridge. Le choix s'oriente donc vers une solution de bridge 12 à 22 le tout sur dents vivantes... Evidemment je valide l'esthetique à l'aide de wax up réalisés par le labo avant de me jeter à l'eau. La patiente ravie, on commence. Lors de la taille, j'effracte la corne pulpaire de la 22 :(. Il doit peut être resté 0,001mm de dentine car je vois plus que bien un petit point qui devient rouge, "mais rien ne coule", et lorsque je passe un petit brush, c'est sec. Illico presto, j'applique du prime et du bond, puis une goutte de composite flow...a la fin de mes tailles, sur les trois dents vivantes, après avoir mis le fil, je fais la même chose, prime+bonding. Puis je réalise à l'aide d'une clef en silicone issu des wax ups, le provisoire ( voco structure). Très beau résultat (je reste modeste;)), mais le hic, je n'arrive pas a le desceller...et j ai peur de trop insister et de tout casser...l'heure tourne! Avec une fraise flamme diamenté puis tungstène, je dégage les embrasures et polie les limites directement en bouche. Après réflexion, je pense que c'est dû à ma couche hybride faite à l'aide du primer+bonding...qu'en pensez-vous? Aurai-je dû mettre de la glycérine ou vaseline avant de faire le provisoire? Autre question, pensez-vous que mon coiffage pulpaire a des chances de fonctionner ou le traitement de racine sera obligatoire? Pensez-vous que je peux envisager un bridge en eMax où le risque de casse est important ( guide antérieur de la patiente correct)? Si je peux faire de l'eMax, je souhaite d'abord poser le bridge en provisoire ( au cas où problème sur la vitalité de la 22)...quel produit utiliser?
Un grand merci par avance pour vos réponses...et j'espère ne pas trop me faire allumer ( sur les fautes d'orthographe!)


dentine34

19/05/2012 à 19h15

J'oubliais je lui ai donné une petite ordonnance pour le week-end, au cas où pour la 22, avec anti inflammatoire et antalgique...à ne prendre que si grosse douleure sur 22, pour ne pas masquer ou retarder les symptômes de mon échec de coiffage sur 22. Si fortes douleurs j'ai un crénau de bloquer pour le traitement de racine de 22...je le fais d'emblée ou je temporise en espérant que la pulpite soit réversible? Encore merci ;)


Marque a3 orange fyvhyq - Eugenol
Marc Apap

19/05/2012 à 20h17

Tiens, j'ai fait pareil hier. Mais j'avais fait le provisoire avant de mettre de l'adhésif automordançant sur la zone exposée. Evidemment, le Structur a collé à la couche de composite/adhésif. Si tu n'arrives pas à le décoller (arrache couronne manié délicatement), il va falloir tout refaire parce que ça risque de casser. Si tu refais, une bonne couche de salive sur les préparations, ça doit suffire, sinon, vaseline sur les moignons pour éviter le recollage. Et scellement avec un ciment provisoire non résineux.


dentine34

19/05/2012 à 21h13

Merci pour ta réponse Marc Appap...effectivement je pense que lorsque je vais le déposer pour prendre mon empreinte ça risque de casser! Tampis je referais, et là j'hésiterai pas à humidifier. Tu me conseil un ciment non résineux pour sceller temporairement mon provisoire ou mon bridge definitif?...parceque, ce que je comptais faire la prochaine fois, c'était après la prise de réaction du provisoire et sa dépose, enlever la vaseline et bien sécher puis repositionner le provisoire sans aucun ciment car je pense avoir assez de rétention...idée acceptable ou faut-il absolument mettre un ciment temporaire?


Marque a3 orange fyvhyq - Eugenol
Marc Apap

19/05/2012 à 21h23

Ciment temporaire non résineux car sinon, on risque encore un collage du provisoire (tout dépend des marques). Le Seal Temp S (mon préféré, quoique résineux, ne collera pas. Sinon, un carboxylate + vaseline ou autre)
Ciment définitif à ta convenance
Ciment temporaire absolument indispensable pour assurer l'herméticité et l'asepsie et limiter les risques d'irritation pulpaire, surtout avec des dents vivantes(les bactéries filent partout, même si le bridge tient tout seul)


dentine34

19/05/2012 à 21h38

Oui je suis d'accord sur le fait de protéger la dent contre l'invasion bacterienne mais les tubulis dentinaires sont oblitérés par ma couche hybride, non? Alors pourquoi rajouter un ciment temporaire en plus?! surtout qu'ils ne sont pas réputés pour leurs qualités d'étanchéité...


Marque a3 orange fyvhyq - Eugenol
Marc Apap

19/05/2012 à 22h25

Pour éviter la colonisation de l'espace entre le bridge et la couche hybride par les bactéries.


aldo74

19/05/2012 à 22h42

je reviens sur le début : placer le primer avant de faire le provisoire est une petite faute de débutant,bien penser à reprendre un alginate avant de desceller la prochaine fois car tout va casser.

d'abord faire son provisoire puis après la couche hybride.
sinon adhésion....
le problème du ciment lorsque les tailles sont sur dents vivantes et parfois peu invasives c'est l'aspect blanchàtre par transparence.
on peut utiliser du flow sans le polymériser, le joint est très esthétique mais un peu délicat au descellement surtout si plusieurs séances d'essayages sont nécessaires.


aldo74

19/05/2012 à 22h50

pas fini...
c'est curieux de se lancer dans une réalisation prothétique
donc avec des formes de préparation à respecter suivant la conception prévue et de s'interroger sur la possibilité de faire de l'Emax.


dentine34

19/05/2012 à 23h12

Effectivement erreur de débutant! Mais ça me servira de leçon, je m'en rappelerai! En faite, les autres fois, je faisais bien le provisoire puis la couche hybride....et puis là je me suis dit: "tiens pourquoi pas protéger la dentine juste aprés la taille pour éviter que des composés lors de la polymérisation du provisoire pénètrent les tubulis et irritent ma plulpe"! Je crois que ça peut être intéressant de faire la couche hybride avant, mais comme Marc Apap l'a précisé après faut hydrater: salive ou vaseline! Pour la question sur l'emax, j'étais parti sur ça dès le début (dans le devis et lors des préparations), en prévenant la patiente du possible risque de fracture...j'ai posé la question sur le forum pour avoir des avis sur des expériences d'autres confrères...si c'est voué à l'échec ou si l'emax supporte ce type de restauration.
Merci pour l'astuce du flow!;)


Smile beach jgh0a1 - Eugenol
Céramik

20/05/2012 à 08h00

E.max, zéro soucis, si tu respectes les protocoles de tailles, collage et fabrication (épaisseur des connecteurs entre pontique et pilliers).
Ensuite l'occlusion doit être bien ajusteée et contrôlée.

Pour ta couche hybridre, simplement de la salive, c'est risqué, place de la vaseline.

Pour ton provisoire, évite le flow, prend un ciment provisoire comme le temps bond clear.

Pourquoi ne pas faire l'empreinte lors de la taille ?

Et placer du e. Max avec en provisoire, faire gaffe, moi je fais pas !
Travaille ton provisoire et ensuite copie en e.max et collage.

Place nous des photo.

--
Céramik


dentine34

20/05/2012 à 12h05

Merci Ceramik pour ces réponses claires! Je n'ai pas fait l'empreinte lors de la taille pour deux raisons: je souhaitais que la patiente prenne le temps de valider le provisoire avec son mari et amies, et parceque j'attends de voir ce que donne la 22 avec le coiffage pulpaire directe ( d'ailleurs c'est pour cette dernière raison que je souhaite placer l'emax en provisoire au début).
Pour la question de l'emax et du respect des tailles, espace des connectiques, etc, après la taille j'ai pris une empreinte à l'alginate et je l'ai envoyé au labo pour qu'ils me disent ce qu'ils en pensent et si il y a besoin de retouches ( et oui en tant que débutant, je suis un peu frileux!) ;)


dentine34

10/07/2012 à 23h01

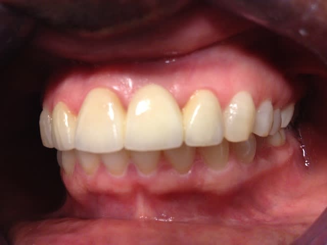
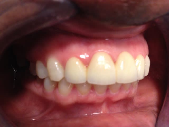
Je déterre mon poste en mettant les photos du cas. Désolé il manque le principal: la photo de l'état initial...

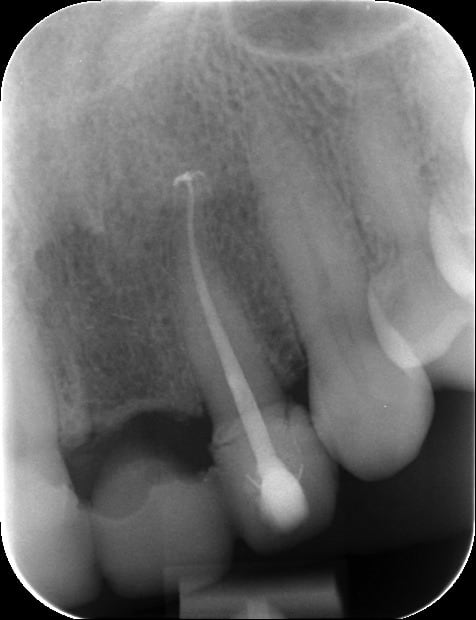
Donc par précaution, j'ai choisi de faire l'endo sur la 22, suite au coiffage direct (même si la dent était asymptotique pour la patiente).
Je n'ai pas osé faire que de l'Emax. J'ai décidé avec le labo de faire une armature Zircone avec de l'Emax pressée dessus.
Il y a les photos du biscuit, du bridge fini le jour de la pose et à 3 semaines.

A vos critiques, merci!

PS: Photos prises avec mon Iphone...

Cimg3722 rzdxcn - Eugenol
P0056123 20120523 dr37199 vdv8qm - Eugenol
P0056123 20120523 dr37200 glrwbg - Eugenol
Cimg3734 npovxb - Eugenol
Img 0794 uwnlfd - Eugenol
Img 0805 yc9fwq - Eugenol
Img 0808 cj6upb - Eugenol
Img 0800 trpctp - Eugenol
Img 0799 whsc8b - Eugenol
Img 0798 pbgahb - Eugenol

120 81 mdkvjo - Eugenol
Monaco

10/07/2012 à 23h39

C'est très beau.


Et belle endo aussi :-)


dentine34

11/07/2012 à 15h32

Merci bcp!
Je prendrai une photo des modèles d'étude pour avoir une idée de la situation de départ.


Dsc 3167 ff43tz - Eugenol
Xenophon

11/07/2012 à 18h09

De ce que l'on peut en voir, c'est beau et propre.


rmdentaire

12/07/2012 à 01h28

je trouve le résultat très esthétique ;)
par pure curiosité, t'as quel âge pour être un "débutant"?


dentine34

12/07/2012 à 16h59

Je dis débutant car diplômé depuis 2010, thésé en 2011, et j'ai perdu pas mal de temps à faire des remplas dans des cabinets où la digue, les matrices, bref la moitié des choses étaient inexistantes, il fallait bosser avec "sa bite et son couteau" et les mauvaises habitudes viennent très rapidement!
Hier j'ai fait des prépas pour deux facettes 21 et 22, je posterai le cas une fois fini sur Eugenol car ce sont mes "vraies" premières facettes!


dentine34

20/07/2012 à 23h43

ça n'aide pas beaucoup mais voilà la photo du modèle de départ.

Img 0807 bgtgj7 - Eugenol