Cookie Consent byPrivacyPolicies.combridge ceramique antérieur - Eugenol

bridge ceramique antérieur

n.

21/05/2012 à 19h37

je sollicite de vos précieux conseils,
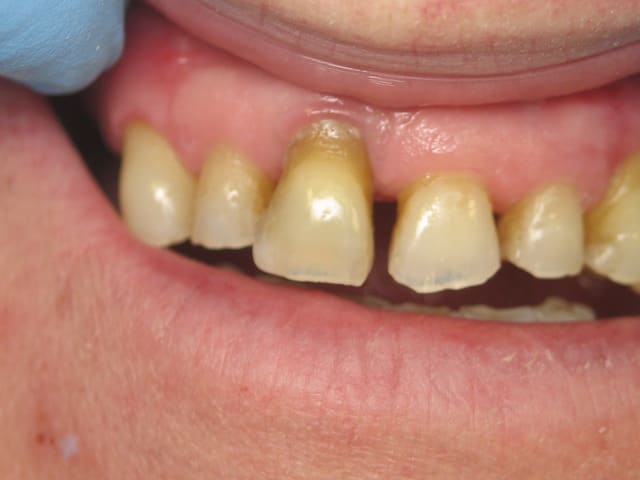
je refait actuellement les 4 incisives, le projet initial consistait à faire 4 dents
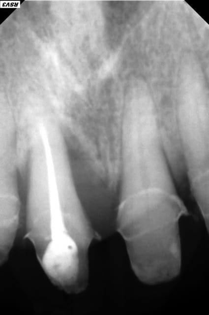
j'ai été un peu présomptueux sur mes capacités à conserver 11,
je doit me résoudre à l'extraire,
j’envisage de faire un bridge céramo céramique,

pourriez vous m'indiquer comment vous procédez pour extraire une dent dans ce cas :
comblement de l'alveole avec un biomat, greffon conjonctif, (comme avant une implantation)

quel matériau utlilisez vous ?

a vous lire

11 y14q40 - Eugenol
Img 1634 dpl0el - Eugenol
Img 1639 neddnw - Eugenol
Img 1642 cjdlly - Eugenol
Img 1643 tteywt - Eugenol

G-P

22/05/2012 à 00h03

Vu la ligne du sourire, si le patient n'est pas demandeur et très motivé (pas de sourire gingival, pas de complexe par rapport à sa gencive), ne t'embête pas.
Récupérer une fonte osseuse comme ça c'est faisable mais on est pas toujours sûr du résultat.


baroud69

22/05/2012 à 00h23

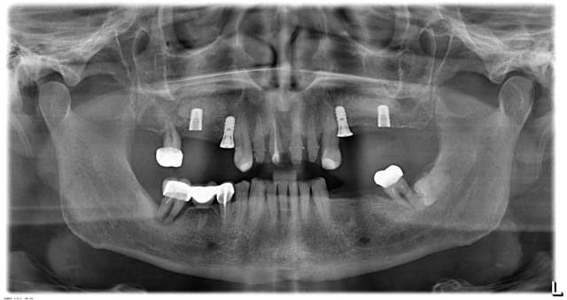
A priori pas de calage postérieur (cf. photo)?

Ton bridge CCC il va te l’exploser..... Déjà un bridge CCM je serai pas très confiant.


maz

22/05/2012 à 02h02

avec si peu de dents derrière (pas du tout ??)
je vois pas quel pronostic tu peux espérer pour le bridge


Bebe 038 nf8eum - Eugenol
danteyeah

22/05/2012 à 02h10

Présenté comme cela, évidement une réhabilitation uniquement antérieure fixé semble vouée à l'échec.
La perte paro importante sur 11, l'égression des 11 et 21 avec diastème et l'usure importante montrent un manque de calage postérieur existant depuis un bon moment (présence certaine d'une PAP maxillaire, non adaptée, non rebasée). Il n'y a pas de raison que tout cela s'arrange juste en refaisant les incisives sup.
Une réhabilitation totale semble plus indiquée (prothèse mixte conjointe/adjointe, ou mieux implanto portée).
Pour la ligne du sourire, difficile de dire si cela aura un impact (pas de photo de sourire disponible), mais vu la perte osseuse visible sur la rétro, il y a fort à parier que tu vas te retrouver avec une belle fonte de la corticale vestibulaire quelques mois après extraction: comblement bio-oss possible+travail de l'esthétique de l'émergence du pontique.
Cependant un traitement implantaire (11 et surement 21 aussi) donnerait un résultat esthétique plus durable, bien qu'évidement ici l'économie tissulaire et le budget sont sacrifiés sur l'autel de l'esthétique, et j'en vois déjà ici crier au scandale ;-).

Pour répondre à la question (en envisageant que l'occlusion et le calage postérieur soit favorable):
- Si impact et demande esthétique nul, alors extraction simple, et réalisation prothétique après quelques mois de cicatrisation et de bridge provisoire.
- Si demande esthétique et/ou sourire gingivale, alors comblement au bio-oss, travail du pontique provisoire, réévaluation à 4-6 mois entrainant souvent la réalisation d'une deuxième série de provisoire, validation de l'esthétique puis réalisation du définitif (avec prière au petit jésus, pour certains ça aide y parait!).
Mais honnêtement je pense que d'un point de vue esthétique ce cas tient d'un traitement implantaire sur 11 et 21 (avec comblement osseux pour 11) et évidement toujours après réhabilitation du calage postérieur.



41467 100000418256397 4215 n ypxyho - Eugenol
starsky55

22/05/2012 à 10h16

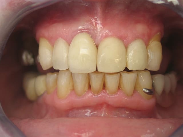
Si tu veux faire un bridge au plus simple et que tu as une fonte importante, demande à ton prothésiste une fausse gencive en céramique rose, les résultats sont plutôt sympas ...


n.

22/05/2012 à 15h24

a propos du calage :
je précise que la réhabilitation du secteur ant est faite dans le cadre d'une reconstruction globale, ci joint la derniere radio et projet proth.

ma question concerne donc bien le probleme de la fonte osseuse post op,

la solution de la fausse gencive est intéressante, mais si je peux m'en passer, j'aimerai autant faire un comblement,

dans la mesure ou je ne compte pas mettre un implant a cet endroit , quel est le matériau le plus adéquat ?
faut 'il nécessairement placer une membrane entre le biomat et le greffon conjonctif ? (ce qui m'importe c'est le volume final, pas la qualité de l'os de cicatrisation)
pour l'instant j'ai récupéré des papilles satisfaisantes, j'ai peur qu'en levant un lambeau je provoque une récession plus importante...

en vous remerciant de votre aide

Capture ley5kt - Eugenol
Goarrin j 20120515 785 nfxhtp - Eugenol

Mario ycg44a - Eugenol
Mario180

22/05/2012 à 23h04

Pour comblement, biooss certes, mais pourquoi pas alternative : Nanobone