Cookie Consent byPrivacyPolicies.comGranulome sous CCM moins de 6 mois après... - Eugenol

Granulome sous CCM moins de 6 mois après...

mitch69

27/05/2012 à 17h59

Bonjour,

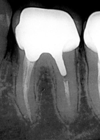
J'ai fait 2 endos dans la foulée sur un patient en janvier (36-37). Depuis le début il m'indique une sensibilité sur la 36. Effectivement, je teste à chaque visite, cette dent lui fait un peu mal à la percussion.

Je pensais au début à une arthrite persistante mais comme ça ne passe pas, j'ai pris une radio pour vérifier si tout va bien. Et là, à moins que ce soit un artefact, ça ressemble quand même bigrement à un granulome apical sur la distale...

On voit que l'obturation ne va pas jusqu'à l'apex mais je n'ai pas pu faire mieux, le canal doit sûrement partir en réseau.

J'hésite un peu sur la conduite à tenir car le patient ne se plaint pas plus que ça. Dois-je tout déposer et tenter de reprendre l'endo (au risque de fracturer la racine), ou bien est-ce plus prudent de temporiser pour voir comment ce granulome va évoluer dans le temps ?

36 s0fah4 - Eugenol

Smile beach jgh0a1 - Eugenol
Céramik

27/05/2012 à 18h49


Radio moche sur nonol, on y voit pas grand chose, sauf que ton endo est très courte en distal.
Choix:
1-tu attends et croises les doigts
2-tu fais une chirurgie rétro...pas si facile, mais bon.
3- tu refais le tout..
4- tu addresses en endo exclusif...

Moi, je fais # 4 , j'aime pas l'endo, je touche pas au re-traitement, et j'aime les endo exclusifs, ils sont plus doués que moi .



--
Céramik


cagagne

27/05/2012 à 18h51

Granulome?
Vas savoir, pas très net en tout cas.
Risque de fracture?
A mon avis aucun, tu découpes et tu déposes sans aucun problème.
(Evite l'arrache-couronne dans tous les cas!)


--
Utilisez les pouces dans l'angle en haut à droite pour voter SVP
Kikcéti kiadi quélénonol nété pas une arène
Avé César


mitch69

27/05/2012 à 19h42

Désolé pour la qualité de l'image jointe, je ne suis pas très doué en informatique...

Je sais que l'obturation est bien trop courte mais c'est vraiment le mieux que j'ai pu faire, et pourtant je travaille au microscope et avec un bon localisateur d'apex.

En tout cas si je dois absolument déposer, moi non plus je ne fais pas les retraitements endo, j'envoie direct chez un spécialiste (mais pour le coup ce sera à ma charge).

Bref, si ce n'est pas un granulome, comment expliquer la sensibilité à la percussion (axiale et transversale) de cette dent ?


Smile beach jgh0a1 - Eugenol
Céramik

27/05/2012 à 20h08

mitch69 écrivait:
-----------------
>> Bref, si ce n'est pas un granulome, comment expliquer la sensibilité à la
> percussion (axiale et transversale) de cette dent ?
>

Fracture racine...

--
Céramik


cagagne

27/05/2012 à 20h22

Moi je serai d'avis de temporiser dans l'attente d'avoir une radio plus parlante ou de revoir ton patient avec la Boufigasse :-).

--
Utilisez les pouces dans l'angle en haut à droite pour voter SVP
Kikcéti kiadi quélénonol nété pas une arène
Avé César


Manolito wom2of - Eugenol
manolito

27/05/2012 à 21h39

pourquoi prendrais tu en charge les honoraires de l'endodontiste???
Tu laisses le choix au patient, exo+implant, traitement chez l'endodontiste exclusif+nouvelle couronne .. à lui de voir. tu devras par contre refaire la couronne à tes frais que ce soit sur la dent ou sur un implant.


mitch69

27/05/2012 à 23h15

Je serais étonné qu'une racine soit fracturée : le test à la percussion est positif mais pas le test à la morsure. De plus le patient m'a indiqué que la sensibilité est "intermittente", et donc que la dent est parfois totalement muette.

En ce qui concerne le retraitement par un spécialiste à ma charge, cela me semble normal car si on se fie à la radio, il est clair que j'ai foiré l'endo. Si mon patient souffre à cause de ça dans les mois qui suivent mon intervention, je prends mes responsabilités. Mais c'est un point de vue personnel.

Cela dit actuellement le patient ne souffre pas, il évoque seulement une simple sensibilité, pas même une gêne à la mastication.

A la réflexion, je pense donc temporiser pour voir si les symptômes persistent et si les radios montrent quelque chose de plus clair dans les mois qui viennent. je suis de toute façon amené à revoir ce patient deux fois par an.


Manolito wom2of - Eugenol
manolito

27/05/2012 à 23h56

mitch69 écrivait:
-----------------

>
> En ce qui concerne le retraitement par un spécialiste à ma charge, cela me
> semble normal car si on se fie à la radio, il est clair que j'ai foiré l'endo.
> Si mon patient souffre à cause de ça dans les mois qui suivent mon intervention,
> je prends mes responsabilités.


tu ne l'as pas foiré, elle était trop difficile pour un omnipraticien. surtout si tu l'as faite sous microscope... tu n'as d'obligation de résultat que sur la prothèse, pas sur le traitement endo


G-P

27/05/2012 à 23h59

Ca m'arrive de faire des endos pas top aussi, mais je ne verrouille pas tout de suite avec IC/couronne. Composite ou couronne provisoire pour temporiser aurait été une bonne idée ici non ?
Quant à prendre à ta charge les honoraires de l'endo exclusif...
Si ta première endo était facturée 500€ pourquoi pas, mais déjà que tu donnes de l'argent au patient quand tu la fais à 80€, faut pas déconner.


malimor33

28/05/2012 à 01h09

Douleur intermittente, ça ne serait pas un bourrage alimentaire,des fois? Comment sont tes points de contact ?


Tozzi

28/05/2012 à 01h10

Tu as vérifié l'occlusion ?
On peut avoir de sérieux doutes sur la racine distale.
J'ai souvent remarqué qu'une racine qui développe un granulome crée une surocclusion.


doagui

28/05/2012 à 02h45

Dans ce cas là j'aurais tendance à adresser à un exclusif pour une chir a rétro, si la couronne est impeccable et toute neuve c'est un peu dommage de tout foutre en l'air.

Ca reste à la charge du patient par contre. On ne va pas te reprocher quoi que ce soit, tu as fait de ton mieux, la dentisterie c'est comme la médecine, ce ne sont pas des sciences exactes, des fois ça marche et des fois non.


dentatronche

28/05/2012 à 12h58

Ton endo n'est pas foiré a partir du moment ou tu as donné les moyens pour la réussir. Tu dis que tu travailles sous digue avec un microscope et que tu as fais ton possible. Je crois que tu ne t'es pas moqué de ton patient.

Si granulome il y a (le contraste n'est pas terrible) je ne vois pas l'interet de déposer pour tout refaire. Tu ne feras pas mieux.

L'adressser à un endo exclusif pourquoi pas mais 1000 euros à charge pour le patient c'est le prix de l'implant... Ne pas oublier que la perfection n'existe nulle part meme chez les exclusifs.

En quel honneur tu veux prendre en charge le RTE chez l'exclusif? Tu as fait ton max pour 80 euros pris en charge intégralement. Que tu refasses gracieusement la CCM c'est normal, mais je vois pas en quoi tu devrais payer l'exclusif.


Pour moi la meilleur solution c'est d'ouvrir de gratter et d'obturer à rétro.


uɹöɾq

28/05/2012 à 13h06

La meilleure solution pour le dentiste, pas pour le patient.
Si c'était ta dent, tu ferais quoi?


doc_kalo

28/05/2012 à 16h13

il faut une resection appicale avec obturation à retro
tu garde donc ta couronne qui a l'air etanche et l'ic est bien aussi
tu explique au patient que c'est une chirurgie de complement, que la devitalisation n'a pas suffit il faut couper le bout de la racine


olivier

28/05/2012 à 21h55

bon.....on se calme on boit frais vous pensez sérieusement qu'une résection apicale va bien se passer si l'endo a foiré. Alors dépose essaie de reprendre le traitement et ensuite tu verra pour la résection apicale si tu te sens (proximité éventuelle du NAI , perte de valeur endo de la racine distale etc ....)


mitch69

28/05/2012 à 22h47

J'ai mis la couronne en légère sous-occlusion dès le début. Et ce n'est pas un syndrome du septum dû à un bourrage alimentaire : points de contact nickel, gencives impeccables, hygiène buccale irréprochable.

Quant à la résection apicale, à mon avis c'est une intervention lourde qui n'est pas indiquée à ce stade, il faudrait déjà être sûr à 100% que la tâche sur la radio soit bien un granulome...

Je précise qu'il s'agit d'un nouveau patient de 40 ans qui est venu me voir pour un simple détartrage. Dentition quasi-parfaite avec juste deux volumineux amalgames vieux de 20 ans sur 36-37, a priori plus très étanches. Je lui ai suggéré de tout déposer pour faire 2 belles couronnes. Il a accepté, et il a bien fait car sous les plombages j'ai trouvé de larges tissus carieux. A présent que les soins sont terminés et qu'il en est satisfait, comment lui annoncer qu'il faudrait déposer une des couronnes avant de l'envoyer chez un confrère qui va l'alléger de 900 euros non pris en charge, le tout sans perdre ma crédibilité ?

Si au moins le patient se plaignait franchement je prendrai une décision tranchée, mais là je crois en effet qu'il est plus prudent d'attendre et de voir comment ça va évoluer dans les prochains mois.


Img 1392 s73srk - Eugenol
Guttaman

30/06/2012 à 15h51

mitch69 écrivait:
-----------------
> Si au moins le patient se plaignait franchement je prendrai une décision
> tranchée, mais là je crois en effet qu'il est plus prudent d'attendre et de voir
> comment ça va évoluer dans les prochains mois.

C'est exactement ce que je ferai. Tant que le diagnostic n'est pas posé correctement, la solution therapeutique ne peut être qu'aléatoire. Primum, non nocere.
Souvent, soit tout rentre en ordre, soit au contraire le diagnostic devient évident (fêlure, lipoe...).
PS : désolé, je n'avais pas vu ton MP plus tôt.


Smile beach jgh0a1 - Eugenol
Céramik

30/06/2012 à 17h54

mitch69 écrivait:
-----------------
A présent
> que les soins sont terminés et qu'il en est satisfait, comment lui annoncer
> qu'il faudrait déposer une des couronnes avant de l'envoyer chez un confrère qui
> va l'alléger de 900 euros non pris en charge, le tout sans perdre ma crédibilité
> ?
>
>

Pas de consentement éclairer avant les travaux ?
Rien n'est garanti
Si ça tourne mal et que tu n'as pas avisé ton patient ou retardé de l'informer, c'est mieux ?

C'est tjs moche quand il y a complication, mais vaut mieux gérer tôt que tard.





--
Céramik