Tous les forums
CAT péri-implantite terminale
29/05/2012 à 17h16
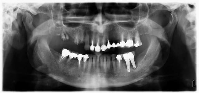
Reçu ce matin en urgence une patiente pour le descellement de son bridge sect 1... pano pour être sur que je ne pourrai pas le recoller et là... surprise sect 3 !!
Implants posés il y a 3 ans par un confrère, la patiente me dit avoir toujours été plus ou moins gênée par ces derniers, par période mais que son prat avait toujours remis en cause son hygiène et lui conseillait de bien passer les brossettes (version de patiente alors j'écoute en acquiescent mais j'essai de ne pas trop en tenir compte dans mon jugement)
En bouche, passage de brossette impossible entre les 2 implants, les cols sont à 1mm l'un de l'autre, poche paro plus profonde que ma sonde...
Que faire ? dépose l'implant distal me semble obligatoire... l'implant 36 aussi mais comment faire pour rompre l'intégration des dernières spires ?
Curetage ? comblement ? membrane ? ré-implantation après-cicatrisation ? stellite ? appareil résine ?
Sachant que l'hygiène buccale est satisfaisante, la patiente motivée et bien consciente du problème. Occlusion de classe 1 correctement équilibrée.
Je lui ai aussi proposé 3 implants en haut pour remplacer son bridge 14-15-16-17.
PS : je n'ai pas fait de photo intra-bucc
29/05/2012 à 17h41
çà ressemble à de l'Astra...
un bon "tourne à gauche" peut être utile, sinon tréphine...au pire zekrya fine...
tu déposes les implants curetage puis ROG soit biomat + membrane résorbable soit rien et membrane non résorbable renforcée...
dans 6 mois réévaluation et pose de 2 nouveaux implants...;-)
29/05/2012 à 19h49
Que faire ? Si possible ne surtout pas toucher et renvoyer au confrère qui a posé les implants.
Sinon y'a pas un souci sur la demi-46 ?