Cookie Consent byPrivacyPolicies.comreference de ces implants - Eugenol

reference de ces implants

doudk

04/06/2012 à 14h52

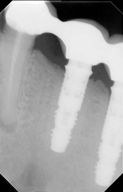
pouvez vous , Oh Grands Maitres en Implanto(to)logie, m'éclairer de vos connaissances :
il me faut refaire un bridge sur ces 3 implants mais ne connait pas ce model .
un indice :la pose date de 1996....
a votre bon coeur mesieurs dames

Llena ewuvki - Eugenol

Photo pluton1b h9n4ea - Eugenol
pluton

04/06/2012 à 15h07

trop facile....

http://www.dentsply-friadent.com/en/537.htm

forme caractéristique du frialit 2...

à peine plus d'un seconde pour trouver...3 pour taper le lien...;-)


doudk

04/06/2012 à 15h43

alors la je dis merci pluton
trop fort le mec
te reconnait la marque de l'implant comme ca d'un coup, bravo , je fais le devis desuite!


Avatar ow44t3 - Eugenol
Chicot

04/06/2012 à 23h30

... et la reprise d'endo de la 34....


--
;O)


Mario ycg44a - Eugenol
Mario180

05/06/2012 à 00h47

J'ai cru que c'était un implant champion, induit en erreur par la nature de la suprastructure.