Cookie Consent byPrivacyPolicies.comExpansion, condensation guidée - Eugenol

Expansion, condensation guidée

Utilisateur banni

19/07/2012 à 21h14

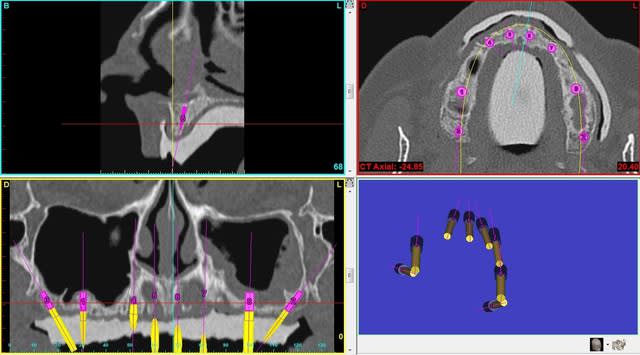
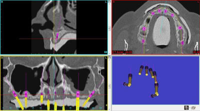
pxav, la patiente est édenté depuis un long moment, elle ne supporte pas d’amovible. La MCI n’était pas un facteur déterminent pour elle. Les vis de cicatrisation ont était placées à la pose, très bonne tenue primaire des implants. Le guide à permis de contrôler l’angulation à 30° pour avoir des piliers SynCone parallèles.


Utilisateur banni

22/11/2012 à 15h14

?

Image3 iwdsou - Eugenol

Utilisateur banni

03/12/2012 à 10h54

Cas clinique du drmarcus

Image2 nc2tin - Eugenol
Image3 esnmun - Eugenol
Image4 h4pvo9 - Eugenol
Image5 lhoshd - Eugenol
Image6 b2nfdv - Eugenol
Image7 e2yjce - Eugenol
Image8 simjc0 - Eugenol
Image9 smriqx - Eugenol
Image10 sv0ehp - Eugenol
Image11 kjflst - Eugenol
Image12 rl8cd1 - Eugenol
Image13 yhmeqf - Eugenol
Image14 lcmt5z - Eugenol
Image15 byezze - Eugenol
Image16 ci1aa6 - Eugenol
Image17 cb57ka - Eugenol
Image18 ydaonz - Eugenol
Image19 pfr0zw - Eugenol
Image20 nbeugx - Eugenol
Image21 wkqs3l - Eugenol
Image22 sgpdx3 - Eugenol
Image23 mmgvqm - Eugenol
Image24 trhk8b - Eugenol
Image25 jpblho - Eugenol
Image26 zrg15n - Eugenol
Image27 p2mgaj - Eugenol
Image28 tjphqj - Eugenol
Image29 tjlmpc - Eugenol
Image30 wds7v6 - Eugenol
Image31 kqstrg - Eugenol
Image mltmrd - Eugenol

S2y2o1v7q53ws4r5wy6ou8czrpom - Eugenol
pxav

03/12/2012 à 18h34

à la vue des photos, il me semble que ça ne correspond pas aux principes de l'expansion, car les implants restent dans l'axe de l'os.
Or, l'expansion permet de "modeler" l'os et donc de déplacer l'axe de l'implant, .

--
xbk
"Si tous ceux qui croient avoir raison n'avaient pas tort, la vérité ne serait pas loin" Dac Pierre


RépondreCiter
Utilisateur banni

03/12/2012 à 19h10

pxav écrivait:
--------------
> à la vue des photos, il me semble que ça ne correspond pas aux principes de
> l'expansion, car les implants restent dans l'axe de l'os.
> Or, l'expansion permet de "modeler" l'os et donc de déplacer l'axe de l'implant,
> .
>
> --
> xbk
> "Si tous ceux qui croient avoir raison n'avaient pas tort, la vérité ne
> serait pas loin" Dac Pierre


....
Deux types d’expansion existent :
- expansion par compression ;
- expansion par fracture dite « bois vert ».
Une expansion osseuse par clivage ou fracture permet
l’élargissement des crêtes alvéolaires dans le sens transversal.
Il suffit d’une crête de 3 mm d’épaisseur (présence
d’os spongieux), mais de hauteur suffisante afin de réaliser
le clivage des tables osseuses. L’expansion par clivage peut
être associée à une fracture en bois vert
....

Cécile Aye-de Vaureix, Georges Khoury, Patrick Missika


S2y2o1v7q53ws4r5wy6ou8czrpom - Eugenol
pxav

03/12/2012 à 22h59

Je suis d'accord sur les appellations, mais un des intérêts de l'ostéotomie,c'est quand même de pouvoir poser un implant dans un axe correct en modelant l'os.
Or, il me semble que ton guide, de par son principe oblige a suivre l'axe principal de l'os, en déplaçant le mur vestibulaire.

--
xbk
"Si tous ceux qui croient avoir raison n'avaient pas tort, la vérité ne serait pas loin" Dac Pierre


Utilisateur banni

04/12/2012 à 08h15

Par des mots clé, Cécile Aye-de Vaureix, Georges Khoury, Patrick Missika nous présentent une définition de l’expansion osseuse sans restriction.
Il est normal que le principe de fonctionnement de mes guides chirurgicaux te paraisse obscur puisque tu ne les a jamais vus fonctionner.

Pierre DAC disait avec beaucoup d’humour "Si tous ceux qui croient avoir raison n'avaient pas tort, la vérité ne serait pas loin". Je rajouterais.
L’innocence ouvre la porte des connaissances, la crédulité ferme celle du savoir. posit


S2y2o1v7q53ws4r5wy6ou8czrpom - Eugenol
pxav

04/12/2012 à 08h56

posit écrivait:
---------------

> Pierre DAC disait avec beaucoup d’humour "Si tous ceux qui n'avaient pas tort, la vérité ne serait pas loin". Je rajouterais.
> L’innocence ouvre la porte des connaissances, la crédulité ferme celle du savoir. posit

Si tu me classe dans ceux dont la crédulité me ferme les portes du savoir...alors effectivement il y a des messages que je ne sais pas faire passer.
Ma réflexion sur les photos du cas présenter me conduit simplement à émettre un avis sur TA façon de gérer l'expansion guidée, simplement pour que ton travail soit encore meilleur, si tu reprends mes remarques sur tes cas d'il y a 3 ou 4 ans tu constateras que tu as modifié la position et le nombre des implants et que maintenant les forces me semblent beaucoup mieux réparties.
La critique (désintéressée) permet d'avancer, enfin je crois.

--
xbk
"Si tous ceux qui croient avoir raison n'avaient pas tort, la vérité ne serait pas loin" Dac Pierre


Utilisateur banni

04/12/2012 à 09h16

Bien loin de moi de te classer dans les crédules ou les innocents, chacun se positionne comme il le désire comme les implants dans les modélisations 3D réalisées à partir d’une commande.


Logo m4n3gc - Eugenol
drmarcus

04/12/2012 à 10h28

pxav écrivait:
--------------
tu constateras que tu as modifié la position et le nombre des implants et
> que maintenant les forces me semblent beaucoup mieux réparties.
>>
> --
> xbk
> "Si tous ceux qui croient avoir raison n'avaient pas tort, la vérité ne
> serait pas loin" Dac Pierre


Merci beaucoup xbk ! :-)))
Mais quand je travaille avec Posit je tiens à garder la main sur l'emplacement des implants. J'ai fait un premier jet sur un logiciel, ensuite nous avons peaufiné ensemble en fonction de l'os disponible.
Je rassure tous ceux qui souhaiterai utiliser son guide; on garde la main sur le placement des implants.

Pour lever une éventuelle incompréhension du procédé ;-)

Aper u yny3pz - Eugenol

Bazaruto 2007 ircsez - Eugenol
jumpingjackflash

04/12/2012 à 11h45

bof...
article intéréssant sur le Clinic de novembre Numéro spéciale


Utilisateur banni

04/12/2012 à 17h46

Bof... : commentaire psychédélique favori de jumpingjackflash à la vue de mes post.

Merci drmarcus de ton information, certain crédule pourrait penser à la lecture de certain post que tu n’es pas le chef d’orchestre de ton cas clinique ou que l’expansion guidée ne peut pas exister.

Ci-joint 2 photos d’expansions osseuses guidées une par compression, l’autre par clivage.

1 1 - Eugenol
1 1 - Eugenol

S2y2o1v7q53ws4r5wy6ou8czrpom - Eugenol
pxav

04/12/2012 à 20h11

D'une part je n'ai jamais dis que l'expansion guidée ne pouvait pas exister, et d'autre part, je crois me souvenir à propos d'un cas que Marcus m'avait dis ne pas dominer l'expansion, et ce que tu fais est peut génial, je dis simplement que ça ne correspond pas à ma vision de l'expansion.

En dehors de ça comme tous les précurseurs tu sais des choses que notre connaissance ne devine même pas, donc dans quelques années je saluerais sans doute ton invention.

Un joli montage de coupe scanner à 6 mois me fera comprendre que les canines sont bien entourées d'os, et que j'ai tord.

--
xbk
"Si tous ceux qui croient avoir raison n'avaient pas tort, la vérité ne serait pas loin" Dac Pierre


Utilisateur banni

06/12/2012 à 06h13

pxav écrivait:
--------------
> Un joli montage de coupe scanner à 6 mois me fera comprendre que les canines
> sont bien entourées d'os, et que j'ai tord.
>
> --
> xbk



pxav, je ne veux surtout pas que tu te retrouve tordu dans 6 mois. Tout le mode sait que tu es le professeur de l’expansion sur eugenol et que tu donne des cours chez Anthogyr.
La seule prétention de ce post est de présenter un cas clinique mettant en œuvre de l’expansion et condensation guidée pour placer ce bridge provisoire dans le même temps chirurgical que la pose d’implants ci-joint sur la photo.

Image1 migv9k - Eugenol

S2y2o1v7q53ws4r5wy6ou8czrpom - Eugenol
pxav

06/12/2012 à 08h59

Je suis tout à fait d'accord, sur le but du post, j'ai juste fait une remarque sur un point qui me paraissait utile pour faire avancer le schmilblick.
Ceci étant, je me retire de la discussion, puisqu'il semble que mes "doutes" sont pris pour des agressions.
Je retourne lire les posts de ceux qui admettent avoir encore de temps en temps des imprévus et montrent comment les gérer pour qu'ils ne se transforment pas en échecs.

Merci pour la pub, mais je ne donne pas des cours chez anthogyr, Nous sommes deux à faire une tentative de transmission d'un peu de savoir (avec TP) et si nous sommes deux c'est au départ Mon choix, afin que ma parano, ne risque pas de transformer ces journées en "paroles unique", Thomas et moi examinons régulièrement tous les cas que nous présentons et nous échangeons nos croyances afin d’être au maximum neutres dans nos formations.


--
xbk
"Si tous ceux qui croient avoir raison n'avaient pas tort, la vérité ne serait pas loin" Dac Pierre

Chien jooggv - Eugenol

Utilisateur banni

06/12/2012 à 10h06

Je pense que tu te vexe pour pas grand-chose puisque ma réponse à ta remarque était simplement une citation d’une définition de l’expansion. je comprend mieux ta définition de l’éclectisme.





pxav écrivait:
--------------
> à la vue des photos, il me semble que ça ne correspond pas aux principes de
> l'expansion, car les implants restent dans l'axe de l'os.
> Or, l'expansion permet de "modeler" l'os et donc de déplacer l'axe de
l'implant,
> .
>
> --
> xbk
> "Si tous ceux qui croient avoir raison n'avaient pas tort, la vérité ne
> serait pas loin" Dac Pierre


....
Deux types d’expansion existent :
- expansion par compression ;
- expansion par fracture dite « bois vert ».
Une expansion osseuse par clivage ou fracture permet
l’élargissement des crêtes alvéolaires dans le sens transversal.
Il suffit d’une crête de 3 mm d’épaisseur (présence
d’os spongieux), mais de hauteur suffisante afin de réaliser
le clivage des tables osseuses. L’expansion par clivage peut
être associée à une fracture en bois vert
....

Cécile Aye-de Vaureix, Georges Khoury, Patrick Missika


Avatar jt8tlq - Eugenol
bogenom

07/12/2012 à 12h46

Salut Posit je passais par là et j'ai lu tout le fil de ce post que je n'avais pas vu, juste pour te complimenter sur ces jolis cas d'expansion ou de dilatation ou extension comme vous voulez hein pxav !

j'ai vu en Italie recemment Dr Marco Rinaldi qui presentait des guide pour les volets lateraux de sinus lift en as-tu déjà fait ?

as tu des cas de summers à travers tes guides ?

(j'avoue je n'ai pas fait de recherche sur eugenol peut être as tu déjà repondu à mes questions)


Photo pluton1b h9n4ea - Eugenol
pluton

07/12/2012 à 13h03

bogenom écrivait:
-----------------

> as tu des cas de summers à travers tes guides ?

oui, moi j'en ai déjà fait un...;-)
je laisse posit montrer le cas si il le souhaite...;-)


Logo m4n3gc - Eugenol
drmarcus

07/12/2012 à 13h24

bogenom écrivait:
-----------------
>
> as tu des cas de summers à travers tes guides ?
>


Oui le cas présenté en dernier en comporte un............Tellement ça plait ce que j'ai mis au point (Avec Posit comme guide), je veux dire positionnement sans vis du bridge.....Je vais être suivi par un éminent spécialiste et je me sens flaté.

Attention il y a eu un os dans le potage il faut un peu d'expérience en ajustage mécanique pour résoudre le problème; n'est ce pas Posit?

Je vais progresser pour vous montrer que l'on peut encore mieux faire.......... et ce quelque soit le système implantaire utilisé.........ce sera non système dépendant de A à Z..............Affaire à suivre.


Utilisateur banni

20/12/2012 à 13h24

Oui bogemon, j’ai préparé des guides pour pose d’implants et comblement de sinus simultané qui comprenaient des repaires pour l’ouverture du volet latéral et summeur au travers du guide.


Utilisateur banni

20/12/2012 à 13h57

photo clinique
cas clinique drmarcus

Image32 riql7u - Eugenol
Image33 isxqck - Eugenol
Image34 cgzhbk - Eugenol
Image35 qjshmw - Eugenol
Image36 c70wn7 - Eugenol
Image37 wniafk - Eugenol
Image38 mis7ea - Eugenol
Image39 zv5dgg - Eugenol
Image40 wn96nw - Eugenol
Image41 tzoroy - Eugenol
Image42 l6ibxs - Eugenol

12