Cookie Consent byPrivacyPolicies.comFonte os vestibulaire - Eugenol

Fonte os vestibulaire

DocJ

05/06/2012 à 22h38

Bonsoir. J'ai posé un implant ce matin à la mandibule. La crête vestibulaire était assez fin sur 1-2 ml de hauteur, disons 0,5-0,8 mm de large. Va t il y avoir résorption selon vous.

Merci


Logo m4n3gc - Eugenol
drmarcus

05/06/2012 à 23h49

Malheureusement oui.
La ROG supra implantaire évite cela, faire en 2 temps et recouvrir avec de l'os.

Attention à la gencive surtout, encore plus si le col ou l'implant lui même n'est pas lisse!

--
"La vis est à l'implant ce que la carie est à la dent!" (Pozzi)


DocJ

06/06/2012 à 00h15

Non mais l'implant est totalement enfoui. Mais j'ai peur de sa fonte osseux sur les 1-2mm du fait d'une épaisseur faible en vestibulaire. . J'ai lu que si l'os était bien stimulé, il n'y aurait pas de raison qu'il s'effondre.


Avatar ow44t3 - Eugenol
Chicot

06/06/2012 à 10h18

DocJ écrivait:
--------------
> Bonsoir. J'ai posé un implant ce matin à la mandibule. La crête vestibulaire
> était assez fin sur 1-2 ml de hauteur, disons 0,5-0,8 mm de large. Va t il y
> avoir résorption selon vous.
>
> Merci


Oui, avec du bio oss tu maintiens le volume gingival à défaut de créer de l'os

--
;O)


DocJ

06/06/2012 à 10h58

Ok. Je verrai.

Le niveau gingival est bien conservé cela dit.

Qui vivra verra


Pepsi tmi4vp - Eugenol
cartman

06/06/2012 à 10h59

Chicot écrivait:
----------------
> DocJ écrivait:
> --------------
> > Bonsoir. J'ai posé un implant ce matin à la mandibule. La crête vestibulaire
> > était assez fin sur 1-2 ml de hauteur, disons 0,5-0,8 mm de large. Va t il y
> > avoir résorption selon vous.
> >
> > Merci
>
>
> Oui, avec du bio oss tu maintiens le volume gingival à défaut de créer de l'os
>
> --
> ;O)

Chicot, pourrais tu être plus explicite?


Img 0812 mvp6i0 - Eugenol
jeamba

06/06/2012 à 11h59

DocJ écrivait:
--------------
> Ok. Je verrai.
>
> Le niveau gingival est bien conservé cela dit.
>
> Qui vivra verra
Cher Doc, si pour ne rien faire et attendre pour voir je ne vois pas pourquoi poster une question. Je suis peut être méchant, mais aujourd'hui poser des implants sans avoir un minimum de compétences en chirurgie mucco gingivale me paraît de l'amateurisme. Désolé d'être direct mais parler vulgairement de "poser des clous" reflète la réalité de l'acte vu et réalisé par certains confrères.
Dans le cas d'épaisseur de crête insuffisante, mettre un conjonctif est aujourd'hui une nécéssité incontournable, ne pas savoir le faire devrait faire réfléchir au sens qu'on doit donner à notre activité et à la façon d'aborder et de rendre service le plus honnêtement possible à nos patients.On n'a plus le droit de dire je ne le savais pas.


DocJ

06/06/2012 à 12h13

Je ne vois pas pourquoi il faudrait une greffe alors que le niveau gingival est largement suffisant.

Il y a juste une épaisseur de 0,5-0,8mm sur 1 bon mm de hauteur en vestibulaire.

Je voulais juste savoir sil y allait avoir une récession de cet os. Et la réponse est oui.

Et rassurez vous, la patiente est averti de cette légère faiblesse à mon sens. Et quun contrôle rigoureux sera fait.


Pepsi tmi4vp - Eugenol
cartman

06/06/2012 à 12h33

D'accord avec Jeamba.
Plus on pose et plus on se rend compte que l'implanto ce n'est pas juste un clou dans de l'os. Les cas soit disant "faciles" n'existent que dans les prospectus des commerciaux et de beaucoup de formateur et moins que les dix doigts d'une main par an dans nos cabinets.
Pour être serein et rentable en implanto il faut une parfaite maitrise des tissus durs et des tissus mous sinon c'est très vite la cagade au moindre changement du plan de vol.


ladentcreuse

06/06/2012 à 13h56

La corticale va s'effondrer. Le niveau gingival peut rester, mais a long terme....cela varie selon le systeme implantaire et la connectique.

J'ai toujours de quoi faire une ROG non prevu au cab.
Ca prend 2 minutes quand tu a les mains dans le cambouis.


Avatar ow44t3 - Eugenol
Chicot

06/06/2012 à 15h21

ladentcreuse écrivait:
----------------------
> La corticale va s'effondrer. Le niveau gingival peut rester, mais a long
> terme....cela varie selon le systeme implantaire et la connectique.

Bof quelque soit le système ça va s'effondrer sauf si conjonctif enfui ou Bio Oss qui met 25 ans à se résorber !

>
> J'ai toujours de quoi faire une ROG non prevu au cab.
> Ca prend 2 minutes quand tu a les mains dans le cambouis.

100% d'accord avec toi


--
;O)


RépondreCiter
Logo m4n3gc - Eugenol
drmarcus

06/06/2012 à 16h14

Pas d'os = Pas de gencive.
Facile à retenir!

--
"La vis est à l'implant ce que la carie est à la dent!" (Pozzi)


Avatar ow44t3 - Eugenol
Chicot

06/06/2012 à 16h48

drmarcus écrivait:
------------------
> Pas d'os = Pas de gencive.
> Facile à retenir!


C'est vrai sauf si cj enfui ou bio oss


--
;O)


DocJ

06/06/2012 à 17h52

Mais il y a de l'os. Afin si vous savez lire


Logo m4n3gc - Eugenol
drmarcus

06/06/2012 à 18h40

Oui je sais lire et je me suis pas mal planté aussi !
J'ai des cheveux blancs (j'en ai géré des pbs) et aussi bon que puisse être le système tu constateras. Au mieux un aspect esthétique disgracieux mineur et admis, sinon une mucosite; pire je ne te le souahite pas.
Maintenant je suis sur que tu en es consciente (cf ton post), ça peut passer mais il faut de la chance.
Perso je ne compte jamais là dessus je veux seulement pas de malchance (aléa thérapeutique).

--
"La vis est à l'implant ce que la carie est à la dent!" (Pozzi)


Avatar ow44t3 - Eugenol
Chicot

06/06/2012 à 19h35

DocJ écrivait:
--------------
> Mais il y a de l'os. Afin si vous savez lire

on sait lire, il y a de l'os maintenant, mais dans 3, 6 mois voir 2 ans ????


--
;O)


koideneufdoc

06/06/2012 à 20h38

Dans 3 mois les 2 premiers mm seront au mieux recouverts que de gencive, au pire exposés au milieu buccal, dépôt de plaque, tartre, périimplantite.
Qui vivra verra que l'os n'aime pas se retrouver minoritaire face au titane ;) titane vainqueur par KO.


DocJ

06/06/2012 à 20h54

Ok. Merci de vos réponses. Quelle épaisseur faudrait il minimum, 1mm ou miser pour être sur sur 1,5 mm


koideneufdoc

06/06/2012 à 21h00

message effacé (faute d'orthographe)


koideneufdoc

06/06/2012 à 21h00

Il faut au minimum une épaisseur de 1,5mm de chaque côté de l'implant. Sachant que si tu es à la mandibule, ce sera plus de la corticale que de l'os spongieux, tu auras logiquement moins de vascularisation et une plus grande proportion de corticale. Je te conseille 2mm de part et d'autre et une bonne épaisseur de tissus kératinisés autour de ton col implantaire. Avec tout ça normalement tu peux y aller.
Donc la prochaine fois, mise en condition tissulaire obligatoire ;)
Sinon tu peux revenir sur cet implant avec une ROG par la suite, quand tu auras vu... mais ça passe mal au niveau du patient.


Avatar ow44t3 - Eugenol
Chicot

06/06/2012 à 21h02

DocJ écrivait:
--------------
> Ok. Merci de vos réponses. Quelle épaisseur faudrait il minimum, 1mm ou miser
> pour être sur sur 1,5 mm

actuellement on tend vers 2 mm en secteur esthétique, à méditer pour les expansions.......


--
;O)


DocJ

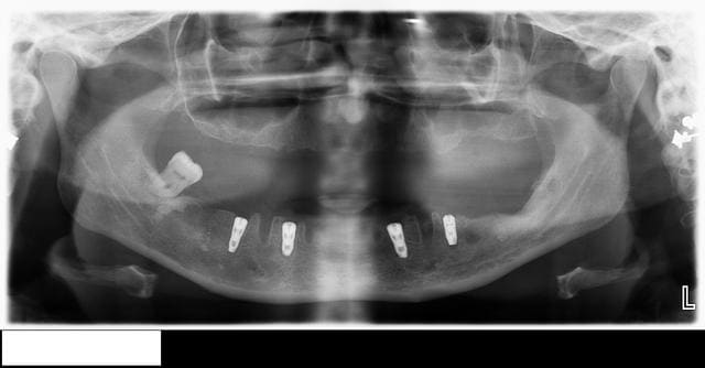
07/06/2012 à 10h09

Voici le cas en image

Mon doute portait donc sur la face vestibulaire de l'implant en place de 43.

Implant4.5*11 Astra

Excusez moi pour la pano avec le stellite.

Tes2 n3rqq3 - Eugenol
Test volaha - Eugenol
Test 3 btja6d - Eugenol

S2y2o1v7q53ws4r5wy6ou8czrpom - Eugenol
pxav

07/06/2012 à 22h14

Chicot écrivait:
----------------
> DocJ écrivait:
> --------------
> > Ok. Merci de vos réponses. Quelle épaisseur faudrait il minimum, 1mm ou miser
> > pour être sur sur 1,5 mm
>
> actuellement on tend vers 2 mm en secteur esthétique, à méditer pour les
> expansions.......
>
>
> --
> ;O)

Sans vouloir prétendre tout connaitre en expansion, je ne suis pas d'accord sur les 2mm, car une expansion bien menée se fait sans forage donc avec très peu de stress pour l'os et j'ai de très nombreux cas qui se portent très bien avec seulement 0.5mm en vestibulaire.
Bien sur ceci n'est pas un vérité applicable à touts les cas, mais il ne faut pas se bloquer sur l'épaisseur "obligatoire".
Et pour les "pros" qui n'ont pas de mémoire la question était déjà posée en 2008...que de progrès en 4 ans..-:)

http://www.eugenol.com/sujets/383480-spires-non-recouvertes
ou bien:
http://www.eugenol.com/sujets/386114-fracture-12
ou:
http://www.eugenol.com/sujets/386206-fracture-12
--
xbk
"Si tous ceux qui croient avoir raison n'avaient pas tort, la vérité ne serait pas loin" Dac Pierre


flicflac

08/06/2012 à 03h43

DocJ, Quel est ton plan de traitement avec ces 4 implants?
Excusez moi pour la pano avec le stellite.
et les boucles d'oreilles"""


Img 0812 mvp6i0 - Eugenol
jeamba

08/06/2012 à 13h04

pxav écrivait:
--------------
> Chicot écrivait:
> ----------------
> > DocJ écrivait:
> > --------------
> > > Ok. Merci de vos réponses. Quelle épaisseur faudrait il minimum, 1mm ou
> miser
> > > pour être sur sur 1,5 mm
> >
> > actuellement on tend vers 2 mm en secteur esthétique, à méditer pour les
> > expansions.......
> >
> >
> > --
> > ;O)
>
> Sans vouloir prétendre tout connaitre en expansion, je ne suis pas d'accord sur
> les 2mm, car une expansion bien menée se fait sans forage donc avec très peu de
> stress pour l'os et j'ai de très nombreux cas qui se portent très bien avec
> seulement 0.5mm en vestibulaire.
> Bien sur ceci n'est pas un vérité applicable à touts les cas, mais il ne faut
> pas se bloquer sur l'épaisseur "obligatoire".
> Et pour les "pros" qui n'ont pas de mémoire la question était déjà posée en
> 2008...que de progrès en 4 ans..-:)
>
> http://www.eugenol.com/sujets/383480-spires-non-recouvertes
> ou bien:
> http://www.eugenol.com/sujets/386114-fracture-12
> ou:
> http://www.eugenol.com/sujets/386206-fracture-12
> --
> xbk
> "Si tous ceux qui croient avoir raison n'avaient pas tort, la vérité ne
> serait pas loin" Dac Pierre

En ce qui concerne mon post il y a 4 ans, "le pro" démarrait l'implantologie et depuis ce temps là il a fait ce qu'il fallait pour avoir suffisament de connaissance lui permettant avec honnêteté de rendre service à ses patients en se basant sur des données et des connaissances bien établies aujourd'hui. J'ai peu d'années de pratique par rapport au vieux briscard que tu es mais je t'avoue humblement que les années passées ne sont pas une certitude ni un gage de réussite ou de prétention. Aujourd'hui je peux te confirmer que ton expérience "personnelle" en expansion te permet uniquement de t'épanouir dans ton domaine professionnel et de poster de temps en temps sur eugénol (faute de pouvoir t'épanuoir ailleurs) mais je n'y adhère absolument pas. J'ai vu et revu Khoury qui a fait beaucoup d'expansion et qui en fait encore un peu à un niveau respectable et sérieux, qui n'est certainement pas le tien, et je peux te dire que l'expansion pour lui reste une pratique trés limitée. Des gens sérieux existent, tu devrais rabattre un peu ton clapet et t'en inspirer. J'ai eu l'occasion de te voir à l'oeuvre et tes cas "réussis" et documentés n'innondent pas le forum, redescend alors un peu de temps en temps de ton nuage et pratique le langage d'aujourd'hui, hier ne nous intéresse pas toujours et tu es has been.


12