Cookie Consent byPrivacyPolicies.comFonte os vestibulaire - Eugenol

Fonte os vestibulaire

Img 0812 mvp6i0 - Eugenol
jeamba

08/06/2012 à 13h15

J'ai oublié également de te demander de nous montrer tes cas d'expansion avec 0.5 mm d'os en vestibulaire et qui tiennent bien aujourd'hui. C'est intéressant de temps en temps d'arrêter de fantasmer et d'appuyer ses paroles avec des photos ou des scan afin que la jeune génération apprenne de ta modeste expérience.


Imagesca1x6rbd kwb9r6 - Eugenol
Dr Nedjat

08/06/2012 à 13h45

DocJ écrivait:
--------------
> Voici le cas en image
>
> Mon doute portait donc sur la face vestibulaire de l'implant en place de 43.
>
> Implant4.5*11 Astra
>
> Excusez moi pour la pano avec le stellite.

Bonjour DocJ,
Merci de partager ton cas avec nous.
J'ai quelques questions; pourquoi un implant de 4,5mm de diamètre? et quel était ton couple de serrage?as tu fais un lambeau?

Merci beaucoup
armin


DocJ

08/06/2012 à 14h08

Merci de repondre à mes question et mon cas

Serrage manuel, sans lambeau. Extraction implantation immédiate
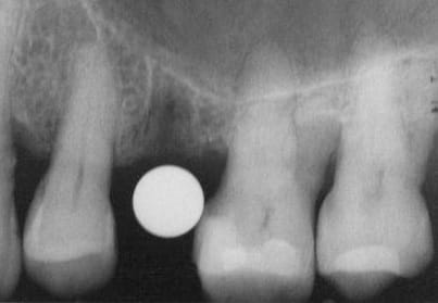
le 4.5*11 me semblait convenable. J'avais peur que si je metais du 4*11 l'espace entre les cretes vestibulaires et l'implant allait creer une recession si je ne comblait pas ce vide

Rappelons qu'en mesurant j'ai 1.25 mm d'os au final et pas 0.5-0.8mm


Imagesca1x6rbd kwb9r6 - Eugenol
Dr Nedjat

08/06/2012 à 14h42

DocJ écrivait:
--------------
> Merci de repondre à mes question et mon cas
>
> Serrage manuel, sans lambeau. Extraction implantation immédiate
> le 4.5*11 me semblait convenable. J'avais peur que si je metais du 4*11 l'espace
> entre les cretes vestibulaires et l'implant allait creer une recession si je ne
> comblait pas ce vide
>
> Rappelons qu'en mesurant j'ai 1.25 mm d'os au final et pas 0.5-0.8mm

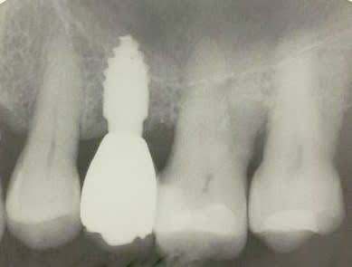
merci pour tes réponses, pour ma part (expérience avec plus de 600 implantation immédiate) je ne pense pas qu'il va y avoir une résorption, car pas de lambeau et tu n'as pas mis de trop grande pression sur l'os buccal.Un exemple ci dessous implantation ( 4 semaines après extraction) avec un 4.5 que (oui déjà mis dans un autre post).J'ai d'autres exemples similaires en extraction implantation immédiate mais avec des implants 3.5mm.Si l'espace entre l'implant et l'os buccal est plus grand que 1mm j'ajoute du collagène et de l'acide hyaluronique pour accélérer la régénération.
dernière radio à un an après cémentation de la couronne.
Ce qui est non négligeable est d'avoir une stabilité primaire d'un minimum de 35Ncm et pas plus de 70Ncm.
:-)

19 crpays - Eugenol
20 wxkndq - Eugenol
22 xvdybw - Eugenol
24 iqpj8x - Eugenol
21 lethpc - Eugenol
23 xuod5q - Eugenol

Imagesca1x6rbd kwb9r6 - Eugenol
Dr Nedjat

08/06/2012 à 15h21

un cas récent os vestibulaire très fin.

01 20120602 092332 j2maa4 - Eugenol
12 20120602 094040   copie a9f2fp - Eugenol
14 20120602 094149 fuymwi - Eugenol
16 20120602 094234 xonqzi - Eugenol
21 20120602 095027 ehyuei - Eugenol
38 20120602 101733 tprdz7 - Eugenol
44 20120602 103051 zwf1jd - Eugenol
47 20120602 111737 wjip00 - Eugenol
55 20120602 122525 q0f0bm - Eugenol
56 20120602 122532 mvizwo - Eugenol
03 20120602 092343 xqxbto - Eugenol
15 20120602 094218 lk2lpt - Eugenol
17 20120602 094514 bfz99d - Eugenol
18 20120602 094538 bvkvvc - Eugenol
19 20120602 094542 llnfib - Eugenol
20 20120602 095021 lxfsst - Eugenol
37 20120602 101726 thoqv6 - Eugenol

S2y2o1v7q53ws4r5wy6ou8czrpom - Eugenol
pxav

08/06/2012 à 16h09

jeamba écrivait:
----------------
> J'ai oublié également de te demander de nous montrer tes cas d'expansion avec
> 0.5 mm d'os en vestibulaire et qui tiennent bien aujourd'hui. C'est intéressant
> de temps en temps d'arrêter de fantasmer et d'appuyer ses paroles avec des
> photos ou des scan afin que la jeune génération apprenne de ta modeste
> expérience.

Une photo reste une photo et ne prouve rien, mais ces cas ont plus de 4 ans de recul, et ont tout les deux étés contrôlés ce mois si.

Et je le redis,ceci n'est pas une loi, c'est seulement une constatation, d'un omnipraticien qui pratique l'expansion pour planter ses clous, infiniment moins bien que Khoury... au fait duquel parles tu? Elias, Fouad ou Georges (ils sont bons, très bons même, tous les trois).

Ps, je ne crois pas que tu fasses partie de la jeune génération...de dentistes.

Discussion close pour moi, le sujet est sur l'os vestibulaire et l'expansion pas sur "lui j'aime pas".

Amicalement cher confrère. :-))
--
xbk
"Si tous ceux qui croient avoir raison n'avaient pas tort, la vérité ne serait pas loin" Dac Pierre

100 2544 iy7pp5 - Eugenol
2010 05 28 0286 wbmbvy - Eugenol
2010 10 28 0366 z2oizl - Eugenol
2010 05 28 0479w b2yfwz - Eugenol
2010 05 28 0388 hvpmfb - Eugenol
100 6017 wninhh - Eugenol
Chat 23 agmplo - Eugenol
2010 10 28 0374 vt4lxg - Eugenol

RépondreCiter
Scan10030 ukikhq - Eugenol
vava

08/06/2012 à 18h45

pxav écrivait:
--------------
> Une photo reste une photo et ne prouve rien, mais ces cas ont plus de 4 ans de
> recul, et ont tout les deux étés contrôlés ce mois si.
>
qelle procédure?


Fresh watermelon 640x562 udulqz - Eugenol
gulguch

09/06/2012 à 01h21

T'inqiètes Pxav, se faire traiter de has been par un has not been, c'est pas grave. Contrairement au message immonde de ton interlocuteur il semble bien que l'expansion a de beaux jours devant elle.
Amitiés,
G.


RépondreCiter
S2y2o1v7q53ws4r5wy6ou8czrpom - Eugenol
pxav

09/06/2012 à 01h41

Merci gulguch, mais il n'y a pas de risque que je m'inquiète.
Comme disait Brassens, le temps ne fait rien à l'affaire, quand on est....On n'est...
Je ne viens plus trop sur nonol, mais c'est vrai que de temps en temps ça ne gène pas de mettre son grain de sel.

Surtout quand je lis ce genre de réflexion:

"Je suis peut être méchant, mais aujourd'hui poser des implants sans avoir un minimum de compétences en chirurgie mucco gingivale me paraît de l'amateurisme. Désolé d'être direct mais parler vulgairement de "poser des clous" reflète la réalité de l'acte vu et réalisé par certains confrères. "
Qui tiens plus du vomis que de la réflexion confraternelle.

Pour vava, la procédure est classique, et à la portée de nous tous, fente de la crête, et expansion, si possible sans fracture, mais le post est sur l'épaisseur de l'os vestibulaire, pas sur l'expansion.
Ma réflexion était juste pour préciser qu'en expansion, les contraintes n'étaient pas les mêmes qu'avec un foret.

T’inquiètes pas docj, tu es sur la bonne voie.
--
xbk
"Si tous ceux qui croient avoir raison n'avaient pas tort, la vérité ne serait pas loin" Dac Pierre


RépondreCiter
Scan10030 ukikhq - Eugenol
vava

09/06/2012 à 09h11

ma question portait sur la procédure de contrôle


Photo pluton1b h9n4ea - Eugenol
pluton

09/06/2012 à 09h22

vava écrivait:
--------------
> ma question portait sur la procédure de contrôle

+1...c'est vrai qu'une petite pano (l'idéal étant un conebeam ou un scan pour ce rendre vraiment compte du comportement de l'os...) et des photos en bouche, pas de la phase de chir, mais de ce qu'il y a maintenant, çà serait bien plus intéressant....il est en rade le 7D pxav?


S2y2o1v7q53ws4r5wy6ou8czrpom - Eugenol
pxav

09/06/2012 à 11h11

pluton écrivait:
----------------
> vava écrivait:
> --------------
> > ma question portait sur la procédure de contrôle
>
> +1...c'est vrai qu'une petite pano (l'idéal étant un conebeam ou un scan pour ce
> rendre vraiment compte du comportement de l'os...) et des photos en bouche, pas
> de la phase de chir, mais de ce qu'il y a maintenant, çà serait bien plus
> intéressant....il est en rade le 7D pxav?

Non Pluton, le 7D va bien mais les photos ancienne n'étaient pas au 7 D.
J'ai les scans de contrôle mais à seulement 3 ans (visibles sur d'autres post, mais sur un scan tu ne vois pas 1mm d'os autour d'un col implantaire, d'où le lambeau pour vérifier, mais je ne me vois pas faire un lambeau à tous les contrôles)) et les panos mais sur les panos on ne voit pas l'os vestibulaire.

--
xbk
"Si tous ceux qui croient avoir raison n'avaient pas tort, la vérité ne serait pas loin" Dac Pierre


RépondreCiter
Photo pluton1b h9n4ea - Eugenol
pluton

09/06/2012 à 12h14

pxav écrivait:
--------------

> Une photo reste une photo et ne prouve rien, mais ces cas ont plus de 4 ans de
> recul, et ont tout les deux étés contrôlés ce mois si.


une petite photo à 4 ans, çà mange pas de pain...d'où ma question sur la "santé" du 7D...

de belles chir, on peut facilement en montrer, une pérennité du traitement, c'est plus rare sur nonol

pour l'imagerie, c'est comme en photo, les capteurs numériques sont de plus en plus performants et "fins"...si ton scan à 3 ans ne montre plus d'os en vestibulaire, tires en les conclusions que tu veux...mais y a fort à parier qu'il n'existe réellement plus...


S2y2o1v7q53ws4r5wy6ou8czrpom - Eugenol
pxav

09/06/2012 à 13h09

pluton écrivait:
----------------
de belles chir, on peut facilement en montrer, une pérennité du traitement,
> c'est plus rare sur nonol
>
> pour l'imagerie, c'est comme en photo, les capteurs numériques sont de plus en
> plus performants et "fins"...si ton scan à 3 ans ne montre plus d'os en
> vestibulaire, tires en les conclusions que tu veux...mais y a fort à parier
> qu'il n'existe réellement plus...

Le lambeau avec l'os autour des implants était justement suite à un scanner ou je ne voyais pas l'os, et je voulais savoir ce que ça donnait réellement.
Je ne vais pas prescrire un scan tout les 3 ans juste pour publier de bons résultats sur nonol.
Quand patient reviendra, je ferais peut être une photo, mais quand tout va bien je ne m’embête pas.
De plus je ne tire pas une règle de mes résultats, ils sont là c'est tout, je ne publie pas ce n'est pas mon truc, juste de temps en temps des photos et des films (c'est déjà suffisamment chronophage).
Bon tu m'excuse je vais préparer la cheetah, demain circuit et la pluie est annoncée...
--
xbk
"Si tous ceux qui croient avoir raison n'avaient pas tort, la vérité ne serait pas loin" Dac Pierre

220p4824x udxh0s - Eugenol

flicflac

11/06/2012 à 05h35

C'est un bolide pour l'expansion


l adan

11/06/2012 à 11h50

pxav écrivait:
--------------
> Merci gulguch, mais il n'y a pas de risque que je m'inquiète.
> Comme disait Brassens, le temps ne fait rien à l'affaire, quand on est....On
> n'est...
> Je ne viens plus trop sur nonol,


... et tu n'es pas le seul et c'est bien dommage !! ;-))


G-P

11/06/2012 à 13h05

Forcément, avec des messages aussi agressifs il n'est pas étonnant que les cas présentés se fassent de plus en plus rares sur eugénol.
Il serait bien de penser à s'exprimer de manière confraternelle et de mettre de coté les petites querelles avant qu'eugénol se transforme en une succession de "C'est quoi la cotation pour un implant" ou "Trop mdr cette image lol".
Non ?


Photo pluton1b h9n4ea - Eugenol
pluton

11/06/2012 à 13h21

G-P écrivait:
-------------
> Forcément, avec des messages aussi agressifs il n'est pas étonnant que les cas
> présentés se fassent de plus en plus rares sur eugénol.
> Il serait bien de penser à s'exprimer de manière confraternelle et de mettre de
> coté les petites querelles avant qu'eugénol se transforme en une succession de
> "C'est quoi la cotation pour un implant" ou "Trop mdr cette image lol".
> Non ?

+10000
la critique est bien si elle est constructive, mais néfaste à outrance...certains prennent le forum pour un simple défouloir et c'est bien dommage...


12