Cookie Consent byPrivacyPolicies.comtaquet d'appui en conjointe - Eugenol

taquet d'appui en conjointe

caïnda

12/06/2012 à 20h12

Bonjour,

Jeune diplomée, les cas de prothèse conjointe diverses et variées se multiplient peu à peu...
Face à des patients qui ne souhaitent pas toujours une réhabilitation mixte (implant/ prothèse fixée), je souhaiterais me renseigner sur la possibilité de réaliser des bridges avec un taquet d'appui, plutot que de faire une préparation mutilante sur une dent saine bordant un édementement simple, et qui n'a rien demandé à personne....
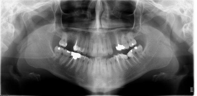
Par exemple, pour cette jeune patiente X, en normocclusion, et sans parafonctions, qui souhaite le remplacement de la 24.

Ou encore, danss le cas d'une hémisection radiculaire avec conservation de la racine distale sur 46, pour cette patiente Y. Pour moi, un taquet d'appui sur 45 pourrait être intéressant pour répartir les charges...

Existerait-il un livre qui détaillerait l'intéret de ce genre de réhabilitation, ses indications, sa viabilité en fonction des cas cliniques, ses limites ?
Vos avis snt également bien entendu les bienvenus !!

Merci à tous !

Patiente x xtjxcy - Eugenol
Patiente y btg3qg - Eugenol

220px don camillo4 qrcfhs - Eugenol
camillo

12/06/2012 à 20h24

Pour la patiente X: le taquet d'appui sur 23 peut sembler a priori une bonne idée, le problème, c'est que dans le temps ça ne va pas très bien se passer( risque de déscellement de l'aillette, de reprise de carie sous celle-ci et de contraintes trop importantes sur 25). Mieux vaut un implant ou un bridge classique si tu veux dormir sur tes deux oreilles.

Pour la patiente Y: les hémisection, amputations: très peu pour moi.
Tu auras tjs des pb de nettoyage, et en plus tu as un gros risque de fracture de la racine.
Donc, extrait la dent.

Tout ça amha.


Img 3657 cwjvqm - Eugenol
alapex

12/06/2012 à 21h36

Oui , fais en des taquets , c'est super , comme ça dans 2 ans il faudra dévitaliser la dent dessous , puis la couronner , et avec le taquet , patin couffin...)))


87 ujotte - Eugenol
Spatouille

12/06/2012 à 21h43

il faut résonner en terme de différentiel de rétention ... d'un coté un pilier de l'autre une ailette, vu la différence de surfaces collées, c'est toujours l'ailette qui se décollera ... donc il faut prévoir un contre inlay non scellé, mais c'est encore un peu délabrant vu qu'il faut qu'il est l'épaisseur d'une connection ... mais beaucoup moins qu'un autre pilier !


maz

13/06/2012 à 01h41

un bon vieux bridge ça mutile un peu, mais ça marche quand même bien

un implant ça mutile moins et ça marche bien

une solution approximative qui marche pas, c'est ce qui au bout de quelques années sera le plus mutilant

je pense que le plus mutilant et le plus coûteux, c'est la non qualité, et les bridges avec ailette on est en plein dedans

pour les hémisections, bien faites dans des bons cas, ça marche ; après, je suis pas sur que ton cas soit idéal pour ça vu la racine distale qui semble cariée jusqu'au niveau osseux, on retombe dans l'approximatif.


Tozzi

13/06/2012 à 02h34

Bizarre que tu veuilles faire des choses qu'on ne t'a jamais appris (j'espère) à faire à la fac...


Dsc 0094 rkrzoz - Eugenol
Guillaume T

13/06/2012 à 03h04

Non seulement cette technique n’est pas enseignée mais elle relève d’un empirisme obsolète.

1 / Règle d’or évoquée ci-dessus dans les autres posts : symétrie de la valeur rétentive des ancrages de bridges

2/ des méthodes de dissociations existent et ont été abondamment publiées : Inlay contre- Inlay, par exemple, d e préférence en dissociation mésiale mais ça se discute … le jeu est absorbé par le glissement métal / métal … précieux , évidemment.

3/ Comment comptes tu argumenter ton choix en cas de recours de ton patient pour version de la dent support « d’ailette » et ingression de l’inter avec les problèmes paro qui s’ensuivent.
Je ne parle même pas du risque carieux si ton patient a un RCI élevé…

Donc, une suggestion : appliquons ce que nos enseignants nous ont appris, ce sont eux qui rédigent les recommandations qui serviront de références en cas de litige.


Bagheera tudzjy - Eugenol
bagheerra

13/06/2012 à 11h29

Préalables :
1°) occlusion favorable
2°) bonne hygiène
3°) susceptibilité carieuse faible

Ensuite, faire dans les règles de l'art. En vrac :
Appuis symétriques (pas une couronne très rétentive d'un côté et un appui avec une très faible surface de collage de l'autre),
PREPARATION DES DENTS SUPPORTS, pas seulement un petit taquet occluso-proximal, mais une vrai surface de collage amélaire, large, dont les limites contournent ou englobent les contacts occlusaux, des rainures de rétention parallèles entre elles, éventuellement des puits, etc.,
Vrai collage sous digue,
Etc.

Bref, bannir le taquet a minima, sans préparation, qui effectivement permet de mieux répartir les forces au début, mais à coup sûr prépare un délabrement futur.
Contrairement aux idées reçues (qui datent du temps où on ne préparait pas et où le SuperBond n'existait pas), les bridges collés fonctionnent bien, mais seulement si on les fait bien. La durée de vie à long terme reste inférieure aux bridges conventionnels, et bien sûr aux implants, mais avec un délabrement et un coût inférieurs.


ndecer

13/06/2012 à 14h19


> Par exemple, pour cette jeune patiente X, en normocclusion, et sans
> parafonctions, qui souhaite le remplacement de la 24.

Pour moi il est étonnant de vouloir remplacer cette 24 et que fait on pour la 16?
Malgré ça si tu veux remplacer la 24 il me semblerai plus raisonnable de faire un bridge en extension 26-25-24. Et surtout dans ce cas là sans tacquet sur 23!!!

>
> Ou encore, dans le cas d'une hémisection radiculaire avec conservation de la
> racine distale sur 46, pour cette patiente Y. Pour moi, un taquet d'appui sur 45
> pourrait être intéressant pour répartir les charges...

Pourquoi conserver la racine distale et pas la mésiale, elle semblent toutes les deux aussi mal en point! Si tu veux conserver malgré tout pour moi le cas se prête plus à élongation coronaire et prémolarisation. Mais je pense que la dent est à extraire en entier et puis c'est tout.
>
> Existerait-il un livre qui détaillerait l'intéret de ce genre de réhabilitation,
> ses indications, sa viabilité en fonction des cas cliniques, ses limites ?

Je pense qu'il n'existe que de vieux ouvrages tout a été balayé par l'implanto! Le Shillingburg reste une référence en conjointe.


Bagheera tudzjy - Eugenol
bagheerra

13/06/2012 à 14h37

ndecer écrivait:
----------------
>
> Je pense qu'il n'existe que de vieux ouvrages tout a été balayé par l'implanto!
> Le Shillingburg reste une référence en conjointe.

Tout a été balayé par l'implanto... et le collage ! Le Shillingburg est une référence en conjointe d'avant l'ère du collage.