Cookie Consent byPrivacyPolicies.comColorations externes - Eugenol
Raton

13/06/2012 à 18h15

Bonjour!

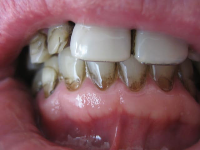
Voici un cas que je n'arrive pas à expliquer.
Un Mr vient me voir avec des colorations noires externes qui partent au polissage. Pas de tabac, pas de thé, café et autres colorants d'origines alimentaires. Pas de prise de médicament, pas de pathologie connue. Aucune douleur, pas d'odeur ou de sensation désagréable ressentie par le patient.
Réapparition de façon irrégulière (1 semaine, 1 mois, ... après traitement). Parfois coloration Marron de la langue mais test mycologique négatif.

J'ai plusieurs hypothèses:
- bactéries chromogènes
- Bimétallisme

Qu'en pensez-vous?

Img 1984 aktlzx - Eugenol
Img 1985 sen8as - Eugenol
Img 1986 kt8sfe - Eugenol

paulman

13/06/2012 à 19h08

Un bain de bouche avec de la chlorhexidine ?
Je pense pas que ca soit des bacteries, mais quelque chose qu'il boit, mange ou suce.

Paulman


Dr - Eugenol
JeRis

13/06/2012 à 19h14

... sa profession?

Viticulteur par exemple, qui goute ses assemblages de rouge.


 mg 0207 xwjxcl - Eugenol
Tillc

14/06/2012 à 01h11

melanina genica mais ca m etonerais bcp ( rare chez l adulte et encore plus en vestibulaire) sinon il se foun de ta gueule il doit,faire un truc


doczi

14/06/2012 à 01h51

j ai pas de photos malheureusement, mais j ai eu deux cas pareils, femmes la trentaine, non fumeuses, pas d'alcool et femmes au foyer et qui présentent ces mêmes colorations (moins intenses tout de même),pas de couronnes, pas d'amalgame non plus, c'était parti à l aéropolisseur , j avais revu l'une d'entre elles après 2 semaines du détartrage pour suite de soins et surprise (malgré le passage de pâtes proxyt bleue et green après l aéropolissage): réapparition de la coloration (légère) en palatin et lingual). Je continue à me poser la question quand à l'origine.


Blocperso talon jer3sl - Eugenol
mrquentin

14/06/2012 à 13h29

pareil, sur une patiente qui venait d'accoucher, et depuis (2 ans) ça réapparait tout le temps. Hygiène impeccable. J'ai mis ça sur un changement hormonal favorisant l'apparition de bactéries chromogènes.


Raton

14/06/2012 à 17h04

Il n'existe pas de traitment contre les bactéries chromogènes?


Images jm2g2g - Eugenol
dr_0le

15/06/2012 à 14h50

regarde dans ses poches s'il n'a pas une poche de réglisses....


Raton

04/07/2012 à 12h03

Mince j'en mange plein du réglisse moi!