Cookie Consent byPrivacyPolicies.comAvez vous une idée de ce que ca pourait être!!! - Eugenol

Avez vous une idée de ce que ca pourait être!!!

rolo

16/06/2012 à 20h54

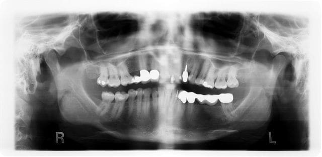
j'aurais bien aimé connaitre votre avis au sujet de cette Radio panoramique qui révèle une image radioclaire/ au centre opaque, au niveau de la Racine mesiale de la 37, patient n'a pas douleur.

merci d'avance pour votre aid

Opg qnoyvr - Eugenol

flodec

16/06/2012 à 21h00

Apex résiduel


Images nv3xcf - Eugenol
au fond du canal

18/06/2012 à 17h41

+1


Morgan ztbb1b - Eugenol
BONNET jc

19/06/2012 à 11h24

A laisser tranquille