Cookie Consent byPrivacyPolicies.comURGENT abces enfant - Eugenol
marco17

19/06/2012 à 20h02

Bonjour,
je suis inquiet pour ce cas,
enfant 9 ans aucune pathologie
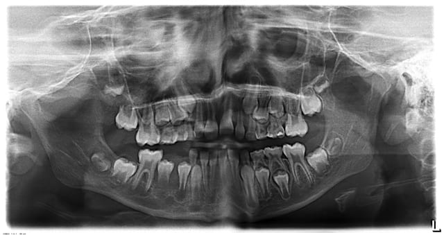
abcès important en regard de la 84, j'extrais ce jour la dent,mais comme je n'ai pas pu avoir une bonne rétro,je fais une pano,
selon vous:
est-ce qu'il y a une image au niveau de la 46 ?
problème au niveau de l'apex de 45 ?

en gros l'abcès (évolution en cellulite) peut-il être du à un problème sur 44 , 45 ou 46 ?

merci d'avance

Capture la21lw - Eugenol
Unknown x 2012 06 12 17 24 28 4 sszhle - Eugenol
20120619 335 tsu5q5 - Eugenol

azerty

19/06/2012 à 21h19

pff, a neuf ans, tu crois vraiment a un absces???
sans etre mechant , on se calme et on boit un pastis et tu verra tout ira tres bien....


marco17

19/06/2012 à 21h20

Joue gonflée et grosse tuméfaction en vestibulaire en regard de 44 et 45
J'ai mis abces mais en fait c'est une cellulite


marco17

19/06/2012 à 21h39

J'ai hésité à l'envoyer aux urgences car je n'ai pas pu effectuer de drainage


Gutt-A

19/06/2012 à 22h30

bouuuuuuuuuuuuh


ndecer

19/06/2012 à 22h55

Bonsoir,

je pense vraiment que les lésions à l'apex de 44, 45 et 46 sont juste l'image de la formation des apexs et que cela n'a rien à voir avec une image infectieuse. Surtout, d'où serait venu les bactéries?

Cordialement.


marco17

19/06/2012 à 23h04

si pour vous c'est rien tant mieux,
l'importance de la cellulite m'a inquieté,
c'est surtout que je trouve que la 84 seule responsable
d'une cellulite c'est leger ?!


Mili

19/06/2012 à 23h08

Il faut aussi ecarter la possibilite de parotite !
Si vous avez des doutes pourquoi pas contacter un pediatre
ou un stomatologue ? La on voit la radio,mais pas l`enfant .
L`enfant imunodeprime ou pas ?


marco17

19/06/2012 à 23h29

non enfant en parfaite santé


Tozzi

20/06/2012 à 00h50

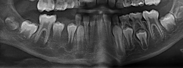
La 45 est bizarre, on dirait que la racine n'a quasiment pas été formée alors qu'elle n'est pas si profonde.
La radioclarté autour de 45 est douteuse.
La 85 avait un problème ?


marco17

20/06/2012 à 01h22

non pas de probleme.dent extraite debut mai


Dsc 0094 rkrzoz - Eugenol
Guillaume T

20/06/2012 à 02h43

Ce qui peut surprendre sur un cas de cet ordre est la disproportion entre une cellulite latéromandibulaire circonscrite chez un grand enfant de 9 ans en bonne santé et le foyer source qui serait une 84 en fin de résorption radiculaire.
Mais je pense qu'il faut rester zen et, comme il se doit, de toujours revoir le patient 24 h après le geste salvateur et la prescription.
Franchement, je ne vois pas en quoi 44 45 46 pourraient être mises en causes et l'apparence de radioclarté me semble plus liée à une ligne dense continue qui se prolonge en région symphysaire et qui s'apparente à un artéfact cinétique de la pano.
Pour moi : zénitude et contrôle à 24 heures ou 48 heures.
je serais moins zen pour un petitou de 4 ans chez qui les primo infections à germes anaérobies peuvent donner lieu à des cellulites diffuses.


Tozzi

20/06/2012 à 10h19

Ce serait quand même surprenant que sur les 2 panos il y ait eu un artéfact exactement au même endroit, et à l'endroit où on suspecte quelque chose.
Si ce qu'on voit n'est pas un artéfact, vous est-il déjà arrivé de voir cette situation chez un enfant de 9 ans ?


aimpi

20/06/2012 à 10h41

marco17 écrivait:
-----------------
> non pas de probleme.

alors pourquoi l'avoir extraite?

il semble que l'absence de formation radiculaire de la 45 peut être due à la perte précoce de la 85


marco17

20/06/2012 à 10h59

dent douloureuse mobile et légèrement cariée en distal

par contre il n'y a qu'une seule pano, j'ai juste agrandi pour que vous puissiez mieux y voir
je vois le patient aujourd'hui je vous tiens au courant


Blocperso talon jer3sl - Eugenol
mrquentin

20/06/2012 à 11h45

si abcès il y a à l'apex de 45, ca peut venir que d'une contamination parodontale car la dent est intacte. pour etre sûr que ce n'est pas le cas, je sonde la 46 et cherche une poche paro car dans ce cas, ca serait un abcès endo-paro. Si il n'y a rien, j'extrapole en disant que sur la 44 non plus il n'y a rien.


Images jm2g2g - Eugenol
dr_0le

20/06/2012 à 14h48

8 ans... laissons une chance à cette pauvre 46 de finir son apexification... il sera toujours temps de lui mettre un implant a 12 ans...
je prendrai aussi un pastis comme dit plus haut...


uɹöɾq

20/06/2012 à 16h42

Mili écrivait:
--------------
> Il faut aussi ecarter la possibilite de parotite !
> Si vous avez des doutes pourquoi pas contacter un pediatre
> ou un stomatologue ?

Ou encore mieux, un généraliste!


marco17

20/06/2012 à 18h33

et aujourd'hui, la tuméfaction est toujours aussi grosse malgré les AB,
alors ???

Dsc 0014 fdonn1 - Eugenol

Images jm2g2g - Eugenol
dr_0le

20/06/2012 à 19h11

marco17 écrivait:
-----------------
> et aujourd'hui, la tuméfaction est toujours aussi grosse malgré les AB,
> alors ???

comment était la 85 extraite? cariée à 98% ? est ce elle qui a provoqué cette flambée infectieuse?

avec la chaleur ces jours ci les bactéries forniquent à tout va..
je ne crois pas à une contamination de 45 ou 46...


Mili

20/06/2012 à 19h27

Les AB ont besoin de 24h pour commencer a faire effet ,mais c`est vrai que "ce n`est pas joli ".


marco17

20/06/2012 à 19h53

85 extraite le 15/05
84 extraite hier

sous Augmentin depuis hier,

je trouve que l'infection est importante pour un problème
d'eruption de la 84
il a rdv demain chez le stomato

d'autres idées ??

Unknown x 2012 05 15 16 15 13 4 cn4eyq - Eugenol
Unknown x 2012 06 12 17 24 28 4 q5xza4 - Eugenol
Capture gk7xdk - Eugenol

Mili

20/06/2012 à 20h17

Chez les enfants ca gonfle et degonfle vite ,mais bonne idee pour le stomato . Je trouve augmentin bien . Il a de la fievre ?
Peut etre MP a Ti Gabi ?


Tozzi

20/06/2012 à 22h43

La 85 était très moche, c'est la porte d'entrée la plus évidente, qui a dû perturber l'évolution de 45.
Maintenant que faire ? Incision ?


pointG

20/06/2012 à 23h28

quelques idéees à mon amha!je pense que le problème vient des apex de la 46!!!
J'ai eu une patiente de 14 ans avec un genre de foyer/kyste
aux apex d'une 47 parfaitement vivante.J'ai demandé un avis d'une endodontiste exclusive qui m'a confirmé un kyste apicale du sans doute à une évolution non logique lors de l'apexification(peut etre évolution de la gaine D'Hetwig non conforme)Résultat curetage
par un stomatologue du kyste et on suit actuellement si le site osseux se ferme;aux dernières nouvelles il y avait une amélioration visible radiologiquement.(je n'avais pas de cellulite).Je compte toujours trois jours pour qu'un antibio
commence à agir (peut etre revois la posologie+bdb+poche glace contre la joue+surveillance si température)
La cellulite se transmet au travers de la joue à partir de 46
je ne vois pas la 84 responsable ni la 44 et 45 en évolution
Tout cela à mon amha!


12