Cookie Consent byPrivacyPolicies.comPetit cas clinico-commercial - Eugenol

Petit cas clinico-commercial

uɹöɾq

20/06/2012 à 11h13

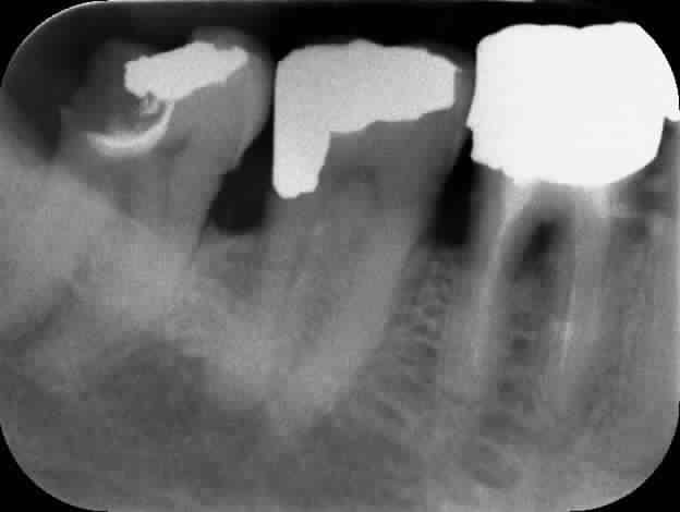
Petit cas clinico-commercial (la radio est du 14.6.2012).

Historique:
16.1.2009, ce patient consulte le Dr X pour "problème" (que je ne connais pas) sur 47, 48. Le Dr X cote un SC12 en distal de 47, un SC12 en distal de 48+ un SC12 pour détartrage. La 18 est en occlusion et intacte. Il souffre d'une parodontite chronique de l'adulte.

5.3.2010 Ce patient consulte pour un "problème" sur 48, le Dr X cote un SC12 en distal de 48 et prescrit du PAROEX (pour la parodontite je pense, :-)))...)

29.10.2010 Urgence: Fracture du pan vestibulaire sur 48; IRM en urgence, Le Dr X cote une C.

9.12.2010 Le Dr X cote un SC17 sur 48

6.04.2011 Le Dr X cote un SC17 sur 47

21.12.2011 Le Dr X cote un détartrage SC12 et prescrit du PAROEX

14.6.2012 Je vois en consultation le patient, devinez pourquoi?... L'amalgame sur 48 est pété... (voir la radio) (la 18 est présente et intacte).

Auriez-vous la gentillesse d'analyser la prise en charge de ce patient par le Dr X, sur tous les plans: cotations, perte de chance, rentabilité du cabinet, etc...,et de me dire quelle prise en charge vous lui auriez proposé AU DEBUT (juste pour le secteur 47-48 et la paro, le reste on s'en fout pour l'instant)?
Et quelle prise en charge lui proposeriez-vous à la consult du 14/06 pour ce secteur? (je vous dirai ensuite ce que je lui ai proposé et sa réponse...
(La radio est pourrie, je n'arrive pas à la publier en TIFF, désolé)

Ceux qui font comme le praticien X, pourquoi le faites-vous, par peur de perdre le patient en lui proposant le traitement indiqué?
On ne parle ici que de 47 et 48, pour simplifier à l'extrême, on fera comme s'il n'y avait aucun autre problème. ;-)

Eug rlrkau - Eugenol

Morgan ztbb1b - Eugenol
BONNET jc

20/06/2012 à 11h44

Propose d' abord ton traitement, on critiquera après...


RépondreCiter
ceel

20/06/2012 à 11h52

je mettrais un CVI,et je ferai l'endo quand elle sera bien remboursée ( probablement dans 5 ans avec la future nouvelle convention qui va révolutionner notre exercice)


220px don camillo4 qrcfhs - Eugenol
camillo

20/06/2012 à 11h53

Difficile de dire ce qu'on aurait fait a la première consultation, car on ne connait pas le pb d'origine.
Pour ma part, j'aurais proposé une couronne de 48 dès qu'elle s'est fracturée, couplée ou non avec une couronne solidaire de 47 en fonction de son état.


01 ukhwbq - Eugenol
ʎqqoq

20/06/2012 à 11h58

Dans ce cas, tu ne risques pas de perdre le patient en proposant le traitement indiqué, la preuve, le confrère l'a perdu ce patient...Ça m'arrive régulièrement de recevoir des patients qui me racontent qu'ils sont allés chez un confrère, qu'il leur a mis un pansement, qu'il est tombé, qu'arès ils ont mis une "résine", qu'elle est tombée, etc...
En urgence, je mets un IRM si pas de douleurs, et ouverture si douleurs. Par la suite, endo sur la 8, TFM et dent pro, le temps de faire un assainissement paro global. Je reprendrais aussi la 6, qui n'est pas nette à tous points de vue.


uɹöɾq

20/06/2012 à 12h00

.


uɹöɾq

20/06/2012 à 12h01

Bobby, non il ne l'a pas perdu... ;-)


uɹöɾq

20/06/2012 à 12h03

Bobby, sans entrer dans les détails,le Dr X n'a pas perdu ce patient... ;-)
Ce n'est pas une question clinique, hein (pour ceux qui n'ont pas compris), je cherche à savoir ce qui motive ceux qui prennent en charge les patients de cette manière.


Morgan ztbb1b - Eugenol
BONNET jc

20/06/2012 à 12h11

Tu n'as toujours pas dit TON traitement.


RépondreCiter
220px don camillo4 qrcfhs - Eugenol
camillo

20/06/2012 à 12h11

OK, alors moi je pense qu'il vaut mieux faire les choses comme il faut une bonne fois pour toutes.

Cependant, un confrère qui croule sous un agenda sur chargé sera peut-être plus tenté de faire au plus vite pour se débarrasser du patient, et coter qqc à la fin de la séance.
En plus, je suis sur que le patient est satisfait que la séance ne dure pas trop longtemps, que tout soit fait en une séance, et que ça lui coute rien.


01 ukhwbq - Eugenol
ʎqqoq

20/06/2012 à 12h18

Ceux qui prennent en charge les patients de la sorte ne sont pas sur Eugenol...
J’apprécie tout particulièrement les amalgames dits 4 faces, un pour deux dents, et deux sc 12 bien sûr, malheureusement le cas ne s'y prêtait pas. ^^


G-P

20/06/2012 à 12h31

Pour pas s'emmerder à faire une endo sur une 48 suivie d'une probable couronne métal dans le meilleur des cas "parce que docteur ça ne se voit pas".
On peut comprendre cette logique dans le but de se débarrasser du patient.


Pepsi tmi4vp - Eugenol
cartman

20/06/2012 à 13h20

Et le patient il veut quoi? Si c'est le genre de patient qui veut pas raquer un sous parcequ'il a cotisé toute sa vie à la sécu ou la moutouelle si gentille kipensekasobienetpasasonfrik et bien il a trouvé le genre de praticiens qui lui convient et je l'inviterai à retourner voir son bon Dr X.


Samy8 mgu6if - Eugenol
oliverKapaspeur

20/06/2012 à 13h47

"le Dr X n'a pas perdu le patient...."
Ce serait donc toi le Dr X, Bjorn?


Images jm2g2g - Eugenol
dr_0le

20/06/2012 à 14h38

extraction 46 47 48 mei ofc !! =)
je pênse qu'effectivement il est difficile de juger ce cas sans connaitre le contexte (style de patient, motivation, mgen?) etc...
la critique est facile, l'art...


Bebe 038 nf8eum - Eugenol
danteyeah

20/06/2012 à 14h52

uɹöɾq écrivait:
---------------
> Petit cas clinico-commercial (la radio est du 14.6.2012).
>
> Historique:
> 16.1.2009, ce patient consulte le Dr X pour "problème" (que je ne connais pas)
> sur 47, 48. Le Dr X cote un SC12 en distal de 47, un SC12 en distal de 48+ un
> SC12 pour détartrage. La 18 est en occlusion et intacte. Il souffre d'une
> parodontite chronique de l'adulte.

Si Dr X cote SC12 en distal de 47 et 48, on peut imaginer que les caries initiales ne sont pas trop délabrante (contrairement aux données de la rétro). Ma proposition serait alors: soins composites sous digue: on sait le faire et on sait que cela tiendra la route. Le patient souffre d'une paro chronique, il aura donc droit à son cour d'hygienne, saupoudré d'une belle motivation à une prise en charge paro "médicale" (type Charron) ou/et "chirurgicale" chez mon paro exclusif préféré. Je cote donc comme Dr X.

>
> 5.3.2010 Ce patient consulte pour un "problème" sur 48, le Dr X cote un SC12 en
> distal de 48 et prescrit du PAROEX (pour la parodontite je pense, :-)))...)

Donc le patient n'a pas écouté mes conseils et n'est pas allé voir mon parodontiste préféré.....le con.
Je lui laisse une deuxième chance...je suis comme ça ;-).
Par contre il n'y aurait rien à coter pour 48, mes composites tiennent très bien :-)))

Si le patient n'écoute pas mes conseils, je ne vais pas le perdre....c'est lui qui va ma perdre!


uɹöɾq

20/06/2012 à 14h56

@ Dr Ole:
Tu veux dire que ça t'est déjà arrivé de traiter 3 fois la même dent en un an et demi, pour le même problème et en proposant la même solution, parce que le patient n'est "pas motivé" ou "mgen"?


Images nv3xcf - Eugenol
au fond du canal

20/06/2012 à 14h57

Le plan de traitement d'un même cas clinique peut être très variable selon le patient.
Un patient retardataire chronique, qui arrive pas douché, les dents non brossées et qui refuse toutes les couronnes proposées depuis 10 ans sera condamné à ce type de bricolage ou à la porte chez les plus expéditif d'entre nous.
Sinon certains confrères ne savent pas anesthésier correctement une molaire mandibulaire, merdent une endo sur deux, ne savent pas faire un aménagement préprothétique quand nécessaire, et donc ne se lancent dans des thérapeutiues plus avancées que quand ils y sont acculés. Dans ce cas-là il n'y a pas vraiment de perte de chance pour les patients à ne rien faire...

Voilà, pour répondre à ta question Björn, ce qui doit se passer dans la tête des Dr X.


Images jm2g2g - Eugenol
dr_0le

20/06/2012 à 15h27

uɹöɾq écrivait:
---------------
> @ Dr Ole:
> Tu veux dire que ça t'est déjà arrivé de traiter 3 fois la même dent en un an et
> demi, pour le même problème et en proposant la même solution, parce que le
> patient n'est "pas motivé" ou "mgen"?
>

Non, je ne m'explique pas le 'refus' de soin du praticien après quelques mois, et alors que le patient à la patience (;D) de revenir le voir...
Mais je veux juste rappeler qu'il est difficile de juger d'une situation sans la connaitre réellement..


Morgan ztbb1b - Eugenol
BONNET jc

20/06/2012 à 16h00

uɹöɾq écrivait:
---------------


Tu ne nous as pas encore parlé de ton plan de TT, ou j'ai manqué un post...


uɹöɾq

20/06/2012 à 16h22

Oui JC, tu as manqué un post, le premier.

Björn écrivait:
>>>Et quelle prise en charge lui proposeriez-vous à la consult >du 14/06 pour ce secteur? (je vous dirai ensuite ce que je >lui ai proposé et sa réponse...


220px don camillo4 qrcfhs - Eugenol
camillo

20/06/2012 à 16h26

bon, ben accouche maintenant.


uɹöɾq

20/06/2012 à 16h35

camillo écrivait:
-----------------
> bon, ben accouches maintenant.

Ne sois pas si impatient camillo, ça va venir.
En attendant, va ouvrir un Bescherelle à la page "impératif présent, verbes du premier groupe". ;-)


Morgan ztbb1b - Eugenol
BONNET jc

20/06/2012 à 16h38

Je vais te définir le patient: Il gagne 1000€, n'a pas de mutuelle,vient en retard quand il vient, a toujours mal, ne supporte pas les radios (d'où la radio floue). Les canaux distal de la 48 et mésial de la 47 sont calcifiés. Il n'a pas le temps et râle tout le temps.
Bon, maintenant, c'est quoi ton plan de TT?
Quand, j' étais étudiant, un de mes profs appelait ça," de la dentisterie de pissotière ": C' est 2 dentistes devant des urinoirs, l'un sort une radio de sa poche et dit à l'autre: Ce cas, tu aurais fait quoi?
Tant que tu n' as pas le patient devant, le reste...


uɹöɾq

20/06/2012 à 16h50

Retraité aisé, vient à l'heure, n'a jamais raté de rdv, supporte très bien les radio (une plaque de Digora aussi loin dans la bouche, t'essaiera ;-) ) (la radio n'est pas floue mais dégradée par la compression).

Voilà pour les précisions qui te manquent.


12