Cookie Consent byPrivacyPolicies.comRéhabilitation antérieure, besoin de conseils - Eugenol

Réhabilitation antérieure, besoin de conseils

alex33

26/06/2012 à 15h09

Message annulé


Dsc 3167 ff43tz - Eugenol
Xenophon

26/06/2012 à 16h07

Je ne sais pas si quelqu'un va pouvoir te donner des conseils.
Personnellement, je n'ai pas compris grand chose et je ne vois rien sur tes radios.
Il manque tout de même beaucoup d'informations pour avoir une idée concrète du cas.
Mobilité ? poches paro ? modèles en occlusion ? Souhaits du patient ? etc....

Revois ta copie. Apporte des radios correctes ( mieux avec angulateur), des photos des modèles, et un état des lieux plus précis.
Désolé !


RépondreCiter
220px don camillo4 qrcfhs - Eugenol
camillo

26/06/2012 à 17h02

C'est peut-être pas la peine de lui tomber dessus comme ça.
C'est pas parce que le forum est anonyme qu'on peut se permettre de se défouler sur un débutant qui demande des conseils, t'es gentil.


oscar

26/06/2012 à 17h05

+1 avec camillo, c'est quoi ces façons de répondre à la fin.


Bebe 038 nf8eum - Eugenol
danteyeah

26/06/2012 à 17h34

J'ai lu le message d'Alex avant qu'il ne l'efface et je me suis fait la même réflexion que Xenophon: on ne pouvait pas apporter d'aide à Alex avec si peu d'information. Le message de Xenophon n'a rien d'agressif, il est juste et a pour but de venir en aide à l'auteur de ce fil. Alex pour te donner un coup de main (virtuel), soumet nous tes plus belles photos, radios et un topo complet, tu aura un Max de réponses en toute amitié.


alex33

26/06/2012 à 17h37

Je reposterai le cas avec des photos plus précises, ainsi que la pano.


Gonzo k0qhwz - Eugenol
matten

26/06/2012 à 17h56

Et surtout c'est quoi la question???


Tu turbines, hypochlorites, guttaïse, et silicones tout ca.
Le protho te fera de belles couronnes et c'est fini : )


alex33

26/06/2012 à 18h13

En fait le patient a vu plusieurs praticiens ( selon ses dires) proposant uniquement des extractions de canine à canine, avec bridge sur implants . Pensez vous , à la vue des radios ( en en attendant de meilleurs qualité ), que certaines dents antérieures soient conservables?


Dsc 3167 ff43tz - Eugenol
Xenophon

26/06/2012 à 20h43

Je n'ai pas voulu l'agresser. C'est mal me connaître.
Je disais juste qu'on ne pouvait pas l'aider pour le moment. Quand on débute, on est parfois un peu fouillis dans sa tête. C'est normal. On peut l'aider mais il faut déjà qu'il reformule sa question et son problème pour qu'on le comprenne.

Désolé si j'ai pu paraître agressif. Ce n'était pas mon intention.


Grueavatar nptrc9 - Eugenol
Le Choixpeau magique

26/06/2012 à 22h33

camillo écrivait:
-----------------
> C'est peut-être pas la peine de lui tomber dessus comme ça.
> C'est pas parce que le forum est anonyme qu'on peut se permettre de se défouler
> sur un débutant qui demande des conseils, t'es gentil.

Très bien, alors on écoute ton plan de traitement ?


220px don camillo4 qrcfhs - Eugenol
camillo

26/06/2012 à 22h43

C'était un message sur la forme, pas sur le fond...


Dsc 3167 ff43tz - Eugenol
Xenophon

27/06/2012 à 00h55

Et bien alors , à plus forte raison, je pense justement y avoir mis les formes.


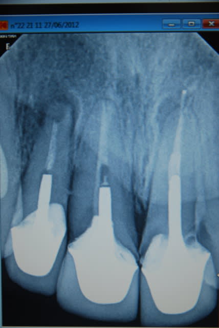
alex33

27/06/2012 à 23h18

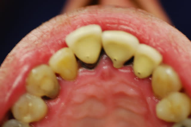
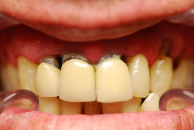
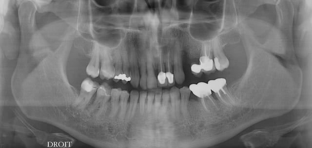
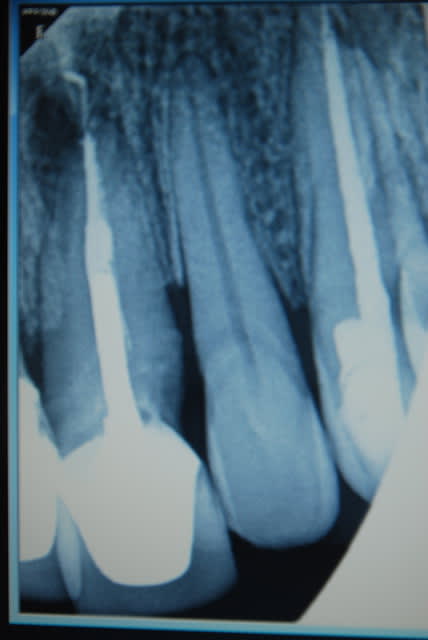
Je viens de revoir le patient et je peux vous apporter quelques précisions ainsi que des photos( désolé si la qualité n'est pas parfaite).
Patient de 45 ans, fumeur, motivé mais ne pouvant se payer d'implants.
Il a déjà vu plusieurs confrères qui lui ont proposé uniquement ( selon ses dires) une solution implantaire pour 12-11-21-22-23. Il souhaite du fixe...
En ce qui concerne la paro, la 12 est en mobilité stade 2, la 22 en stade 1 les autres étant non mobiles. Le sondage de 12 à 22 est de 3 mm, sauf en mésiale de 12 ( 6mm). La gencive est inflammatoire ( logique à la vue de l'inadaptation des couronnes, et des caries radiculaires).
Je pense lui proposer la solution du bridge avec 13,11,21,22, 24,25., même si la 13 est saine... Je prévoyais de reprendre l'endo de 22 mais la taille du tenon et sa longueur m'ont refroidi, peut être qu'une chir endo et obturation à rétro serait plus appropriées... Je prévois bien sur un surfaçage ainsi qu'un assainissement paro, une fois le bridge provisoire en place.
Qu'en pensez vous?
Merci d'avance

Dsc 0008oo weilrt - Eugenol
Dsc 0013oo utfqej - Eugenol
Dsc 0016oo ewtv9e - Eugenol
Dsc 0020oo f2tpqn - Eugenol
Dsc 0015oo ocaad0 - Eugenol
Dsc 0009 v4b1wp - Eugenol
Dsc 0010 mxhjcl - Eugenol

Bebe 038 nf8eum - Eugenol
danteyeah

27/06/2012 à 23h43

Tu as surtout un gros chantier paro à gérer. Et je ne pense pas que le tenon de la 22 soit si difficile à descendre, accessoirement l'endo de la 11 est aussi à revoir ( et là le tenon semble plus maousse ).
Essai de tout déposer, et améliore les endos, puis provisoires issues d'un wax-up pour simuler l'esthétique , ajuste ça comme il faut et attaque toi a la paro et à l'hygiène déplorable de ton patient......pas de traitement si pas d'hygienne.... Alors des implants dans ces conditions c'est suicidaires.
Une photo du sourire peut t'aider à savoir si l'esthétique " rose" est primordiale ou non chez ton patient; si il a un sourire gingivale, vous allez en chier pour l'améliorer.
Évite si possible de souder les futures couronnes entre elles, et donc à fortiori les bridges.
Attention tout de même, ici faut un bon baggage ( ou correspondant ) paro pour obtenir un bon traitement et seulement dans la mesure où ton patient se montre motivé à écouter et appliquer tes conseils d'hygienne.


alex33

28/06/2012 à 01h38

C'etait le tenon de 21 et non celui de 22 que je redoutais ;)


Smile beach jgh0a1 - Eugenol
Céramik

28/06/2012 à 03h41

danteyeah écrivait:
-------------------
> Tu as surtout un gros chantier paro à gérer. Et je ne pense pas que le tenon de
> la 22 soit si difficile à descendre, accessoirement l'endo de la 11 est aussi à
> revoir ( et là le tenon semble plus maousse ).
> Essai de tout déposer, et améliore les endos, puis provisoires issues d'un
> wax-up pour simuler l'esthétique , ajuste ça comme il faut et attaque toi a la
> paro et à l'hygiène déplorable de ton patient......pas de traitement si pas
> d'hygienne.... Alors des implants dans ces conditions c'est suicidaires.
> Une photo du sourire peut t'aider à savoir si l'esthétique " rose" est
> primordiale ou non chez ton patient; si il a un sourire gingivale, vous allez en
> chier pour l'améliorer.
> Évite si possible de souder les futures couronnes entre elles, et donc à
> fortiori les bridges.
> Attention tout de même, ici faut un bon baggage ( ou correspondant ) paro pour
> obtenir un bon traitement et seulement dans la mesure où ton patient se montre
> motivé à écouter et appliquer tes conseils d'hygienne.

+ 10

C'est un cas paro, paro et paro, ensuite, endo et provisoires
La 23 est hyper moche, la 12 encore plus...

Motivations doit être +++, s'il continue le tabac, pour moi, c'est out, j'y touche pas.
Ce type va finir avec un complet s'il ne change pas.
Ou bien tu l'envoies chez pele...





--
Céramik


Bebe 038 nf8eum - Eugenol
danteyeah

28/06/2012 à 04h13

Céramik écrivait:
-----------------
> Ou bien tu l'envoies chez pele...

Hé hé, seulement, ce qu'Alex ne nous a pas dit, c'est qu'il en sort déjà de chez Pelé ce patient;-)))


alex33

28/06/2012 à 10h03

Merci pour vos réponses, cela me conforte dans mon plan de traitement. Quant À la 11, pensez vous qu'une chir apicale pourrait être réaliser en première intention, bien que le niveau osseux soit déjà faible... Car j'aimerai éviter de perdre ce pilier lors de la dépose...De manière plus globale, devant des tenons importants ou des Richmond, avec des endos à reprendre, que faites vous en première intention? endos par voie orthograde ou rétrograde? Merci. Alex


Bebe 038 nf8eum - Eugenol
danteyeah

28/06/2012 à 13h47

alex33 écrivait:
----------------
> Merci pour vos réponses, cela me conforte dans mon plan de traitement.
> Quant À la 11, pensez vous qu'une chir apicale pourrait être réaliser en
> première intention

C'est pas une bonne idée, la racine est cariée, de toute façon l'ancrage n'est plus valable et n'est plus étanche, tout est à démonter et l'endo est à reprendre en orthograde: c'est dégueu en paro et certainement aussi en endo, donc tu dois te forcer à tout assainir sans compromis ici sinon ça finira en eau de boudin.

, bien que le niveau osseux soit déjà faible... Car j'aimerai
> éviter de perdre ce pilier lors de la dépose...

Y a fort à parier que ce truc ne soit que simplement scellé avec un oxyphosphate vu la conception un peu préhistorique du bouzin, donc tu ne devrais pas trop souffrir pour tout déposer (il y a un post sur la WamX, le coffret Komet de dépose avec pas mal d'info, fouille sur le forum)

De manière plus globale, devant
> des tenons importants ou des Richmond, avec des endos à reprendre, que faites
> vous en première intention? endos par voie orthograde ou rétrograde? Merci.
> Alex

Si j'envoi ce cas à mon endo exclu. pour une obturation à rétro, il me le renvoi aussi sec si je n'ai pas refait les traitements orthograde et attendu un petit temps pour vérifier si ce n'est pas suffisant. Allez t'angoisse pas, c'est pas cette partie de ton plan de traitement qui est compliqué, c'est plutôt la paro et la motivation du patient qui va être technique.


Smile beach jgh0a1 - Eugenol
Céramik

28/06/2012 à 16h20


Si t u veux simple, stellite du haut ( exo de 12 à 22)


--
Céramik


alex33

28/06/2012 à 19h28

J'avais pensé au Stellite mais je vais partir sur de la fixée, ( également souhait du patient). Il est motivé, si l'hygiène suit, je pense que ça peut etre un cas intéressant!


S2y2o1v7q53ws4r5wy6ou8czrpom - Eugenol
pxav

29/06/2012 à 11h04

Un cas un peu similaire:
on peu parler de sur-traitement mais je n'ai accepté de traiter ce cas que si le patient arrêtait totalement le tabac.
Résultat positif à 1 an, mais en cas de rechute tabagique, il se trouvera un autre confrère pour gérer son problème.

--
xbk
"Si tous ceux qui croient avoir raison n'avaient pas tort, la vérité ne serait pas loin" Dac Pierre

001 cekkmi - Eugenol
Img comp fgabsy - Eugenol

alex33

29/06/2012 à 15h48

Résultats très bien je trouve. C'est du tout céramique au maxillaire? Tu as tout couronne'? Le parodonte à l'air top en tout cas. Combien de temps as tu laissé sous provisoire?


Img 2951 flo3gr - Eugenol
molinarius

01/07/2012 à 13h50

moi je trouve ça à chier ,, l'emax c'est vraiment un produit de bobo !

les 12 22 ne sont pas alignées , les canines trop pointues et ressorties
le tout est opaque à mort

franchement ça casse pas 3 pattes à un canard....


alex33

23/07/2012 à 12h48

Bonjour à tous,
je fais remonter le post, avec quelques photos faisant suite à la séance "dépose des pf et mise en place du bridge provisoire. Aucun tenon provisoire mais le bridge tient très bien.
L'état paro s'est trés nettement amélioré, avec le protocole d'assainissement( Listérine verte+ Bicarbonate -eau oxygénée).
Impossible cependant de déposer le tenon de la 21, au risque de fracturer la racine selon moi. Ce sera donc chir apicale pour cette dent.
Ps; désolé pour la salive sur les photos, j'étais légèrement speed pendant cette séance:)

Anterieure prepas post depose od3mqu - Eugenol
Dsc 0012 iphjpb - Eugenol
Prepas hmxh7h - Eugenol
Secteur gauche bridge non arm  oh1vhl - Eugenol
Prepas secteur 2 post depose tjg3gc - Eugenol
Vue anterieure bridge non arme as2fq6 - Eugenol
Vue laterale bridge non arme ihxbfc - Eugenol
Vue palatine bridge non arm  za6dt7 - Eugenol

12