Cookie Consent byPrivacyPolicies.comRéhabilitation antérieure, besoin de conseils - Eugenol

Réhabilitation antérieure, besoin de conseils

Dsc 3167 ff43tz - Eugenol
Xenophon

23/07/2012 à 16h09

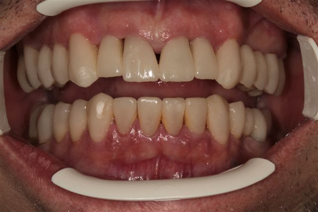
là , comme ça en regardant très vite tes photos, la première chose qui me vient à l'idée; c'est " dégage plus tes embrasures." Surtout sur un terrain parodontal fragile.Actuellement, tu vas aggraver la situation parodontale qui allait mieux d'après ce que tu écris.


S2y2o1v7q53ws4r5wy6ou8czrpom - Eugenol
pxav

23/07/2012 à 20h02

alex33 écrivait:
----------------
> Résultats très bien je trouve. C'est du tout céramique au maxillaire? Tu as tout
> couronne'? Le parodonte à l'air top en tout cas. Combien de temps as tu laissé
> sous provisoire?

provisoire une semaine, oui tout ceramique, le parodonte est effectivement bien.
--
xbk
"Si tous ceux qui croient avoir raison n'avaient pas tort, la vérité ne serait pas loin" Dac Pierre


S2y2o1v7q53ws4r5wy6ou8czrpom - Eugenol
pxav

23/07/2012 à 20h41

molinarius écrivait:
--------------------
> moi je trouve ça à chier ,, l'emax c'est vraiment un produit de bobo !
>
> les 12 22 ne sont pas alignées , les canines trop pointues et ressorties
> le tout est opaque à mort
>
> franchement ça casse pas 3 pattes à un canard....

le canard y s'en fout, il a pas de dents...et je suis de ton avis 12/22 pas alignés et le patient, voulais des canines longues, ça lui plait, mais je regrette, j'aurais mieux fais de le laisser avec sa bouche d'avant.
Je voulais juste copier Céramik, mon maitre es-lavabo.
--
xbk
"Si tous ceux qui croient avoir raison n'avaient pas tort, la vérité ne serait pas loin" Dac Pierre

Img 5373 etwabz - Eugenol
Img 5819 te2vaq - Eugenol

alex33

23/07/2012 à 22h36

Moi je les trouve très bien les Emax, vu la situation initiale, c'est du beau boulot, mais ce n'est que mon avis:)
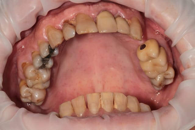
Au niveau postérieur, tu n'as pas envisagé de ccc sur chape zircone? (pour la solidité)


alex33

23/07/2012 à 22h41

Xenophon écrivait:
------------------
> là , comme ça en regardant très vite tes photos, la première chose qui me vient
> à l'idée; c'est " dégage plus tes embrasures." Surtout sur un terrain parodontal
> fragile.Actuellement, tu vas aggraver la situation parodontale qui allait mieux
> d'après ce que tu écris.

Le dégagement des embrasures est en effet la prochaine étape au niveau du bridge provisoire, histoire de pouvoir passer les brossettes,et les papilles ont déjà commencé à bien se repositionner.
Si vous avez d'autres conseils pour optimiser le provisoire, je suis preneur:)


S2y2o1v7q53ws4r5wy6ou8czrpom - Eugenol
pxav

23/07/2012 à 23h16

alex33 écrivait:
----------------
> Au niveau postérieur, tu n'as pas envisagé de ccc sur chape zircone? (pour la
> solidité)

Je n'ai jamais eu de fracture avec les Emax, en postérieur, surtout dans un cas comme ça ou l'équilibre est recherché, et surveillé.
D'autres part, je ne suis pas fan du zircone, donc je reste Emax.
Même si c'est vrai que l’esthétique et le rendu pourraient être meilleurs, mais je n'ai pas le prothésiste de Cingulum.
--
xbk
"Si tous ceux qui croient avoir raison n'avaient pas tort, la vérité ne serait pas loin" Dac Pierre


Img 2951 flo3gr - Eugenol
molinarius

24/07/2012 à 02h11

Et de l emax stratifié sur zircone..


Smile beach jgh0a1 - Eugenol
Céramik

24/07/2012 à 07h34

molinarius écrivait:
--------------------
> Et de l emax stratifié sur zircone..

Zircone en antérieur...pas mal plus moche que l'e.max...
même si e.max en couche finale.
De plus, c'est mieux en pressée pour la solidité qu'en statifié sur la zircone.



--
Céramik


Smile beach jgh0a1 - Eugenol
Céramik

24/07/2012 à 07h36

alex33 écrivait:
----------------

> Ps; désolé pour la salive sur les photos, j'étais légèrement speed pendant cette
> séance:)


Tes paramètres photo sont à revoir, c'est flou, flou et flou.

Tu as quels équipements et quels sont tes paramètres ?
Faire de belles photo est important dans les cas antérieurs

--
Céramik


Smile beach jgh0a1 - Eugenol
Céramik

24/07/2012 à 07h39

molinarius écrivait:
--------------------
> moi je trouve ça à chier ,, l'emax c'est vraiment un produit de bobo !
>
> les 12 22 ne sont pas alignées , les canines trop pointues et ressorties
> le tout est opaque à mort
>
> franchement ça casse pas 3 pattes à un canard....


Tu nous montres mieux alors ?

La forme des canines est pas très top,c'est vrai. Pour 12+22, on s'en fou, si le patient aime, et pour l'opacité...la zirone c'est pire...alors...


--
Céramik


alex33

24/07/2012 à 11h59

Céramik écrivait:
-----------------
> alex33 écrivait:
> ----------------
>
> > Ps; désolé pour la salive sur les photos, j'étais légèrement speed pendant
> cette
> > séance:)
>
>
> Tes paramètres photo sont à revoir, c'est flou, flou et flou.
>
> Tu as quels équipements et quels sont tes paramètres ?
> Faire de belles photo est important dans les cas antérieurs
>
> --
> Céramik

Oui, je suis d'accord, bien trop flou:)
J'ai un nikon D60, avec objectif macro Tamron 90mm. Pas de Flash macro pour l'instant.
Pour les paramètres, n'étant pas expert, je suis resté en automatique, mais si tu as des réglages à me conseiller je suis preneur:)
Alex


Bebe 038 nf8eum - Eugenol
danteyeah

25/07/2012 à 14h20

alex33 écrivait:

> Oui, je suis d'accord, bien trop flou:)
> J'ai un nikon D60, avec objectif macro Tamron 90mm. Pas de Flash macro pour
> l'instant.
> Pour les paramètres, n'étant pas expert, je suis resté en automatique, mais si
> tu as des réglages à me conseiller je suis preneur:)
> Alex

Dur sans flash macro. Pour l'instant dans ces conditions règles la sensibilité iso au max (1600 je crois sur ton Nikon), passe en mode vitesse et choisi du 1/60, l'ouverture se calculera automatiquement et avec un peu de bol tu arriveras peut être à du F8, prends une bonne inspiration et cales bien tes appuies pour ne pas bouger ni trembler et pries ;-).
Au bout de quelques clichés tu devrais être rapidement motivé à t'acheter un flash macro, puis de fouiller sur le forum pour savoir comment le régler.


alex33

25/07/2012 à 15h35

danteyeah écrivait:
-------------------
> alex33 écrivait:
>
> > Oui, je suis d'accord, bien trop flou:)
> > J'ai un nikon D60, avec objectif macro Tamron 90mm. Pas de Flash macro pour
> > l'instant.
> > Pour les paramètres, n'étant pas expert, je suis resté en automatique, mais si
> > tu as des réglages à me conseiller je suis preneur:)
> > Alex
>
> Dur sans flash macro. Pour l'instant dans ces conditions règles la sensibilité
> iso au max (1600 je crois sur ton Nikon), passe en mode vitesse et choisi du
> 1/60, l'ouverture se calculera automatiquement et avec un peu de bol tu
> arriveras peut être à du F8, prends une bonne inspiration et cales bien tes
> appuies pour ne pas bouger ni trembler et pries ;-).
> Au bout de quelques clichés tu devrais être rapidement motivé à t'acheter un
> flash macro, puis de fouiller sur le forum pour savoir comment le régler.
>

Merci pour ces réglages, je vais tester ça.
Quant au flash macro, c'est le prochain achat de prévu:)


12