Cookie Consent byPrivacyPolicies.comImage sous implant - Eugenol

Image sous implant

turbinoptimiste

26/06/2012 à 18h50

Bonjour à tous
Je sollicite vos avis et critiques:
Résumé du cas:
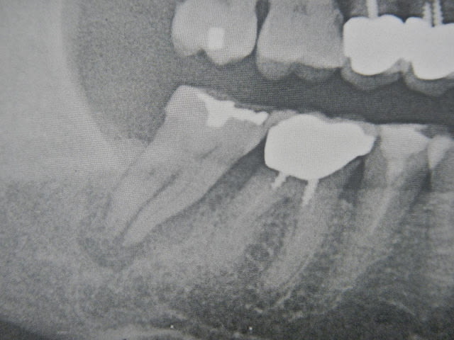
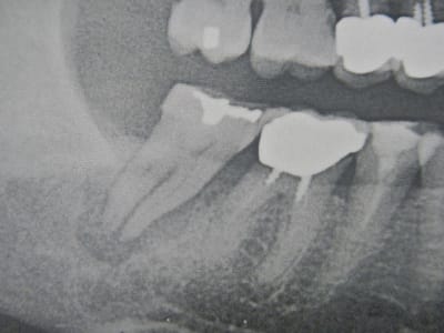
-extraction de 47 et curetage de l'alveole en Décembre 2011 (voir cliché sur panorex )
-Scanner fait en Mai 2012: panne de l'imprimante de papier radio du radiologue, il me donne une copie sur papier avec inversion des couleurs: noir pour blanc et l'inverse, je ne me méfie pas, fait l'étude pour la mise en place de l'implant.
-Mise en place de l'implant 4.6 X 8mm :très peu de couple d'insertion mais l'implant est stable: je peux visser la vis de cica sans problème.
-Radio de contrôle et là je découvre cette image en bout de l'implant qui est le granulome qui était présent sous la 47.
-Aucune suite opératoire mais la patiente a été sous antibiotiques juste après l'intervention comme d'habitude.

Merci de me donner vos avis sur les suites et conséquences.

Dscn1824 qkkm7d - Eugenol
Dscn1825 x7oq1t - Eugenol
Dscn1826 yldjfb - Eugenol
Dscn1827 kzxtnm - Eugenol
Dscn1828 m7lqi2 - Eugenol

Humator t9r5wy - Eugenol
humator

26/06/2012 à 19h12

ben, je dirais... wait and see.
t'as rien de mieux à faire qu'a attendre l'osteointegration...
l'image arrondie n'est peut etre que les stigmates des bords de la lesion anterieure...radio dans 2 mois...

--
N.Hum


ideefixe

26/06/2012 à 19h15

ouaip, çà passe ou çà casse...


003 penrd2 - Eugenol
Cingulum

26/06/2012 à 20h00

comme les autres à ce stade.


--
Dr Cingulum
-----Ancien interné----
----Attaché à l'apex----
http://www.clinic-all.fr/ formation par passion


Implant wq5dd1 - Eugenol
sinuslift

26/06/2012 à 20h19

J'aime beaucoup l'image du scanner fin XIX ème début XX ème ;-)


Avatar ow44t3 - Eugenol
Chicot

26/06/2012 à 23h48

La grande question est: au forage, tu as senti quoi ?

un grand plouf ?

Il ne s'agit peut-être que de l'image cicatriciel hypodense de la lésion.

Il faut du temps pour que radiologiquement ça disparaisse !

Mais tu n'as pas fait d'OPT ou de rétro quelque semaine avant la pose...... ?

Tu as cureté la partie apicale minutieusement après l'exo ?
sinon c'est du tissus merdique, ça va pas cicatriser comme ça

C'est quand même douteux de se rendre compte post pose qu'il existait un problème avant non ?




--
;O)


turbinoptimiste

04/08/2012 à 00h12

Merci pour vos réponses; depuis rétroalvéolaire systématique
lors de la consult préimplantaire après scanner, lorsqu'il y a eu extraction avec ou sans comblement .La reconstruction informatique peut être trompeuse...