Cookie Consent byPrivacyPolicies.competrin ou pas petrin - Eugenol

petrin ou pas petrin

Aymen

27/06/2012 à 16h22


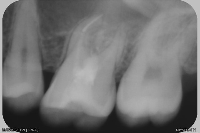
voila la radio
une limme cassé dans l'au dela
la patiente evoque une rhinorrhée depuis le traitement
je prepare le davier????
--
Nahoo!!!

Haj dgrl9x - Eugenol

Photo pluton1b h9n4ea - Eugenol
pluton

27/06/2012 à 16h27

solution n°1: tu adresses à l'endo exclusif

solution n°2: si tu as un microscope op (car quasi impossible à bien mener sans...) tu commandes les recue kits komet pour aller la chercher (pas impossible, le canal n'est pas trop courbe...)

solution n°3: St Davier...


Aymen

27/06/2012 à 16h52

pluton écrivait:
----------------
> solution n°1: tu adresses à l'endo exclusif
>
> solution n°2: si tu as un microscope op (car quasi impossible à bien mener
> sans...) tu commandes les recue kits komet pour aller la chercher (pas
> impossible, le canal n'est pas trop courbe...)
>
> solution n°3: St Davier...
obturation à retro non?????


--
Nahoo!!!


Photo pluton1b h9n4ea - Eugenol
pluton

27/06/2012 à 17h45

Aymen écrivait:
---------------

> obturation à retro non?????

avec quel abord? sinusien? tu cherches les complications toi...;-)


Narbonne a classer 980 urqayb - Eugenol
jojo11

27/06/2012 à 20h29

solution 4 : section de la racine mésio vestibulaire ...


Aymen

27/06/2012 à 22h09

jojo11 écrivait:
----------------
> solution 4 : section de la racine mésio vestibulaire ...

oui c'est ce que j'ai voulu dire, mais le fragment apical peut etre "absorbé" par le sinus, non ???
--
Nahoo!!!


belette

27/06/2012 à 23h27

y'aurait pas en prime une perfo inter radiculaire ?

Faut être bonne pâte quand on est patient...avec ou sans pétrin :)

^ ... ^
Ô"""Ô
= o =


33.2 - Eugenol
scuba06

27/06/2012 à 23h43

Aymen écrivait:
---------------
>
> voila la radio
> une limme cassé dans l'au dela
> la patiente evoque une rhinorrhée depuis le traitement
> je prepare le davier????
> --
> Nahoo!!!


L'instrument est cassé après la courbure, donc oublie les kits de retrait d'instrument (trop de délabrement, et surtout pas après une courbure!)
D'autre part, le traitement étant imparfait, il faudrait déjà reprendre le traitement et profiter pour faire un By Pass.
C'est la seule solution pour sauver cette dent.






























joe1

28/06/2012 à 02h32

ok avec scuba 06 by pass ou en passant par le mv2 si rejoint mv1 sinon davier