Cookie Consent byPrivacyPolicies.comCas esthétique... - Eugenol
dent2669

02/07/2012 à 16h06

Puisque la tendance de ces jours est de relancer des cas cliniques...

Cas de 4 facettes antérieures maxillaires...

A votre bonne critique messieurs dames !!

Ps : photos dans le désordre... mais vous saurez bien vous en accommoder non ??

Csc 0139 sca6am - Eugenol
Csc 0141 j8lrb3 - Eugenol
Dsc 0132 h37inh - Eugenol
Dsc 0133 abr7ls - Eugenol
Dsc 0134 g6o6j1 - Eugenol
Dsc 0138 orbpz8 - Eugenol
Dsc 0145 nrsor3 - Eugenol
Dsc 0149 zy7rom - Eugenol

dent2669

02/07/2012 à 16h11

suite...

Dsc 0150 hdfxbc - Eugenol
Dsc 0154 teagik - Eugenol
Dsc 0159 npnww2 - Eugenol
Dsc 0161 g785ly - Eugenol
Dsc 0162 x9wfjn - Eugenol
Dsc 0163 yvozzz - Eugenol
Dsc 0164 di44at - Eugenol
Dsc 0168 is6vcx - Eugenol

doagui

02/07/2012 à 16h15

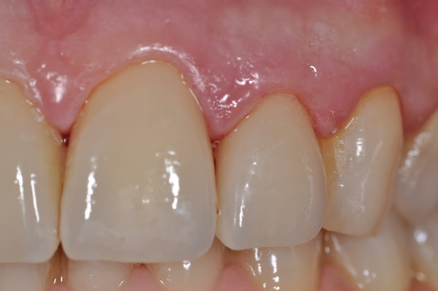
Ce que je remarque c'est la teinte qui me parait pas assez lumineuse, et surtout la forme des incisives centrales : la 21 est plus triangulaire que la 11, du coup elle s'élargit plus vers le bord occlusal et du coup ça donne l'impression que les incisives penchent vers la droite de la patiente.

Ceci dit pour la teinte j'admets que le cas n'est pas simple, y'a rien d'uniforme donc c'est un peu galère d'obtenir un résultat parfait.


olivier

02/07/2012 à 16h28

pareil pour les axes des incisives mais attention le résultat est plus qu'honorable à mon gout , donc bravo.


olivier

02/07/2012 à 16h28

pareil pour les axes des incisives mais attention le résultat est plus qu'honorable à mon gout , donc bravo.


003 penrd2 - Eugenol
Cingulum

02/07/2012 à 16h42

on a le même prothésiste :)

--
Dr Cingulum
-----Ancien interné----
----Attaché à l'apex----
http://www.clinic-all.fr/ formation par passion


Humator t9r5wy - Eugenol
humator

02/07/2012 à 16h50

moi, je trouve ça très sympa! bravo!
et la patiente? contente?
question au passage, à toi, à cingulum et aux autres bien sur!:

1- qu'utilisez vous pour l'essayage (pour que le patient puisse s'assoir et contempler sans que tout se casse la gueule?
2- avant collage, faites vous un conditionnement quelconque (antiseptique, anti-sensation thermique...)?
3- votre choix de collage?

--
N.Hum


baroud69

02/07/2012 à 16h50

Ne pas aligner les collets est un choix ou un "oubli" ?


dent2669

02/07/2012 à 16h52

Cingulum écrivait:
------------------
> on a le même prothésiste :)
>
> --
> Dr Cingulum
> -----Ancien interné----
> ----Attaché à l'apex----
> http://www.clinic-all.fr/ formation par passion

héhé ! il me semblait bien avoir reconnu sa "patte" sur les photos que tu présentes...


Pour l'axe des incisives, celui-ci aurait effectivement pu être corrigé... en toute franchise je ne l'avais pas vu... merci les copains !
Ce que je sais c'est que ma patiente m'avais bien dit qu'elle ne voulait modifier que la teinte de ses dents. On était bien d'accord pour ne rien changer à leur forme donc j'ai pris une empreinte avant les preps et je l'ai envoyé au prothésiste en disant que je voulais la même chose !
C'est aussi pour ça que vous n'avez pas vu de wax-up, ni d'étude esthétique !


alex33

02/07/2012 à 17h27

Résultats très honorables je trouve.
Quel résine utilises tu pour tes provisoires, et avec quel ciment?
Autre question, as tu réaliser l'hybridation dentinaire dans la même séance que les préparations? ou juste avant le collage des facettes?
Car lors d'un cas similaire, avec une hybridation faisant suite aux préparations, j'ai vraiment galère' pour desceller les provisoires...
Merci
Alex


41467 100000418256397 4215 n ypxyho - Eugenol
starsky55

02/07/2012 à 21h30

Y en aura toujours un pour dire qu il aurait fait mieux...
Moi je dit juste, superbe et très naturel !
Félicitations


doagui

02/07/2012 à 21h42

starsky55 écrivait:
-------------------
> Y en aura toujours un pour dire qu il aurait fait mieux...
> Moi je dit juste, superbe et très naturel !
> Félicitations

Qui a dit qu'il aurait fait mieux ?

Si le but c'est juste de se congratuler les uns les autres alors c'est pas hyper utile...


Img 3657 cwjvqm - Eugenol
alapex

02/07/2012 à 22h10

dent2669 , tu es le number one . Superbe .


Bebe 038 nf8eum - Eugenol
danteyeah

03/07/2012 à 04h26

dent2669 écrivait:
------------------
> Cingulum écrivait:
> ------------------
> > on a le même prothésiste :)
> >
> > --
> > Dr Cingulum
> > -----Ancien interné----
> > ----Attaché à l'apex----
> > http://www.clinic-all.fr/ formation par passion
>
> héhé ! il me semblait bien avoir reconnu sa "patte" sur les photos que tu
> présentes...

Quelqu'un connaît-il un céramiste du même talent entre Marseille et Toulon ?
>
>
> Pour l'axe des incisives, celui-ci aurait effectivement pu être corrigé... en
> toute franchise je ne l'avais pas vu... merci les copains !

Merci pour le partage, je persiste et signe, on passe de bon moments sur Nonol ces derniers temps!

> Ce que je sais c'est que ma patiente m'avais bien dit qu'elle ne voulait
> modifier que la teinte de ses dents. On était bien d'accord pour ne rien changer
> à leur forme donc j'ai pris une empreinte avant les preps et je l'ai envoyé au
> prothésiste en disant que je voulais la même chose !

Petite question: pourquoi ne pas avoir associé un eclairssissement à ta proposition esthétique?

Ensuite, c'est quand que ta patiente va apprendre à se bosser les dents pour nous montrer à quel point la céramique permet une adaptation gingivale de toute beauté ? C'est un peu dégueu tout cette plaque orange dans les espaces inter dentaires des canines et pré molaires, et c'est même manquer de respect à ton travail, rappel le lui!

> C'est aussi pour ça que vous n'avez pas vu de wax-up, ni d'étude esthétique !


dent2669

03/07/2012 à 10h59

Pour l'éclaircissement, la question s'est posée mais la patiente était vraiment focalisé sur la disgrâce de ses antérieures, elle n'a jamais exprimé l'envie d'avoir des dents plus blanches, donc cette étape a été vite éliminée.

Pour la résine utilisée pour les provisoires, c'était de la dentocrown de chez itena.

Pour le collage provisoire, une bonne couche d'adhésif sans aucun mordançage préalable polymérisé à travers les pros. Au descellement, il reste collé sur le provisoire...

En tout cas, merci pour les critiques, les compliments, les encouragements !!
J'essayerai de vous soumettre d'autres cas de temps en temps !


dent2669

03/07/2012 à 11h05

suite à tout ça, je voulais savoir ce que vous considérez comme esthétique ???
Est-ce que l'esthétique c'est un reconstruction s'intégrant parfaitement au sourire et totalement invisible avec des imperfections ? Est-ce que c'est une rangée de dents bien alignées et bien blanches comme dans gala et voici ? Est-ce que c'est une reconstruction parfaite comme dans les livres d'anatomie avec une symétrie parfaite, un alignement des collets...et tout et tout...?

Pour moi, l'esthétique c'est surtout quelque chose qui passe inaperçu ! c'est pour ça que (exemple le plus flagrant) pour les complets, je demande toujours à mon prothésiste d'animer un peu les dents. JAMAIS de dents parfaites !! A moins d'une demande forte exprimée par le patient ! et j'ai toujours de bonnes réactions lors des essayages...


Dsc 3167 ff43tz - Eugenol
Xenophon

03/07/2012 à 11h45

Pour l'axe des dents. Est ce que l'usage du Ditramax aurait permis d'éviter le problème ?
Dans ce cas je pense que le prothésiste s'est basé sur la taille du socle, non ?


Img 0812 mvp6i0 - Eugenol
jeamba

03/07/2012 à 16h31

Bravo, travail trés bien mené, propre et naturel.


Margin

14/07/2012 à 15h18

danteyeah écrivait:
-------------------
>
> Quelqu'un connaît-il un céramiste du même talent entre Marseille et Toulon ?
> >
> >
>

En ce qui concerne les prothésistes de talents j'en connais même plusieurs entre marseille et toulon.


Bebe 038 nf8eum - Eugenol
danteyeah

15/07/2012 à 04h21

Margin écrivait:
----------------
> danteyeah écrivait:
> -------------------
> >
> > Quelqu'un connaît-il un céramiste du même talent entre Marseille et Toulon ?
> > >
> > >
> >
>
> En ce qui concerne les prothésistes de talents j'en connais même plusieurs entre
> marseille et toulon.

Tout juste de retour de congé ( de tout, sauf de Nonol quand je trouvais un spot wifi pas trop pourri ), et, Oh bonheur! Une bonne âme charitable pour venir me prêter main forte. En plus en regardant tes 2 autres post (superbes photos au demeurant), il semble qu'effectivement tu fasses une belle équipe avec ton prothésiste.
Je suis donc tout ouïe, dans l'attente de l'information proposée, merci mille fois d'avance :-))))


Aiguille cyboyt - Eugenol
fatboy

15/07/2012 à 08h25

dent2669 écrivait:
------------------
> suite à tout ça, je voulais savoir ce que vous considérez comme esthétique ???

Il faut aussi s'adapter aux exigences des patients, certains me font enlever les sillons sur les couronnes et les inlays. Si il faut obtenir un resultat a l'aspect harmonieux et naturel, il est permis de prendre exemple sur les plus beau specimen de la nature. "A better you".

Ton cas est tres réussi, et si ta patiente est contente du resultat, c'est le principal. Mais c'est vrai que je l'aurai poussée a faire un éclaircissement avant (et a mieux se brosser les dents aussi). Ses dents n'ont pas toujours été comme ca, la teinte, la forme qu'elles avaient a 25 ans, sans être artificielles étaient peut être plus "jolie".