Cookie Consent byPrivacyPolicies.comAGENESIE DE 12 - Eugenol

AGENESIE DE 12

barbarella

03/07/2012 à 10h34

Bonjour

Cette patiente est âgée de 11 ans et présente une agénésie de 12.
J'envisage d'ouvrir l'espace et de remplacer la 12 par un implant. Faut-il extraire 53 et 52 maintenant au risque d'accentuer la CL II ? ou attendre 1 an pour démarrer le MB et le dégaGement de 13 ?

Merci d'avance pour votre aide.


Mario ycg44a - Eugenol
Mario180

03/07/2012 à 18h34

Quelle est ta compétence exactement : orthodontie, implantologie, omnipratique all inclusive?
Je veux dire : que souhaites-tu prendre en charge : l'intégralité du traitement ou travailles-tu avec un correspondant?

Aurais-tu des éléments supplémentaires à communiquer comme des photos, moulages, indication sur le stade de développement osseux,... ?

Si le dossier est plus complet, peut-être que le débat en sera plus juste.


Avatar transparent iqadnc - Eugenol
adhoc

03/07/2012 à 20h03

Je suis d'accord avec mario, on manque un peu d'éléments de diagnostic (longueur utile à calculer precisément pour I12, 13 à distaler,14 et 15.
Chaque mm va etre précieux dans cette option du choix de l'implant.
Sauf hyperdivergence importante, il te faut deja a mon avis faire tout ce qui est possible pour:
- commencer a lutter contre la classe 2 (la classe 2 molaire est a peu pres objective a la pano!)avec FEO
- eventuellement une expansion maxillaire avec quadhelix, mais la, il faut des éléments diagnostics supplémentaires.

verifie ensuite si la 13 n'est pas palatine, que son erruption puisse se faire naturellement ou au moyen d'une chirurgie de traction.

C'est en effet un cas qu'il ne faut pas louper :-)))


barbarella

03/07/2012 à 20h23

je vous adresse les documents demandés.

Le sujet est hypodivergent et la prise en charge que je souhaite effectuer est orthodontique et ensuite j'adresse à un confrère pour pratiquer l'implant.

Img 2255 fquybt - Eugenol
Img 2256 ywmua4 - Eugenol
Img 2254 v8kocy - Eugenol
Img 2259 q1laab - Eugenol
Img 2257 ndaj83 - Eugenol

barbarella

03/07/2012 à 20h28

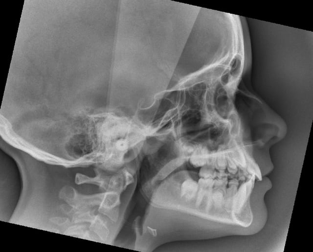
TELE DE PROFIL

Profil lb9vea - Eugenol

barbarella

03/07/2012 à 20h58

longueur utile 12: 6 mm
L 13 : 7 mm
L 14 :7 mm
L 15 : 8 mm

la 16 est en rotation et doit être reculée
la 64 va être extraite
les photos en vue occlusale ont été prises dans un miroir


Avatar transparent iqadnc - Eugenol
adhoc

03/07/2012 à 21h14

Il ne faut pas perdre de temps, conserver au max le E-Space, il est donc important d'ancrer les molaires max (FEO traction haute).
Je demarrerais maintenant pour ce cas en me concentrant aussi sur l'action a tenir pour 13.
Et achtung a ton logiciel d'analyse, les premieres variations angulaires n'affichent pas les unités!


barbarella

05/07/2012 à 11h46

merci pour votre aide et vos conseils


1 eugenol dmj5np - Eugenol
Dancha

06/07/2012 à 18h17

barbarella écrivait:
--------------------
> Bonjour
>
> Cette patiente est âgée de 11 ans et présente une agénésie de 12.
> J'envisage d'ouvrir l'espace et de remplacer la 12 par un implant.

Tu penses vraiment que c'est le bon choix ?
Qu'est-ce qui te l'a fait choisir ?

Daniel


Charlie tn4wmz - Eugenol
lordofthedam

07/07/2012 à 11h58

je me lance: ta patiente est méso tendance brachy, avec une classe 1 squelettique limite. Elle présente par contre un maxillaire en V avec des 6 sup en rotation. Elle a aussi certainement un problème fonctionnel vu la langue basse et les amygdales fortes. Pour ma part je verrais le problème odf dans son ensemble avant de penser à la 13. Je propose donc: quad helix pour reformer le maxillaire puis levé de la supraclusion par un bionator ou une enveloppe linguale nocturne. Puis réévaluation, la classe 2 dentaire devrait être passée en classe 1 si tout va bien et le multibagues devrait permettre d'ouvrir l'espace. Donc pour moi pas d'extraction de suite.
Amicalement.


barbarella

08/07/2012 à 23h42

Le bon choix , j'espère.

La fermeture des espaces entraine en général une diminution de l'orifice piriforme et donc augmenter les difficultés respiratoires.
L'ésthétique est moins beau avec des canines antérieures même retouchées , je privilégie le sourire large et la solution occlusale est moins bonne.

et techniquement j'ai toujours beaucoup de mal à fermer tous les espaces.

Mais je suis à l'écoute de toutes vos remarques.


barbarella

08/07/2012 à 23h43

Merci pour votre proposition


1 eugenol dmj5np - Eugenol
Dancha

09/07/2012 à 12h34

barbarella écrivait:
--------------------
> Le bon choix , j'espère.
>
> La fermeture des espaces entraine en général une diminution de l'orifice
> piriforme et donc augmenter les difficultés respiratoires.
> L'ésthétique est moins beau avec des canines antérieures même retouchées , je
> privilégie le sourire large et la solution occlusale est moins bonne.
>
> et techniquement j'ai toujours beaucoup de mal à fermer tous les espaces.

Tes arguments sont cohérents, cependant quelle expérience as-tu avec les implants pour remplacer une incisive latérale chez un grand adolescent ?

Daniel


barbarella

09/07/2012 à 14h23

J'ai eu un grand ado avec un implant ,l'implant pas de problème mais la couleur de la couronne pas jolie.

J'ai eu un autre grand ado où n'ayant pas réussi à redresser complètement l'axe de la canine , cela s'est terminé par un bridge.

Les autres sont en attente de pris en charge par l'implanto et leur dentiste .

le plus difficile est de redresser l'axe des racines des canines ce qui m'oblige alors à fermer les espaces et extraire l'autre incisive latérales , le facteur financier intervient aussi .


1 eugenol dmj5np - Eugenol
Dancha

10/07/2012 à 10h25

barbarella écrivait:
--------------------
> J'ai eu un grand ado avec un implant ,l'implant pas de problème mais la couleur
> de la couronne pas jolie.
>

Tu ne crains pas une modification de son environnement avec l'âge (les dents peuvent se déplacer toute la vie, pas les implants) ?

> J'ai eu un autre grand ado où n'ayant pas réussi à redresser complètement l'axe
> de la canine , cela s'est terminé par un bridge.
>

Envisages-tu de pouvoir conserver ce bridge tel quel jusqu'à 100 ans (espérance de vie minima que je souhaite à mes patients) ou prévois-tu son remplacement un jour ?

Daniel


barbarella

10/07/2012 à 21h40

Lorsque je prends une décision c'est en concertation avec le chirurgien-dentiste et tous les autres acteurs et au meilleur de mes connaissances du moment.
Je vis au présent et mes patients savent qu'ils peuvent me joindre en cas de problème , je réévalue alors la situation et nous proposons ce qu'il y a de mieux.


1 eugenol dmj5np - Eugenol
Dancha

11/07/2012 à 20h16

Je pense personnellement que l’urgent, c’est cette 13.
Il semble bien qu’elle soit en train de partir vers l’inclusion palatine, sa couronne déborde déjà la 11 (en vestibulaire, elle apparaîtrait plus horizontale sur le téléprofil).
Je te conseille de supprimer 52 et 53 rapidement pour qu’elle ait des chances de reprendre un chemin d’éruption correct.

Dans un deuxième temps, lorsqu’elle aura fait éruption, à ce moment là et seulement à ce moment là sera prise la décision d’ouvrir ou de fermer l’espace d’agénésie.
Le choix se fera alors en fonction de sa position, de sa taille, de sa forme et de sa couleur et également de la tendance générale à la classe II dentaire qui simplifiera éventuellement une fermeture d’espace.

Tu parles de fermeture de l’orifice piriforme et de difficultés respiratoires si une canine est mise à la place d’une incisive latérale.
L’étroitesse des canines sur une télé de face est le signe d’une endo, je suis parfaitement d’accord, par contre je ne crois pas que la mésialisation d’une canine permanente chez un adolescent puisse avoir une action telle qu’elle puisse perturber sa ventilation nasale.

Un implant pour remplacer une latérale manquante, c’est bien sur le papier, moins évident en réalité. Il y a non seulement le problème de l’os nécessaire pour mettre l’implant, mais aussi le vieillissement, ce dont on ne parle que très rarement. N’oublie pas que les dents bougent toute la vie, pas un implant. Au fil des années sa limite gingivale apparaîtra de plus en plus haute par rapport à celles des dents adjacentes.
Dans le cas d’un implant unilatéral comme tu as prévu ici, se développera une asymétrie verticale des collets qui risque de devenir disharmonieuse.

Dans les cas de classe I, lorsque les canines font éruption à leur place normale et qu’il y a agénésie des latérales, des remplacements prothétique peuvent être la solution de choix, dans ton cas à toi je n’en suis pas convaincu.

À ta place, je ne prendrais pas de décision hâtive.

Daniel


Bagheera tudzjy - Eugenol
bagheerra

11/07/2012 à 20h50

Attention aussi à ne pas faire apparaître le nom du patient dans les documents mis en ligne.


1 eugenol dmj5np - Eugenol
Dancha

11/07/2012 à 21h47

bagheerra écrivait:
-------------------
> Attention aussi à ne pas faire apparaître le nom du patient dans les documents
> mis en ligne.

... et il faut aussi "flouter" une partie de son visage afin qu'il ne puisse pas être reconnu.

Daniel


Ylfwcw979cz1jnx9gfqeaxndiuzk - Eugenol
Algi

16/07/2012 à 21h32


Apparemment il manque des documents....

Plein de choses intéressantes mais ce qui n'a pas été dit c'est qu'à 11 ans elle est loin d'avoir terminé sa croissance.
Perso je serai très circonspect sur l'évolution de l'os alveolaire de la 12 surtout si la laterale lacteale est extraite et la 13 distalée... on risque de se retrouver avec un diastème laissant la place pour un implant mais plus d'os pour le planter.... sinon il faudrait donc extraire la 3 de lait, garder la 2 pour capitaliser l'os alveolaire mais courir le risque de ne pas avoir la place pour la 13...

Dancha est un sage on le sait, des cas tellement tordus qu'on n'imaginerait même pas traiter il les a menés à bien, je me rangerais donc à son avis.
--
"On a toujours le choix! Mais entre quoi et quoi?
Vas-y boulégue et l'avenir te le dira!"


1309531 ours brun n5iukf - Eugenol
seespan

17/07/2012 à 19h45

In : Orthodontic management of agenesis and other complexities by michael arvystas.

En cas d'agenesis de lateral: le remplacement de la lateral par une canine est souvent inesthetique car la racine de la premiere premolair est moins volumineuse que la canine. Il va manquer la bosse canine pour le soutient de la levre. Le sourire semble en effet etroit est asymmetrique si seulement une canine a été mesialé pour remplacer une lateral unique.
Le remplacement par un implant est souvent decevant. L'auteur preconise si possible de faire venire la canine dans l'espace occuper normalement par la lateral puis de re ouvrir l'espace (des etudes montre que l'os créer dans ce cas a une tres bonne stabilitée ( Single-tooth implants in young orthodontic patients. Inform Orthod Kieferorthop 1994: 1: 45-62) environs 1% de perte en volume sur quatre ans.
Pour la reconstitution l'auteur du livre recommande un bridge qui est plus esthetique qu'un implant unique (mais l'a pas d'etudes of course, c'est subjectif), le probleme est qu'il faut mutiler deux dans qui sont saine avec probabilité de devoir les devitalisé sur le long terme.


house

14/08/2012 à 07h18

dommage il manque pas mal de documents...

J'ai du mal à imaginer qu'une fermeture d'espace ai des répercussions sur la ventilation du patient
Sur l'effet sur le sourire, la bosse canine aurait un role sur le soutien du sillon naso-génien, ce role est tres discuté, tout comme la disparition de la bosse canine en cas de mésialisation, c'est tres difficilement prédictible.

Je serai plutot de l'avis de Dancha sur prendre son temps pour décider et se préoccuper de l'eruption de la canine.


1309531 ours brun n5iukf - Eugenol
seespan

14/08/2012 à 15h30

house écrivait:
---------------
> dommage il manque pas mal de documents...
>
> J'ai du mal à imaginer qu'une fermeture d'espace ai des répercussions sur la
> ventilation du patient

La plutot d'accord, il y a des études a ce sujet?

> Sur l'effet sur le sourire, la bosse canine aurait un role sur le soutien du
> sillon naso-génien, ce role est tres discuté, tout comme la disparition de la
> bosse canine en cas de mésialisation, c'est tres difficilement prédictible.
La encore avez vous des références ? d'après mon experience la mésialisation des canines donne en effet un sourire plus étroit, après on aime ou on aime pas.

Ce qui me gêne plus c'est de faire travailler la canine qui a une excellente racine comme une incisive lateral et faire travailler la prémolaire comme une canine.
Mais apparament pas de publication qui indique que la situation soit néfaste sur le long terme.

Par contre des publication on montrée que si l'on faisait une éruption guidé d'une 3 à la place d'une incisive lateral, pour ensuite distaliséé la canine à sa place naturel, il y avait une perte très faible d'os au niveau de l'espace de la 2 (De l'ordre de 1% de volume sur 4 ans).

--
หมอจัดฟัน


1309531 ours brun n5iukf - Eugenol
seespan

14/08/2012 à 15h30

erreure