Cookie Consent byPrivacyPolicies.com21 ans ! - Eugenol

21 ans !

Olieve

03/07/2012 à 13h31

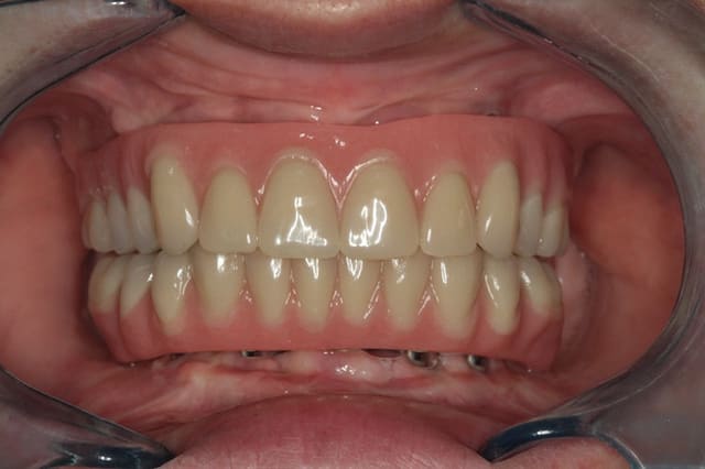
21 ans que ces implants ont été posés ! Pas par moi.. je débutais alors mes études.

Implants à surface lisse, connexions non étanches, du tartre sur les piliers mais aucune perte osseuse (ou vraiment très très peu).

Je dois quand même refaire la résine des PIB

Chapeau bas à mon confrère d'alors en tout cas !

21 h4adec - Eugenol

Imagesca1x6rbd kwb9r6 - Eugenol
Dr Nedjat

03/07/2012 à 14h15

geil! :-)


Olieve

03/07/2012 à 14h39

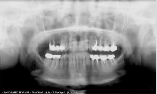
Après nettoyage des piliers :

Img 0210 oyuoai - Eugenol

3f3boxni50k58rq7e9ce9ddqrxgk - Eugenol
dentiste57

03/07/2012 à 14h52

reste plus qu'à changer la taille des piliers non ?


Utilisateur banni

03/07/2012 à 15h53

dentiste57 écrivait:
--------------------
> reste plus qu'à changer la taille des piliers non ?

C’est un peu le principe du pilotis.

Olieve, aurais-tu une photo grand sourire naturel, merci pour ce partage.


Olieve

03/07/2012 à 16h20

Changer les pilotis ?

Ca impliquerait deux nouvelles armatures et la patiente ne se plaint pas de cet espace qu'elle nettoie assez bien.

On se contente juste de renouveler la résine des prothèses. (Je prendrai une photo dès qu'elle seront refaites Posit )


Utilisateur banni

03/07/2012 à 17h25

Olieve écrivait:
----------------
> Changer les pilotis ?
>
> Ca impliquerait deux nouvelles armatures et la patiente ne se plaint pas de cet
> espace qu'elle nettoie assez bien.
>
> On se contente juste de renouveler la résine des prothèses. (Je prendrai une
> photo dès qu'elle seront refaites Posit )

Je serais intéressais de voir les photos avant le changement de cosmétique.

Quel est la fréquence des visites de contrôle ?


Combien de changement de cosmétique en 21 ans ?

En effet si la fausse gencive joue sont rôle esthétique pourquoi refaire l’armature.

La multiplicité d’exemple de réhabilitations sur le long thermes pourrait nous aiguillier pour le choix du cosmétique.


Olieve

06/07/2012 à 12h53

Voilà les photos de la nouvelle résine. (Malheureusement Posit, je n'en avais pas fait avant démontage)

C'est la 2ème fois que l'on renouvelle la résine. Pour le reste : armatures, piliers, vis : tout a 21 ans ! La patiente m'a dit que 2 ou 3 fois une dent s'est décollée.

C'est quand même un cas assez exceptionnel parce que l'hygiène n'est pas tip top, et les contrôles très irrégulier.

Img 0211 kx4wm5 - Eugenol
Img 0213 iz3rcm - Eugenol

Utilisateur banni

06/07/2012 à 13h24

Merci, la prochaine photo dans 10 ans.

En creusant la fausse gencive en face des piliers et en bombant et en la rallongeant (sans contact muqueux) entre les piliers tu peux améliorer l’entretient et l’esthétique.
Il est recommandé de changer une vis mis en tension.
Pour l’adhérence des dents résine, un trou central et 2 trous sur le coté avec un sablage des faces incluse dans la résine devrais résoudre le problème.


Zz cnsu38 - Eugenol
toto48

06/07/2012 à 13h25

ça n'a peut être pas 21 ans, mais l'"implant" en 36 a été découvert lors de la pano en 2005 (en place depuis une dizaine d'année alors d'après les dires de la patiente) et se porte toujours très bien (deuxième pano la semaine dernière).

001 hjn8b5 - Eugenol
016 xmqqzx - Eugenol

Humator t9r5wy - Eugenol
humator

06/07/2012 à 13h29

et oui, c'est à ça qu'on reconnais un bon praticien!

--
N.Hum


Images nv3xcf - Eugenol
au fond du canal

06/07/2012 à 17h09

Monsieur Jourdain faisait de l'implantologie sans le savoir...


Olieve

06/07/2012 à 17h21

posit écrivait:
---------------
> En creusant la fausse gencive en face des piliers et en bombant et en la
> rallongeant (sans contact muqueux) entre les piliers tu peux améliorer
> l’entretient et l’esthétique.

Vu la stabilité du cas et la satisfaction de la patiente de ses anciennes prothèses, j'ai préféré faire une copie a l'identique de l'ancien profil de la résine. Parfois le mieux est l'ennemi du bien.

> Il est recommandé de changer une vis mis en tension.

Malheureusement, je ne pense pas que je puisse encore trouver ces pièces (Ce sont des implants Denar, si quelqu'un a une adresse ? )


Fresh watermelon 640x562 udulqz - Eugenol
gulguch

07/07/2012 à 01h03

Olieve écrivait:
----------------
>
> C'est quand même un cas assez exceptionnel parce que l'hygiène n'est pas tip
> top, et les contrôles très irrégulier.
>

Et oui mais c'est du titane lisse et ça résiste beaucoup mieux aux périimplantites, ça serait bien d'y revenir, si des fabricants d'implants nous entendent...


Imagesca1x6rbd kwb9r6 - Eugenol
Dr Nedjat

07/07/2012 à 01h12

bonsoir , je me permet d'ajouter une thèse ici que je trouve intéressante sur les états de surface.
bonne soirée!

http://archive.bu.univ-nantes.fr/pollux/get.action;jsessionid=E30F39D65352FD7E3E2AD2F156055B51?id=12bab22d-e7e0-44e0-8770-0ad8f6f25c50

je viens de voir que le lien a des problèmes alors voilà le fichier


Fresh watermelon 640x562 udulqz - Eugenol
gulguch

07/07/2012 à 01h39

Dr. Nedjat, on connait tous ça, les avantages du sablé OK, OK.
Mais bon, dans la vie il y a les gros problèmes, et les petits problèmes.
Il se trouve que le problème no 1 des implants, c'est l'entretien insuffisant par le patient, et la périimplantite.
Ayant essayé en 18 ans je ne sais combien de types d'implants j'ai toujours vu, sur les patients non brosseurs:
-sur les surfaces tres rugueuses - plasma spray- des periimplantites galopantes.
-sur les surfaces moyennement rugueuses, SLA par ex, perte osseuse plus ou moins rapide.
-sur le titane lisse, perte trés lente.
D'autres facteurs jouent, évidemment, comme le diamètre.
Alors j'échangerais volontiers les avantages du sablé, peut etre 0,5 mm de perte PRIMAIRE au collet en moins ... contre l'avantage du lisse, la résistance à la périimplantite.
Sur le titane lisse l'os au départ s'arrète à la première spire comme dit Misch.
Entendons nous bien, on ne parle que du 1/3 cervical de l'implant, le reste a tout intéret à posséder une surface rugueuse.


Imagesca1x6rbd kwb9r6 - Eugenol
Dr Nedjat

07/07/2012 à 02h41

gulguch écrivait:
-----------------
>bonsoir gulguch!
je ne voulais contredire personne, ni faire un débat car chaque opinion est respectable, il y a des avantages et des inconvénients des deux côtés lisses et rugueux.
Mon opinion c'est que les periimplantites existent dans les deux cas, et que l'usinage est aussi à prendre en partie en compte ( mais n'explique pas tout). Si des résidus restent sur l'implant (ce qui ne veut pas dire que l'implant est non stérile), cela sera davantage un problème sur une surface rugueuse que sur une surface lisse.

http://www.begoimplants.es/noticias/surpises-in-the-land-of-the-microns.pdf

ce n'est bien sur pas le seul élément , pour ma part ( ce n'est que mon opinion) je pense que le plus important c'est de préserver au maximum le périoste, le micro gap aussi chez les deux pièces.

Müller CK, Thorwarth M, Chen J, Schultze-Mosgau S: A laboratory study comparing the effect of ridge exposure using tissue punch versus mucoperiosteal flap on the formation of the implant-epithelial junction. Oral Surg Oral Med Oral Pathol Oral Radiol Endod. 2012 Jan 25


Fresh watermelon 640x562 udulqz - Eugenol
gulguch

07/07/2012 à 12h17

Hello Dr. Nedjat,
je vais vous répondre en MP pour ne pas emmm...er tout le monde avec mon titane lisse!


Grueavatar nptrc9 - Eugenol
Le Choixpeau magique

07/07/2012 à 14h54

Mais non, continue ici, c'est intéressant !