Cookie Consent byPrivacyPolicies.comPrise de teinte - Eugenol
cab2

05/07/2012 à 12h42

Comme pour tous mes confrères , le moment de la prise de teinte dans l'élaboration d'une prothèse constitue souvent une moment d'angoisse . Tous, nous essayons de produire du travail de qualité, et la couleur réussie d'une céram. est l'accomplissement recherché de notre travail .
Je suis à le recherche d'un appareillage qui m'aiderait à "prendre" une teinte : j'ai pris des renseignements sur l'Easy Shade Vita , le shade eye Shofu . Les connaissez vous ? vous apportent-ils pleine satisfaction ? Vos avis m'intéressent (peut être que nombre de nos confrères le seraient aussi !!? )
Merci.


003 penrd2 - Eugenol
Cingulum

05/07/2012 à 14h52

un teintier et des photos ...

--
Dr Cingulum
-----Ancien interné----
----Attaché à l'apex----
http://www.clinic-all.fr/ formation par passion


pirlipili

05/07/2012 à 16h29

pour les cas simple j'utilise le teintier vita 3D avec confirmation de mon assistante dentaire et du patient si necessaire.
Sinon j'envoie au prothesiste, comme cela s'il y a une erreur c'est de sa faute ^^.


doagui

05/07/2012 à 16h43

C'est gentil à vous mais personne ne répond à la question posée là ^^.


Morgan ztbb1b - Eugenol
BONNET jc

05/07/2012 à 16h44

Prothésiste.


Toriko ucqp9i - Eugenol
Giantcoco

05/07/2012 à 16h48

pour moi aussi c’est la galère, dans la prise de teinte mais aussi dans la transmission au labo . Je suis donc a la recherche d'une formation en tandem prat/prothe pour une optimisation des résultats.


003 penrd2 - Eugenol
Cingulum

05/07/2012 à 17h20

Je trouve ces appareils de prise de teinte assez gadget...
la prise de teinte c'est:
- 1 teinte de base dentine
- 1 teinte référence émail, bord libre
- Une cartographie de la dent (mamelons, opalescence , etcc....)
- Un état de surface
- une visualisation des lignes de transitions...

Mettre des milliers d'euro dans un truc qui te dit A2,35...
Bof, pas convaincu
La difficulté c'est avoir un prothésiste qui reproduit ce que tu lui donnes comme info...

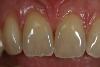
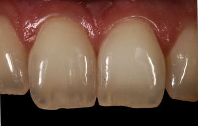
exemple de photo :


--
Dr Cingulum
-----Ancien interné----
----Attaché à l'apex----
http://www.clinic-all.fr/ formation par passion

Img 0648 xwekom - Eugenol
Img 0044 mjrvhy - Eugenol
Img 0270 gdqu6n - Eugenol
Img 0252 pwt8oa - Eugenol
Img 8895 h97oqo - Eugenol
Img 9317 qyur4n - Eugenol
Img 0388 wxfndy - Eugenol
Img 8892 ef6lsq - Eugenol

Blason dql7mj - Eugenol
growler

05/07/2012 à 17h38

bien souvent on néglige l'évaluation du taux de translucidité et sa répartition qui peut être très variable comme en témoigne les photos de cingulum. Il est vrai qu'il faut travailler avec un céramiste qui puisse interpréter et transposer nos constatations et ça c'est loin d'être évident.

cingulum, tu te sers parfois du teintier ivoclar pour des choix de teinte dentine?


scarabee

05/07/2012 à 17h53

J'ai acheté il y a 6 mois le vita easy shade.
Au niveau de la prise de teinte il y a quelque fois des érreurs.
Meme si l'on peut prendre plusieurs teintes sur la dent(incisal,collet..).
A mon avis à 1600 euros,cela fait un peu cher pour ce qu'il m'apporte au quotidien.


lanwalei

05/07/2012 à 18h29

teintier vita 3D+ photos et eventuellement complété par teintier électronique en cas de doute.
souvent l'électronique a du mal avec les dents tres translucides ou tres saturées (comme nous).
Par contre le teintier électronique est pas mal pour controler si la céram est bien à la teinte enregistrée une fois montée par le prothésiste (j'ai eu 2 ou 3 surprises).


003 penrd2 - Eugenol
Cingulum

05/07/2012 à 19h13

j'utilise le teintier Ivoclar chromascop, qui donne l'émail et la dentine

--
Dr Cingulum
-----Ancien interné----
----Attaché à l'apex----
http://www.clinic-all.fr/ formation par passion


Grueavatar nptrc9 - Eugenol
Le Choixpeau magique

05/07/2012 à 20h55

Cingulum écrivait:
------------------
> j'utilise le teintier Ivoclar chromascop, qui donne l'émail et la dentine

Est-ce que tu peux expliquer stp comment il s'utilise, je n'ai jamais trouvé d'info là dessus.


003 penrd2 - Eugenol
Cingulum

05/07/2012 à 21h10

si tu prends A2, le bord libre du teintier c'est émail A2, si tu prends la base c'est Dentine A2....
ensuite c'est regroupé par tonalité, jaune, grise, marron etc...
Tu regardes de loin tu choisis la tonalité, et ensuite la saturation...
je fais une photo dentine, une photo teinte émail et un macrophoto pour la cartographie. Tout mes cas sont fait comme ça, le prothésiste voit 1 patiente par an... pas plus...

--
Dr Cingulum
-----Ancien interné----
----Attaché à l'apex----
http://www.clinic-all.fr/ formation par passion


87 ujotte - Eugenol
Spatouille

13/07/2012 à 21h39

cingulum, aurais-tu dans tes archives des photos de céramo métal posées ? appliquais tu le même protocole de prise de teinte ? (y a pas de raison mais ...) merci !


Jt2 on5ydf - Eugenol
Netcar1

14/07/2012 à 00h17

J'utilise l'easyshade sur lequel je me repose beaucoup + le teintier Vita + photo.
Mon prothésiste en a un aussi dans son labo, ce qui lui permet de contrôler sa céram'.

L'easyshade est bruyant et demande un temps de chauffe.

Il m'a aidé car mes prises de teinte étaient souvent moyennes voire à côté. Mon céramiste ayant le même, ça nous a permit de trouver un langage commun, rapide et efficace.

Il ne donne pas l'état de surface, ni la transparence mais en complétant avec des photos et quelques consignes, il y a rarement des retouches et des retours au labo.


87 ujotte - Eugenol
Spatouille

16/07/2012 à 10h10

up !


goltooth

16/07/2012 à 20h03

Lors d une soiree en californie, je me suis trouve a cote d un dentiste qui est specialise dans "l esthetique" et je lui ai demande comment il gerait la refection d une seule incisive. Il m a repondu qu il ne faisait jamais une seule incisive mais systematiquement les quatres. Arretons d etre petit joueur....


le dabe

17/07/2012 à 11h56

Cingulum écrivait:
------------------
> Je trouve ces appareils de prise de teinte assez gadget...
> la prise de teinte c'est:
> - 1 teinte de base dentine
> - 1 teinte référence émail, bord libre
> - Une cartographie de la dent (mamelons, opalescence , etcc....)
> - Un état de surface
> - une visualisation des lignes de transitions...
>
> Mettre des milliers d'euro dans un truc qui te dit A2,35...
> Bof, pas convaincu
> La difficulté c'est avoir un prothésiste qui reproduit ce que tu lui donnes
> comme info...
>

C'est tout à fait ça!! Les spectro-colorimètres et autres photomètres ne sont qu'un complément à la prise de la couleur. (Et oui, ce n'est pas la couleur qui est une des composante de la teinte mais le contraire : couleur=teinte+saturation+luminosité.)
Ils ne "concoivent" la couleur qu'en 2D. Le prothésiste ( le bon) va la percevoir en 3D. L'aspect final d'une dent n'est que le résultat d'une succession de masse plus ou moins transparentes et colorées. Il n'y a que l'analyse visuelle qui peut la formaliser et permettre sa reproduction.
Si ton prothésiste est à portée de caillou, envoie lui les patients, si c'est gratos en plus....
Sinon, photos, photos, et photos. Avec un bon appareil, pas un smartphone! Et avec des pastilles de référence, et sous différents axes de prises de vue, et avec un prothésiste qui sait analyser tout ça!