Cookie Consent byPrivacyPolicies.comAngle de 135° entre les axes coronaire et radiculaire - Eugenol

Angle de 135° entre les axes coronaire et radiculaire

cycy

12/07/2012 à 19h53

Bonjour,
Je suis entrain de faire une observation clinique d'une patiente de 10 ans.

Son ANB est de 4°
Son maxillaire est en rotation postérieure
Sa mandibule est brachy et rétro

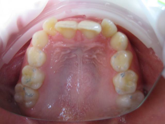
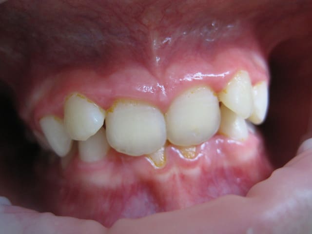
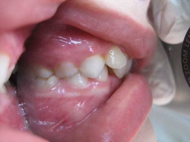
Elle présente une linguo-version et une égression des incisives maxillaires et mandibulaires. Le truc c'est que les racines de 11 et 21 semblent bien positonnées sur la télé de profil, alors que les faces vestibulaires sont très lingualées.

A part faire dévitaliser et couronner 11 et 21 pour leur redonner un axe correct je ne vois pas quoi faire. Mais j'aimerais trouver une autre solution

Merci, Cycy

Photo de face hxhumr - Eugenol
Photo de profil l1nce3 - Eugenol
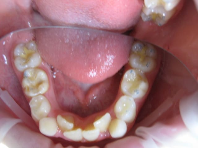
Photos endobuccales  1  ap7xrd - Eugenol
Photos endobuccales  2  wxrxfq - Eugenol
Photos endobuccales  3  drlbw0 - Eugenol
Photos endobuccales  4  tq9ucn - Eugenol
Photos endobuccales  5  peghci - Eugenol
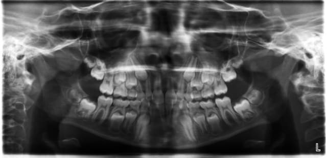
Radio pano tjpoqu - Eugenol
Radio t l  de face wliktb - Eugenol
Radio t l  de profil tcayab - Eugenol

edje ouaïse

12/07/2012 à 20h07

Bonjour,

C'est une Cl II/2 non ?


Charlie tn4wmz - Eugenol
lordofthedam

12/07/2012 à 20h39

je pense que tu as mal regardé ta télé et que tu t'es fait avoir par la superposition des latérales et des centrales.


Img 0812 mvp6i0 - Eugenol
jeamba

13/07/2012 à 02h31

Je ne sais pas si ta question est sérieuse? Tu fais l'analyse céphalo, les photos et tu te poses la question quoi faire? C'est une classeII 2.Si tu ne fais pas de l'ortho, adresse car c'est le bon moment pour traiter et dévérouiller. Quant à la dévitalisation j'espère que c'était de l'humour.


Picture1111 zburnd - Eugenol
saidkholoki

13/07/2012 à 08h55

lordofthedam écrivait:
----------------------
> je pense que tu as mal regardé ta télé et que tu t'es fait avoir par la
> superposition des latérales et des centrales.

+1
je crois que la forme très bombée de la couronne de centrale sur la radio, et qu'on ne voit pas sur les photos, est due à la superposition des quartes inciives. Quand au traitement, il s'agit d'un traitement classique d'un cas de classeII div 2.
Attention quand même aux racines des centralesavant de commencer, une retroalvéolaire pourrait être utile.
--
A suivre...
Said


cycy

13/07/2012 à 13h25

Jeamba, je me demandais que faire uniquement par rapport à l'angulation entre les axes radiculaire et coronaire des incisives. Pour le reste j'ai vu que c’était une classe II2
Merci pour ton sarcasme, ça m'aide beaucoup.

Et sinon merci pour vos réponses.


denlv35

13/07/2012 à 18h39

lordofthedam écrivait:
----------------------
> je pense que tu as mal regardé ta télé et que tu t'es fait avoir par la
> superp


+1 pour la superposition des racines des centrales et latérales.
regarde bien la téléradio on voit la racine des centrales avec leur apex face vestibulaire de la canine définitive
Il n'y a pas de doute les racines sont normales : car si il y avait un angle si prononcé entre l'axe radiculaire et l'axe coronaire,elles paraîtraient beaucoup plus courtes sur la pano ou la télé de face.




Img 0812 mvp6i0 - Eugenol
jeamba

13/07/2012 à 21h13

Je suis désolé je ne l'avais pas compris ainsi. Et j'espère que les réponses des confrères t'ont satisfaites.


cycy

16/07/2012 à 19h42

Oui je te remercie.
Je débute le métier.
Effectivement je me suis mélangée dans les racines des latérales et centrales.