Cookie Consent byPrivacyPolicies.comMerci !!! - Eugenol

Merci !!!

Samy8 mgu6if - Eugenol
oliverKapaspeur

18/07/2012 à 16h21

bonjour à tous,
je lis quotidiennement les post du forum, mais je n'en écris que rarement.

J'ai posé ce matin deux implants en 24 et 26. J'ai placé mes deux premiers Master S de chez Easy. Je tiens à remecier Growler de m'avoir encouragé à essayer cette marque, l'essai a été satisfaisant.

Par manque de largeur de crete en 24 j'ai du avoir recours à la technique de clivage osseux (bone Splitting). Je remercie D57 et Pxav pour les cas qu'ils postent et qui m'ont beaucoup inspiré.

Par acquis de conscience j'ai placé une membrane AT avec du Kasios en vestibulaire pour tenter une ROG simultanément à la pose d'implant. Merci Pluton pour les posts sur ces matériaux,
j'ai bien aimé les manipuler.

Ce petit post pour témoigner ma gratitude à tous ceux qui postent des cas et donnent des conseils avisés aux débutants comme moi.


Photo pluton1b h9n4ea - Eugenol
pluton

18/07/2012 à 16h31

super...;-)
une petite pano...?
et puis, qui sais, peut être qu'un jour tu nous mettras un cas en photo ou vidéo...et quand on tombe dedans, on peut pas s'empêcher de recommencer...;-)

pour la membrane, la AT est bien, mais j'ai trouvé encore mieux (très souple et ultra facile à manipuler): la ACE conform...pas plus chère bien négociée chez méga...;-)


Samy8 mgu6if - Eugenol
oliverKapaspeur

18/07/2012 à 16h42

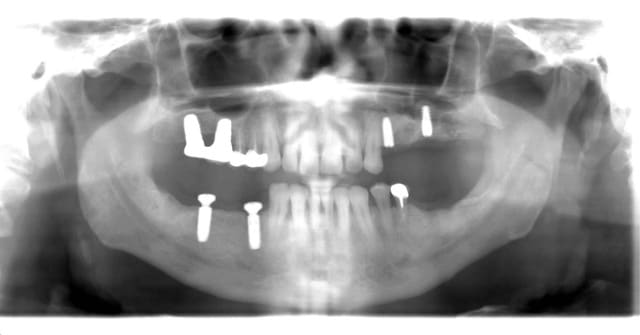
Voila je me lance, mais je n'ai que les RX.
24: largeur de crete 3mm, hauteur 9.8, j'ai placé un 3.75x10
26: largeur de crete 4mm, hauteur 4.7, j'ai placé un 4.2x7
A vos critiques et au plaisir de vous lire.

403 x 2012 07 18 10 29 00 3 s0mk7h - Eugenol
403 x 2012 06 13 18 06 36 3 mpr1us - Eugenol
403 x 2012 07 18 10 50 12 3 nmso0i - Eugenol

Blocperso talon jer3sl - Eugenol
mrquentin

18/07/2012 à 17h02

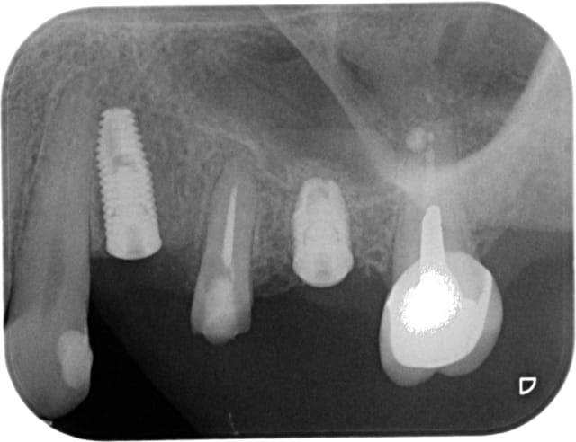
je fais pas d'implant, alors respect; néanmoins, j'aurais extrait 25 car lésion à l'apex, et d'après la derniere radio, le nouveau logement de tenon a casi éliminé la paroi mésiale.


Photo pluton1b h9n4ea - Eugenol
pluton

18/07/2012 à 17h20

mrquentin écrivait:
-------------------
> je fais pas d'implant, alors respect; néanmoins, j'aurais extrait 25 car lésion
> à l'apex, et d'après la derniere radio, le nouveau logement de tenon a casi
> éliminé la paroi mésiale.

+1, tu fais un petit bridge 24/26...;-)

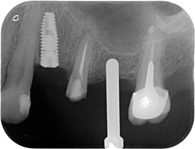
petite remarque: tu portes des loupes lors de tes chir?
si oui, fais attention, çà déforme un peu les perspectives...donc peut fausser ton axe de forage (cf ton implant en 24 qui "louche" vers la 23...)
sinon, tu utilises des guides? si non, je te le conseille, au moins au début...(j'en utilise toujours dans certaines situations...) tiré d'un simple wax up même vite fait avec des couronnes préformées/moules ions avec repères de l'axe de forage...

enfin, je dis çà, c'est juste une petite remarque en passant pour éviter le "houps...et merde..."...;-)


Samy8 mgu6if - Eugenol
oliverKapaspeur

18/07/2012 à 17h32

Pour Mrquentin, en effet il est prévu d'extraire la 25, mais je préfere la garder pour l'instant car la patiente porte un partiel résine , et cette 25 me permet (enfin je l'espere) d'éviter les contraintes sur les implants lors de la mastication.

Pour pluton, ni loupes ni guide chir, à main levée... Mais je pense que ma prochaine chir se fera avec guide. L'implant 24 m'a un peu fait peur par sa proximité avec 23.
A part ça, tu pourrais m'expliquer a technique pour réaliser le guide chir? Merci d'avance


Pepsi tmi4vp - Eugenol
cartman

18/07/2012 à 17h47

Merci pour ce post,

peux tu nous décrire ta technique de bone splitting?
Type de lambeau, piezo, quels spreaders etc?


Merci !


Samy8 mgu6if - Eugenol
oliverKapaspeur

18/07/2012 à 17h59

Pour Cartmann:
le technique de bone Splitting, telle que je l'ai vue dans les posts de D57 et Pxav, constiste à initier le clivage osseux en enfoncant une lame 15 sur la crete osseuse dans un axe M-D vers l'apex. Dans la "tranchée créée par ta lame 15 tu insere des ciseaux à os toujours en direction apicale et le clivage se fait progressivement.
Si je fais erreur n'hesitez pas à me corriger.


S2y2o1v7q53ws4r5wy6ou8czrpom - Eugenol
pxav

18/07/2012 à 18h08

oliverKapaspeur écrivait:
-------------------------
> Pour Cartmann:
> le technique de bone Splitting, telle que je l'ai vue dans les posts de D57 et
> Pxav, constiste à initier le clivage osseux en enfoncant une lame 15 sur la
> crete osseuse dans un axe M-D vers l'apex. Dans la "tranchée créée par ta lame
> 15 tu insere des ciseaux à os toujours en direction apicale et le clivage se
> fait progressivement.
> Si je fais erreur n'hesitez pas à me corriger.

Très bonne technique compte tenue du type d'os, et l'espace restreint.
J'aime bien le petit sinus lift, mais attention à tes axes.
photos?
--
xbk
"Si tous ceux qui croient avoir raison n'avaient pas tort, la vérité ne serait pas loin" Dac Pierre


Samy8 mgu6if - Eugenol
oliverKapaspeur

18/07/2012 à 18h16

non, pas de photos désolé... Je pensais pas poster ce cas, surtout que c'est mon premier bone splitting et mon deuxieme sinus lift.
Il me reste bcp a apprendre.


Photo pluton1b h9n4ea - Eugenol
pluton

18/07/2012 à 18h42

oliverKapaspeur écrivait:
-------------------------

> A part ça, tu pourrais m'expliquer a technique pour réaliser le guide chir?

simple:

tu fais des empreintes d'étude à l'alginate + mordu (silicone, cire, etc...) éventuellement

tu mets un bourrelet de cire rose et tu montes quelques moules ions/couronnes préformées
çà te donnera en plus un aperçu du rendu esthétique probable au final et donc t'évitera le piège par ex de la fausse gencive céram pas prévue et/ou disgracieuse qui peut être source de conflit avec ton patient...

tu fais une plaque thermoformée ou tu fais faire par ton labo un petit appareil en résine transparente plein au niveau des dents que tu dois remplacer et tu fores avec un foret usagé à travers en ayant pris tes mesures (c'est quand même plus facile sur de dessiner sur le plâtre que dans la bouche des patients...;-)) et rien n'empêche non plus de marquer au feutre permanent la direction sur le guide...ou de faire une "fenêtre" de visualisation vestibulaire (mieux pour l'irrigation...)

le but n'est pas forcément de te guider totalement, mais au moins de pointer et te donner la bonne direction avec le foret pilote...;-)

je regarderai si j'ai encore quelques photos de guides de ce genre...


Pepsi tmi4vp - Eugenol
cartman

18/07/2012 à 18h52

Merci

pour Pxav et D57, est ce que vous realisez des split osseux verticaux?
Cat en cas de fracture de la paroi osseuse?
Même protocole pour la mandibule que le maxillaire?


Img 1744 z0evts - Eugenol
dumaille

19/07/2012 à 00h57

oliverKapaspeur écrivait:
-------------------------
> non, pas de photos désolé... Je pensais pas poster ce cas, surtout que c'est mon
> premier bone splitting et mon deuxieme sinus lift.
> Il me reste bcp a apprendre.
t'as fait une voie latérale pour gagner 2mm?

--
La vie est une fête!


Samy8 mgu6if - Eugenol
oliverKapaspeur

19/07/2012 à 11h27

non, une voie crestale...


Photo pluton1b h9n4ea - Eugenol
pluton

19/07/2012 à 13h35

pour oliver, en fouillant dans mes photos, j'ai retrouvé çà...
un peu ancien le cas, pas super beau à montrer (les modèles en plâtre hein, parce que la patiente çà va toujours impec...;-))

mais çà te donne une idée de ce que tu peux faire pour t'aider dans tes axes...;-)

Img 2648 mjfeki - Eugenol
Guide yaapyr - Eugenol
Img 2646 epzcln - Eugenol
Img 2647 rycgga - Eugenol

Samy8 mgu6if - Eugenol
oliverKapaspeur

19/07/2012 à 13h49

Merci pluton pour ces infos. Je vais vraiment m'y mettre, ça a l'air tres simple en effet.


Avatar ow44t3 - Eugenol
Chicot

25/07/2012 à 18h35

oliverKapaspeur écrivait:
-------------------------
> non, une voie crestale...

alors c'est un Summers pas un sinus lift

--
;O)


209209668 fh2mys - Eugenol
fredo667

25/07/2012 à 19h54

Salut,

je pense que tu peux etre beaucoup plus entreprenant coté longueur de soulevé.

Regarde ce cas, il y avait 5.5 en hauteur, tu sous-fores de 1 mm à ta larguer quasi definitive, tu fractures SANS rentrer dans le sinus. Puis remplissage de la cheminée ( un remplissage par mm que tu veux gagner), ici 5 mm donc 4/5 remplissage, impaction douce à chaque fois puis l implant fini et tu te retrouve à 10 mm.

Pano wdwh22 - Eugenol

Totor06

26/07/2012 à 00h25

ET ça, ça vaut quoi ? (pas en euro, en intérêt)
Utile, gadget , indispensable ?
Qui connait ?

http://pageflip.bredent.com/FR/skyplanx/skyplanx.html


Logo m4n3gc - Eugenol
drmarcus

26/07/2012 à 09h48

Totor06 écrivait:
-----------------
> ET ça, ça vaut quoi ? (pas en euro, en intérêt)
> Utile, gadget , indispensable ?
> Qui connait ?
>
> http://pageflip.bredent.com/FR/skyplanx/skyplanx.html

A vrai dire Euro et Interet sont liés.

Pour faire court la 3D c'est top au cabinet mais pas pour tous les cas. Forcément quand on a l'habitude de planter on trouve facile ce que d'autres pourraient trouver un peu compliqué; c'est comme pour tout!
J'ai fait le tour de tous ces systèmes. Certains à venir semblent prometteur encore faudra t'il que ce soit accessible en terme de coût. Robodent c'est très bien mais bonjour le porte monnaie, par exemple.
Les systèmes à tubes sont très aléatoires; l'imprécision est notoire somme toute.
UN SEUL sort du lot: le système POSIT
Désolé mais c'est vrai et d'un rapport coût service rendu acceptable. (Sinon il va augmenter ses tarifs LOL)



--
"La vis est à l'implant ce que la carie est à la dent!" (Pozzi)


209209668 fh2mys - Eugenol
fredo667

28/07/2012 à 15h11

drmarcus écrivait:
------------------
> Totor06 écrivait:
> -----------------
> > ET ça, ça vaut quoi ? (pas en euro, en intérêt)
> > Utile, gadget , indispensable ?
> > Qui connait ?
> >
> > http://pageflip.bredent.com/FR/skyplanx/skyplanx.html
>
> A vrai dire Euro et Interet sont liés.
>
> Pour faire court la 3D c'est top au cabinet mais pas pour tous les cas.
> Forcément quand on a l'habitude de planter on trouve facile ce que d'autres
> pourraient trouver un peu compliqué; c'est comme pour tout!
> J'ai fait le tour de tous ces systèmes. Certains à venir semblent prometteur
> encore faudra t'il que ce soit accessible en terme de coût. Robodent c'est très
> bien mais bonjour le porte monnaie, par exemple.
> Les systèmes à tubes sont très aléatoires; l'imprécision est notoire somme
> toute.
> UN SEUL sort du lot: le système POSIT
> Désolé mais c'est vrai et d'un rapport coût service rendu acceptable. (Sinon il
> va augmenter ses tarifs LOL)
>
>
>
> --
> "La vis est à l'implant ce que la carie est à la dent!" (Pozzi)

Quand tu dis systeme à tube, tu inclus keystone (ex CAD implant), simplant? Si c 'est lme cas, je ne te rejoint pas, un max d'étude, et d'expériences personnels nous ont déjà démontré que c'est extrement précis, mais qu'un chir qui utilise ces guides doit impérativement savoir voler en solo pour reprendre la main si quelque chose lui semble différent entre planification initial et ce qu'il voit en bouche.

Cependant, même si je n'ai encore pas bossé avec Posit, le rapport que j ai eu avec lui était extremement sympathique, et si tu dis que c'est efficace, je veux bien te croire.