Cookie Consent byPrivacyPolicies.comMon premier petit cas de facettes - Eugenol

Mon premier petit cas de facettes

dentine34

21/07/2012 à 00h14

Bonsoir,

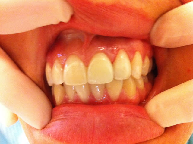
Mes premières facettes, 21 et 22, sur patiente de 20 ans.
Sa demande était son vilain composite sur 21 qu'elle avait déjà fait trois fois, et maintenant la dent est sensible au froid; ainsi que la 22 qui était trop courte par rapport à la 12 et elle déteste voir sur les photos le trou noir que ça provoque quand elle sourit.

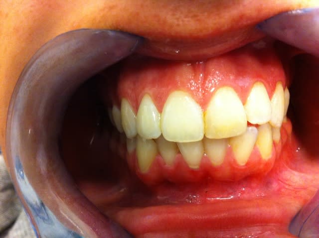
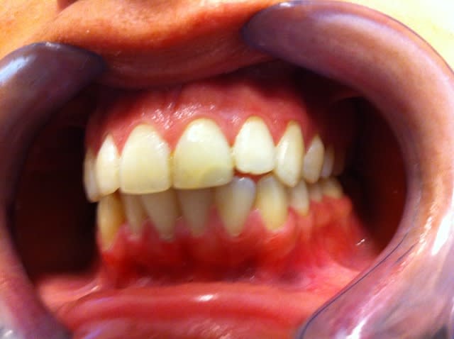
Facette Emax et collage Variolink (photo le jour de la pose). Provisoire faite avec du voco structure (la photo des prov a été prise à J+8), pas besoin de ciment temporaire.

Elle a une contention en palatin de 13 à 23. Je n'ai pas souhaité la déposer car ne me gênait pas pour le retour palatin. Par contre, impossible de mettre la digue....je vais me faire allumer! (d'habitude je la met systématiquement que ce soit endo, collage inlay ou compo direct). Donc c'est pour ça que mqa limite est bien supra.

Cependant, pour les prochaines je ferais du juxta gingivale (et pose de digue) car là je m'inquiète du vieillissement et de la coloration possible du joint?!

Photos prise avec mon Iphone

A vos avis...;)

Img 0827 obbon1 - Eugenol
Img 0845 grzujg - Eugenol
Img 0850 bcdt7d - Eugenol
Img 0848 z5htc7 - Eugenol
Img 0831 u8frec - Eugenol
Img 0847 gect7q - Eugenol

Img 3657 cwjvqm - Eugenol
alapex

21/07/2012 à 09h42

Choli ...
Bon , plus que 4 ou 5 et tu t'achètes un appareil photox , un vrai ...pour faire un press book qui te fera en poser plus ...)))


Gaudi parc guell lezard  ntokms - Eugenol
lezard

21/07/2012 à 10h18

Elles sont très bien les limites, sympa!



Bagheera tudzjy - Eugenol
bagheerra

21/07/2012 à 15h29

Très beau résultat.
Emax monobloc maquillée ou bien chape emax + stratification ?
Les préparations ne sont un peu plus que pelliculaires, avais-tu besoin d'être aussi délabrant ?


Humator t9r5wy - Eugenol
humator

22/07/2012 à 11h52

bravo, de ce qu'on en voit (photos beurk! ;-) ),beau résultat sur un cas assymetrique, donc pas facile...

--
N.Hum


dentine34

24/07/2012 à 00h31

Merci pour vos comm! Mais faut noter que le prothé y est pour bcp...surtout dans un cas assymetrique! Il a fallu avec la patiente, le prothé et moi faire un rdv special pour la prise de teinte ( manuelle et electronique). Ce n'est pas de l'emax monobloc mais une chappe Emax+stratification! Ce n'etait pas facile pour le prothé car 0,7 mm d'epaisseur donc il avait pas le droit à l'erreur!
Baguerra comment aurais-tu fait les préparations toi pour etre moins mutilant?


Images nv3xcf - Eugenol
au fond du canal

24/07/2012 à 11h13

Comment te dispenses-tu de ciment provisoire? As-tu fais un moulage du wax up, rempli de réine provisoire, qui est resté "collé" sur les préparations après polymérisation, et dont tu as éliminé les excès?
Je te demande ça car j'ai toujours peur que laissé de la sorte ça se décolle. Du coup je sors les couronnes provisoires, je les "colle" au ciment provisoire ou bien avec un CVI léger, mais une fois sur deux ça se casse la gueule, ce qui me freine beaucoup pour les cas de facettes.


dentine34

24/07/2012 à 11h44

Effectivement, je fais une clé des wax-up et j'injecte ma résine pour provisoire. Apres deux possibilités:
- Soit je laisse prendre la résine un peu plus longtemps et alors elle reste en place sur les préparations et à la fraise flamme j'enlève les exces et poli du mieux que je peux les limites.
- Soit les provisoires viennent avec. Dans ce cas là je polies les limites tranquilou et je scelle les prov en mettant au milieux de la prép un point de etching+prime+bond+cpr fluide, je place les prov et je polymerise au travers.

En tout cas, je pense que si tes provisoires restent "collées" à tes prep ne les retirent pas...ça tiens!


Images nv3xcf - Eugenol
au fond du canal

24/07/2012 à 15h30

Je vais tenter alors. Merci de ta réponse.


Cquenotte

26/08/2012 à 13h02

Salut à tous,

J'ai plusieurs petites questions :

- n'avez vous pas peur qu'une facettes se décolle soit seule soit lors de l'utilisation des dents; suggérez vous au patient de ne plus utiliser les découpeuses en question pour ne pas prendre de risque ?

- dans ce cas la patiente se plaint d'une sensibilité suite aux compos : la préparation d'une facette même à minima ne va t-elle pas augmenter cette sensibilté ?

- et enfin ( et là je sais que je vais me faire tuer) : en quoi la pose d'une digue aurait elle permis de faire des préparations juxta gingivale ? ( on peut faire du juxta même sans digue ! )


Merci pour vos réponses.


dentine34

28/08/2012 à 12h43

Perso, je n'ai pas assez de recul pour te parler de mon experience sur le décollage de facettes antérieures.
En urgence et en 3ans de pratique, j'ai vu une patiente avec une facette décollée.
Pour ma part, j'essai d'être le plus rigoureux dans la technique de collage...digue et étapes respectées scrupuleusement. Par exemple je colle au variolink, pourtant au cab il y a du RelyX mais j'ai peur de ces produits tout en un! Surtout pour les facettes..pour une couronne en Emax passe encore.
La patiente ne se plaint plus de sensibilité car certes une pellicule d'émail est enlevée mais tout les tubulis sont bien oblitérés et tout est étanche du au collage et à la précision d'adaptation de la facette.
Pour la digue et les limites juxta-gingivales: dans le cas present la patiente avait une barre de contention en palatin, j'avais peur de l'enlever, sûrement que j'ai eu tord. Bref, sachant que je ne pouvais pas mettre la digue, j'ai fais des limites supra, comme ça l'humidité du sulcus est moindre. En tout cas, si tu veux coller des facettes, pose la digue systematiquement car l'efficacité et le confort sont accrus.


003 penrd2 - Eugenol
Cingulum

28/08/2012 à 13h32

Cquenotte écrivait:
-------------------
> Salut à tous,
>
> J'ai plusieurs petites questions :
>
> - n'avez vous pas peur qu'une facettes se décolle soit seule soit lors de
> l'utilisation des dents; suggérez vous au patient de ne plus utiliser les
> découpeuses en question pour ne pas prendre de risque ?

Il faut savoir que les forces d'adhésions entre la céramique mordançable (emax, empress 2) et les tissus dentaire sont d'environ 25-30Mpa, soit 300Kg/cm² ... il n'est pas possible de décoller une facette vitreuse correctement collée.
En cas de choc, la dent et la facette casse de manière cohésive... Attention ce n'est pas valable pour les zircones et alumines
Correctement collé ça veut dire:
sur la céramique: sablage, acide fluorhydrique, silane, adhésif
sur la dent: total etch, adhésif
entre les deux: composite photo/chemo



>
> - dans ce cas la patiente se plaint d'une sensibilité suite aux compos : la
> préparation d'une facette même à minima ne va t-elle pas augmenter cette
> sensibilté ?

La sensibilité est un problème d'étanchéité et donc un échec partiel du collage. Revoir le protocole ou les produits utilisés...

>
> - et enfin ( et là je sais que je vais me faire tuer) : en quoi la pose d'une
> digue aurait elle permis de faire des préparations juxta gingivale ? ( on peut
> faire du juxta même sans digue ! )

La digue est un moyen, pas une fin en soi...
Elle apporte confort, et maîtrise du champ opératoire.
Mais a tenter à tout prix de la mettre on peut faire saigner, ou géner l'insertion des facettes...
Il faut un bon site opératoire.
Faire des prep 0.5mm supra gingivale facilitent toutes les étapes, (provisoire, empreinte, collage...) sans nuire au résultat esthétique...

Si on veut faire bien il faut les coller une par une, avec un crampon incisif qu'on déplace. Cela à un impact sur le temps de mise en oeuvre et donc le coût

>
>
> Merci pour vos réponses.

de rien :=)


--
Dr Cingulum
-----Ancien interné----
----Attaché à l'apex----
http://www.clinic-all.fr/ formation par passion


Grueavatar nptrc9 - Eugenol
Le Choixpeau magique

28/08/2012 à 15h08

Cingulum écrivait:
------------------
> sur la céramique: sablage, acide fluorhydrique, silane, adhésif

Pour l'adhésif ça dépend du système.

> sur la dent: total etch, adhésif

Et préférer les systèmes où l'on peut photopolymériser l'adhésif avant de mettre la pièce en place (couche très fine)

> entre les deux: composite photo/chemo

Attention, risque de variations de couleur dans le temps avec certaines résines chémo comme par exemple Variolink II.


200106 10150128247663588 709988587 6466236 5598391 n d7mksb - Eugenol
hallboy

28/08/2012 à 15h36

Donc que proposes tu Choip?


Grueavatar nptrc9 - Eugenol
Le Choixpeau magique

28/08/2012 à 15h50

Je n'ai pas d'avis arrêté sur la question, ayant peu de recul sur le sujet.
Beaucoup de cliniciens adeptes des facettes préfèrent utiliser des composites photos, soit prévus pour (variolink veneer, Relyx Veneer, NX3 Photo...), soit carrément des composites de restauration réchauffés (Z100, tetric evoceram, gradia/g-aenial, et sans doute d'autres...).
Pour l'adhésif, si on veut polymériser l'adhésif comme le recommande Kanca il y en a très peu qui le permettent, Optibond XTR (recul ?), Apex Surpass, certains systèmes chez Danville (créés par Bertolotti), ou alors il faut faire de l'IDS, photopolymériser avant l'empreinte et ne pas photopolymériser la couche d'adhésif le jour de la pose.


Smile beach jgh0a1 - Eugenol
Céramik

19/09/2012 à 07h38

Les adhésif total-etch photo (Excite, XPbond, etc) ont un film ultra mince de l'ordre de 10-15 microns. Tu peux sans aucun soucis les photopolymériser avant la pose des facettes.

D'ailleur, c'est la chose à faire, si tu ne le fais pas, tu abaisses tes valeurs de collage sur la dentine.

Pour la céram, comme dit Cingulum, ça colle super bien, 25-50 Mpa.

céram : etching approprié (pas trop) + silane (l'adhésif n'est pas utile)

Pour les facettes, une résine de collage photo, c'est le plus simple, pas de compo à réchauffer, pas de mélange à faire, contrôle total du temps opératoire, couleur stable.

Tout est dans la simplicité bien exécuter.

--
Céramik