Cookie Consent byPrivacyPolicies.comRéhabilitation antérieure 2, besoin de conseils... - Eugenol

Réhabilitation antérieure 2, besoin de conseils...

87 ujotte - Eugenol
Spatouille

18/10/2012 à 01h39

la 13 n'est pas un inter ? qu'as tu solidariser ? 14 13 12 ?
pour diminuer la longueur et la hauteur des canines, tu aurais pût mettre un peu de gingiva au collet ... mais ça réduit l'épaisseur de matériau armature donc la solidité (pas top si fonction canine prononcée)

je ne suis pas très enthousiaste sur l'esthétique mais le avant/après est impressionnant ! ce n'est pas une critique étant donné la position des piliers, vous avez fait ce que vous avez pût. et puis en macro on ne voit que ça, ses dents ! certaine photos de l'ensemble du visage montre un résultat plus équilibré qu'il n'y parait.

joli travail de motivation, c'est vraiment dommage pour l'ortho ...


Smile beach jgh0a1 - Eugenol
Céramik

18/10/2012 à 05h24

pxav écrivait:
--------------
> Facettes ou couronnes ce sera en Emax de toutes façon.
> Pour les papilles j'attends aussi.
> 13 est vivante, et comme elle était très vestibulé, ce n’était pas si simple.
>
>
> --
> xbk
> "Si tous ceux qui croient avoir raison n'avaient pas tort, la vérité ne
> serait pas loin" Dac Pierre



Salut pxav,

Je taillerais un peu plus l'incisif.
Je laisse pas les canines pointues comme cela, et c'est pas mal plus facile le collage si l'incisif est plus horizontal.

Pour la 13, avec les endo généralisées dans votre coin, je suis étonné que tu n'as pas fait la bio et hop, tu la rentres de 1-2 mm.

Un peu d'odf au départ, avant les tailles aurait aider bcp, juste quelques mois et énorme différence, mais bon, on fait parfois ce que le patient désire... pas tjs bon....


--
Céramik


Android jyzura - Eugenol
Tavéca

18/10/2012 à 12h58

pxav écrivait:
--------------
> Facettes ou couronnes ce sera en Emax de toutes façon.

je n’était pas clair, je sous-entendais, des couronnes full ceram en général et emax en particulier.
Merci de partager en tous cas.


S2y2o1v7q53ws4r5wy6ou8czrpom - Eugenol
pxav

19/10/2012 à 00h35

pxav écrivait:
--------------
> Facettes ou couronnes ce sera en Emax de toutes façon.
> Pour les papilles j'attends aussi.
> 13 est vivante, et comme elle était très vestibulé, ce n’était pas si simple.
>



> Je me suis pris les pieds dans le tapis, 13 c'est le bridge, c'est 23 qui est
> vivante, donc mauvaise position de 13 je vais voir ce que je peux faire, sachant
> que ce qui compte c'est le rendu du sourire, plutôt que la photo en macro...
> Pour le bas, je vais reprendre la taille, ça n'est pas top.
--
xbk
"Si tous ceux qui croient avoir raison n'avaient pas tort, la vérité ne serait pas loin" Dac Pierre


S2y2o1v7q53ws4r5wy6ou8czrpom - Eugenol
pxav

23/10/2012 à 19h18

j'ai repris tout ça, je pense que cette fois ci ...

--
xbk
"Si tous ceux qui croient avoir raison n'avaient pas tort, la vérité ne serait pas loin" Dac Pierre

Img 5287 pheg43 - Eugenol
Img 5290 tfuqh9 - Eugenol
Img 5291 hla3nc - Eugenol
Img 5292 u6mqni - Eugenol
Img 5286 czjtq4 - Eugenol

Smile beach jgh0a1 - Eugenol
Céramik

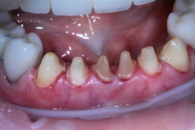
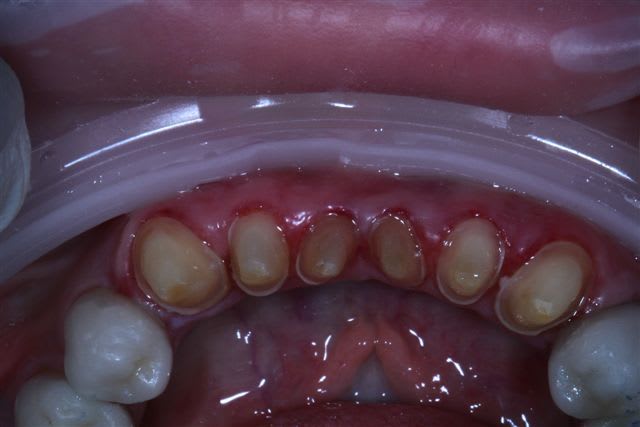
24/10/2012 à 04h00

Belle taille, mais trop ...
Je te suggère de ne pas faire couronne complète sur les incisives du bas, surtout avec le collage, c'est inutile et biologiquement très délabrant...enfin juste mon opignon...



--
Céramik


S2y2o1v7q53ws4r5wy6ou8czrpom - Eugenol
pxav

24/10/2012 à 09h54

Je suis de ton avis sur le fond, mais dans ce cas là, je n'ai pas réussi une taille "propre", sans forte réduction.
J’espère que le résultat final sera correct quand même.

--
xbk
"Si tous ceux qui croient avoir raison n'avaient pas tort, la vérité ne serait pas loin" Dac Pierre


Android jyzura - Eugenol
Tavéca

24/10/2012 à 20h23

Les incisives mandibulaires, ça à l'air toujours facile à préparer, mais en fait c'est piège, car les erreurs ne pardonnent pas.
Moi je les trouve très propre tes preps, malgré un léger sur-dimensionnement.
Dans ton cas en plus vu les versions des dents, c'est plus facile à gérer en couronne qu'en facette amha.


S2y2o1v7q53ws4r5wy6ou8czrpom - Eugenol
pxav

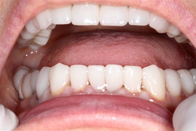
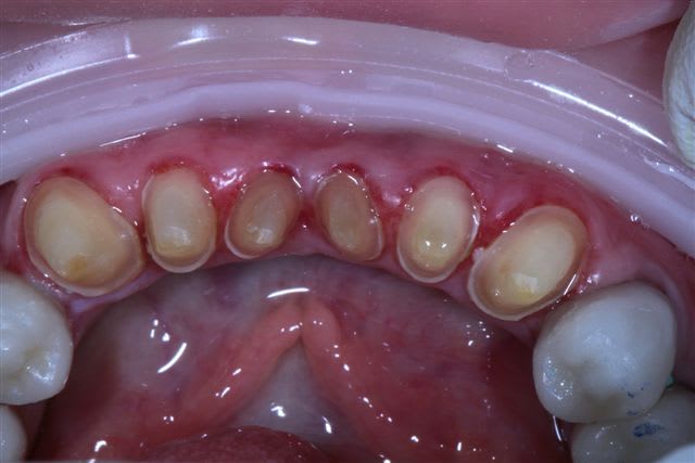
09/11/2012 à 16h20

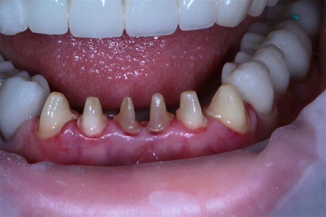
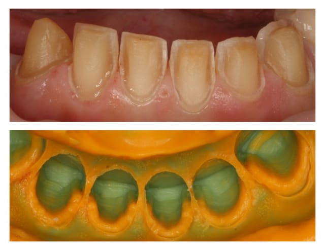
essayage antérieur bas

--
xbk
"Si tous ceux qui croient avoir raison n'avaient pas tort, la vérité ne serait pas loin" Dac Pierre

Img 5418 lckqt9 - Eugenol
Img 5291 gexptj - Eugenol
Img 5416 cyi7v2 - Eugenol

Smile beach jgh0a1 - Eugenol
Céramik

19/11/2012 à 05h02

Salut Xavier,

J'ai pensé à ton cas clinique cette semaine en taillant ces petites incisives...
La 43 avait des compo de chaque coté, et il y aura un stellitte, en attendant les implants un jour...alors j'ai fait une couronne.
Le tout en e.max of course.

Empreinte sans fil, tailles supra/juxta gingivale

--
Céramik

Untitled c4aojo - Eugenol

S2y2o1v7q53ws4r5wy6ou8czrpom - Eugenol
pxav

19/11/2012 à 08h19

Salut Alain
très belle taille, très belle empreinte, il est visible que tu as l'expérience de ce genre de travail.


--
xbk
"Si tous ceux qui croient avoir raison n'avaient pas tort, la vérité ne serait pas loin" Dac Pierre


S2y2o1v7q53ws4r5wy6ou8czrpom - Eugenol
pxav

19/11/2012 à 08h38

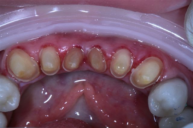
le bas est posé, reste les vérifications
à quoi bon dire que la patiente est satisfaite?
--
xbk
"Si tous ceux qui croient avoir raison n'avaient pas tort, la vérité ne serait pas loin" Dac Pierre

Img 4563 wygsp7 - Eugenol
Img 5468 o7k7s9 - Eugenol
Img 5478 ciyw3o - Eugenol
Img 5466 fnzzgk - Eugenol

Dsc 3167 ff43tz - Eugenol
Xenophon

19/11/2012 à 11h48

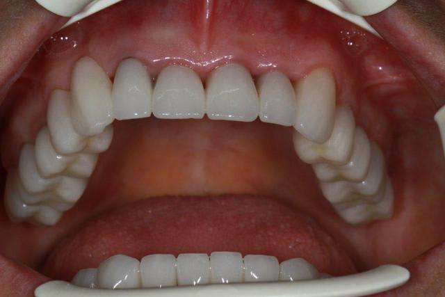
Très beau travail.

Mais je suis du même avis que Ceramik. Je n'aurais pas taillé autant. Je n'aurais pas touché aux faces linguales.
Nous avons toujours en France le gros défaut de tout passer au taille crayon ...


Android jyzura - Eugenol
Tavéca

19/11/2012 à 11h54

Super, très joli!

Bon si on pinaille peut être la limite trop supra 43 ;)


Smile beach jgh0a1 - Eugenol
Céramik

19/11/2012 à 13h47


Au final, très joli cas Xavier

--
Céramik