Cookie Consent byPrivacyPolicies.comun cas mutlidisciplinaire - Eugenol

un cas mutlidisciplinaire

Fouilla h6plsy - Eugenol
fouilla

27/07/2012 à 19h57


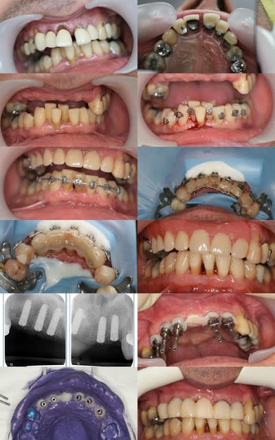
voila je suis en vacances et je voulais vous faire un petit cadeau avant départ si vous êtes sages au retour on détaillera ce travail qui m'a pris un peine plus de douze séances ... enfin parfois je mens aussi ...(en fait 15 je crois )
--
.

Bonnes vacances juqnan - Eugenol

Fouilla h6plsy - Eugenol
fouilla

27/07/2012 à 19h59

restera deux séances pour la pose du travil conventionnel comme quoi nous aussi on peut faire comme les low coaster :-))

--
.


Img 3657 cwjvqm - Eugenol
alapex

27/07/2012 à 22h20

Tu as combien de bras ?!?!?


G-P

28/07/2012 à 00h16

La photo du début c'est du made in turquie ?