Cookie Consent byPrivacyPolicies.comcotation contention parodontale réalisée par le prothésiste - Eugenol

cotation contention parodontale réalisée par le prothésiste

lalou84

30/07/2012 à 00h33

Bonjour,

Pouvez-vous m'indiquer la cotation à appliquer en cas de pose d'une contention parodontale suite à une parodontite réalisée par le prothésiste au labo, de la 33 à la 43?
Le labo me facture ça 230 euros.


G-P

30/07/2012 à 00h53

H.N.
Edit : sinon je trouve le prix délirant.


 mg 0207 xwjxcl - Eugenol
Tillc

30/07/2012 à 16h48

Contention collée coulée en or ?


Images jm2g2g - Eugenol
dr_0le

30/07/2012 à 17h32

lalou84 écrivait:
-----------------
> Bonjour,
>
> Pouvez-vous m'indiquer la cotation à appliquer en cas de pose d'une contention
> parodontale suite à une parodontite réalisée par le prothésiste au labo, de la
> 33 à la 43?
> Le labo me facture ça 230 euros.

tin ton prothé ne se mouche pas avec les doigts...
HN aussi, devis au préalable évidemment.


209209668 fh2mys - Eugenol
fredo667

30/07/2012 à 19h13

je pense qu'il n'as pas bien compris ce que tu lui demandais... ou qu'il a fait semblant de pas comprendre


youn

30/07/2012 à 23h36

si il lui a fait une attelle collée, ca doit être dans ces eaux là (c'est la "moitié d'un bridge" six dents métal) ça ne me paraît pas exhorbitant, par contre l'intérêt...


lalou84

31/07/2012 à 12h59

effectivement l'attelle est tout en métal. elle se plaque sur la face linguale des incisives mandibulaire.
à quoi correspond le SC 40 qu'il y a dans la nomenclature pour les attelles en cas de parodontites?


G-P

31/07/2012 à 21h12

Contention composite avec fil de renfort métallique.


lalou84

02/08/2012 à 12h18

ok merci


3f3boxni50k58rq7e9ce9ddqrxgk - Eugenol
dentiste57

02/08/2012 à 15h26

youn écrivait:
--------------
> si il lui a fait une attelle collée, ca doit être dans ces eaux là (c'est la
> "moitié d'un bridge" six dents métal) ça ne me paraît pas exhorbitant, par
> contre l'intérêt...


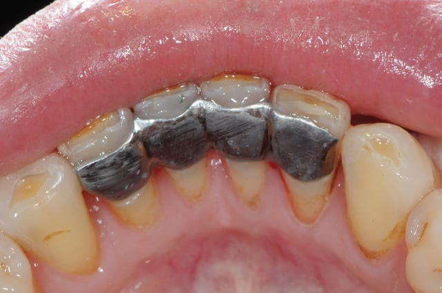
à moi non plus ce prix ne me semble pas si délirant que ça.
pour ce qui est de son intéret, je ne comprends pas que tu n'en sois pas convaincu.
plus de confort, contention réel des dents, plus de décollage...

ici, un petit cas où le patient en avait mare de la difficulté de nettoyage et des décollements

pour le prix c'est hn.

Dsc 5221 talcal - Eugenol
Dsc 5514 rtporj - Eugenol
Dsc 5517 jesjg8 - Eugenol

Images jm2g2g - Eugenol
dr_0le

02/08/2012 à 16h53

dentiste57 écrivait:
--------------------
> youn écrivait:
> --------------
> > si il lui a fait une attelle collée, ca doit être dans ces eaux là (c'est la
> > "moitié d'un bridge" six dents métal) ça ne me paraît pas exhorbitant, par
> > contre l'intérêt...


je ne comprends pas bien que tu n'y vois pas l’intérêt... c'est quand me beaucoup plus facile a nettoyer que 6 plots composites..


Images jm2g2g - Eugenol
dr_0le

02/08/2012 à 16h53

dentiste57 écrivait:
--------------------
> youn écrivait:
> --------------
> > si il lui a fait une attelle collée, ca doit être dans ces eaux là (c'est la
> > "moitié d'un bridge" six dents métal) ça ne me paraît pas exhorbitant, par
> > contre l'intérêt...


je ne comprends pas bien que tu n'y vois pas l’intérêt... c'est quand me beaucoup plus facile a nettoyer que 6 plots composites..


paradoxe

02/08/2012 à 17h39

dr_0le écrivait:
----------------

> tin ton prothé ne se mouche pas avec les doigts...

Faut le comprendre aussi, c'est quand même un bridge de 6 éléments céramiques qui lui file entre les doigts !! ;-)


zamzam

02/08/2012 à 18h36

Pourquoi n epas prendre 43 33 au niveau de la repartition des forces je pense que c est preferable ?


Cquenotte

02/08/2012 à 23h29

Bonsoir,

Dis moi dentiste57 :
- fais tu une préparation des faces linguales ou non ?
- avec quel produit colle tu ta contention ?
- tu facture ça comment (complexité, nombre d'heure ou par facette) et combien ?

Merci pour tes réponses éclairées !!


S2y2o1v7q53ws4r5wy6ou8czrpom - Eugenol
pxav

03/08/2012 à 09h15

j'ai abandonné le métal collé, trop de décollements avec infiltrations lentes et cariogènes.
Attelles avec fils tressé Kevlar + composite (Kerr) c'est un peu long à mettre en place mais les résultats sont bien plus tranquilles et au niveaux look c'est mieux.

--
xbk
"Si tous ceux qui croient avoir raison n'avaient pas tort, la vérité ne serait pas loin" Dac Pierre


dentek

14/12/2014 à 02h15

Je relance ce sujet

J'ai un patient qui porte une orthèse Narval anti-ronflements.

Depuis les années qu'il la porte, son bloc incisif mandibulaire
est parti en éventail....et il était venu me consulter pour des douleurs liées à cela
(mobilités).

Du coup, je lui avais fait une contention fibrée, noyée dans le compo,
avec toujours la possibilité de passer la brossette biensûr,

avec une adaptation de la gouttière en regard, tout était rentré dans l'ordre.

Sauf que 1 an après, je l'ai revu, j'ai tout déposé, ça avait mal vieilli...

Je pensais du coup lui faire une attelle métallique made in prothésiste, collée
par mes soins selon les données acquises du collage.

Mon premier problème est que vu que ses dents se sont écartées comme un
éventail avec des diastèmes,
ça va être moche de voir le métal dans les espaces inter dentaires.

Mon second problème est que je ne connais pas les principes pour ce genre de contention;
prépa? quelle forme? puits dentinaires?

des conseils?