Cookie Consent byPrivacyPolicies.comProblème d'anesthésie sur 37 - Eugenol

Problème d'anesthésie sur 37

Grueavatar nptrc9 - Eugenol
Le Choixpeau magique

03/08/2012 à 00h40

drquicksleep écrivait:
----------------------
> J'ai acheté le quicksleeper que j'ai utilisé une fois ! ou deux peut-être!
> (j'avais l'avant dernier modèle à mon goût pas pratique du tout : lourd, pas de
> visibilité de la quantité injectée ..... )
> Je galère malgré tout toujours autant et reluque actuellement le système de WH :
> quelqu'un connait?

Tu as déjà le meilleur système, pourquoi changer ?
Inscris-toi à la formation de DHT, et tu pourras résoudre ce genre de problème sans soucis avec ton QS.
Pour la version, pas de mauvaise excuse, j'ai aussi le QS3, il marche très bien.


Bebe 038 nf8eum - Eugenol
danteyeah

03/08/2012 à 03h19

+1 avec Choixp. Quick addict (pas la mal bouffe!) depuis plus de 4 ans, je ne reviendrai jamais en arrière.
Ah aussi: je suis impressionné par les Nonolien qui n'ont jamais eu de nécrose avec une intraligamentaire ou une intraseptale......respect!!


machu

30/08/2012 à 07h44

Avec mon qs magique je viens à bout des pulpites sans souci. Respect à tous ceux qui avec une intralig/ intrasept n'ont pas d'échecs sur des pulpites.


003 penrd2 - Eugenol
Cingulum

30/08/2012 à 10h43

je suis passé au QS4 depuis 2 mois... pas réussi à boucher l'aiguille encore :p
il apporte de vrai plus, léger, pédale sans fil, matériaux, fil souple, indicateur d'injection, cartouche avec protège joue intégré... tout est mieux

Comme tout les autres c'est 100% de mes anesthésie mandibulaire. Quel confort ...
et 50% de mes anesthésies maxillaire

--
Dr Cingulum
-----Ancien interné----
----Attaché à l'apex----
http://www.clinic-all.fr/ formation par passion


Avatar transparent iqadnc - Eugenol
adhoc

30/08/2012 à 13h13

>paradoxe écrivait:
------------------
> Il y a longtemps, on perdait pas de temps.
> Un petit nécro, et re-anasthésie dans 3 jours.
> JAMAIS de douleurs, jamais d'échec.
> Mais ça , c'était avant...



Bon mettons qu'on ait (grrr bjorn, troisieme personne singulier subjonctif mon point faible : aie, ait?) échec a la spix, au QS, au rappel lingual (le vrai, hein, celui ou l'on tourne l'aiguille intralig, pas l'injection en para-apical!), que le canal distal soit alésé, et que les 2 mésiaux soit alésés a la moitié de leurs longueurs , le nécro?

Ben non, en dehors des critiques et des dangers déjà mentionnés en début de siècle (pas le 21 eme, le 20 eme!), ici la boulette de nécro ne pourra plus rien faire, il me semble, car le parenchyme pulpaire a disparu corps et bien!

Par contre, nécro des l'atteinte chirurgicale de la corne pulpaire: oui, mais bon, hein :-)))


Grumpy cat ifik8s - Eugenol
radich_a_tord

30/08/2012 à 13h52

machu écrivait:
---------------
> Avec mon qs magique je viens à bout des pulpites sans souci. Respect à tous ceux
> qui avec une intralig/ intrasept n'ont pas d'échecs sur des pulpites.

Les cas foireux (en cas d'échec de l'intraligamentaire) je fais comme dit plus haut "la spéciale du chef".

Je commence par une spix puis para apicale en vestibulaire puis 4 points d'intraligamentaire au citoject, lentement.

ça m'arrive 1 fois tous les 2 mois.

Pour les échecs avec tout ça, c'est vraiment rare. Au pif je dirais max une fois par an. J'ai pas un recul énorme je suis encore jeune, et je ne vois pas un nombre de patients énorme non plus.


canard59

30/08/2012 à 13h54

adhoc écrivait:
---------------
> >paradoxe écrivait:
> ------------------
> > Il y a longtemps, on perdait pas de temps.
> > Un petit nécro, et re-anasthésie dans 3 jours.
> > JAMAIS de douleurs, jamais d'échec.
> > Mais ça , c'était avant...
>
>
>
> Bon mettons qu'on ait (grrr bjorn, troisieme personne singulier subjonctif mon
> point faible : aie, ait?) échec a la spix, au QS, au rappel lingual (le vrai,
> hein, celui ou l'on tourne l'aiguille intralig, pas l'injection en
> para-apical!), que le canal distal soit alésé, et que les 2 mésiaux soit alésés
> a la moitié de leurs longueurs , le nécro?
>
> Ben non, en dehors des critiques et des dangers déjà mentionnés en début de
> siècle (pas le 21 eme, le 20 eme!), ici la boulette de nécro ne pourra plus rien
> faire, il me semble, car le parenchyme pulpaire a disparu corps et bien!
>
> Par contre, nécro des l'atteinte chirurgicale de la corne pulpaire: oui, mais
> bon, hein :-)))

Salut Adhoc , plus personne ne mets de nécro mais les labos continuent à en vendre . Quel sens du sacrifice commercial :-)


Bagheera tudzjy - Eugenol
bagheerra

30/08/2012 à 13h59

seespan écrivait:
> Il y a des contre indication pour l'intra ligamentaire, mais j'ai oublier les
> quelles.

Tous les patients à risque infectieux (immuno-déprimés, risque oslérien...).
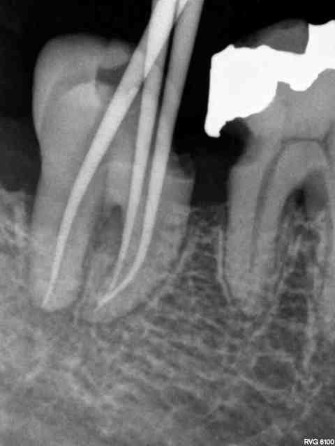
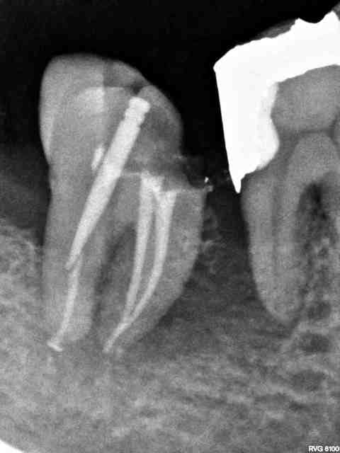
Risque de complication augmenté chez les patients fumeurs stressés mauvaise hygiène. Admirez la disparition du septum de ce patient fumant 40 cig/j, hyperstressé et à l'hygiène dégueulasse...

Apr s odmlec - Eugenol
Avant anesth mcaety - Eugenol

Fouilla h6plsy - Eugenol
fouilla

30/08/2012 à 17h22

bagheerra écrivait:
-------------------
> seespan écrivait:
> > Il y a des contre indication pour l'intra ligamentaire, mais j'ai oublier les
> > quelles.
>
> Tous les patients à risque infectieux (immuno-déprimés, risque oslérien...).
> Risque de complication augmenté chez les patients fumeurs stressés mauvaise
> hygiène. Admirez la disparition du septum de ce patient fumant 40 cig/j,
> hyperstressé et à l'hygiène dégueulasse...

en même temps si tu reprends ta rétro initiale atteinte de furcation sur les deux molaires et je suis surpris de voir que personne ne t'ai encore dit que la digue aussi avait disparu à l'essayage des cones mais dans ce cas précis et vu le contexte tout ça ne va pas tenir longtemps pas de surprise...

--
.


uɹöɾq

30/08/2012 à 19h23

bagheerra écrivait:
-------------------
Admirez la disparition du septum de ce patient fumant 40 cig/j,
> hyperstressé et à l'hygiène dégueulasse...


Ca devait sacrément pisser le sang, t'as réussi à bien isoler avec ton crampon radioclair?
Y a pas une nécrose de 46?
T'as fait quoi sur 47?


Bebe 038 nf8eum - Eugenol
danteyeah

30/08/2012 à 19h56

uɹöɾq écrivait:
---------------
> bagheerra écrivait:
> -------------------
> Admirez la disparition du septum de ce patient fumant 40 cig/j,
> > hyperstressé et à l'hygiène dégueulasse...
>
>
> Ca devait sacrément pisser le sang, t'as réussi à bien isoler avec ton crampon
> radioclair?
> Y a pas une nécrose de 46?
> T'as fait quoi sur 47?

Et le bénéfice du doute les amis!! Bagheerra a peut être utilisé un crampon plastique, comme l'insti-dam par exemple, c'est radio clair je crois, et l'endo semble très bien obturée.
Sinon +1 pour la nécrose de 46, avec de grande chance d'être à l'origine de la perte osseuse.
N'empêche je ne vois pas le rapport de tous cela avec le sujet du fil?


uɹöɾq

30/08/2012 à 20h15

danteyeah écrivait:
-------------------
>
> Et le bénéfice du doute les amis!!

Tout à fait.
La reconstitution pré-endodontique en mésial est également radioclaire.


> Sinon +1 pour la nécrose de 46, avec de grande chance d'être à l'origine de la
> perte osseuse.
> N'empêche je ne vois pas le rapport de tous cela avec le sujet du fil?

Je crois que bagherra émet l'hypothèse que la lésion osseuse interdentaire, apparue entre les deux séances, soit due à une intraligamentaire. (bagherra?)


--
Faut savoir faire autre chose que de regarder toute sa vie dans la bouche des gens. (Ameli, 7/12/11)


Bagheera tudzjy - Eugenol
bagheerra

01/09/2012 à 16h57

uɹöɾq écrivait:
---------------
> danteyeah écrivait:
> -------------------
> >
> > Et le bénéfice du doute les amis!!
>
> Tout à fait.
> La reconstitution pré-endodontique en mésial est également radioclaire.
>
>
> > Sinon +1 pour la nécrose de 46, avec de grande chance d'être à l'origine de la
> > perte osseuse.
> > N'empêche je ne vois pas le rapport de tous cela avec le sujet du fil?
>
> Je crois que bagherra émet l'hypothèse que la lésion osseuse interdentaire,
> apparue entre les deux séances, soit due à une intraligamentaire. (bagherra?)
>
>
Effectivement, il n'y a que 1 mois entre les deux radios. La 46 est pour l'instant bien vivante. Il y a eu une gingivite nécrotique après dans les jours qui ont suivi l'anesthésie intraligamentaire.
D'accord, j'avoue, je fais partie des 9,5 dentistes sur 10 qui ne mettent pas la digue. Mais je me soigne : depuis que je vais sur eugénol, je culpabilise et croyez-moi si vous voulez, mais la commande est arrivée hier.


12