Cookie Consent byPrivacyPolicies.comEpulis ?? + images radioclaires suspectes - Eugenol

Epulis ?? + images radioclaires suspectes

guttapercha

08/08/2012 à 14h26

Bonjour,

J'ai reçu ce patient pour la première fois ce matin. Il a 41 ans et n'a pas de problème de santé ni traitement médicamenteux.

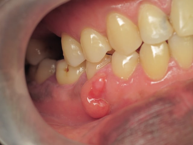
Il présente donc ce pédicule gingival dont le point d'attache semble se situer au niveau de la papille 44 45. D'après l'interrogatoire, il a commencé à apparaître fin juin et ne cesse de grandir. Le patient m'a dit qu'il avait eu la même chose il y a deux ans, qu'une dentiste lui avait retiré sans autre examen. Il n'a pas mal mais souhaitait qu'on lui enlève comme la dernière fois.

Il n'a pas de douleur à la palpation, une légère sensibilité à la percussion sur 44 45. Le test de vitalité est positif sur 45 mais pas sur 44.
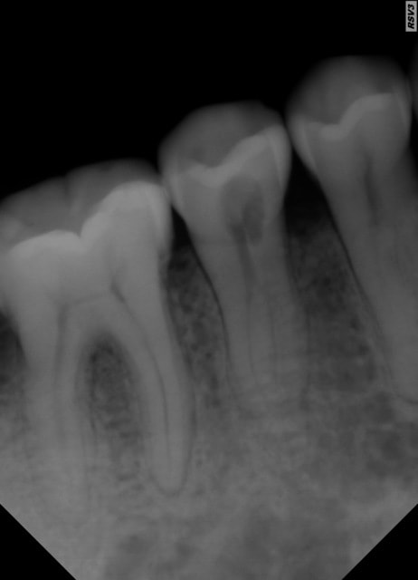
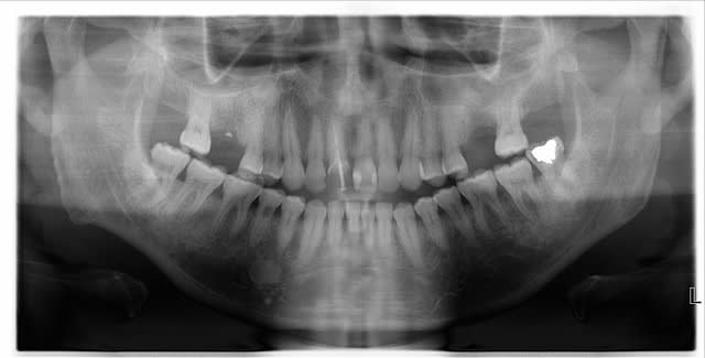
La panoramique montre une image radioclaire suspecte au niveau de la branche horizontale mandibulaire, entre 44 et 45 justement. Le patient n'en avait pas connaissance.
La radio de 45 révèle une carie ??? mais en bouche pas de point d'entrée, et le test de vitalité est positif mais pas douloureux.

Bref, je n'ai rien fait ce matin, je voulais adresser à un stomato et avoir d'autres avis que le mien, qui est circonspect!
Je ne suis pas sûre qu'il s'agisse d'un épulis gingival vu l'aspect de la muqueuse...

Pano wkvlab - Eugenol
Img 3630 cunhdk - Eugenol
Img 3631 lovvhf - Eugenol
Img 3632 irttj7 - Eugenol
R tro otjpds - Eugenol

Photo pluton1b h9n4ea - Eugenol
pluton

08/08/2012 à 14h48

amha, la 45 présente une résorption interne et/ou externe
tu dois avoir un point d'entrée quelque part et la gencive prolifère en regard de la lésion...
un scan ou cône beam te donnera la réponse...


Canin

08/08/2012 à 14h59

en première approche, un epulis, effectivement peut récidiver si on gratouille pas assez l'os sous-jacent.

sinon l'image radioopaque (et non radioclaire comme mentionné) n'a rien de particulier, ne pas s'en soucier.

après la rétro de ta 45 montre une belle lésion, et même si ta 45 répond encore au froid, tu peux avoir une nécrose partielle surtout qu'on distingue bien deux canaux radiculaires dans ta 45.

Personnellement, j'envisagerai l'endo de 45 en faisant bien attention à l'aspect de la pulpe (rouge vif ou sombre) et l'éxérèse de l'épulis qui pourrait à ce moment là être une manifestation d'une fistule dont l'origine serait 45 (canal latéral ou accessoire). Cette situtation serait alors maintenue en équilibre, ou en phase chronique depuis un bon moment.

--
Canin


 mg 0207 xwjxcl - Eugenol
Tillc

08/08/2012 à 16h09

Une fois n'est pas coutume , je ne suis pas d'accord avec Canin .
Epulis on le retrouve chez les patientes ( il s'agit d'un patient) au maxillaire supérieur. Donc non...
A couper pour analyse.
Ce nodule est surement a mettre en rapport avec la resorption de la dent.


Canin

08/08/2012 à 16h18

Tillc écrivait:
---------------
> Une fois n'est pas coutume , je ne suis pas d'accord avec Canin .
> Epulis on le retrouve chez les patientes ( il s'agit d'un patient) au maxillaire
> supérieur. Donc non...
> A couper pour analyse.
> Ce nodule est surement a mettre en rapport avec la resorption de la dent.

T'es d'accord ou pas finalement ?

--
Canin


 mg 0207 xwjxcl - Eugenol
Tillc

08/08/2012 à 16h36

pas d'accord sur le terme "Epulis" .
Nodule gingival oui


Canin

08/08/2012 à 16h39

Tillc écrivait:
---------------
> pas d'accord sur le terme "Epulis" .
> Nodule gingival oui

ok, je l'ai utilisé ici comme un terme général puisque épulis comme tu dois le savoir signifie littéralement "sur la gencive".

--
Canin


 mg 0207 xwjxcl - Eugenol
Tillc

08/08/2012 à 17h29

Oui oui ca veut dire literalement "Posé sur la peau


guttapercha

16/08/2012 à 20h13

Merci pour vos réponses !

Ok, donc l'image radio-opaque (pardon pour la confusion) au niveau de la branche horizontale ne serait qu'une coïencidence ? Mais alors qu'est ce que c'est ?

J'ai jamais vu de résorption de ma vie O_O

Bon en tout cas c'est moins alarmant que je ne le soupçonnais...


Canin

16/08/2012 à 21h02

guttapercha écrivait:
---------------------

> Ok, donc l'image radio-opaque (pardon pour la confusion) au niveau de la branche horizontale ne serait qu'une coïencidence ? Mais alors qu'est ce que c'est ?

=> Oui probable coincidence. Il faudrait pouvoir consulter d'anciens clichés (genre y'a 10 ans) pour comparer les images et suivre cette évolution.

=> sinon c'est une probable ostéosclérose focale idiopathique (sans cause évidente.

Et qu'en est-il du traitement et de l'évolution depuis la dernière fois ??

--
Canin


Img 1392 s73srk - Eugenol
Guttaman

16/08/2012 à 21h56

Effectivement, il s'agit sans aucun doute d'une résorption externe. Je te déconseille de te lancer comme ça dans le traitement endo (déjà parce qu'il n'est pas nécessaire et qu'en plus, si tu supprimes la prédentine qu'il te reste entre la pulpe et la lésion externe, ça va saigner abondamment et tu ne pourra pas obturer dans la séance (avec suites opératoires ++ liées au fait que tu aura une extrusion de NaOCl vers la gencive).

Donc, chirurgie pour enlever l'excroissance gingivale, curetage de celle-ci jusqu'à la dentine de la 45, etching et verre iono. Puis, traitement endo si la dent perd sa vitalité ou devient symptomatique.

Ceci dit, il est vrai qu'un examen cone beam te donnerai une bonne idée de la destruction de la dent (pour classer cette résorption dans l'un des 4 stades) et ainsi savoir quel est le pronostic. (à mon avis elle est en stade 2...ou 3).