Cookie Consent byPrivacyPolicies.comAnkylose, vous feriez quoi ? - Eugenol

Ankylose, vous feriez quoi ?

drelin

21/08/2012 à 12h13

Bonjour,

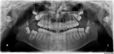
Patient de 26 ans faisant un "accident d'évolution de la 17", il se mord bien bien la joue. Mis sous antibios et antalgiques + Hbd
Que feriez vous de la 16 ? (proximité de sinus en plus...) Avulsion/mini-vis pour ramener la 17 - abstention ...

Merci


drelin

21/08/2012 à 12h41

Et la pano qui va avec...


1309531 ours brun n5iukf - Eugenol
seespan

21/08/2012 à 13h49

Documentation svp

--
หมอจัดฟัน


drelin

21/08/2012 à 14h50

désolée, pb informatique...


1309531 ours brun n5iukf - Eugenol
seespan

21/08/2012 à 14h54

C'est la vie ...


--
หมอจัดฟัน


drelin

24/08/2012 à 09h07

C'est bon !


1309531 ours brun n5iukf - Eugenol
seespan

24/08/2012 à 09h39

T'as plusieur solution.
Tu peut voir avec un stomato si il y a pas moyen de mobiliser la 16, sinon normalement tu peut découper l'os autour et faire bouger tout le bloc. Mais c'est peut étre un peut lourd comme solution.
Si la 17 est vital et pas ankylosé tu peut en effet extraire la 16 et ramener la 17 en bonne position.
Normalement tu n'as même pas besoin de mini vis, vu que toutes les autres dents vont servir d'ancrage. A mon avis c'est la meilleur solution car ça te permet aussi de corriger l'axe de 15,14 et de fermer les espaces inter-dentaire entre les incisives.
Après voir si tu peux ramener la 18 en occlusion il n'y pas de raison que non. Si pour une raison ou une autre tu ne peux pas, tu peux mettre un implant pour remplacer la 17 (vue que 17 est devenue 16 tu auras assez d'os pour mettre l'implant sur l'ancien site de 17

Le patient a eu un accident quand il avait 8 ou 9 ans ?

--
หมอจัดฟัน


1309531 ours brun n5iukf - Eugenol
seespan

24/08/2012 à 09h43


Il a le menton qui dévie a droite de 2 mm ?
--
หมอจัดฟัน


drelin

24/08/2012 à 15h04

Je n'ai pas remarqué si son menton déviait mais j'y ferai attention quand je le reverrai. Le patient n'a pas de souvenir de problèmes dentaires au cours de son enfance (trauma ou autre).

Faire un scanner pour apprécier les rapports avec le sinus est-il justifié en cas d'avulsion ?

Que pensez vous de la solution d'abstention ?

Comme en dentaire c'est souvent la loi des séries, j ai un cas similaire qui s'est présenté la même semaine. Il a 12ans, et même chose, aucun souvenir particulier concernant ses dents qui pourrait expliquer l'ankylose.

Merci


cônemorse

24/08/2012 à 15h15

Il semble sur ta pano que ta 16 soit bloquée par la 17, les germes devaient être sacrément à l'étroit sur ce côté droit...
Pour moi, l'idée serait d'extraire la 17, de laisser la 16 prendre la place soit naturellement (ce qui est peu probable) soit par traction ortho, et la 18 pourrait peut-être prendre la place de 17.
Ca fait beaucoup d'incertitudes, mais ça se tente.
J'ai traité avec mon ortho un cas un peu similaire; gamin de 15 ans avec quelques encombrements...
TRT: extractions 17-27-38-47
Ca a été un peu sportif et on attend aujourd'hui de voir ce que ça va donner (la 37 est déjà revenue parfaitement sur l'arcade mais ça c'était le plus simple!!)

Pano benj t ptgdoq - Eugenol

1309531 ours brun n5iukf - Eugenol
seespan

24/08/2012 à 16h25


Explication sur le développement de l'arcade dentaire.
La dent lors de son éruption créer le volume de l'os alvéolaire. Il y a une croissance vertical qui continue tout le long de la vie (principalement jusqu’à la fin de l'adolescence, après elle se ralentit mais ne s’arrête pas). Si une dent s'ankylose après son éruption, elle reste figé dans sa position et ne peut pas participer a cette croissance vertical et elle se retrouve infra incluse, c'est pareil avec un implant une fois qu'il est osteointegré il ne bouge plus, c'est la raison pour laquelle on attend la fin de la croissance pour pas qu'il se retrouve en infra clusion (en fait avec le temps il va finir en infra inclusion mais sur une période beaucoup plus longue.) D'après la position de la 16 en rapport avec la 15 on peut déterminer grossièrement a quel période la dent c'est ankylosée.

De manière évidente après son éruption puisqu'elle est sortie de la gencive (sinon elle serait rester incluse), donc après 6 ans.
Ensuite vous voyer que dans le sens antero posterieure la 16 est éloigné de la 15 par un peut plus de 1 mm. La raison est simple, les deux molaires de lait on un diamètre mésiodistale supérieur au deux prémolaire (surtout a la mandibule). Quand elle s’exfolient les 6 se mésialise pour venir en contacte avec les 5. Dans certain cas nous utilisons cette excédent de place en ortho pour résoudre des encombrement incisif (c'est le fameux lee way).
Vue que le 16 est séparé 15 par la distance du lee way on peut en déduire que l'ankylose a eu lieu avant la chute des molaire de lait, donc avant 10 11 ans.
L’ankylose a du se produire à 7,8 ou 9 ans.

Pour la 17, la seconde molaire et soumis au même mouvement dans la direction mésial que la 16 (chez les rats les molaires drifftent en directionn distale). Elle a naturellement continuer a égresser et une fois arriver a une certaine hauteur, la dérive mésiale l'a fait recouvrir en partie la 16. Les 5 ne sont pas soumis au même mouvement, elles se sont incliné la ou il y avait de la place c'est a dire en distale.

Ici ne rien faire est une très mauvaise idée. Ou t'extrait la 17 car tu vas avoir des problème a répétition avec et de toute maniére la mettre sur l'arcade tant que la 16 est en place est impossible, la 16 reste en infraclusion et le patient mâche de l'autre coté.
Envois en consultation ortho, vois avec un stomato si mobiliser la dent est possible sinon extraction.

Ton autre cas exactement la même chose
--
หมอจัดฟัน


1309531 ours brun n5iukf - Eugenol
seespan

24/08/2012 à 16h38

cônemorse écrivait:
-------------------
> Il semble sur ta pano que ta 16 soit bloquée par la 17, les germes devaient être
> sacrément à l'étroit sur ce côté droit...
> Pour moi, l'idée serait d'extraire la 17, de laisser la 16 prendre la place soit
> naturellement (ce qui est peu probable) soit par traction ortho, et la 18
> pourrait peut-être prendre la place de 17.
> Ca fait beaucoup d'incertitudes, mais ça se tente.
> J'ai traité avec mon ortho un cas un peu similaire; gamin de 15 ans avec
> quelques encombrements...
> TRT: extractions 17-27-38-47
> Ca a été un peu sportif et on attend aujourd'hui de voir ce que ça va donner (la
> 37 est déjà revenue parfaitement sur l'arcade mais ça c'était le plus simple!!)

ce cas n'est pas identique. D'après votre pano
37 ankylosé car les racines sont parfaitement devellopé,elle n'est pas dans un position d'impaction.
17 et 27 ankylosé car leur racines est formé (donc elle aurait du faire leur éruption) et plus important elle sont séparé de 1 mm des 6, les molaires sont naturellement soumis à une dérive mésial. Ici ce n'est pas le cas = très probable ankylose. Vous pouver comparer avec les 8 voyer comme elles se sont collé au 7 en haut et en bas.
Une dent ankylosé en bougera pas si soumis a une traction orthodontique. Le seul moyen d'y arriver c'est d’essayer de la mobiliser mécaniquement pour casser le point d'ankylose. Si vous faite un CTscan vous pouver visuliser le ou les points d'ankylose, si vous pouver les meulers avec une fraise vous pouvez ensuite mobiliser la dent par des forces orthodontique. Mais c'est comme le film speed, si la force orthodontique s'arrete vous avez de grande chance que l'ankylose revienne.

Dans votre cas le plans de traitement était le bon. extraire les dents ankylosé 17,27 et 47, et la 38 enclavé.

Mais dans les deux cas présenter par l'auteur la dent anklavé est la 6 pas la 7
--
หมอจัดฟัน


cônemorse

24/08/2012 à 17h35

Je suis d'accord les cas sont différents, l'âge des patients n'est déjà pas le même et les dents concernées sont différentes également mais c'était juste pour illustrer avec un plan de traitement qui peut par certains points s'en approcher.
Ma proposition n'est qu'une hypothèse de travail, un cas comme celui-ci n'est pas résolvable simplement en regardant une pano.
Je me garderai bien de donner un avis aussi tranché sans plus d'éléments et sans voir le patient.
Ces cas sont complexes à gérer et personne ne peut savoir à l'avance si les dents voudront bien se placer comme on le souhaite...


1309531 ours brun n5iukf - Eugenol
seespan

24/08/2012 à 18h24


Non dans les deux cas présenter par l'auteur du fil, il s'agit d'ankylose caractérisée.
J'ai donné précédemment les éléments du diagnostique.
Je demanderais confirmation a mes prof lundi pour être sur, et vous tiendrait au courant.
Me permettez vous de montrer votre pano aussi? D'après mois 17,27 et 47 sont (enfin était) ankylosé et était à extraire, mais c'est beaucoup moins évident a voir. 47 pas de doute, 17 et 27 sure, mais pas sur certains :-).
--
หมอจัดฟัน


cônemorse

24/08/2012 à 18h32

Je crois que savoir si c'est une ankylose caractérisée ou pas on s'en fout complètement...il faut essayer d'être un peu moins scolaire à mon avis et essayer de proposer des solutions sans se poser la question de savoir si c'est blanc, blanc clair ou blanc foncé. Le patient s'en moque et cherche des solutions point barre.
Quand j'ai pris la décision des extractions pour le cas que je présente en parallèle, je ne me suis pas dit est-ce une ankylose ou pas, j'ai cherché la meilleure solution et c'est tout...

PS: oui tu peux montrer à tes profs la pano de mon patient.


1309531 ours brun n5iukf - Eugenol
seespan

24/08/2012 à 19h01


c'est pas scolaire c'est important, si la dent est ankylose comme indiqué précédemment on peut dans certain cas la mobilisé mais elle risque de se ré-ankylosé. On finit avec un implant naturel :-). Si le patient n'a pas finis sa croissance, la dent va se retrouver en infraclusion. Si possible il vaut mieux l’extraire pour la remplacer par autre chose.
Si elle est pas ankylosé on débloque l'obstacle et on peut la guidé facilement par traitement ortho classique.
Le traitement n'est pas le même et le pronostique de la dent sur le long terme non plus.
--
หมอจัดฟัน


cônemorse

24/08/2012 à 19h08

Mais ce n'est pas la pano qui te dira si elle est ankylosée ou non... et dans tous les cas tu peux la faire bouger comme on arrive à mobiliser une dds incluse chez une mamie de 80 ans.
Tu peux même la sortir et la réimplanter si tu veux, tout est possible même si elle est ankylosée.
Evidemment c'est plus facile si elle est juste retenue.
Mais il faut arrêter de jouer sur les mots, le concours de P1 est passé, la clinique est plus directe que ces considérations sémantiques.


cônemorse

24/08/2012 à 20h54

Maintenant que nous avons réglé nos divergences de point de vue en privé, je me permets d'avoir la prétention et l'audace d'essayer d'apporter mon regard sur le deuxième cas clinique.
Il me semble que la racine disto-vestibulaire de la 26 soit courbée en direction distale et se glisse sous la 27, ce qui pourrait expliquer qu'elle soit retenue ou se soit ankylosée (je n'oserai pas me prononcer sur l'un des deux termes de peur de me faire gronder par les partisans de l'un ou de l'autre...;)).
Comme pour le premier cas, je pourrais envisager l'extraction de 27 et une traction de 26 (même s'il est difficile de tracter une dent dont les racines ont terminé leur édification).

Mais on peut aussi penser à une extraction de 26 + traction de 27.

Ou extraction de 26, mainteneur d'espace, sinus lift et implant mais ça commence à faire lourd...en tout cas pas à 12 ans!!


1309531 ours brun n5iukf - Eugenol
seespan

27/08/2012 à 08h52

J'ai demandé au enseignants, donc oui les deux cas présenter sur se fil, sont en toute probabilité des ankyloses.
Pour étre sur a 100% il faut faire un CT (on peut faire une percussion en bouche aussi, mais le CT permet de voir les zones d'ankylose)
Pour le traitement, une mobilisation est relativement inutile la dent va se réankylosé probablement en moins d'un mois, donc trop court pour avoir un réel impact par traitement ortho.
Une solution est de faire une couronne très haute.
Sinon extraction bridge, extraction implant, extraction traitement ortho.

--
หมอจัดฟัน


cônemorse

27/08/2012 à 13h59

Extraction/bridge, pour les dents saines ça craint un peu...