Cookie Consent byPrivacyPolicies.comConseils cas clinique (encore) - Eugenol

Conseils cas clinique (encore)

387658 285645131467567 178493338849414 912435 1067789649 n e7hcpr - Eugenol
Djuls

21/08/2012 à 13h02

Bonjour,

Est ce que vous pourriez me conseillez sur ce cas qui s'est présenté hier au cabinet:
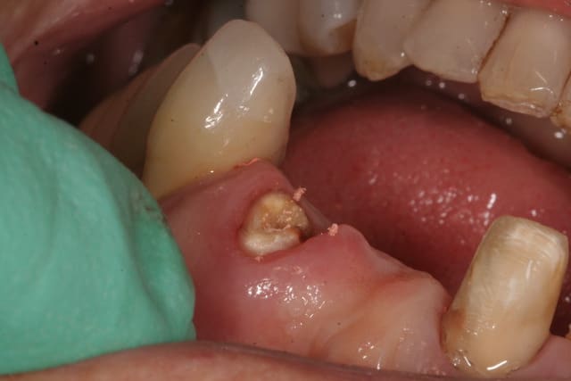
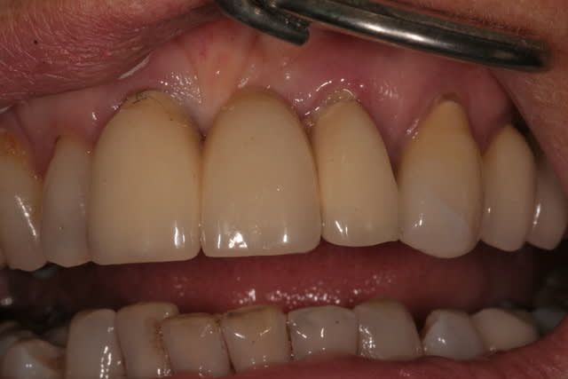
femme, 62 ans, santé RAS, qui arrive avec un bridge (fait par le confrère que j'ai remplacé il y a 2 ans) 11-(21)-22 mobile. 22 fracturée, je dépose, fais un provisoire.

Avec votre recul clinique, que me conseillez-vous ?
garder la 22 pour faire un inlay core et refaire ce bridge;
garcer la 22 pour la mettre dans un bridge qui irait jusqu'à la 27;
extraire la 22 et implants 21 22 ?

Merci pour vos avis.
J.

R30 y41cku - Eugenol
112122  2  vs6roq - Eugenol
112122 qltajp - Eugenol
112122  1  oughiu - Eugenol
P1 nqggso - Eugenol
R28 hx35pd - Eugenol

levm

21/08/2012 à 13h58

Exo et 2 implants .


chicote64

21/08/2012 à 15h46

Personnellement si j'était le patient,je refuserais la solution d'un partiel amovible le temps de l'osteointégration des implants.Ce que tu peux lui proposer c'est de placer un implant en 21 le plus rapidement possible en gardant son vieux bridge en provisoire.dans quelques mois tu pourras réevaluer la 22 et si besoin tu pourras l'extraire et faire un petit provisoire fixe sur son implant avec la 22 en extention(évidemment en sous_oc)


chicote64

21/08/2012 à 15h48

et bien sur,un implant en 22


1309531 ours brun n5iukf - Eugenol
seespan

21/08/2012 à 15h55

Vue l'état du tenon sur la 24 et le niveau d'os sur 27 le bridge secteur 2 risque de pas durer longtemps.
Couronne sur 35 avant que la carie passe sous l'os.
La 16, 15 et 14 carie sous gingival.
Voir pour une solution durable au maxillaire. Peut etre courrone pour stabiliser un amovible ou bridge complet avec ou sans implant. Mais refaire juste les trois dents anterieur c'est du court terme et ça va limiter les options pour refaire les secteurs postérieures.

--
หมอจัดฟัน


Smile beach jgh0a1 - Eugenol
Céramik

21/08/2012 à 16h33


All-on-8/10 en haut...ou complet...sérieusement tout est moche la haut.
Pas d'implant en avant avec le reste dans cet état...

--
Céramik


1309531 ours brun n5iukf - Eugenol
seespan

21/08/2012 à 16h38

Se serait un bon cas pour de l'implanto basal. Avec réalisation d'un bridge complet en charge immédiate.

--
หมอจัดฟัน


Dsc 3167 ff43tz - Eugenol
Xenophon

21/08/2012 à 17h39

Pas facile à annoncer à la patiente , la solution de Céramik. Pfff !! Bon courage !


Dsc 3167 ff43tz - Eugenol
Xenophon

21/08/2012 à 17h44

Pour ma part, je ne suis pas capable de faire un pronostic sur la pano même si en effet le bridge secteur 2 semble promis à un sombre avenir et la 26 m'inquiète. Le reste; je me méfie des panoramiques .....

Ce qui est sûr, c'est que je n'irai pas mettre un bridge sur cette latérale. Et même une couronne unitaire, j'hésiterais: trop grêle. Pas de ferule effect, racine trop courte. Bref tout pour plaire.


387658 285645131467567 178493338849414 912435 1067789649 n e7hcpr - Eugenol
Djuls

21/08/2012 à 21h50

Pas facile à annoncer, pas facile à réaliser non plus à moins de 30 balais... (oui je sais, c'est pas une raison valable...)

Xenophon écrivait:
------------------
> Pas facile à annoncer à la patiente , la solution de Céramik. Pfff !! Bon
> courage !


Little shop of horrors brzqjx - Eugenol
chatondecarte

22/08/2012 à 01h10

Céramik écrivait:
-----------------
>
> All-on-8/10 en haut...ou complet...sérieusement tout est moche la haut.
> Pas d'implant en avant avec le reste dans cet état...
>
> --
> Céramik




C'est certes très efficace comme approche, et beaucoup plus facile que conserver les dents, mais d'un point de vue psychologique, je te raconte pas le massacre...

Après je dis pas qu'on arrivera pas au complet... C'est plus que probable mais il n'y a pas trop de risque à y aller progressivement...


Bebe 038 nf8eum - Eugenol
danteyeah

22/08/2012 à 01h46

Céramik écrivait:
-----------------
>
> All-on-8/10 en haut...ou complet...sérieusement tout est moche la haut.
> Pas d'implant en avant avec le reste dans cet état...
>
> --
> Céramik

Pas faux (fracture céramique sur 23 aussi: il y'a quelque chose qui déconne dans l'occlusion de cette reconstruction).
Cependant j'aime beaucoup l'approche "en douceur" de Chicote64, et c'est peut être plus "Français" comme façon d'amener l'implanto dans la conscience de nos patients.
En proposant All-on 10 direct ici (en France), t'auras 99% des patients qui se casseront pour essayer de se trouver un "Pelé" pour leur sauver la vie ;-)


1309531 ours brun n5iukf - Eugenol
seespan

22/08/2012 à 04h48

danteyeah écrivait:
-------------------

> Pas faux (fracture céramique sur 23 aussi: il y'a quelque chose qui déconne dans
> l'occlusion de cette reconstruction).
> Cependant j'aime beaucoup l'approche "en douceur" de Chicote64, et c'est peut
> être plus "Français" comme façon d'amener l'implanto dans la conscience de nos
> patients.
> En proposant All-on 10 direct ici (en France), t'auras 99% des patients qui se
> casseront pour essayer de se trouver un "Pelé" pour leur sauver la vie ;-)

Le problème ici c'est que quasiment toutes les dents du haut sont presque en décompensation (pb paro, carie racinaire, tenon hors axe) pour l’instant ça tiend mais pour combien de temps. Et une fois qu'un élément va tomber, pour refaire du fixe sur c'est piliers, c'est pas gagnè
Mettre un implant : ok, on va ajouter un élément osteointégré a une structure prothétique qui ne l'est pas, normalement ça se règle avec l'occlusion, mais ça sous entend que le reste des éléments dentaire est relativement stable (pas de carie de racine, d’atteinte de la furcation, ect ) ici c'est loin d’être le cas.
Il suffit que l'un des éléments latéraux ce casse la gueule (ou bouge tout simplement, avec ce terrain paro et c'est carie ...) pour que l'implant se retrouve en surcharge occlusale.
Et la tu vas te retrouver a devoir revoir tout ton plan prothétique et trouver un moyen pour intégrer ton implants dans la future prothèse, et bien sure gérer la patiente.

Ici il faut avoir une vision long terme, ensuite la patiente a 67 ans !!! Vous aller pas me dire que c'est un problème de lui annoncer qu'a son age il lui faut un amovible.
Sinon des solutions fixe il y a . On peut faire une pose d'implant basal et bridge complet avec mise en charge immédiate, il y a Scorsetti qui fait ça a Nice. Excellente duré sur le long terme, elle a toute les chances d’être enterré avec. Par contre le prix ....
Ensuite si elle ne veut pas d'une solution raisonnable (prothèse stabilisé sur racine, couronne avec stellite, complet du haut ect ect ...)
Qu'elle aille voir quelqu'un d'autre

Dans tout les cas vous ne pouver pas faire un implant (structure fixe et définitive pas définition) avant d'avoir régler tout les problème secondaire et assurer une certaine stabilité dans l'environnement buccal.

--
หมอจัดฟัน


philipper

22/08/2012 à 14h34

et comment cela va-t-il se passer pour la facture ?

deux ans pour un bridge c'est peu , il y a pour moi un problème de conception ...

qui va payer ?


387658 285645131467567 178493338849414 912435 1067789649 n e7hcpr - Eugenol
Djuls

22/08/2012 à 15h40

J'ai repris le cabinet il y a 2 ans. Le bridge est en place depuis 7 ans.

philipper écrivait:
-------------------
> et comment cela va-t-il se passer pour la facture ?
>
> deux ans pour un bridge c'est peu , il y a pour moi un problème de conception
> ...
>
> qui va payer ?


chicote64

22/08/2012 à 18h49

seespan écrivait:
, ensuite la patiente a 67 ans !!! Vous
> aller pas me dire que c'est un problème de lui annoncer qu'a son age il lui faut
> un amovible.
>
AUCUNE PSYCHOLOGIE !!!!


1309531 ours brun n5iukf - Eugenol
seespan

22/08/2012 à 18h57

chicote64 écrivait:
-------------------
> AUCUNE PSYCHOLOGIE !!!!

Ce lancer dans des reconstitution fixe qui vont coûter cher, être délabrante et on une durée de vie faible, c'est faire preuve de quoi?

En dentaire nous devons pratiquer la compassion du bourreau.
Un geste vif est précis. Tout le reste est mal venue.

Faite ce que vous voulez mais ce n'est pas votre attitude qui va changer la situation dentaire de votre patiente. Quand la messe est dite la seule chose qui compte c'est votre plan de traitement et son exécution.
Vous pouvez jouer sur la manière dont vous annoncer la situation au patient, mais pas sur les actes que vous proposer.

--
หมอจัดฟัน


philipper

22/08/2012 à 19h29

estimez vous que 7 ans est une durée de vie normale pour un bridge ???


Canin

22/08/2012 à 19h35

philipper écrivait:
-------------------
> estimez vous que 7 ans est une durée de vie normale pour un bridge ???

Dans l absolu, non, c est un peu court, mais dans la situation précise c est pas mal du tout, faut juste le patient soit averti au départ.

--
Canin


philipper

22/08/2012 à 20h04

en couronnant deux dents dévitalisée (sans renfort) dont une latérale la durée c'est 10 ans maximum (en moyenne 5 ans )

si le patient est averti ok

mais a-t-elle été avertie ???


chicote64

22/08/2012 à 22h31

seespan écrivait:

> En dentaire nous devons pratiquer la compassion du bourreau.
> Un geste vif est précis. Tout le reste est mal venue.
>
> Faite ce que vous voulez mais ce n'est pas votre attitude qui va changer la
> situation dentaire de votre patiente. Quand la messe est dite la seule chose qui
> compte c'est votre plan de traitement et son exécution.
> Vous pouvez jouer sur la manière dont vous annoncer la situation au patient,
> mais pas sur les actes que vous proposer.
>
Tu es un vrai taliban de la dentisterie!J'ai moi-meme réalisé un bridge sur une 17 dont je n'aurais pas pronostiqué la survie à 5 ans (sous la pression de le patiente)C'était il y a plus de 10 ans et la patiente me rappelle régulièrement que je dois manger ma turbine(je l'avais prévenu que ça tenait plus de 5 ans ,je mangerai ma turbine)Alors si on suit ton raisonnement,dès les premiers signes de parodontite,hop,on extrait tout et "all in four;fife,ou plus!quid de l'enseignement d'un mimimum de base d'hygiène,quid meme de la paro en général?


Canin

23/08/2012 à 00h38

C est clair, j avance en âge et j ai de moins en moins de certitudes, et finalement de plus de plus de doutes.

Trop de paramètres entrant en jeu, difficile de tout gérer.

--
Canin


1309531 ours brun n5iukf - Eugenol
seespan

23/08/2012 à 05h14

chicote64 écrivait:
Alors si on suit ton raisonnement,dès les
> premiers signes de parodontite,hop,on extrait tout et "all in four;fife,ou
> plus!quid de l'enseignement d'un mimimum de base d'hygiène,quid meme de la paro
> en général?

Non le point que je met en avant est que faire des solutions de bricolage (qui coûte cher en plus) en croisant les doigts pour ne pas dire à la patiente qu'une solution amovible est envisageable n'est pas professionnel.

Certe on ne peut pas prédire l'évolution de toutes les situation, mais dans ce cas précis, se précipiter sur l'implants quand la patient à de nombreux autre problème au maxillaire c'est plus que léger.
Les caries sous couronnes vous en faite quoi?
Vue l'état des racines (une pano n'a pas une bonne résolution mais les canaux on l'aire bien calcifiè) vous pensez que vous allez pouvoir faire un traitement endo sur tout les racines?
Les atteintes paro vous en faite quoi? curetage? chir? séparation de racine? Contention?
C'est quoi votre vision(s) prothètique(s) final?
Votre implant une fois mise en place il bougera plus, pas de possibilité d'évolution, et la mise en place est dicté par la dent qu'il doit remplacé.
Mais si vous parter dans une optique de reconstitution globale, vous avez des options ou vous pouvez mettre des implant en antérieurs mais comme la prothèse est différentes leur emplacement et morphologie peuvent être diffèrent.
Si vous commencer par l'implant, un on peut vous en ternir rigueur professionnellement (désolé mais ça fait vraiment situation intéressé) , deux vous vous imposer des limitations pour toutes future reconstitution prothétique globale.

Ensuite à 67 ans la patiente est légalement majeure et à le droit d’être soigné en toute connaissance de cause.

Juste pour info si vous faite un soins dont vous savez ou vous douter pertinemment qu'il ne peut pas durer, la patiente peut vous signer toutes les décharge que vous souhaité. Si en effet ça ne tiens pas et quel décide de se retourner contre vous, vos décharges n'ont aucun point juridique. Plus la sécu et la mutuelle qui ont participer financièrement au travaux peuvent aussi vous demander des compte.
Sujet d'un des courts de Scorsetti grand pont du medico légal, en implanto et d'une manière générale en dentisterie un diplôme et des décharge de la part des patient n'offre aucune protection juridique. La seule chose qui sera examiné c'est la situation initial, le plan de traitement et les conditions de réalisation des travaux.
Vous été le professionnel de santé pas la patiente. Si la demande n'est pas raisonnable c'est a vous de la rejeter.
Si votre bridge sur 17 avait durer 2 ou 3 ans et qu'elle était venue se plaindre, vous auriez était en tord.
Dire :
-mais elle à insister
-mais elle savait que peut être ça ne tiendrait pas
-mais j'ai eu des cas merdique dans ce genre ou ça a tenue
-mais regarder la si innocente et insouciante quel monstre pourrait lui annoncer qu'il faut de l'amovible.

Va très mal passer auprès d'un expert

Ensuite par 'experience' sur ce genre de cas, elle est en décompensation, ç'est a dire ça a tenue jusqu'a présent mais quasiment tout les piliers se sont affaiblie mécaniquement (carie, pb paro, endo imposible, tenons hors canal). Ce genre de cas quand ça commence a se casser la gueule a un endroit c'est tout la structure qui suis peut de temps après. Le résultat c'est :
le Docteur X m'a fait les grand travaux il y a XX année ça a très bien tenue, jamais un problème. Puis il y a une couronnes qui est tombé j'ai du aller voir le docteur Y il me la remis en place/ fait une nouvelle couronne, et tout a commencer a bouger. Clairement c'est la faute du nouveau dentiste.
--
หมอจัดฟัน


chicote64

23/08/2012 à 15h42

Et quand tu achètes une voiture,si tu veux la revendre 3 ou 4 ans après,tu saIs combien d'argent tu perds?Ca ne va t'empecher de l'acheter:tu en as BESOIN.et bien pour les dents c'est pareil!Si tu entretiens ta voiture elle dureras plus longtemps,les dents pareil!Ton bridge complet sur implants je ne lui donne pas une grosse espérance de vie si tu as fait croire au patient qu'il l'avait à vie!Initier aux patients des notions de maintenance parodontale ça se fait sur du long ou du moyen terme.Ne me fais pas croire que le ou les implants plaçés avant l'édentation totale vont comprometre l'avenir!!!!


1309531 ours brun n5iukf - Eugenol
seespan

23/08/2012 à 16h33

chicote64 écrivait:
-------------------
> Et quand tu achètes une voiture,si tu veux la revendre 3 ou 4 ans après,tu saIs
> combien d'argent tu perds?Ca ne va t'empecher de l'acheter:tu en as BESOIN.

Je suis pas carrossier je suis dentiste.

Piéce en trois acte:

1 Tu fais des travaux, tu previens que ça tiendras probablement pas ça tien deux trois ans
2 la patiente se plein. Oui il m'avait dit, mais mois j'y connais rien, je luis faisait confiance, je me disait c'est un médecin si c'est pas correct il fera pas, et puis j'ai pas les sous pour faire de nouvelle prothèse, vous comprenez bien que je ne peus pas rester comme ça
3 les documents préop montre que le terrain n’était pas bon.Et que comme dit précédemment en effet ça pouvait pas tenir.

TU ES RESPONSABLE

Ensuite si tu ne me crois pas demande a un dentiste conseil.

Ton bridge complet sur implants je ne lui donne pas
> une grosse espérance de vie si tu as fait croire au patient qu'il l'avait à
> vie!
C'est pas mon bridge je te dis juste qu'il y a des gents qui peuvent probablement faire, ensuite pour le praticien citer,demande leur avis au implanto sur le forum. Je pense qu'il connaisse.

> du long ou du moyen terme.Ne me fais pas croire que le ou les implants plaçés
> avant l'édentation totale vont comprometre l'avenir!!!!

Je dis qu'un implant placer pour remplacer une dent, n'as pas les même caractéristique de forme et d'emplacement qu'un ou des implants place dans une optique de reconstitution globale.
Un implant c'est relativement définitif généralement tu poses tes implants en fonction du shéma prothètique final. Tois tu veux poser un implant et puis en fonction de ce qui arrive faire évoluer une prothèse autour.


--
หมอจัดฟัน


12