Cookie Consent byPrivacyPolicies.combizarrerie - Eugenol

bizarrerie

chicchique

23/08/2012 à 11h31

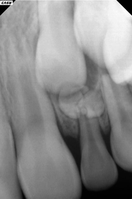
RX 62
Un odontome je pense ...

BBD Enfant de 9 ans .Je me suis étonnée de la presence de la 62 sur l'arcade alors que 12 est en place

Je vais la diriger tout de suite chez l'ortho avant d'extraire, pour eviter la fermeture d'espace.

62 sbqvgy - Eugenol

Images nv3xcf - Eugenol
au fond du canal

24/08/2012 à 20h00

Bravo de l'avoir vu avant que le temps continue à jouer en défaveur de cette enfant.