Cookie Consent byPrivacyPolicies.comimage suspecte 21 - Eugenol

image suspecte 21

yoye

04/09/2012 à 22h50

Bonsoir à tous, cette 21 doit etre intégrée à un bridge mais l'image sur la racine en mesial m'inquiète.
S'agit il d'une rhyzalyse interne ; cette dent a subi un traumatisme important il y a 20 ans avec une luxation de la dent qui a été remise dans son alvéole
Cette dent est silencieuse pas de douleur mais une légère mobilité.
Est ce bien raisonnable de la conserver mais le praticien qui a su la sauver il y a 20 ans serait peut etre d'un autre avis...
merci de votre aide


yoye

04/09/2012 à 22h55

avec la radio c'est mieux...


yoye

04/09/2012 à 23h03

je ne parviens pas a la poster , je vais essayer autrement plus tard


Photo pluton1b h9n4ea - Eugenol
pluton

04/09/2012 à 23h15

yoye écrivait:
--------------
> je ne parviens pas a la poster , je vais essayer autrement plus tard

avec firefox ou chrome...pas IE...;-)


yoye

05/09/2012 à 01h05

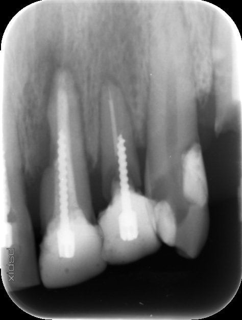
voila la radio

Image 11 iml4kw - Eugenol

aimpi

05/09/2012 à 01h19

mèche courte…


Dsc 0094 rkrzoz - Eugenol
Guillaume T

05/09/2012 à 02h03

Euh... tu es vraiment sur de vouloir bridger là dessus ?
tu as une bonne assurance, j'espère.
20 ans de silence clinique c'est très très bien.
Mais il est peut être temps de passer à autre chose et de penser plutôt à la préservation du capital osseux.


Smile beach jgh0a1 - Eugenol
Céramik

05/09/2012 à 03h55

Selon la p'tite radio...
11 on doute, mais bon...
21 Kaput
22 Kaput
23 pas forte
24 Kaput

Le bridge, pas faire, il faut

--
Céramik


1309531 ours brun n5iukf - Eugenol
seespan

05/09/2012 à 04h29

Faut pas dramatiser non plus, tu peux expliquer à la patiente que l'on fait de très belle chose avec la résine de nos jour.
Sinon il y a le titane, mais pas le même prix

--
หมอจัดฟัน


Smile beach jgh0a1 - Eugenol
Céramik

05/09/2012 à 06h19

seespan écrivait:
-----------------
> Faut pas dramatiser non plus, tu peux expliquer à la patiente que l'on fait de
> très belle chose avec la résine de nos jour.
> Sinon il y a le titane, mais pas le même prix
-

Il est où le drame ?

Le drame, c'est d'avoir une seule rétro pour un cas clinique, disons pas très standard, avec comme plan de tx un "bridge"...
et le reste ? On se plaint que nonol vole bas depuis des mois...
sans faire une thèse de 10 pages, je trouve que les questions cliniques manques de rigueur, d'info, non ?


--
Céramik


RépondreCiter
Photo pluton1b h9n4ea - Eugenol
pluton

05/09/2012 à 09h29

Céramik écrivait:
-----------------
> seespan écrivait:
> -----------------
> > Faut pas dramatiser non plus, tu peux expliquer à la patiente que l'on fait de
> > très belle chose avec la résine de nos jour.
> > Sinon il y a le titane, mais pas le même prix
> -
>
> Il est où le drame ?
>
> Le drame, c'est d'avoir une seule rétro pour un cas clinique, disons pas très
> standard, avec comme plan de tx un "bridge"...
> et le reste ? On se plaint que nonol vole bas depuis des mois...
> sans faire une thèse de 10 pages, je trouve que les questions cliniques manques
> de rigueur, d'info, non ?


+10000 Céramik

faut une pano pour y voir plus clair et mieux évaluer ce cas qui ne semble pas aussi "évident" que çà...
je te rejoins aussi sur la probabilité de conservation des quenottes que l'on voit sur la radio...et pour le reste??? c'est important aussi de savoir si l'intégralité de la bouche de la patiente est dans cet état ou non...


roger chicot

05/09/2012 à 10h41

TROLL ou alors yoye doit retourner à la fac !!!!

LAMENTABLE !!!!


RépondreCiter
F e01w igu3rl - Eugenol
roumette

05/09/2012 à 10h49

Ah! Merci yoye pour ce fou rire de bon matin!!!!
Et le suspens de la radio, trop bon!!!!!
Mercimercimerci!!!!
:-))))))))


1309531 ours brun n5iukf - Eugenol
seespan

05/09/2012 à 11h17

Céramik écrivait:
-----------------
il y a le titane, mais pas le même prix
> -
>
> Il est où le drame ?
>
> Le drame, c'est d'avoir une seule rétro pour un cas clinique, disons pas très
> standard, avec comme plan de tx un "bridge"...
> et le reste ? On se plaint que nonol vole bas depuis des mois...
> sans faire une thèse de 10 pages, je trouve que les questions cliniques manques
> de rigueur, d'info, non ?
>
>
> --
> Céramik

Non la question était: peut ton raisonnablement intégré la 21 a un bridge (l'étendue du bridge n'étant pas précisé)? pour répondre à cette question je pense que la radio est plus que suffisante. La valeur de cette dent comme pilier pour un bridge est très mauvaise. Résorption externe semblant aller presque jusqu'au canal, suspicion d'infection peri-apical, reprise d'endo probablement impossible ne serai ce qu'a cause du screw post indémontable sans risquer la fracture ou l'avulsion. Pas besoin de connaitre la configuration du bridge, l'état des autres pilier, l'occlusion ou autre paramètre pour juger de la valeur de la 21 dans ce cas.
La documentation est plus que suffisante

Ensuite pour une vision prothétique globale ce n'était pas la question posée.
--
หมอจัดฟัน


Canin

05/09/2012 à 11h23

Ouhlala, ça pique les yeux une rétro comme ça.


--
Canin


yoye

05/09/2012 à 11h59

Je suis content de vous faire rire le matin , s'il ne vous faut que ça c'est bon signe ...
Je ne vous ai pas interrogé sur le plan de traitement à tenir ni sur autre chose de global mais sur l'image radiculaire de 21 .
Vous etes sans doute trés fort, pas confraternel du tout mais je pense que ç'est inversement proportionnel à l'égo de certains.
Ma question était simple , la radiographie rétro alvéolaire est je pense suffisante pour répondre à cette question.
Je te remercie seespan d'avoir su lire ma question et d'y avoir répondu gentiment , les autres je vous laisse discuter de grands cas complexes entre vous avec les patients que vous ne manquez pas d'avoir qui sont tous capables de se payer des bridges complets sur implants.
Merci , bonne journée .


yoye

05/09/2012 à 12h10

Toi je vais quand meme te répondre...
C'est marrant je viens de lire tes trois derniers post et ils se ressemblent étrangement celui d'hier à 17.41 ou tu pestes contre ceux qui selon toi polluent eugénol et celui du 3 septembre ou " t'en as rien a foutre de la confraternité "
Alors tu vois les autres, meme si je trouve peu constructive leur réponse au moins ils postent des cas cliniques ou on voit ce qu'ils sont capables de faire et de bien faire.
Manifestement c'est pas ton cas alors sois gentil passe tes nerfs sur ton assistante ,ta femme si elle est encore là , ou qui tu veux mais remets toi en question y a du boulot...


yoye

05/09/2012 à 12h12

mon dernier post était à l'attention de roger chicot


01 ukhwbq - Eugenol
ʎqqoq

05/09/2012 à 12h18

Salut Yoye, je ne sais pas quel âge tu as, mais je pense que tu es aussi en début de carrière. (j'ai 30 ans)
Je pense qu'au départ, on a tendance à être super optimistes, à vouloir sauver toutes les dents, et arranger les patients plus qu'il ne le faudrait.
21 (perforée par le SP), 22 (super cariée, rapport C/R défavorable) et peut-être bien 24 sont mortes, tu vas au devant des problèmes si tu cherches à conserver ça.
Ça part d'un bon sentiment, mais c'est une mauvaise idée.

Bonne journée ;-)


120 81 mdkvjo - Eugenol
Monaco

05/09/2012 à 12h20

D'accord avec yoye .. Ça me tape sur le système cette succession de posts peu constructifs.. Ok on est pas tous des pontes (comme certains ??) mais un peu d'entraide et de confraternité ferait pas de mal.
Quand je vois le nombre de posts de cas cliniques où le pauvre mec se fait rembarrer parce que pas la digue machin, parce ta radio est merdique, parce que ton traitement est pourri ...
Oh du calme un peu. C'est un forum d'entraide, on est pas des pauvre étudiants là pour prendre des cours par des abuseurs de leur "petit" pouvoir ..


Photo pluton1b h9n4ea - Eugenol
pluton

05/09/2012 à 12h23

yoye, il ne me semble pas avoir été irrespectueux envers toi...

c'est clair, la 21 a une résorption externe, donc dent pas fiable, direction le bassinet...
au vue de ta radio, la 22 a une reprise de carie très importante, tout comme la 24, la 23 elle, semble conservable

si je t'interroge sur l'état buccal de ta patiente, c'est tout simplement que, admettons que tu puisses sauver la 22 et la 24, les piliers deviendront quand même extrêmement fragiles et là l'occulsion deviendra fondamentale si tu veux pas avoir ta patiente tous les 4 matins sur ton fauteuil pour re-sceller le bazar et conduire là où on sait...(fracture, extrac, etc...)

mais bon, je peux aussi me tromper...même si pour moi, en 2012, implant vs bridge donne l'implant vainqueur par KO...

cordialement


F e01w igu3rl - Eugenol
roumette

05/09/2012 à 13h26

Bon allez, sache que je n'ai pas voulu me moquer de toi.

Je ne suis pas un admiratrice des grands cas cliniques et du plantage de clous à tout crin, loin de là, je ne suis qu'une petite dentiste ordinaire qui ne cherche pas à briller parmi les étoiles.

L'idée que je trouve rigolote, c'est de savoir ce que penserait le dentiste qui a fait la réimplantation il y a 20 ans. Voir à quel point le patient n'en a rien à faire de ses dents. Pauvre confrère... avoir fait tous ces efforts pour un tel résultat.

Vaut-il mieux en rire ou en pleurer?

Bien sûr, qu'elle est foutue la 21. Et pas que...


yoye

05/09/2012 à 14h11

A ʎqqoq, oui on a sensiblement le meme age.. c'est sur que je suis peut etre conservateur mais par moment il faut aussi tenir compte de ce que peut faire le patient.
D'une manière générale extraire pour ne pas remplacer derrière est ce mieux que de conserver meme si cela n'est pas un cas clinique parfait ( je ne parle pas pour une grande reconstitution mais un cas unitaire par exemple ) et finalement eviter un édentement au patient. C'est un vaste débat , chaque cas étant un cas particulier. Mais tu as raison on a tendance à prendre certains rique ou accepter certains compromis pour rendre service et donc s'exposer à des echecs parfois.

A pluton et roumette , merci de vos réponse c'est quand meme mieux de pouvoir échanger comme ça. Oui tu as raison la 23 est ok , 22 et 21 me posaient des questions mais je n'étais pas sur de cette image , peut etre existe elle depuis 20 ans sans signe clinique ?
Ce patient a à peine 30 ans , on peut considérer qu'il ne s'occupe pas de ses dents mais il semble maintenant plus motivé.
Vous parlez du dentiste d'il y a vingt ans mais justement si l'on execpte le fait que le patient ait laissé évoluer tout ça dans un mauvaise direction, le fait qu'il ait pu sauver ces deux dents ( elles sont quand meme la 20 ans plus tard apres deux expulsions ) m'interpelle un epu dans mon plan de traitement. En plus le patient est fumeur et n'a pas forcément de gros moyens financiers qui permettraient un traitement implantaire et 30 ans c'est bien tot pour un claquoir...

merci pour vos dernières réponses , d'une manière générale elles sont toutes dans une optique d'extraction , avulsion que j'avais envisagé quand meme , elle n'empechera pas la réalisation du bridge du manière globale .


Capture d  cran 2015 03 12 12.28 - Eugenol
chicot29

05/09/2012 à 15h46

Dans 2-3 ans quand ta pièce montée se sera cassé la gueule, les emmerdes arriveront de façon globale aussi.


yoye

05/09/2012 à 19h32

oui ça fera bouquet final , aprés une pièce montée c'est dans la logique des choses .


12