Cookie Consent byPrivacyPolicies.comRésorption interne?? - Eugenol

Résorption interne??

dentine34

05/09/2012 à 19h39

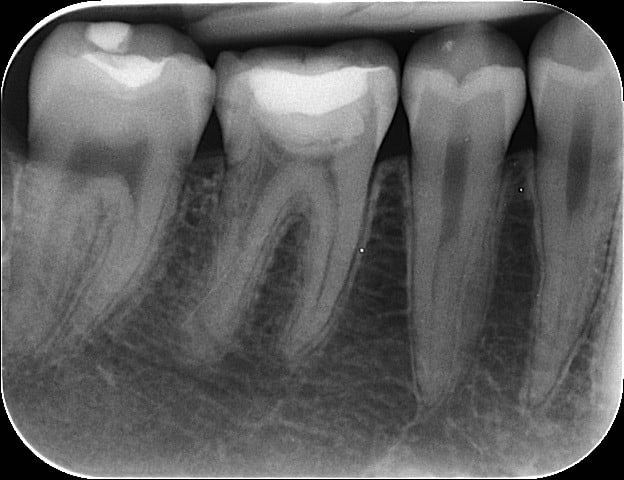
Patiente de 19 ans venue en urgence pour des douleurs type pulpite.
3 mois plus tôt, son dentiste a réalisé un compo sur la 46. A la radio, je suppute que sous le compo il a mis une protection pulpaire (?), mais c'est surtout l'image en distal qui m'interpelle! Est-ce bien une résorption interne???
Après discussion avec la patiente, je décide d'ouvrir la dent pour voir sur quoi je tombe.
Mais que le pronostic n'est pas forcément très bon.
J'ouvre donc la chambre pulpaire, bizarrement ça ne saigne pas tant que ça. Je cathéterise, difficile de trouver les canaux en distale. Mise en place d'OHca.
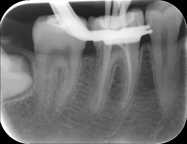
Je revois la patiente 7 jours plus tard. Elle n'a pas eu de douleurs. Préparation des canaux, toujours des difficultés à trouver l'entrée des canaux en distal surtout le DL.
Je n'arrive pas à obtenir des canaux bien secs, donc OHca.
Je la revois bientôt, je posterai la radio finale...
Si j'y arrive je compte mettre du MTA en distal dans le 1/3 coronaire, ou alors un collage et du cpr flow pour renforcer la dent a ce niveau-là...

Qu'en pensez-vous?
Résorption interne ou externe? Viabilité du traitement? Pronostic?

Merci++++

Endo uhf3v2 - Eugenol
Endo 3 mhq8fw - Eugenol

Photo pluton1b h9n4ea - Eugenol
pluton

05/09/2012 à 20h22

çà ressemble en effet à une résorption externe...

si c'est bien çà quand tu compacteras ta gutta çà va fuser en distal...donc la radio de contrôle sera sans appel...
et si c'est bien çà, le ttm c'est extrac et implant...


Img 3657 cwjvqm - Eugenol
alapex

05/09/2012 à 20h28

Tu n'as aucun signe au sondage en distal ?


Images jm2g2g - Eugenol
dr_0le

05/09/2012 à 20h32

je pense aussi a une résorption ext, on verra a l'obturation comme dit plus haut..
Quelles chambres pulpaires de fou sur les prémo oO


120 81 mdkvjo - Eugenol
Monaco

05/09/2012 à 20h34

dr_0le écrivait:
----------------

> Quelles chambres pulpaires de fou sur les prémo oO


19 ans, et c'est un sanguin sans doute ..


Grumpy cat ifik8s - Eugenol
radich_a_tord

05/09/2012 à 20h37

Comme les copains je pense à une résorption externe.
Tu as bien fait de tenter j'aurais fait pareil. Pas sur que le MTA fasse grand chose par contre.

Je connais une consoeur qui en est à sa 3ème molaire touchée. A chaque fois une dent parfaitement saine, résorption externe qui finit par une extraction. Elle en est malade, pleure souvent, etc bref une grosse merde. Et le tout sans avoir trouvé de cause, à part un traitement ortho tout à fait banal, donc rien de concluant.

Dans ton cas je ferais une pano pour voir si ya pas d'autre surprise...


Img 3657 cwjvqm - Eugenol
alapex

05/09/2012 à 20h39

"Et le tout sans avoir trouvé de cause, à part un traitement ortho tout à fait banal, donc rien de concluant."


Bin , amha c'est l'étiologie justement .


dentine34

05/09/2012 à 21h33

aucun signe au sondage, et je n'ai pas trouvé de communication quand j'ai fait la cavité d'accés ou lors de la preparation des canaux distaux...
Je croise les doigts, pour qu'il n'y est pas de fusée de gutta...de toute façon la patiente est prevenu qu'en cas d'échec ce sera extraction+implant


dentine34

05/09/2012 à 21h38

Grave quelle chambre de fou sur les prémo!!!...heureusement qu'il n'y a pas de traitement de racine à faire dessus! D'ailleurs je vais soigner la petite carie débutante sur la prémo en distal...


1309531 ours brun n5iukf - Eugenol
seespan

05/09/2012 à 23h18

Prend une rétro avec deux forte angulation différente la prochaine fois si tu peux.
Il y a une possibilité que ce soit un artéfact de la radio. La 6 semble avoir une racine distal bifide, au niveau de la zone de séparation si tu est dans un axe qui sépare légérement les racines l'une de l'autre ça peut apparaître peut radio dense, tu as le même type d'image au 1/3 apical de la 5. Mais la séparation peut aussi se produire beaucoup plus haut et les racine revenir ensuite dans le même axe. Ce n'est pas courant mais ça expliquerait ton image et pourquoi ça n'as pas saigné quand tu as ouvert.
Une abération anatomique est aussi plus probable qu'un résorption interne.
--
หมอจัดฟัน


1309531 ours brun n5iukf - Eugenol
seespan

06/09/2012 à 04h34

Sinon si c'est une résorption interne tu peux extraire la racine distal et faire une couronne sur la mésial.

--
หมอจัดฟัน


dentine34

06/09/2012 à 14h50

Perso Seespan, je ne suis pas trop fan des amputations radiculaires, surtout sur une 6 du bas et une patiente jeune. Je pense que les amputations radiculaires en 2012 n'ont pas de sens face à un implant.
Je revois la patiente vendredi prochain on verra ce que donne la radio à l'obturation!

seespan écrivait:
-----------------
> Sinon si c'est une résorption interne tu peux extraire la racine distal et faire
> une couronne sur la mésial.
>
> --
> หมอจัดฟัน


1309531 ours brun n5iukf - Eugenol
seespan

06/09/2012 à 15h06

dentine34 écrivait:
-------------------
> Perso Seespan, je ne suis pas trop fan des amputations radiculaires, surtout sur
> une 6 du bas et une patiente jeune. Je pense que les amputations radiculaires en
> 2012 n'ont pas de sens face à un implant.

Mais mois j'avais pas mal de CMU donc un implant aurait était impensable. L'amputation c'est pas top mais mieux que rien.

> Je revois la patiente vendredi prochain on verra ce que donne la radio à
> l'obturation!

Tu pourrais remettre les retro d'origines parce que là on peut plus les voir.

--
หมอจัดฟัน


1309531 ours brun n5iukf - Eugenol
seespan

06/09/2012 à 15h59

D'après the pathways of the pulp (ulta abrègè).

Le diagnotique différentiel se fait en prenant la radio sous différent angle.
Si c'est interne tu peux le prendre sous n'importe quel angle la lésion restera toujours associé au canal (normal c'est l'orgine de la lésion); De plus tu dois toujours avoir une lésion bien délimitée. (trou au milieux de la racine qui est l'élément le plus radio dense)
Si c'est externe quand tu fais varier l'angulation, la lésion doit s'éloigné de la pulpe (normal elle commence à l'interface zone racine) les zone ne sont pas toujours nette (lésion du a un process inflamatoire avec des limites osseuse et dentinaire, différente densité radiologique, donc suivant l'angle sa varie). En faisant varié l'angulation tu dois étre capable de déterminer la position de la lésion
Donc d'après ta radio de mémoire c'est plutôt externe, le problème étant que les résorption externe sont moins fréquente que les internes.

Quand tu ouvres avec une resoprtion interne la pulpe est souvent en partie nécrosé donc ça doit pas trop saigné, une fois que tu a enlevé le tissue pulpaire ça dois plus saigné du tout.
Pour une resorption externe, si la racine est perforé sa ne doit pas s’arrêter de saigné vue que la source est externe.

Donc la se serait plutôt une lésion interne d'après la pulpe.

Faudrait demander leur avis aux endo exclusive, il pourrait aussi nous dire si c'est pas une anatomie abberante de la racine distale.

The pathways of the pulp 10th édition, 150 euros sur amazone, normalement déductible des impôt car matériel professionnel.
--
หมอจัดฟัน


1309531 ours brun n5iukf - Eugenol
seespan

06/09/2012 à 17h33

Bon ben d'après le bouquin c'est externe sans perforation de la racine (sinon ça aurait continué a saigner.
Le problème si c'est externe c'est que le traitement endo n'est pas étiologique vue que le processus inflammatoire est hors de la racines. Donc si externe la résorption va continué.
Pour le traitement le bouquin ne donne pas de détail (apparemment il faut supprimé la zone contaminé et mettre un matériaux de comblement), juste la première étape c'est localiazation de la zone affecté en faisant varier l'angulation de la radio (utilisation de la règle du parallaxe pour savoir si c'est lingual ou buccal.).
Enfin sur ce cas la extraction plus implant parait plus simple.
--
หมอจัดฟัน


ti

06/09/2012 à 20h28

Le sondage paro est comment en distal ?
La palpation de la table osseuse externe ?
Pour moi d'emblée cône beam. Pour éliminer l'éventualité d 'une résorption externe. Si tu obtures alors qu'il y a resorption, alors dommage pour celui qui implante après ......


1309531 ours brun n5iukf - Eugenol
seespan

06/09/2012 à 23h01

ti écrivait:
------------
, alors dommage pour celui qui
> implante après ......

Pourquoi? vue que la lésion ne saigne pas cela veut dire qu'il n y a pas de communication entre la chambre et l'os, le materiaux d'obturation vas rester dans le canal, donc meme si c'est externe et que la résorption continue il suffit d'extraire la dent. Non ?

--
หมอจัดฟัน


dentine34

06/09/2012 à 23h27

Merci Seespan pour les infos et la biblio!
Sinon en distal RAS au sondage, parcontre je n'ai pas pensé à palper la table externe...
Et puis manque de bon réflexe,effectivement le cône beam aurait pu apporter de bonnes infos, surtout qu'on en a un!
Par contre je ne pense vraiment pas qu'il y ait de communication avec le milieu extérieur car après la préparation des canaux, le saignement était léger et qu'en apical au vue des pointes de papiers!
Lors de l'obturation je ne pense pas qu'il y aura de fusée de gutta car au cas où qu'il y ait vraiment communication avec le parodonte, je vais limiter la gutta à la moitié de la racine et au dessus au niveau de l'image suspecte ce sera un collage et composite flow...


dentine34

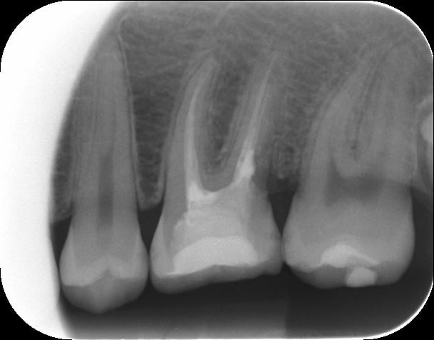
17/09/2012 à 20h43

Voilà les radios apres obturation.
Il n'y a pas eu de fusée de gutta...ouf!
J'ai mis vraiment très très peu de ciment et en distal j'ai renforcé la dent avec un collage avec du composite flow. Et puis j'ai terminé avec un composite classique en occlusal.

La patiente est prévenu que l'avenir de cette dent est incertain mais ravie qu'on ai essayé de tout faire pour la sauver.

PS: désolé pour la dernière radio à l'envers...

P0056428 20120914 dr39484 fuoguu - Eugenol
Spyczak pebjhr - Eugenol

flicflac

18/09/2012 à 05h10

Radio pré-op= furcation (concavité) très prononcé avec 2 racines distales distincts.