Cookie Consent byPrivacyPolicies.com11 à eclaircir - Eugenol

11 à eclaircir

rere

14/09/2012 à 16h56

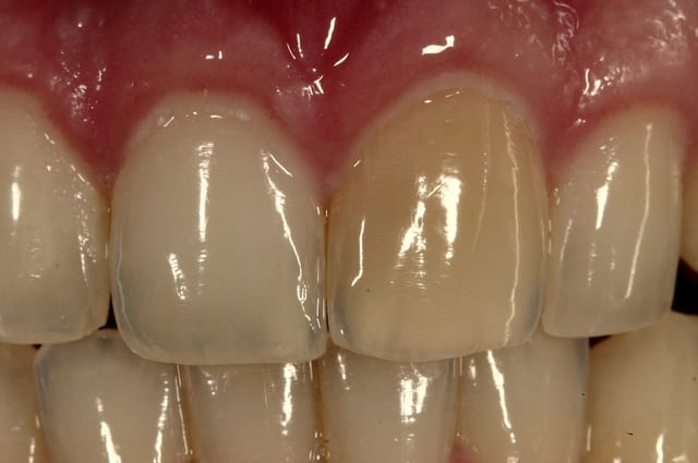
J'ai besoin de votre aide pour une jeune patiente qui aimerait eclaircir sa 11
JE vous laisse la radio en piece jointe
eclaircissement interne? ou externe pour vous?
merci de vos reponses


rere

14/09/2012 à 16h58

piece jointe zut!

R2treve l7fqu7 - Eugenol

003 penrd2 - Eugenol
Cingulum

14/09/2012 à 17h17

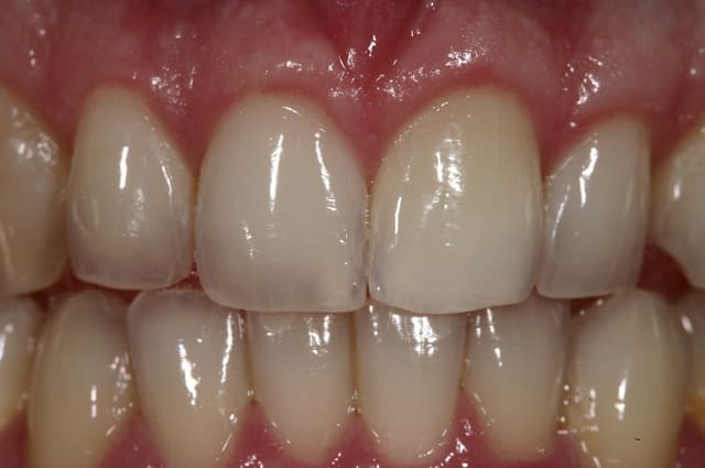
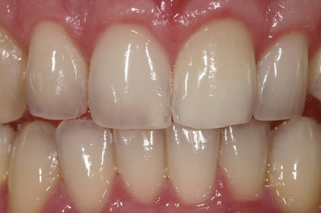
commence par de l'externe unitaire

--
Dr Cingulum
-----Ancien interné----
----Attaché à l'apex----
http://www.clinic-all.fr/ formation par passion

Img 9020 rg5gmk - Eugenol
Img 9131 xknfaq - Eugenol
Img 9132 b8neuk - Eugenol
Img 9016 g9j6g7 - Eugenol
Img 9021 exodva - Eugenol

1309531 ours brun n5iukf - Eugenol
seespan

14/09/2012 à 18h20

La 11 est vitale?
On ne voit pas le canal alors qu'il est visible sur 12 et 21.
Y a t'il une différence de sensibilité entre les deux centrales?

--
หมอจัดฟัน


rere

14/09/2012 à 18h39

test de vitalite negatif !
cela me gene de faire un traitement interne car je ne sais pas ou mettre mon cvi au niveau de "l'entrée" canalaire.
je suis plus d'avis de faire un traitement externe mais je me demande si le resultat sera aussi efficace que Cingulum...


rere

14/09/2012 à 18h41

Pas du tout envie de me lancer dans un ttt endo sachant qu je surveille radiologiquement chaque année et que la patiente est prévenue.


levm

14/09/2012 à 18h45

J'ai eu le meme cas , il n y a pas longtemps avec nécrose aseptique .
On ne voyait pas le canal , dent nécrosée . J'ai essayé d'ouvrir la dent pour faire l endo puis faire un éclaircissement interne .
Impossible de passer la moindre lime .
Je l'ai au final envoyé en DU d'endo .
D'ailleurs , je me suis poser la question et l’intérêt de faire l'endo dans ce cas .


1309531 ours brun n5iukf - Eugenol
seespan

14/09/2012 à 18h51

rere écrivait:
--------------
> Pas du tout envie de me lancer dans un ttt endo sachant qu je surveille
> radiologiquement chaque année et que la patiente est prévenue.

Je suis en train de regarder dans les revues d'endo, pour ce que je vois si c'est asymptomatique il vaut mieux ne pas traité.
Si t'attend un peut je peut aller voir dans les articles, il faut que je me conecte sur mon compte de fac là je n'ais accés qu'au extrait.

--
หมอจัดฟัน


1309531 ours brun n5iukf - Eugenol
seespan

14/09/2012 à 19h10

Ok je ne peut pas me connecter d'ici. Donc j'ai pu lire que les résumés. Pour les calcification de pulpe, la norme est de faire un traitement endo (avant qu'elle soit compléte), apparemment ça fait débat car il ne semble pas vraiment avoir d'avantage a tenter un traitment endo.
Quand la calcification est compléte il vaut mieux s'abstenir car très grosse chance de faire un faux canal.
Demains je suis a la fac, je regarderait plus en détail si les endo exclusif ne se sont pas manifesté.

Sinon là c'est mon idée donc potentiellement une grosse connerie. Pourquoi tu ne prend pas une empreinte de l'arcade, utilise cette empreinte pour réaliser un guide de forage sur la 11. Inutile de cherche une chambre pulpaire qui n'existe pas. Mais tu peux réaliser sur le model en plate une cavité d'accès pour mettre ton produit. Quand t'as cavité te semble correcte tu fais un guide pour retrouve l'axe et la longueur de forage en bouche.

--
หมอจัดฟัน


rere

14/09/2012 à 19h41

merci en tout cas pour tes recherches...
Je ne comprends pas tres bien pour quoi tu veux que je realise sur modele en plâtre une "ouverture de chambre"
Je pense que si je devais faire un eclaicissement interne je realiserais sans trop d'inquietude une pseudo ouverture, en mettant au fond de la cavite un cvi comme pour une dent devitalisée.
Mais j ai cependant plus d'inquietude de perturber "l'equilibre endodontique" et de me retrouver avec une image apicale dans qq années (ou qq mois!) sans pouvoir traiter sereinement!


1309531 ours brun n5iukf - Eugenol
seespan

14/09/2012 à 19h50

J'avais mal compris, je croyais que tu avais peur de faire une perforation. Ensuite pour les publications, c'est juste que je nenconnais pas l'attitude a adopter devant ce genre de pathologie. je me renseigne pour savoir ce que je devrais faire si je tombe la dessus avant un traitement orthodontique.
Étiologie, évolution, traitement classique.
Tant que je suis étudiants je peux déléguer a des spécialiste endo pour une consultation. En France ça sera plus délicat.
--
หมอจัดฟัน


Marque a3 orange fyvhyq - Eugenol
Marc Apap

14/09/2012 à 21h05

Les gamins, arrêtez vos conneries s'il vous plaît. Si la pulpe et le canal sont invisibles à la radio, qu'il n'y aucune lésion apicale, il n'y a pas a essayer de rentrer dans le canal ou d'ouvrir la chambre pulpaire.
Le blanchiment externe ambulatoire avec gouttière et une seule dent traitée au gel de peroxyde de carbamide fonctionne très bien dans ce cas, comme l'a montré Cingulum. La seule différence par rapport à ce qu'il a montré, c'est que je réaliserais un beau réservoir sur la face vestibulaire de la dent concernée et découperai la gouttière au niveau de la gencive ou même légèrement en deçà


120 81 mdkvjo - Eugenol
Monaco

14/09/2012 à 21h08

Je plussoie.


Img 3657 cwjvqm - Eugenol
alapex

14/09/2012 à 21h31

+1

PS/ Pfff , ça me rappelle le film "les vieux de la vieille"...)))


1309531 ours brun n5iukf - Eugenol
seespan

15/09/2012 à 07h02

Ok donc d'après les manuelles d'endo

1 Même si une dent est calcifié le tissus pulpaire est toujours présent, les canaux eux même sont toujours présent est dans tous les cas suffisamment large pour laisser passer les micro-organisme. Si un traitement est tenté tout les canaux doivent être traité comme sur une dent classique. Si vous n'allez pas a l'apex ou ne traiter pas tout les canaux vous risquer le développement d'une infection endodontique avec la même fréquence qu'une dent classique

2 Le traitement endodontique peut étre réalisé. Les canaux peuvent être localisé, il y a une légère différence de couleur de la dentine au alentour assez fréquemment repérable :
- si vous ete un endodontiste exclusive avec une bonne expérience
- si vous travaillez avec un microscope endodontique.
Dans tout les cas le traitement est long et présent un risque relativement élevé d’échec.

Conclusion ma suggestion de faire un guide pour réaliser un blanchiment interne était un effet une grosse connerie.
Si dent asymptomatique ne pas toucher.

--
หมอจัดฟัน


Marque a3 orange fyvhyq - Eugenol
Marc Apap

15/09/2012 à 15h54

Bravo Seespan, tu as tout compris et c'est bien d'avoir ouvert un livre pour apprendre ce que tu ne savais pas avant.
Si avec un microscope de laboratoire, on peut peut être déceler la trace d'un canal dans lequel les bactéries peuvent passer (à condition d'avoir assez d'humidité pour qu'elles survivent, ce qui n'est pas gagné), en clinique on est parfois très loin de le voir, même avec un microscope opératoire (qui ne grossit pas à plus de x20 environ au maximum). Moralité : si aucun signe clinique ni radiologique, surtout ne pas ouvrir car cela pourrait créer une porte d'entrée pour des bactéries et en tous cas, un délabrement inutile de la dent. L'expérience montre que l'on peut parfaitement réussir l'éclaircissement par voie externe en ambulatoire (durée d'application du gel à la demande selon le résultat).

PS : ce n'est pas "les manuelles" d'endo qu'il faut écrire, mais "les manuels". Toutefois, étant donné là où tu te trouves, je t'autorise à écrire "L'Emmanuelle".


1309531 ours brun n5iukf - Eugenol
seespan

15/09/2012 à 16h52

Marc Apap écrivait:
-------------------

> Si avec un microscope de laboratoire, on peut peut être déceler la trace d'un
> canal dans lequel les bactéries peuvent passer (à condition d'avoir assez
> d'humidité pour qu'elles survivent, ce qui n'est pas gagné), en clinique on est
> parfois très loin de le voir, même avec un microscope opératoire (qui ne grossit
> pas à plus de x20 environ au maximum).

Non le tissu calcifier n'a pas la même couleur que la dentine (normal ce n'est pas le même processus de formation , ni la même organisation, ni la même composition) avec un microscope endodontique il est différentiable de la dentine. Quand on arrive au niveau de la racine, vous avec la dentine (couleur normal) et le tissue calcifié qui la remplie (autre couleurs) l'entré canalaire se trouve généralement au milieu de se tissue calcifié. Même sur une dent calcifié le canal subsiste. Le traitement est dure mais faisable, surtout sur une incisive central maxillaire.


--
หมอจัดฟัน


Marque a3 orange fyvhyq - Eugenol
Marc Apap

15/09/2012 à 17h39

On en reparlera lorsque tu auras levé le nez de ton livre et plongé les yeux dans les oculaires d'un microscope opératoire.
C'est vrai que la dentine réactionnelle n'a pas le même aspect que celle tout autour et que l'on peut, sur des coupes histologiques, voir un canal subsister.
Mais même avec un microscope opératoire, je peux t'assurer qu'il y a des cas où tu ne vois pas la lumière du canal. Quant à y introduire un instrument, c'est encore plus difficile.


1309531 ours brun n5iukf - Eugenol
seespan

15/09/2012 à 18h49

Le protocol pour trouver un canal calcifié inclut (liste non exhaustive mais je vais pas traduire tout le passage non plus) :
- translumination avec une fibre optique ou led au niveau de la jonction cemento dentinaire pour faire apparaitre des différences de teintes. Le plancher de la chambre pulpaire est plus sombre que les parois et dentine réactionnel (ça permet de voir si tout le plancher à était dégager).
- Une fois que tout le plancher à était dégager, il est sécher et nettoyer (l'éthanol a 95% est utile pour cette étape), ce qui permet d'augmenter la visibilité. Les sillons reliant les entrées des canaux entre eux sont d'une couleurs plus légére que le reste du plancher. On cherche les canaux à la jonction, des parois plancher et sillons.
- un test avec de la teinture de methylène a 1% et de l'hypochlorite peut être utilisé (normalement ça doit faire des bulles au niveau de l’entré, en peut de saignement peut aussi être visible.
- Si une entré est soupçonné une radio avec une lime en place est prise sous deux angulation différente pour vérifier que l'on ne se dirige pas vers une perforation.

Trouver l'entré d'un canal calcifié est dure, incertain, technique et matériel dépendant mais faisable du moins d'après les endodontistes.
--
หมอจัดฟัน


Marque a3 orange fyvhyq - Eugenol
Marc Apap

15/09/2012 à 19h23

Bon, tout ça c'est vrai, mais c'est pas parce que c'est écrit que ça marche à tous les coups. Tu verras, quand tu seras grand...


1309531 ours brun n5iukf - Eugenol
seespan

16/09/2012 à 09h54

Non pour mois les endo c'est fini.
Mais si j'ai un patient présentant une dent calcifié nécessitant un traitement endo et que son généraliste me dit que le traitement endo est impossible. Avant d'extraire j’enverrais en consultation vers un endodontiste exclusif
--
หมอจัดฟัน